Tous les forums
Amalgames. Réglementation européenne du 1er juillet qui ne change pas grand chose.
11/07/2018 à 08h40
https://news.google.com/stories/CAAqOQgKIjNDQklTSURvSmMzUnZjbmt0TXpZd1NoTUtFUWkzOFp6VGtJQU1FUWp5NGd1NUs4bHpLQUFQAQ?hl=fr&gl=FR&ceid=FR%3Afr
http://sante.lefigaro.fr/article/les-plombages-au-mercure-interdits-pour-les-femmes-enceintes-et-les-moins-de-15-ans/
https://www.20minutes.fr/sante/2305255-20180710-mercure-dentaire-plombages-poison-bouche-francais
Depuis le 1er juillet, un règlement européen interdit le recours aux amalgames dentaires pour soigner les caries des enfants de moins de 15 ans et des femmes enceintes ou allaitantes.
11/07/2018 à 09h41
c'est marrant.
J'en fait plus parce que "la flemme" mais c'est bien chez les gosses, notamment les tout petit, que je regrette le plus ce matériau.
11/07/2018 à 11h15
Pour vous, l'equia forte est plus durable que par exemple le fuji ? Quels sont les avantages que vous avez vus?
11/07/2018 à 11h33
je l'utilise comme pansement dans les cas où ça va être long.
boucher une couronne que j'ai percée pour un RTE le temps du rdv de contrôle ( +6mois) par exemple.
mon avis : pour une cavité une face ça fait le taf bien deux ans.
pour le reste.... ben c'est le RAC0 que veux tu :D
pour le classique distal 4 + mesial 5 de lait c'est de la merde.
11/07/2018 à 11h43
adhoc écrivait:
-----
> Pour vous, l'equia forte est plus durable que par exemple le fuji ? Quels sont
> les avantages que vous avez vus?
Si tu recouvre par une coiffe, pas de problèmes.
De toute façon ca ne tient pas 5 ans sur dent de lait. Après ca dépend des parents. Sur des dents avec pulpo, vu qu'un certain nombre s'en foutent car cela fait pas mal, ca active les extractions précoces.
Ce qui est amusant dans cette histoire c'est que l'on voit que l'interdiction n'a rien de clinique puisque c'est toujours le matériaux de choix pour les polycaries et les patients avec des déficiences cognitives qui finalement ont l'exposition la plus importante par le nombre de restaurations plus élevés.
11/07/2018 à 11h58
De toute facon, on n'a plus le choix, on avait a l'epoque pour les momes les amalgames cuivrés qui avaient de tres bonnes propriétés, puis ca a disparu. Maintenant les amg sont interdits pour eux. On a les compos , mais la grande majorité est constituée de bisphenolA (bpA), donc il nous reste le VIO, et deux ou trois ans , c'est largement bon.
Pulpotomie+VIO OK pour la pédo.
11/07/2018 à 16h33
equia forte.
je sais pas comment vous faites, j'ai essayé comme dans le manuel mais pour les classe 2 c'est dégueu au bout de quelques mois. Tout lisse, en pente vers la crête marginale qui n'est plus qu'un arrondi propice au bourrage
12/07/2018 à 07h39
GéPé écrivait:
----
> Quelle connerie, ça devrait être interdit tout court.
Oui surtout qu'en France tout est gratuit. Le surcout c'est pour le dentiste.
https://www.sso.ch/fileadmin/upload_sso/3_Patienten/5_Behandlungsmethoden/Konsenserkla__rung_f.pdf
--
En cas d'échec des négociations conventionnelles, seriez-vous prêt à suivre la promotion d'un déconventionnement massif de la profession par les syndicats représentatifs ? OUI - NON
Participez, anonymement, sur https://goo.gl/forms/nAO0htnsVmxotjYm1
12/07/2018 à 07h44
C’est vrai que sucer des pastilles de plastoc c’est beaucoup moins dangereux
12/07/2018 à 07h49
Bref un dégat collatéral du lobby écolo de plus. Couplé à une sous évaluation des tarifs des soins conservateurs les effets vont etre intéressants à suivre dans la bouche des Francais. -))) https://copublications.greenfacts.org/fr/amalgames-dentaires/index.htm
--
En cas d'échec des négociations conventionnelles, seriez-vous prêt à suivre la promotion d'un déconventionnement massif de la profession par les syndicats représentatifs ? OUI - NON
Participez, anonymement, sur https://goo.gl/forms/nAO0htnsVmxotjYm1
12/07/2018 à 07h52
Les mesures anti Round Up se font déjà sentir. -))))
--
En cas d'échec des négociations conventionnelles, seriez-vous prêt à suivre la promotion d'un déconventionnement massif de la profession par les syndicats représentatifs ? OUI - NON
Participez, anonymement, sur https://goo.gl/forms/nAO0htnsVmxotjYm1
12/07/2018 à 07h54
Tu me diras ça va augmenter par la suite les reprises de caries, le nombre de dents à couronner , à extraire et implanter par la suite .
12/07/2018 à 08h07
Rien n est plus lucratif qu un patient mal soigné... ca va etre une boucherie cette histoire.
Les soins plafonnes a perte je vois tous les jours ce que cela donne. Bientot sans compensation de la proth... et connaissant la nature humaine je vois pas par quel miracle ca peut marcher. Maintenant si on supprime l amalgame... les dents vont tomber comme a gravelotte.
C'est la guerre du low-cost avec les dérives a l'espagnole.
Un dentexia puissance 10.
12/07/2018 à 08h13
chicot29 écrivait:
--------
> Les mesures anti Round Up se font déjà sentir. -))))
>
t'as du bol ils laissent faire.
Par chez moi t'as un mec avec une bouteille de gaz qui les crame une par une... ça fait mal à voir tellement l’efficacité du truc est ridicule.
je pense qu'il va finir en dépression
12/07/2018 à 08h18
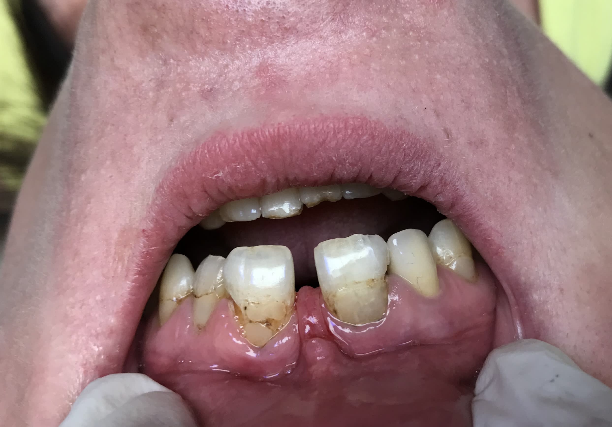
C’est joli les composites :)
12/07/2018 à 08h22
« Tu vois le liseré autour des composites , c’est rien c’est juste une petite coloration, c’est normal » qu’ils nous disent :) .... « y a juste à enlever le liseré et à remettre du compo sur le pourtour » :)))
12/07/2018 à 08h48
junior® écrivait:
-------
> « Tu vois le liseré autour des composites , c’est rien c’est juste une petite
> coloration, c’est normal » qu’ils nous disent :) .... « y a juste à enlever le
> liseré et à remettre du compo sur le pourtour » :)))
Sauf que là ce sont des reprises de caries chez un patient qui a une hygiène de merde.
Tu vas lui poser des amalgames ?
12/07/2018 à 08h56
lardonbis écrivait:
---------
> chicot29 écrivait:
> --------
> > Les mesures anti Round Up se font déjà sentir. -))))
> >
>
> t'as du bol ils laissent faire.
> Par chez moi t'as un mec avec une bouteille de gaz qui les crame une par une...
> ça fait mal à voir tellement l’efficacité du truc est ridicule.
> je pense qu'il va finir en dépression
t'as aussi la version comme par chez moi: une armée de mecs avec les débroussailleuses...
çà fait le bonheur des carrossiers et des réparateurs de vitres de bagnoles....
et la semaine suivante...faut recommencer...
et puis l'essence, c'est écologique...;-)))
12/07/2018 à 09h00
Olieve écrivait:
------
> junior® écrivait:
> -------
> > « Tu vois le liseré autour des composites , c’est rien c’est juste une petite
> > coloration, c’est normal » qu’ils nous disent :) .... « y a juste à enlever
> le
> > liseré et à remettre du compo sur le pourtour » :)))
>
> Sauf que là ce sont des reprises de caries chez un patient qui a une hygiène de
> merde.
> Tu vas lui poser des amalgames ?
Sans aller jusqu'à poser des amalgames, c'est potentionnellement les situations où il faudrait utiliser les produits pour arrêter le développement de la carie et différer le soins une fois l'hygiène acquise. Après ça serait noir plutôt que gris avec l'amalgame.
Ou sinon, il y a l'utilisation du triage rose le temps d'obtenir une modification des comportements.
Par contre cela veux dire un traitement de la carie en deux temps cliniques distincts qui n'est pas prévu par la nomenclature.
12/07/2018 à 09h07
Apparemment ça tient bien les premiers adhésifs ( acide primer colle :) il paraît que ce sont ceux qui tiennent le mieux :)
Quand je soigne des nouveaux patients qui viennent juste d’enmenager et qui viennent de certaines zones de France qui font du tout compo , dès le premier RDV je prépare directement le devis onlay car je sais qu’il va y avoir du dégât.