Cookie Consent byPrivacyPolicies.comtraitement express - Eugenol

traitement express

1309531 ours brun n5iukf - Eugenol
seespan

22/08/2018 à 14h57

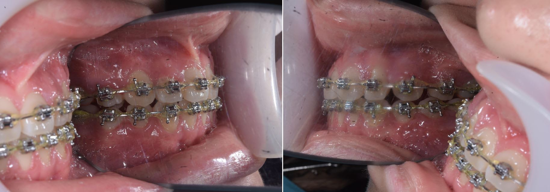
Patiente ayant commencé son traitement en Nouvelle Zélande, le dentiste lui ayant dit qu'elle en avait pour un ou deux mois grand max pour finir.
Discussion un peut tendue avec la maman pour expliqué que non en un mois ça allait pas être possible, qu'il fallait plutôt un ans et extraire une incisive du bas ( car en cas d'agénésie la substitution c'est un peut la meilleur solution )
Enfin bref, prise d'empreinte pour un set up 3D et extraction 2 semaines plus tard.
La patiente à était une championne avec les élastique et 5 mois plus tard ( ou aujourd'hui ) ont à put enlever les bagues.
C'est pas parfait mais c'est mieux que de continuer en Suisse ( car la maman à déjà payé pour le traitement en NZ, au Cambodge et trouve qu'il n'y a pas matiére à continuer les dépenses en Europe ).
On va lui donner demains des aligneurs plastique pour améliorer l''alignement et le traitement sera fini à son retour dans deux ans.




--
หมอจัดฟัน

F1qy4xfhwoi6gsn3q9mg - Eugenol
Xgjdheejmzyrqt5a0hde - Eugenol
Fjpnpelkk7ot4ucqby6c - Eugenol
Szdjakevfhlyvadlvlcm - Eugenol
Ddvr98lfn2mkcvmyxxok - Eugenol

Zorba le grec 1373406512 108 lfk5ey - Eugenol
zorbalegrec

22/08/2018 à 16h29

Seespan il est temps de changer tes miroirs


1309531 ours brun n5iukf - Eugenol
seespan

22/08/2018 à 16h32

Les photos ont était prise à larache car je voulais montré le cas à un dentiste de mon hosto pour qui c'est " sacrilége que d'extraire une incisive" .

Normalement je prend les photo le lendemain ( ce que je ferais d'ailleurs ). Y a pas que le miroir qui pose soucie, le flash n'était régler que pour éclairer un seul coté, d'ou l'ombre moche du coté gauche.


--
หมอจัดฟัน


1309531 ours brun n5iukf - Eugenol
seespan

23/08/2018 à 02h41

Pas plus de réaction ?
L'extraction d'une incisive inf pour traiter un cas d'agénésie inf c'est pourtant pas très courant comme modalité de traitement.


--
หมอจัดฟัน


Capture d  cran 2015 05 13   10.37 - Eugenol
BA

23/08/2018 à 17h21

Je ne comprendrai jamais comment les Ortho peuvent équilibrer l' occlusion avec une prémolaire en haut pour deux en bas....


Capture d  cran 2015 05 13   10.37 - Eugenol
BA

23/08/2018 à 17h22

Bon là c'est vrai qu'il manque 2 incisives ....


1309531 ours brun n5iukf - Eugenol
seespan

24/08/2018 à 03h01


Très simple tu ajuste les points de contacts. Le fait que l'occlusion n'est pas une importance vital en orthodontie aide aussi beaucoup.
Je te conseil de lire les recherches sur l'importance de la fonction canine par exemple, ou pourquoi on n'en a rien à foutre en faite à moins de faire de la prothèse.

--
หมอจัดฟัน


dmoh.

25/08/2018 à 11h41

Bonjour seespan.
Vous dites :
"L'extraction d'une incisive inf pour traiter un cas d'agénésie inf c'est pourtant pas très courant comme modalité de traitement. "
Au maxillaire , il manque deux premolaires.
Est-ce une agenesie des "5" maxillaires ?
Ou bien des extractions pour corriger la malocclusion ?
MERCI.


ken

25/08/2018 à 13h33

Très astucieux!
Bravo.
la substitution est une bonne alternative afin de terminer en classe 1 canine et molaire droite et gauche et assurer par conséquence la stabilité à long terme .


ken

25/08/2018 à 13h39

on dirait que la 33 a pris la place de la 32 !
la 23.24.33 doivent être tipper et c' est bon .