Cookie Consent byPrivacyPolicies.comreprise TT/ODF - Eugenol

reprise TT/ODF

burnax

05/09/2018 à 10h21

bonjour,

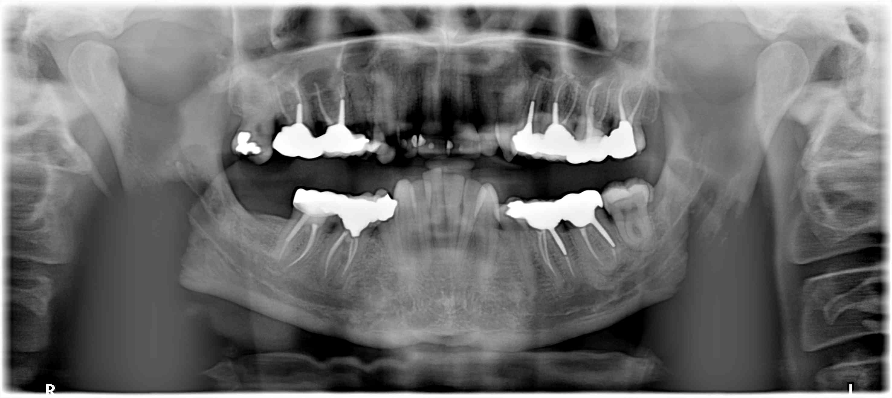
un patient consulte pour un bilan avant ortho Invasilign.

La pano montre une lésion sur 24, 46, traitement canalaire ancien.

Je demande un Cone Beam.

La lésion sur 46 minime, (je laisse), la 24 (' RTT+chir apicale) mais découverte d'une lésion sur la 36. Que feriez-vous ?

Jfiyyqvqrstwpsom8j28 - Eugenol

1309531 ours brun n5iukf - Eugenol
seespan

05/09/2018 à 10h55

Voir avec l'ortho quel type de traitement est prévue.
Dixit la pano le patient semble relativement agé et à des couronnes soudée + une courbe de spee très prononcé ( on suppose un deep bite)
Bref je doute que ça soit un full traitement qui soit prévue.
Si c'est une simple alignement du haut et une amélioration en bas, tu peut demander à l'ortho de ne pas toucher la 46. Avec invisalign c'est simple à faire.




--
หมอจัดฟัน


Generique fraisage r2rxmm - Eugenol
lardonbis

05/09/2018 à 11h33

burnax écrivait:
------
Que feriez-vous ?

j’extrais la 18, je met un coup à la 38.
La racine distale de 37 est ok au cbct?
pour 36 et 46 si pas antécédence et de signes je préviens le patient et basta

bonne chance pour l'occlusion :D


azerty

05/09/2018 à 12h05

suis circonspect avec invisilign. surtout au niveau responsabilité.
tu prends l'empreinte, ils gerent, mais te laissent la responsabilité au cas ou cela merdouille.


120 81 mdkvjo - Eugenol
Monaco

05/09/2018 à 12h37

L'avantage avec Invisalign comme déjà évoqué c'est que pour le coup tu peux tres bien décider de ne pas déplacer du tout une dent. Du coup peu de risque ici de propager les lésions.
En multiattaches classiques tu es généralement plus dépendant des forces d'action/réaction.


burnax

05/09/2018 à 12h40

Sorry, c'est la 37, qui me chagrine , pas la 36....


1309531 ours brun n5iukf - Eugenol
seespan

05/09/2018 à 13h59

azerty écrivait:
------
> suis circonspect avec invisilign. surtout au niveau responsabilité.
> tu prends l'empreinte, ils gerent, mais te laissent la responsabilité au cas ou
> cela merdouille.

Non pas trop enfaite.
Oui tu prend l'empreinte mais ensuite c'est toi qui leur dit ce que tu veux et le type de mécanique à réaliser.
Du type ici si il y a suppraclusion tu vas devoir indiqué le type d'attache/calle/ si il faut faire une intrusion du bas/ du haut et dans quel proportion. Décrire des surcompensation ect.

Si c'était juste prendre l'empreinte et les laisser faire le boulot ça ferait longtemps qu'il n'y aurait plus d'ortho.


--
หมอจัดฟัน


Generique fraisage r2rxmm - Eugenol
lardonbis

05/09/2018 à 14h23

seespan écrivait:
-------

> Si c'était juste prendre l'empreinte et les laisser faire le boulot ça ferait
> longtemps qu'il n'y aurait plus d'ortho.

c'est certainement ce qu'ils pourraient proposer dans 2/3 ans ( présenté comme des "suggestion" peut être ) et il y aura encore des ortho pour un bon moment.
combien de temps avant que l'IA propose de meilleurs plans de traitements ortho que le dentiste moyen ?


120 81 mdkvjo - Eugenol
Monaco

05/09/2018 à 14h26

Ya déjà même plus besoin d'ortho ..

https://smiledirectclub.com/


1309531 ours brun n5iukf - Eugenol
seespan

05/09/2018 à 14h45

Si les traitement sont supervisé.
C'est juste qu'ils ne font que du basic qui peut être supervisé par un dentiste sans expérience poussée. Ils envoient les cas plus compliqué au provider invisalign.


--
หมอจัดฟัน