Cookie Consent byPrivacyPolicies.comBSP MCI couronne provisoire imprimée - Eugenol

BSP MCI couronne provisoire imprimée

pierre31

10/06/2018 à 11h39

Petit cas simple ; extraction mise en charge immédiate avec préparation totalement virtuelle.
Design et impression de la provisoire (résine nextdent).

1 - planification avec blueskyplan
2 - retouche du modèle pour avoir une fausse gencive
3 - importation des modèles dans le cad
4 - design de la couronne provisoire
5 - impression

Ino4zmfapg9ree6hmmhb - Eugenol
Jutgb6xw9dylbo8lsbqk - Eugenol
Abscs08qqgk7u5rw4prm - Eugenol
E9aew1zzo5bmsnuyth7q - Eugenol
H033dogbw9sxn7r5nnyi - Eugenol
Zfdht57q51wmfrpd5emp - Eugenol
Q6cdt3yn1obxliynkogo - Eugenol
Ervywnysugifvscokd6r - Eugenol
Blyo4pq6k69nf1y5cgdp - Eugenol

Hok 1b hgd3rj - Eugenol
Hokusai

10/06/2018 à 19h58

Tu as une photo en bouche ??? Tu peux laisser la prov combien de temps en bouche ?? Et quelle imprimante ?


pierre31

11/06/2018 à 18h10

Je ne retrouve pas la photo lors de la pose ( implant pose fin mars ).
Je revois le patient bientôt pour la couronne définitive. ( je prendrais une photo ).
Je laisse 3 mois les couronnes provisoires en général.
Pour ce cas la l'imprimante était la wd7+.( j'en ai 4 en fait )
J'utilise de plus en plus la moonray maintenant .


Icon poker h4nm2d - Eugenol
jeff

20/06/2018 à 22h38

La résine , c’est la nextdent c&b ? Quelle teinte , et ou l’as tu acheté ?
Je viens de commander sur un site qui présentait une photo de la bouteille en A2 , et j’ai reçu À 3.5, qui est en fait un jaune assez degueu.
Nexdtdent viens de sortir la résine C&b mfh, qui semble être pour faire des couronnes définitives .
Le prix de litre grimpe encore , il semble , selon un forum us que la résines ne soit pas évidente à metttre en œuvre , mais cela peut être très intéressant.
Tu connais ?


pierre31

21/06/2018 à 08h59

La couleur jaune verte est normale . Il faut passer dans une chambre à photopolymériser pour avoir la teinte finale ( à peu prés une heure ).
J'ai 1 échantillon de mfh ; mais je ne l'ai pas encore utilisé .
J’achète les résines en Suède . JE peux te donner l'adresse plus tard ; je ne l'ai plus en tête.
A1-A2 correspond à la teinte N1.
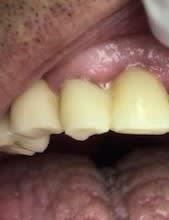
Ci joint la photo prise par mon correspondant ( je n'ai pas revu le patient depuis )

Sar2 czwpeh - Eugenol
Img 0036 weywd2 - Eugenol
Img 0039 bqbz2t - Eugenol

Aiguille cyboyt - Eugenol
fatboy

21/06/2018 à 10h07

Je t'avoue que je ne trouve pas ça superbe... combien de temps ça t'a pris?
J'utilise des moules ion, sélection,adaptation, rebasage, finition ça doit me prendre 20 Minutes et le résultat est nettement plus joli.


Hok 1b hgd3rj - Eugenol
Hokusai

21/06/2018 à 10h37

fatboy écrivait:
------
> Je t'avoue que je ne trouve pas ça superbe... combien de temps ça t'a pris?
> J'utilise des moules ion, sélection,adaptation, rebasage, finition ça doit me
> prendre 20 Minutes et le résultat est nettement plus joli.

C'est ce que je me dis... a part le coté un peu sympa de l'impression de la dent et la CFAO, le jeu en vaut-il la chandelle ??


pierre31

21/06/2018 à 11h02

Après c'est un autre débat ...
Ce cas ne présente pas un gros intérêt en unitaire.
C’était un test pour des cas plus complexes ; mon but était de tout traiter en numérique sans passer par des modèles et de tester l'impression des provisoires en résine .
La planif + le modelage de la provisoire prend 10 minutes à tout casser . La chirurgie (extraction , pose implant et provisoire 15 minutes )


Icon poker h4nm2d - Eugenol
jeff

21/06/2018 à 19h43

Un grand merci pour le temps d'exposion post cure. On manque d'info quand on débute, je l'avais laissé une minute sous les lampes :)
Une utilité de l'impression : j'ai un cas de bimax fait avec posit ( pilier direct clip ETK,( l' idée etait un prov immédiat sans scellement, juste pas friction ). Patient super chiant et exigeant. Hors de question de poser sans avoir absolument validé le projet.
Impossible avec un montage esthetique dent du commerce sur cire, c'est trop différent.
J'ai réalisé des pistes de Paterson pour avoir une idée du plan d'occlusion.
Comme je n'ai pas exocad, mon labo a fait un montage STL, que j'ai modifié a ma sauce sur meshmixer.
J'imprime demain. Je pourrai regler l'occlusion facilement ( peut etre meme en le faisant lateraliser et propulser sur du papier de verre ), pour avoir si possible une occlusion balancé finale.
on pouura re scanner les modif, ressayer tres facilement.
Pierre comment placer au mieux les arcades dans la moonray ?

Bridge aw2gyb - Eugenol

Icon poker h4nm2d - Eugenol
jeff

21/06/2018 à 19h55

le travail du labo. j'avais dit "un monsieur tonique, brachy , qui rale des qu'il y a un truc sous le prov, donc petite embrasure ", donné des photos de son visage, plutot carré.
Resultat, des dents tres triangulaire, avec des ponts entre les dents.
Si j'essaye ça, forcement, le patient de va pas aimer.
Donc, je modifie., plutot en exces, pour pouvoir ajuster en bouche.

Labo usas8u - Eugenol
Perso hkoctj - Eugenol

Icon poker h4nm2d - Eugenol
jeff

21/06/2018 à 19h57

Ah, je veux bien ton adresse en suede :)


Icon poker h4nm2d - Eugenol
jeff

21/06/2018 à 20h07

Autre interet, si possible. je n'aime vraiment pas la MEI sur petit bridge ou unitaire ( j'ai eu pas mal d'echec, pourtant en faisant gaffe ). Donc, en antérieur, c'est souvent enfoui + partiel avec prise d'empreinte de la position implantaire a la pose.
J'ai essayé de faire faire le bridge au labo, mais c'est jamais comme je veux.
Donc, je prends l'empreinte de la gencive sur le modele en platre, je le creuse, je scelle des analogues, je rebasage pour la fausse gencive, que je retouche pour avoir un profil d'emergence, je place des ions, resine, re-resine, meulage, polissage.
Puis , au deuxième temps : désenfouissement et pose du prov direct ( cela prends un temps dingue quand je le fait direct en bouche ).
Comment intégrer mon empreinte avec transfert et analogue dans un fichier numérique ?
Il faudrait avoir un scan body d'un implant a visser sur le transfert, mais en général, c'est l'inverse qui existe .