Cookie Consent byPrivacyPolicies.comDouleur différée - Eugenol

Douleur différée

Tozzi

10/07/2018 à 09h03

Bonjour à tous,
un cas me pose problème et j'aimerais avoir votre avis.
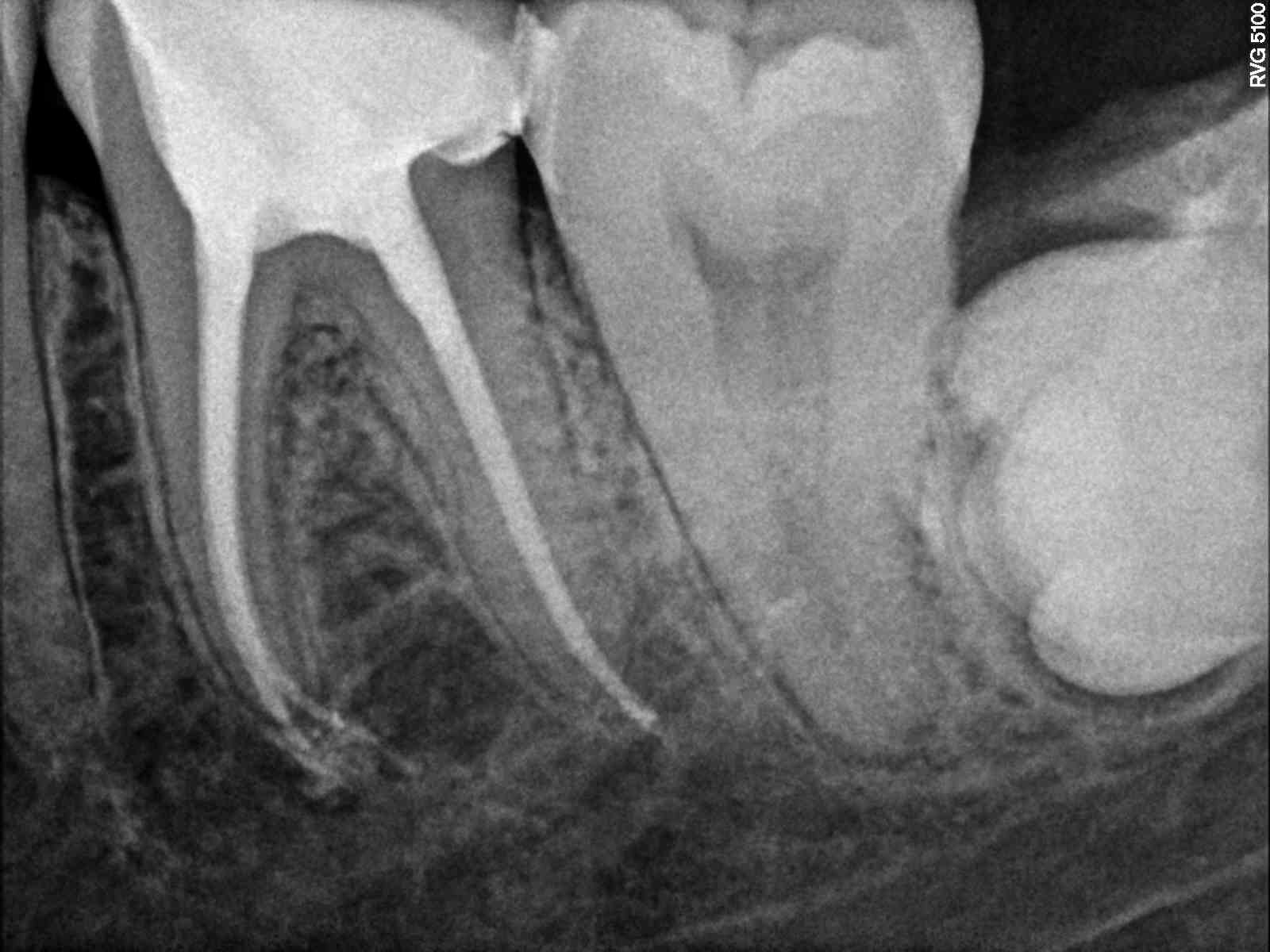
Il s'agit d'une 36 atteint d'une pulpite sur laquelle j'ai fait l'endo.
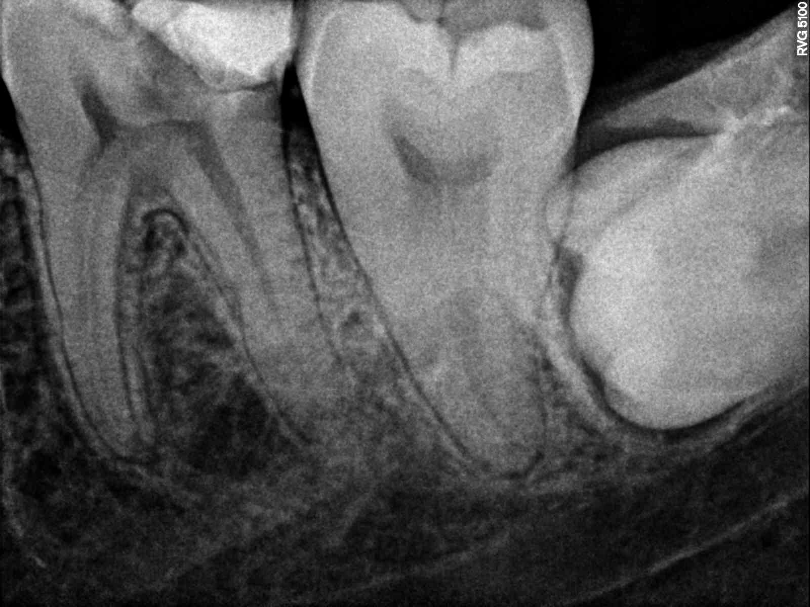
Entre le traitement initial et la pose de l'inlay-core il s'est passé environ 3 semaines durant lesquelles le patient a maché sur une provisoire sans douleur ni gêne.
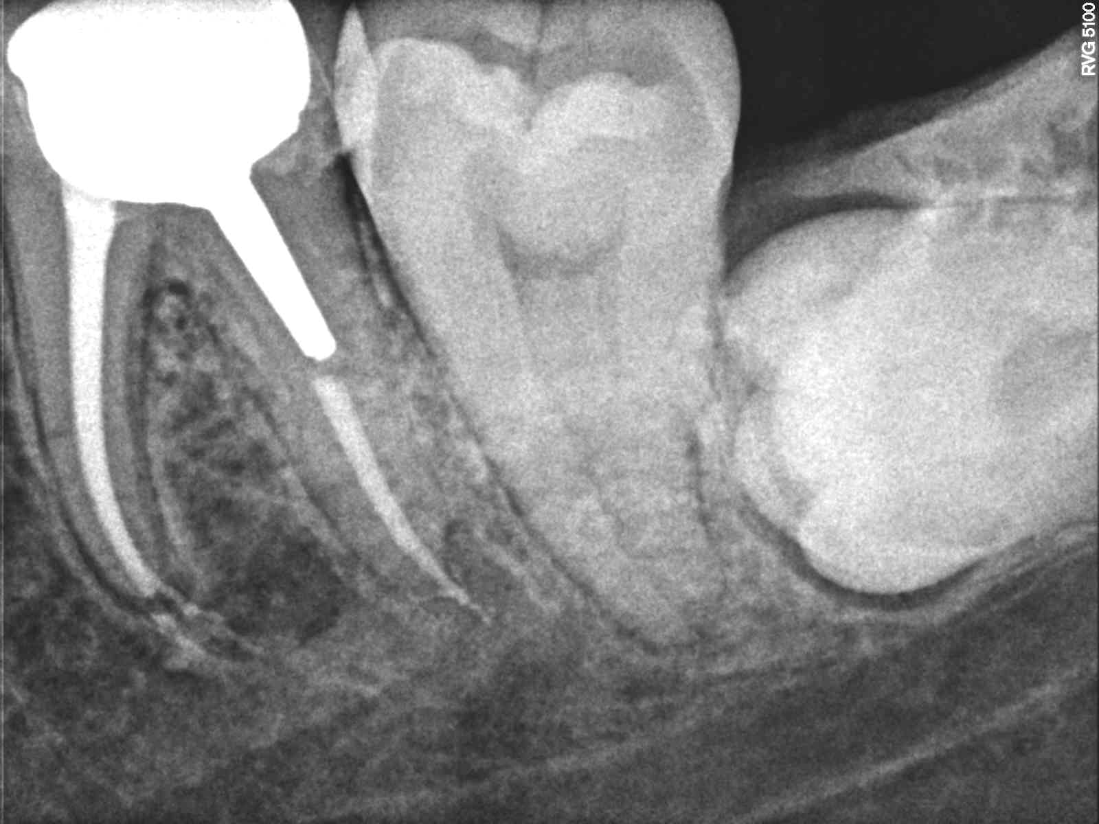
Malheureusement c'est après avoir scellé l'inlay-core et appuyé dessus que je me suis rendu compte que le patient avait mal et que çà durait depuis 2 jours...
La douleur est seulement à la pression/percussion.
Depuis j'ai remis une provisoire en sous-occlusion et en une semaine la douleur est la même aucun changement (pas de bourrage pas de surocc).
J'ai l'impression qu'il y a une fracture en mésial mais qu'elle se soit produit en inter-séance me laisse perplexe.
Sur la dernière radio on voit un épaississement.
Qu'en pensez-vous ?

Mhf2xfbj6vgfntzftpcw - Eugenol
Cq5mzdlbglulqqvknmxo - Eugenol
Qm7ljgdvayraefniskkk - Eugenol

Dolan donald duck weird wqjham bw43ju - Eugenol
GéPé

10/07/2018 à 09h27

Dépassement gutta en distal ?


Tozzi

10/07/2018 à 09h33

J'avais surinstrumenté en mésial et distal le ciment a fusé dedans.
je ne pense pas que ce soit de la gutta et si c'était le cas çà aurait fait mal d'emblée non ?


P2eqdh3csim6s7nb09ktdq3e7ev8 - Eugenol
barbabapat

10/07/2018 à 09h41

Anatomie de la racine distale avec un pincement au centre de la racine. La préparation à affaibli la racine et l'inlay-core a fracturé cette zone de plus faible épaisseur.

Sur la radio, on a l'impression de voir un pincement comme dans une forme en huit mais seulement sur la partie mesiale de la racine distale.


S8ysxdzhdqgw00w4q6m07a5d47q2 - Eugenol
Gai-Luron

10/07/2018 à 09h55

Et un trait de fracture à mi-hauteur de la ou des racines M, sur les radios 2 et 3, avant et après l'inlay-core?


Tozzi

10/07/2018 à 10h02

c'est ce que je vois aussi et l'épaississement en mésial visible sur la dernière radio fait suite à ce trait.
mais comment en être sûr à 100% ?


Dolan donald duck weird wqjham bw43ju - Eugenol
GéPé

10/07/2018 à 10h58

Tozzi écrivait:
-----
> c'est ce que je vois aussi et l'épaississement en mésial visible sur la dernière
> radio fait suite à ce trait.
> mais comment en être sûr à 100% ?

Dépose de l'inlay core et microscope.


Dentine81

10/07/2018 à 21h11

Tozzi écrivait:
-----
> c'est ce que je vois aussi et l'épaississement en mésial visible sur la dernière
> radio fait suite à ce trait.
> mais comment en être sûr à 100% ?
Un scanner?!