Cookie Consent byPrivacyPolicies.comViens chercher bonheur...au fond du ramus.. - Eugenol

Viens chercher bonheur...au fond du ramus..

mjulkmilk

04/09/2018 à 14h28

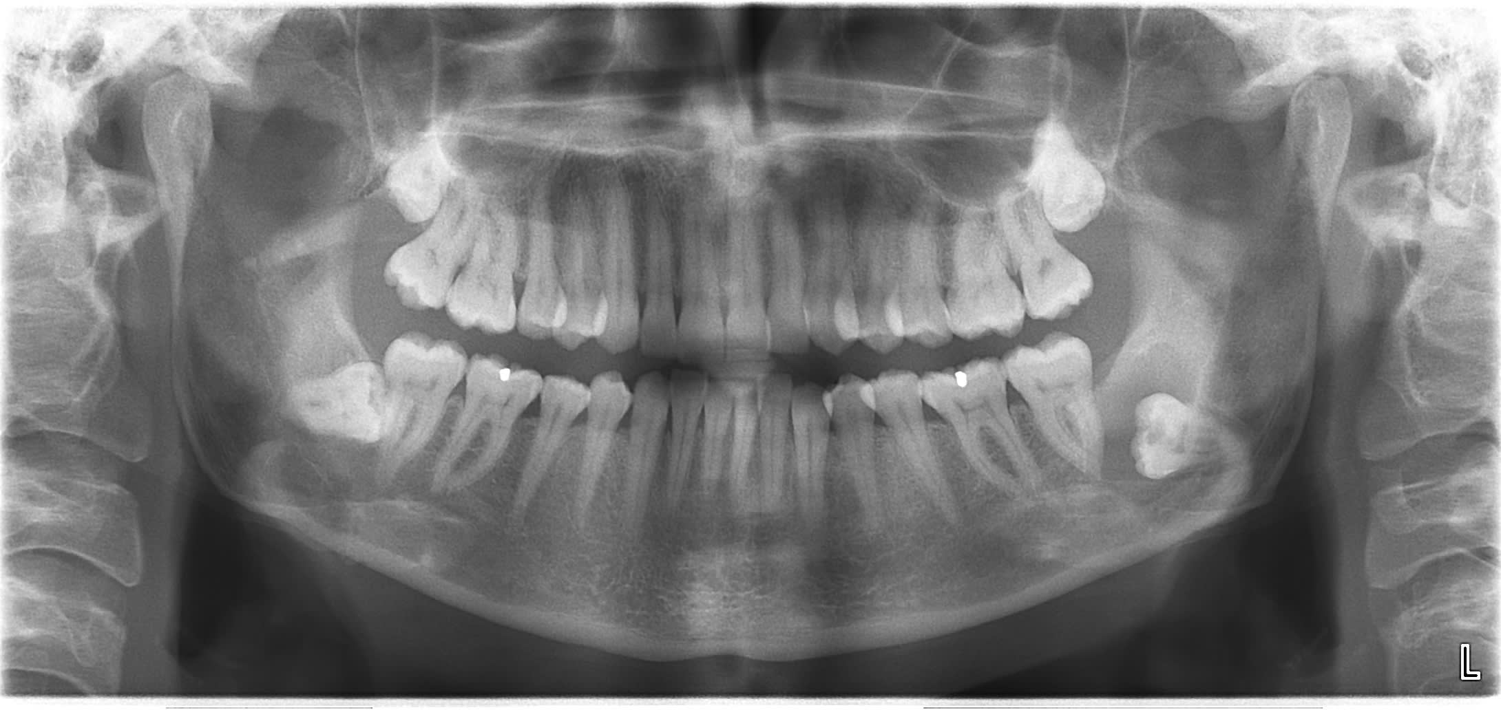
Petit kyste folliculaire. Controle post op 6 semaines. aucune douleur, pas de perte sensibilite labio mentonniere.. :0) ouff

W8tom4aeqavazandufp8 - Eugenol

Generique fraisage r2rxmm - Eugenol
lardonbis

04/09/2018 à 14h40

Mr cratère :D
avec la cicat osseuse t'as pas la 7 qui danse ?


mjulkmilk

04/09/2018 à 14h59

Non, son dentiste doit terminer endo fin septembre. pas mobilite aussi surprenant que cela puisse paraitre.