Cookie Consent byPrivacyPolicies.comAmalgames. Réglementation européenne du 1er juillet qui ne - Eugenol

Amalgames. Réglementation européenne du 1er juillet qui ne change pas grand chose.

P2eqdh3csim6s7nb09ktdq3e7ev8 - Eugenol
barbabapat

11/07/2018 à 08h40

https://news.google.com/stories/CAAqOQgKIjNDQklTSURvSmMzUnZjbmt0TXpZd1NoTUtFUWkzOFp6VGtJQU1FUWp5NGd1NUs4bHpLQUFQAQ?hl=fr&gl=FR&ceid=FR%3Afr

http://sante.lefigaro.fr/article/les-plombages-au-mercure-interdits-pour-les-femmes-enceintes-et-les-moins-de-15-ans/

https://www.20minutes.fr/sante/2305255-20180710-mercure-dentaire-plombages-poison-bouche-francais

Depuis le 1er juillet, un règlement européen interdit le recours aux amalgames dentaires pour soigner les caries des enfants de moins de 15 ans et des femmes enceintes ou allaitantes.


Dolan donald duck weird wqjham bw43ju - Eugenol
GéPé

11/07/2018 à 09h38

Quelle connerie, ça devrait être interdit tout court.


Generique fraisage r2rxmm - Eugenol
lardonbis

11/07/2018 à 09h41

c'est marrant.
J'en fait plus parce que "la flemme" mais c'est bien chez les gosses, notamment les tout petit, que je regrette le plus ce matériau.


Dolan donald duck weird wqjham bw43ju - Eugenol
GéPé

11/07/2018 à 09h48

Equia forte et basta


Generique fraisage r2rxmm - Eugenol
lardonbis

11/07/2018 à 10h05

Equia forte et devis coiffe pédo pour dans deux ans alors :D


92100 ubmx3f - Eugenol
Orvieto3

11/07/2018 à 10h17


.


Avatar transparent iqadnc - Eugenol
adhoc

11/07/2018 à 11h15

Pour vous, l'equia forte est plus durable que par exemple le fuji ? Quels sont les avantages que vous avez vus?


Generique fraisage r2rxmm - Eugenol
lardonbis

11/07/2018 à 11h33

je l'utilise comme pansement dans les cas où ça va être long.
boucher une couronne que j'ai percée pour un RTE le temps du rdv de contrôle ( +6mois) par exemple.

mon avis : pour une cavité une face ça fait le taf bien deux ans.
pour le reste.... ben c'est le RAC0 que veux tu :D

pour le classique distal 4 + mesial 5 de lait c'est de la merde.


P2eqdh3csim6s7nb09ktdq3e7ev8 - Eugenol
barbabapat

11/07/2018 à 11h43

adhoc écrivait:
-----
> Pour vous, l'equia forte est plus durable que par exemple le fuji ? Quels sont
> les avantages que vous avez vus?

Si tu recouvre par une coiffe, pas de problèmes.

De toute façon ca ne tient pas 5 ans sur dent de lait. Après ca dépend des parents. Sur des dents avec pulpo, vu qu'un certain nombre s'en foutent car cela fait pas mal, ca active les extractions précoces.

Ce qui est amusant dans cette histoire c'est que l'on voit que l'interdiction n'a rien de clinique puisque c'est toujours le matériaux de choix pour les polycaries et les patients avec des déficiences cognitives qui finalement ont l'exposition la plus importante par le nombre de restaurations plus élevés.


Avatar transparent iqadnc - Eugenol
adhoc

11/07/2018 à 11h58

De toute facon, on n'a plus le choix, on avait a l'epoque pour les momes les amalgames cuivrés qui avaient de tres bonnes propriétés, puis ca a disparu. Maintenant les amg sont interdits pour eux. On a les compos , mais la grande majorité est constituée de bisphenolA (bpA), donc il nous reste le VIO, et deux ou trois ans , c'est largement bon.
Pulpotomie+VIO OK pour la pédo.


Drpopol gvroh3 - Eugenol
drpopol

11/07/2018 à 16h12

Quel verre ionomère vous utilisez?


Generique fraisage r2rxmm - Eugenol
lardonbis

11/07/2018 à 16h33

equia forte.

je sais pas comment vous faites, j'ai essayé comme dans le manuel mais pour les classe 2 c'est dégueu au bout de quelques mois. Tout lisse, en pente vers la crête marginale qui n'est plus qu'un arrondi propice au bourrage


Capture d  cran 2015 03 12 12.28 - Eugenol
chicot29

12/07/2018 à 07h39

GéPé écrivait:
----
> Quelle connerie, ça devrait être interdit tout court.

Oui surtout qu'en France tout est gratuit. Le surcout c'est pour le dentiste.

https://www.sso.ch/fileadmin/upload_sso/3_Patienten/5_Behandlungsmethoden/Konsenserkla__rung_f.pdf
--
En cas d'échec des négociations conventionnelles, seriez-vous prêt à suivre la promotion d'un déconventionnement massif de la profession par les syndicats représentatifs ? OUI - NON
Participez, anonymement, sur https://goo.gl/forms/nAO0htnsVmxotjYm1

Capture d écran 2018 07 12 07.36 - Eugenol

Utilisateur banni

12/07/2018 à 07h44

C’est vrai que sucer des pastilles de plastoc c’est beaucoup moins dangereux


Capture d  cran 2015 03 12 12.28 - Eugenol
chicot29

12/07/2018 à 07h49

Bref un dégat collatéral du lobby écolo de plus. Couplé à une sous évaluation des tarifs des soins conservateurs les effets vont etre intéressants à suivre dans la bouche des Francais. -))) https://copublications.greenfacts.org/fr/amalgames-dentaires/index.htm

--
En cas d'échec des négociations conventionnelles, seriez-vous prêt à suivre la promotion d'un déconventionnement massif de la profession par les syndicats représentatifs ? OUI - NON
Participez, anonymement, sur https://goo.gl/forms/nAO0htnsVmxotjYm1


Capture d  cran 2015 03 12 12.28 - Eugenol
chicot29

12/07/2018 à 07h52

Les mesures anti Round Up se font déjà sentir. -))))


--
En cas d'échec des négociations conventionnelles, seriez-vous prêt à suivre la promotion d'un déconventionnement massif de la profession par les syndicats représentatifs ? OUI - NON
Participez, anonymement, sur https://goo.gl/forms/nAO0htnsVmxotjYm1

Capture d écran 2018 07 12 07.51 - Eugenol

Utilisateur banni

12/07/2018 à 07h54

Tu me diras ça va augmenter par la suite les reprises de caries, le nombre de dents à couronner , à extraire et implanter par la suite .


Hok 1b hgd3rj - Eugenol
Hokusai

12/07/2018 à 08h07

Rien n est plus lucratif qu un patient mal soigné... ca va etre une boucherie cette histoire.
Les soins plafonnes a perte je vois tous les jours ce que cela donne. Bientot sans compensation de la proth... et connaissant la nature humaine je vois pas par quel miracle ca peut marcher. Maintenant si on supprime l amalgame... les dents vont tomber comme a gravelotte.
C'est la guerre du low-cost avec les dérives a l'espagnole.
Un dentexia puissance 10.


Generique fraisage r2rxmm - Eugenol
lardonbis

12/07/2018 à 08h13

chicot29 écrivait:
--------
> Les mesures anti Round Up se font déjà sentir. -))))
>

t'as du bol ils laissent faire.
Par chez moi t'as un mec avec une bouteille de gaz qui les crame une par une... ça fait mal à voir tellement l’efficacité du truc est ridicule.
je pense qu'il va finir en dépression


Utilisateur banni

12/07/2018 à 08h18

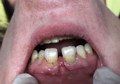
C’est joli les composites :)

3769580d 3bf7 49aa 967d 6502f71091e1 nd0zmv - Eugenol
0844f785 fe8b 4c89 8955 228a45f9b8d4 d9ykbi - Eugenol

Utilisateur banni

12/07/2018 à 08h22

« Tu vois le liseré autour des composites , c’est rien c’est juste une petite coloration, c’est normal  » qu’ils nous disent :) .... « y a juste à enlever le liseré et à remettre du compo sur le pourtour » :)))


Olieve

12/07/2018 à 08h48

junior® écrivait:
-------
> « Tu vois le liseré autour des composites , c’est rien c’est juste une petite
> coloration, c’est normal  » qu’ils nous disent :) .... « y a juste à enlever le
> liseré et à remettre du compo sur le pourtour » :)))

Sauf que là ce sont des reprises de caries chez un patient qui a une hygiène de merde.
Tu vas lui poser des amalgames ?


Photo pluton1b h9n4ea - Eugenol
pluton

12/07/2018 à 08h56

lardonbis écrivait:
---------
> chicot29 écrivait:
> --------
> > Les mesures anti Round Up se font déjà sentir. -))))
> >
>
> t'as du bol ils laissent faire.
> Par chez moi t'as un mec avec une bouteille de gaz qui les crame une par une...
> ça fait mal à voir tellement l’efficacité du truc est ridicule.
> je pense qu'il va finir en dépression

t'as aussi la version comme par chez moi: une armée de mecs avec les débroussailleuses...
çà fait le bonheur des carrossiers et des réparateurs de vitres de bagnoles....
et la semaine suivante...faut recommencer...
et puis l'essence, c'est écologique...;-)))


P2eqdh3csim6s7nb09ktdq3e7ev8 - Eugenol
barbabapat

12/07/2018 à 09h00

Olieve écrivait:
------
> junior® écrivait:
> -------
> > « Tu vois le liseré autour des composites , c’est rien c’est juste une petite
> > coloration, c’est normal  » qu’ils nous disent :) .... « y a juste à enlever
> le
> > liseré et à remettre du compo sur le pourtour » :)))
>
> Sauf que là ce sont des reprises de caries chez un patient qui a une hygiène de
> merde.
> Tu vas lui poser des amalgames ?

Sans aller jusqu'à poser des amalgames, c'est potentionnellement les situations où il faudrait utiliser les produits pour arrêter le développement de la carie et différer le soins une fois l'hygiène acquise. Après ça serait noir plutôt que gris avec l'amalgame.

Ou sinon, il y a l'utilisation du triage rose le temps d'obtenir une modification des comportements.

Par contre cela veux dire un traitement de la carie en deux temps cliniques distincts qui n'est pas prévu par la nomenclature.


Utilisateur banni

12/07/2018 à 09h07

Apparemment ça tient bien les premiers adhésifs ( acide primer colle :) il paraît que ce sont ceux qui tiennent le mieux :)

Quand je soigne des nouveaux patients qui viennent juste d’enmenager et qui viennent de certaines zones de France qui font du tout compo , dès le premier RDV je prépare directement le devis onlay car je sais qu’il va y avoir du dégât.


12