Cookie Consent byPrivacyPolicies.comTechniques RACZéro - Eugenol

Techniques RACZéro

Capture d  cran 2015 03 12 12.28 - Eugenol
chicot29

04/06/2018 à 23h13

Faut rester dans la philosophie du RAC 0. Sauter sur le ,moindre sillon infiltré. Ils veulent des soins préventifs ? Ils vont en avoir. En 30 minutes tu peux en faire une dizaine.


--
En cas d'échec des négociations conventionnelles, seriez-vous prêt à suivre la promotion d'un déconventionnement massif de la profession par les syndicats représentatifs ? OUI - NON
Participez, anonymement, sur https://goo.gl/forms/nAO0htnsVmxotjYm1

Capture d écran 2018 06 04 17.46 - Eugenol

Capture d  cran 2015 03 12 12.28 - Eugenol
chicot29

04/06/2018 à 23h18

Paniquez pas il reste les caries proximales pour les futures couronnes RAC 0. -)))


--
En cas d'échec des négociations conventionnelles, seriez-vous prêt à suivre la promotion d'un déconventionnement massif de la profession par les syndicats représentatifs ? OUI - NON
Participez, anonymement, sur https://goo.gl/forms/nAO0htnsVmxotjYm1


Image saznoz - Eugenol
Hodina

05/06/2018 à 00h01

Oui mais ils me font chier moi avec leur prevention à 2 balles!!!!!
Jusqu’à maintenant, je facture mes fluoration 45€, et je trouve pas ça cher! Les patients non plus d’ailleurs, çl n’y en a pas un qui a refusé pour son bambin
Mais maintenant que ça va passer à 25€, c’est moi qui ne voudrait plus les faire!



--
😁😁😁
Le Blog dentaire.
Cliquez ici--> www.arcad-dentaire.fr
Dernier article---------------L'acquisition des compétences
(-Vivre le sourire Hollywoodien-)


Image saznoz - Eugenol
Hodina

05/06/2018 à 00h02

Je vais leur conseiller de bouffer un mars et boire du coca avant de dormir, tiens!


--
😁😁😁
Le Blog dentaire.
Cliquez ici--> www.arcad-dentaire.fr
Dernier article---------------L'acquisition des compétences
(-Vivre le sourire Hollywoodien-)


Image saznoz - Eugenol
Hodina

05/06/2018 à 00h03


Vive le NPC, à bas les prises en charge sécu!
Franchement!
Quand c’est qu’on se déconventionne???

--
😁😁😁
Le Blog dentaire.
Cliquez ici--> www.arcad-dentaire.fr
Dernier article---------------L'acquisition des compétences
(-Vivre le sourire Hollywoodien-)


Image saznoz - Eugenol
Hodina

05/06/2018 à 00h03


Vive le NPC, à bas les prises en charge sécu!
Franchement!
Quand c’est qu’on se déconventionne???

--
😁😁😁
Le Blog dentaire.
Cliquez ici--> www.arcad-dentaire.fr
Dernier article---------------L'acquisition des compétences
(-Vivre le sourire Hollywoodien-)


Image saznoz - Eugenol
Hodina

05/06/2018 à 00h04

Perso, si je ressors les contrats mutuelles de mes Patients, j’ai,une base de donnée d’enfer pour savoir si ça passe ou pas


--
😁😁😁
Le Blog dentaire.
Cliquez ici--> www.arcad-dentaire.fr
Dernier article---------------L'acquisition des compétences
(-Vivre le sourire Hollywoodien-)


Image saznoz - Eugenol
Hodina

05/06/2018 à 00h04

Perso, si je ressors les contrats mutuelles de mes Patients, j’ai,une base de donnée d’enfer pour savoir si ça passe ou pas


--
😁😁😁
Le Blog dentaire.
Cliquez ici--> www.arcad-dentaire.fr
Dernier article---------------L'acquisition des compétences
(-Vivre le sourire Hollywoodien-)


Image saznoz - Eugenol
Hodina

05/06/2018 à 00h04

Perso, si je ressors les contrats mutuelles de mes Patients, j’ai,une base de donnée d’enfer pour savoir si ça passe ou pas


--
😁😁😁
Le Blog dentaire.
Cliquez ici--> www.arcad-dentaire.fr
Dernier article---------------L'acquisition des compétences
(-Vivre le sourire Hollywoodien-)


Images oecc9d ijdijh - Eugenol
Akrobat

05/06/2018 à 14h16


Utilisateur banni

12/06/2018 à 11h35

Tu nous parlais du silicone par condensation hodina. J’ai fait une empreinte optosil pour une gouttière pour le bruxisme et j’ai envoyé ça chez les chinois. On va voir si la gouttière va être parfaitement adaptée. :))

A99b5b87 8301 442a 8749 06abea6c12b6 g5snfe - Eugenol

Bagheera tudzjy - Eugenol
bagheerra

19/06/2018 à 10h43

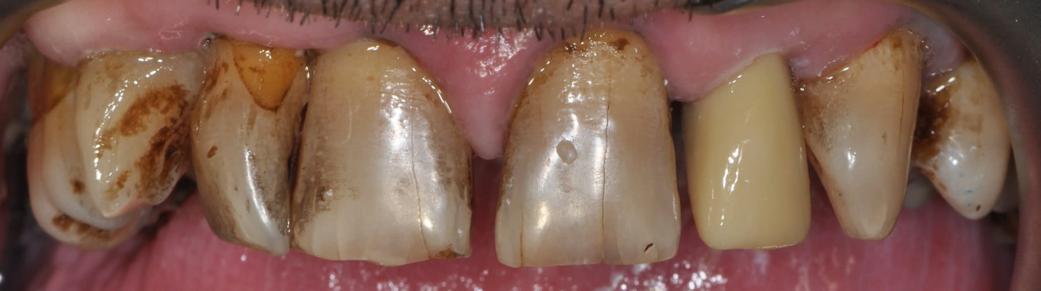
Couronne full-zircone en antérieur, pour le prix d'une couronne métallique. Le patient m'aurait embrassé tellement il est ravi de retrouver une belle dent, comme l'autre (sic) ! (NB : le détartrage complet a été fait il y a 2 mois).

Dsc 0405 j1ogjc - Eugenol

Image saznoz - Eugenol
Hodina

19/06/2018 à 12h38

A mes debuts en tant que collaborateur, toutes les empreintes etaient faites à l’optosil
Et j’avais pas plus ni moins de probleme,qu’aujourd’hui


--
😁😁😁
Le Blog dentaire.
Cliquez ici--> www.arcad-dentaire.fr
Dernier article---------------L'acquisition des compétences
(-Vivre le sourire Hollywoodien-)


olivier13009

19/06/2018 à 12h39

bagheerra écrivait:
---------
> Couronne full-zircone en antérieur, pour le prix d'une couronne métallique. Le
> patient m'aurait embrassé tellement il est ravi de retrouver une belle dent,
> comme l'autre (sic) ! (NB : le détartrage complet a été fait il y a 2 mois).

putain le maquillage est top chapeau le proto , par contre faudrait faire une truc sur la 22


Aiguille cyboyt - Eugenol
fatboy

19/06/2018 à 13h36

olivier13009 écrivait:
------------
T'es dur...


Bagheera tudzjy - Eugenol
bagheerra

19/06/2018 à 13h44

olivier13009 écrivait:
------------
> bagheerra écrivait:
> ---------
> > Couronne full-zircone en antérieur, pour le prix d'une couronne métallique. Le
> > patient m'aurait embrassé tellement il est ravi de retrouver une belle dent,
> > comme l'autre (sic) ! (NB : le détartrage complet a été fait il y a 2 mois).
>
> putain le maquillage est top chapeau le proto , par contre faudrait faire une
> truc sur la 22

;-))


CCCNomen

20/06/2018 à 14h42

Suffit de faire de la paro à tout le monde avant de commencer les soins... basta


1...45