Cookie Consent byPrivacyPolicies.comun cas digne de cold case...... - Eugenol

un cas digne de cold case......

rollandc

15/08/2018 à 23h17

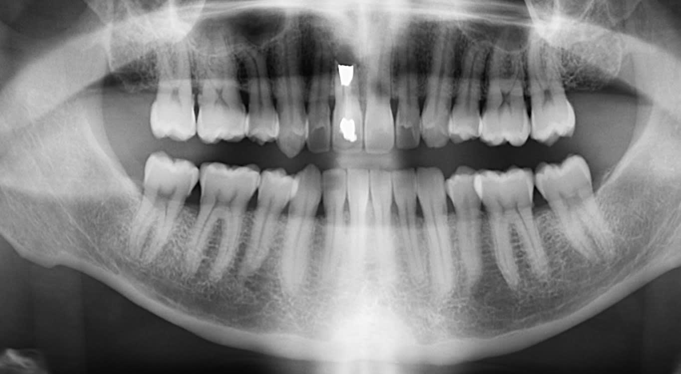
chers confrères, votre avis sur ce patient 47 a ; 11 dévitalisée en 1981 suite trauma , puis resection apicale en 1983 professeur cavaillon a versailles ( enfant 12 a)
image constante radio claire depuis 1983 inchangée en région apicale sans aucun signe clinique.
épisode douloureux il y a 15 ans, une stomato a simplement rouvert le canal , nettoyage et comblement ( partie en retraite pas d infos supplémentaires) guérison immédiate sans abord apex.
dent non douloureuse depuis 15 ans
depuis quelques mois : douleurs uniquement a la mobilisation de la dent , pas de gonflement apical ni fistule , ni à la pression au dessus 11
absence de douleur au réveil.
votre avis ; reprise simple traitement canalaire possible comme il y a 15 ans? possible action sur le kyste ? possible greffe osseuse le cas echeant?
vous remerciant pour vos avis conf. ci joint pano 2014 asympto pano 2018 dent 11 2018 et scan 2018

Xigdconsfein7vzof8sz - Eugenol
Derr76tjv0ei4cczlset - Eugenol
Swroqm8lvm4libk49yx7 - Eugenol
Gie7jzulviz2uiuu3pe3 - Eugenol

hurluberlu

15/08/2018 à 23h39

non mais vous voyez bien que le canal est bouche non ?

c'est inaccessible

ca a mal ete fait en 1983

faut extraire et poser un implant

genre un nobel replace


hurluberlu

15/08/2018 à 23h58

ce mec n'est pas dentiste

attention !! arnaque !!!


E922cb58f40adb4b770d0cd0158b332f p1seg7 - Eugenol
chicologue22

16/08/2018 à 00h09

C’est déjà bien d’avoir conservé cette dent si longtemps. Tu es nouveau sur le forum ?
Photo ? Sondage ? C’est bien maigre pour prendre une décision, la présentation du cas laisse à désirer à mon avis


hurluberlu

16/08/2018 à 00h24

c'est pas mal d'avoir garde les dents, par contre les gencives c'est moins bon

ca va pas etre evident de faire tenir un implant dans ce merdier

a mon avis, faut tout virer en haut et repartir sur un terrain sain


hurluberlu

16/08/2018 à 00h33

y a une autre necrose sur la 15

on dirait que la patient a sniffe un produit irritant par la narine droite


hurluberlu

16/08/2018 à 00h57

on peut noter sur les panos comment la necrose a evolue au meme rythme que la parodontite entre 2014 et 2018

la meme quantite de perte osseuse


elje

16/08/2018 à 16h04

hurluberlu écrivait:
----------
> c'est pas mal d'avoir garde les dents, par contre les gencives c'est moins bon
>
> ca va pas etre evident de faire tenir un implant dans ce merdier
>
> a mon avis, faut tout virer en haut et repartir sur un terrain sain
Heu tu la vois comment la gencive? Tu portes comment ton diagnostic de parodontite sur deux panos?Nécrose sur 15 , alors là tu m'impressionnes vraiment et tout ça sur ces panos avec de belles déformations. Faut m'expliquer car j'ai du rater des étapes. Ou si c'est du second degré oublie mon post.


jeanpi75

16/08/2018 à 16h43

C'est honteux d'avoir voulu soigner cette 21.
35 ans plus tard c'est la catastrophe.
Je dirai plutôt que c'est digne d'Esprits Criminels cette histoire.
Mais que fait le FBI ?


hurluberlu

16/08/2018 à 17h14

c'est X-FILES

que va t'il arriver a cette dent ?

un endodontiste va t'il pouvoir refaire le truc ?

combien de temps ca va tenir ?

vous le saurez dans le prochain episode


drmaz

18/08/2018 à 18h49

Moi je laisserai comme ça si pas de symptômes douloureux pour le moment puis exo et comblement osseux en perop, attends 6 mois avec un provi collé et implant


rollandc

18/08/2018 à 20h13

bjr comblement osseux donc greffe au moment extraction. vous laissez pas cicatriser avant greffe? pensez vous qu il y ait infection et necrose evolutive ou bien stationnaire d apres scann et pano ? conf