Cookie Consent byPrivacyPolicies.comUn peu d equitation ce wk... - Eugenol

Un peu d equitation ce wk...

mjulkmilk

03/09/2018 à 14h28

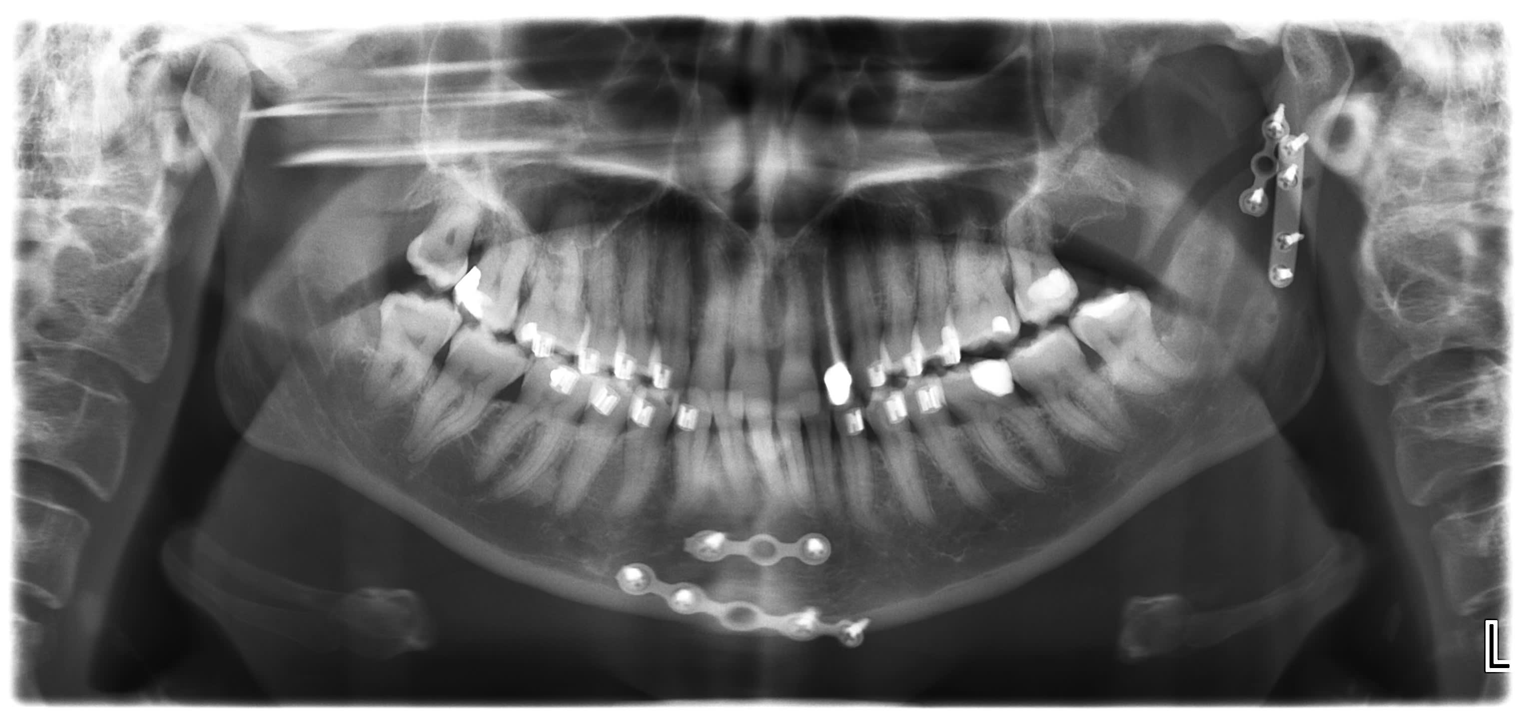
Urgence typique du vendredi, juste avant le wk. Sabot cheval qui a fracture le condyle gauche et symphyse mandibulaire.
Rapide IMF avec brackets, et operation le lendemain. 4 plaques, 2 au condyle et 2 a la symphyse.
Radio controle vendredi..

Lckmmf9g5fvhbtkc49fa - Eugenol
Wy8zfofidetojfaj9v2m - Eugenol
Wxl3hpwfmgg0tbhcwtfe - Eugenol
Gr5baaegdyr2zuea85vr - Eugenol

Zorba le grec 1373406512 108 lfk5ey - Eugenol
zorbalegrec

03/09/2018 à 14h54

Dans son malheur aucune dent n'a été pétée


Generique fraisage r2rxmm - Eugenol
lardonbis

03/09/2018 à 15h03

c'est là que je me dis que suis bien... urgence ce matin : une 11 fracturée..... sur un partiel résine


mjulkmilk

03/09/2018 à 15h19

Trait fracture symphysaire passe au niveau alveole de 41/42.. Ca sent bridge colle.. Wait and see


teeth61

03/09/2018 à 15h58

un peu plus haut et c etait le cimetiere


Images 1 qtgoxf - Eugenol
ciwil

03/09/2018 à 16h00

respect et admiration pour les chirs


mjulkmilk

12/09/2018 à 20h07

elastiques 3 semaines. Patiente presque plus de douleurs... Bonne cicatrisation intra et extra orale. Esperons coronoide se remette en place par tensions musculaires.

Fraktur post op rddj4f - Eugenol

Paul Pitt

13/09/2018 à 10h12

Peut on esperer une cicatrisation osseuse du coronoide avec un deplacement auusi important ?
Ps : carie sur 18 ;-)