Cookie Consent byPrivacyPolicies.comrecidive exerese kyste - Eugenol

recidive exerese kyste

yup

19/08/2018 à 11h42

Bonjour la communauté,

j’étais en vacances, tranquille, quand une patiente que j'ai vue en juillet pour exérèse d'un kyste m'envoie un mail alarmant en disant que celui ci est revenu..
Du coup, je n'ai encore rien vu en bouche, mais je pense que si elle le dit, c'est que c'est probablement vrai et j'ai peur de ne pas avoir de reponse à lui donner à la rentree.
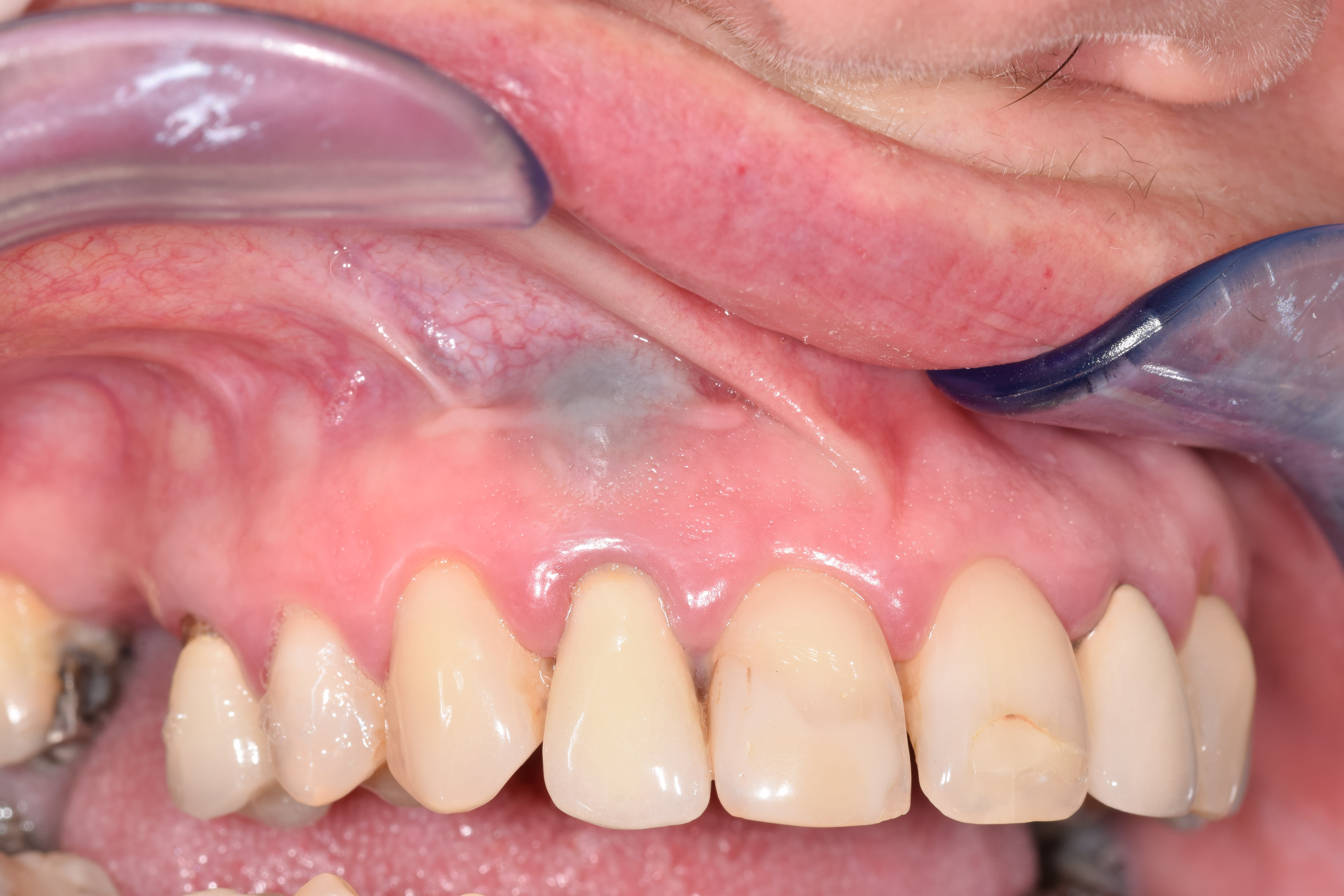
le cas:
la 12, traitée endo, avec une couronne à adaptation correcte, dont l’esthétique convient à la patiente. 1 résection apicale faite il y a qqs années avec obtu à l'amalgame. une lésion kystique de env 1cm de grand axe s'est installée depuis au moins un an. Au cbct : lesion centrée sur l'apex, avec une fenestration vesibulaire, ne s'etendant pas jusqu'en palatin. (malheureusement j'ai pas acceès aux rx en ce moment, seulement une photo pre op...)
pas d'antecedent de trauma
J'ai cureté , verifié l'apex au micro pour les fissures , l'obtu (j'ai choisi de ne pas deposer l'amalgame apical car si je tapais dedans il y resterait des debris ds les tissus mous, et si je coupais l'apex encore plus on se retrouverait avec une racine bien courte)
le kyste comprenait une enveloppe et contenu liquide, adhérant à la muqueuse vesitibulaire. J'ai tres bien cureté les tissus osseux et degranulé en vestibulire autant que possible mais j'avais peur de ne pas avoir de quoi recouvrir l'os si je virais toute la muqueuse ou l'adhesion du kyste se faisait.
des explications sur les raisons de la recidive? quel serait le diagno differentiel pour vous?

X1tkvqhjbkikmoeevt94 - Eugenol

Rape p0as4f - Eugenol
rapelapente

19/08/2018 à 15h03

- Tu as cureté le kyste en juillet. Il ne peut pas recidiver en un mois.

Ce qu'elle pense être une récidive n'est qu'une infection.
Sans doute est-elle allé voir un confrère roumain qui lui a fait un cliché, et qui, évidemment a vu la zone radiioclaire et lui a sorti: il y a un kyste...

Dis-moi si j'ai raison après l'avoir vue.


mr smith

19/08/2018 à 19h17

rapelapente écrivait:
-----------

>
> Ce qu'elle pense être une récidive n'est qu'une infection.
> Sans doute est-elle allé voir un confrère roumain qui lui a fait un cliché, et
> qui, évidemment a vu la zone radiioclaire et lui a sorti: il y a un kyste...

Quelle idée de passer ses vacances en Roumanie ;o)))


PtnbZ

20/08/2018 à 09h14

Si tu retires la conséquence sans traiter la cause, tu auras une récidive, même si en 1 mois ce n'est pas réaliste.
Il reste une population trop importante de bactérie pour que tu aies un kyste après une première chirurgie endodontique : je doute du succès de ton traitement à moyen terme.


yup

20/08/2018 à 09h23

Je veux bien, mais je n'ai pas trouvé d'autres causes à ce kyste :ras au niv apical. Peut être il y aurait des percolation, mais encore une fois ds ce cas t'as pas des récidives à 1mois. Je me pose plus de questions sur la nature de ce machin...


PtnbZ

20/08/2018 à 10h12

Il n'y a pas de récidive (encore), juste une image radioclaire suite à la chirurgie qu'un autre dentiste a interprété comme une récidive.


hurluberlu

20/08/2018 à 21h45

Elle a de la moustache

La 22 est chelou, la 23 aussi

La 15 j’en parle même pas

Bref elle doit puer du bec

On prend une pince plate, un marteau

Avec la pince on sert la 22, coup de marteau vertical BAM ! on dépose

Pareil pour la 23

La 15 j’y vais à coups de davier direct

Plus la peine de déposer on voit qu’il n’y a rien à faire


hurluberlu

20/08/2018 à 22h21

5 stars review google "dentiste tres doux, tres a l'ecoute, ne fait pas mal"


rat

21/08/2018 à 15h04

Vois en bouche et après tu sais mieux ce qu'il en est: la patiente est contrariée que tu aie pris des vacances
et le praticien qu'elle a vu a dû aussi interpréter ce qu' elle lui a raconté.


yup

21/08/2018 à 16h42

> un autre dentiste a interprété comme une récidive.
>et le praticien qu'elle a vu a dû aussi interpréter ce qu' elle lui a raconté.


on dirait un phenomene "telephone arabe " se manifeste là