Cookie Consent byPrivacyPolicies.comGestion implantaire édentement 16 17 - Eugenol

Gestion implantaire édentement 16 17

1309531 ours brun n5iukf - Eugenol
seespan

04/09/2018 à 09h05

Perso j'attend trois mois après la pose de l'implant.
Comme l'a dit pluton les forces utilisé en orthodontie sont légère.
Il m'ai déjà arriver de desceller la provisoire de l'implant mais j'ai encore jamais perdu un implant :-)

--
หมอจัดฟัน


1309531 ours brun n5iukf - Eugenol
seespan

13/09/2018 à 07h56

Et après une gros mois et demi de rad mon kitview remarche.

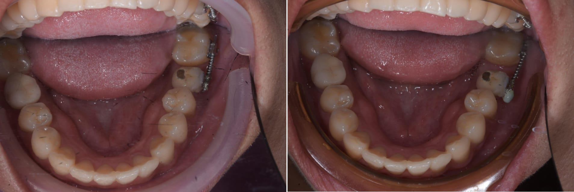
Dans la serie bouger une dent avec un implant, un cas vue ce matin. Deux mois avec un ressort.


--
หมอจัดฟัน

Implat bjcztu - Eugenol

Fear and loathing in las vegas toax7t - Eugenol
Donchico

13/09/2018 à 15h18

En effet , ça bouge bien.
Avec quoi colles-tu tes verrous sur de la céramique ?


1309531 ours brun n5iukf - Eugenol
seespan

13/09/2018 à 15h55


Ceramic primer, ormco

--
หมอจัดฟัน


12