Cookie Consent byPrivacyPolicies.combo petit kyste rigolo - Eugenol

bo petit kyste rigolo

gal

22/02/2005 à 22h23

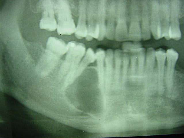
desole mais ls p^hotos sont pas top ;la panseuse est meilleur IBOD que photographe

1 zqpesq - Eugenol
8 gxoeat - Eugenol
7 po3it1 - Eugenol
4 lh2v5t - Eugenol

gal

22/02/2005 à 22h31

suite

5 yn3mwt - Eugenol
10 txcuvt - Eugenol
12 ykudxt - Eugenol
13 vjwvvf - Eugenol

gal

22/02/2005 à 22h34

suite et fin

2 fdthrp - Eugenol
15 bvtzpw - Eugenol

Stéphane

22/02/2005 à 22h46

Juste une quesrion : Quid de la vitalité des deux dents adjacentes de la lésion kystique ?


alhoun

22/02/2005 à 23h26

gal a écrit:
-------------------------------------------------------
> suite et fin


?? il est reparti comme ça?? :)


gal

22/02/2005 à 23h43

j'ai demande au dentiste qui s'occupe de la patiente de realiser les endo avt la chir malgres le fait qu'elle avaient conservé leurs vitalité
a ce jour elle sont encore en place mai la 45 risque de sauter si dans 3 semiane je n'ai pas une meilleur stav*bilite transversale


JD

23/02/2005 à 00h33

T QU UN PD


peio

23/02/2005 à 01h08

ta envoyé a l'ana path?
juste pour la curiosité(ameloblastome???)


gal

23/02/2005 à 01h35

j'ai envoye
pas malin
pas de classfication particuliere
a priori je pense kyste epidermoide


Avatar transparent iqadnc - Eugenol
adhoc

23/02/2005 à 13h16

Proche de la fracture md; bravo gal pour ton travail , merci pour ton cas intéressant ( les photos sont TB!!)


djinn

23/02/2005 à 14h17

la c'est moi qui dit merci car si c'est gal qui operait, c'est mon appareil photo....;). Bon en fait c'est la panseuse qui les a prise mais bon.


Image19 iebot6 - Eugenol
athos

23/02/2005 à 20h37

merci Gal d'avoir partager ça, sympa et intéressant...
j'ai cependant un ENOOORME reproche a faire, si tu le permets bien sur...


Image19 iebot6 - Eugenol
athos

23/02/2005 à 20h38

je n'aime pas du tout, mais alors pas du tout, le titre de ton post!!!!


gal

23/02/2005 à 21h08

ben je vais le changer alors ,c'etait juste un petit clin d'oeil amical et humoristique
j'adoooooore ce que fai carole


Image19 iebot6 - Eugenol
athos

23/02/2005 à 21h36

grrr...
je plaisantais bien sur
Carole est tellement....


gal

24/02/2005 à 00h21

tellemnt quoi dis lasuite ,tu la connais elle est.......? :-)


Image19 iebot6 - Eugenol
athos

24/02/2005 à 11h27

non, je l'idolatre!...mais ne ris pas : le virus ne t'épargnera pas!....


gal

24/02/2005 à 14h42

je te crois sur parole mais j'ai besoin de concret, tu la connais perso?


Image19 iebot6 - Eugenol
athos

24/02/2005 à 15h05

tu me fais marcher là?


gal

24/02/2005 à 15h09

non pourquoi c'est ta femme ?


Image19 iebot6 - Eugenol
athos

24/02/2005 à 15h12

T'ENTENDS CAROLE !!!!!!...
mon Dieu pardonnez leur ils ne savent plus ce qu'ils disent!

gal, tu devrais repondre au post de cingulum, juste au dessus, c'est interessant, du moins j'aimerais profiter des réponses...


Canin

24/02/2005 à 21h54

Salut Gal,

J'ai quelques question techniques.
Comment as-tu gérer les rapports avec l'émergence du mentonnier au niveau de la région apicale de la 44 ?? Y'avait-il un risque de lésion ??
Pour le lambeau, tu as ruginé en t'arrêtant au dessus du foramen mentonnier ou tu as disséqué pour visualiser le nerf et le protéger ?

Pour l'énucléation, tu as décollé tout autour puis tiré à la fin sur la poche kystique sans cureter les parois osseuses dans la région du trou mentonnier?

Merci pour tes réponses.

Au passage, je trouve dans l'ensemble que les photos sont de bonnes qualité. merci pour ce cas clinique.


gal

25/02/2005 à 15h11

slt canin
si tu regarde le scanner tu verras que le foramen mentonnier a ete completement repousse au niveau du rebord basilaire par le kyste (desole je ne sai plu quelle numero de photo )
j'ai pu donc realiser un lambeau de pleine epaisseur de 43 a 47 avec incision de decharge en mesial de 43 puis arrive au niveau du rebor basilaire j'ai disseque en epaisseur partiel.

au niveau du kyste j'ai decolle la membrane kystique en mesial distal lingual vestibulair emais pas en apical puis avec une pince hemostaqtiue tu tires doucement et il veint en un gros morceau .
ensuite tu as un acces visuel sufisant pour te permettre de nettoyer la partie apical en respectant le nerf alveolaire
une fois visualise ce n'est pas difficile de ne pas l'abimer
c'est pas plus complique qu'une resection apicale
by


Image19 iebot6 - Eugenol
athos

25/02/2005 à 20h39

à te lire ça semble facile...


alhoun

25/02/2005 à 20h44

gal a écrit:

> j'ai pu donc realiser un lambeau de pleine
> epaisseur de 43 a 47 avec incision de decharge en
> mesial de 43 puis arrive au niveau du rebor
> basilaire j'ai disseque en epaisseur partiel.
>

pourquoi l'épaisseur partielle?
@+


12