Cookie Consent byPrivacyPolicies.comVers la fin du numerus clausus? - Eugenol

Vers la fin du numerus clausus?

carident

05/09/2018 à 19h01

Dernière brique pour mater les soignants et démanteler l'exercice libérale?

https://www.huffingtonpost.fr/2018/09/05/medecine-le-gouvernement-veut-en-finir-avec-le-numerus-clausus-en-1ere-annee_a_23517449/

Le gouvernement veut en finir avec le concours en fin de première année de médecine
La disparition du "numerus clausus" ?

MÉDECINE - Serait-ce la fin du contraignant numerus clausus et du terrible concours de fin de première année de médecine? Le gouvernement réfléchirait à mettre fin à cet examen qui fait trembler les étudiants, selon Franceinfo ce mercredi 5 septembre.

Jusqu'à aujourd'hui, une sévère sélection est effectuée à la fin de la première année pour limiter le nombre de futurs médecins. En 2017, sur 60.000 candidats, seuls les 8200 meilleurs pouvaient être reçus en deuxième année de médecine, soit à peine 15% des participants. Un système qui favorise les étudiants en mesure de financer une école prépa privée et qui pousse de plus en plus d'élèves à partir faire leurs études à l'étranger, comme en Roumanie, en Espagne ou en Belgique.

Le si redouté concours de fin de première année pourrait ainsi être remplacé par des partiels plus classiques pour lesquels les étudiants ne seront plus en compétition. Reste toujours à réguler le nombre de médecins. Deux pistes sont sur la table, selon Franceinfo:

- Une dérégulation totale, avec un "numerus apertus" permettant à chaque université de décider combien d'étudiants elle souhaite former.

- La mise en place d'une sélection via un concours mais après une licence. Les étudiants pourraient ainsi suivre des études de médecine pendant au moins trois ans. Selon une source citée par Franceinfo, cette formule permettrait aux élèves recalés de ne pas avoir "perdu leur temps" puisqu'ils pourront trouver des passerelles vers d'autres études du domaine de la santé.


mr smith

05/09/2018 à 19h35

L’augmenter aurait bien été trop facile . Il va vraiment falloir faire table rase du passé , nous entrons dans le “nouveau monde” , et les news defilent avec Ferrand au perchoir , etc .....

Moi aussi j’avance , je viens de faire un chèque à une officine de vente de cab , j’ai le droit d’etre con aussi , merde quoi alors :0))))


Hok 1b hgd3rj - Eugenol
Hokusai

05/09/2018 à 20h13

Reguler le nombre de medecins mais en finir avec le num... la selection en licence ??? Apres le doctorat ???
Tu pars en roumanie a 100ke pour eviter une prepa a 2ke ??? Logique de journaliste...

Bref... on continuera de creer la penurie de soignant malgre la fin du num impose par l europe et ses ecoles de pacotille a 100% de reussite (sont forts les gars) sinon la secu explose.
Va falloir vite renter de roumanie par contre.


1309531 ours brun n5iukf - Eugenol
seespan

06/09/2018 à 03h07

Le soucie majeur c'est que nos gouvernement sont incapable de faire du prévisionnel à long terme.
Dans l'absolue prévoir les besoins en personnel soignants 20 30 ans dans le future ça n'est pas compliqué, les former et les encadrer non plus. Mais ça en France et dans la majorité des pays en faite, on ne sais pas faire.
Résultat on réagit à l 'instant T et on à un système qui coute chère, peut efficace

A noter le soucie en France ça n'est pas tant le manque de soignant que leur mauvaise répartition, mauvaise répartition qui est due à au condition d'exercice. Augmenter le nombre de soignant ne résoudra en rien ce problème.
Le truc marrant si l'on peut dire c'est qu'il y a la même situation dans d'autre pays devellopé comme le Cambodge ou le Maroc. En nombre il y a assez de dentiste mais vue qu'avec les infrastructure en place travailler hors des grosses villes n'est pas idéal ( revenue/ cadre de vie) personne n'y va. Et la réponse du gouvernement plutôt que de s'attaquer au problème de fond et de créer plus de soignant moins bien formé of course vue qu'il n'y a pas de sous à mettre dans la formation.
Pour le Cambodge ils ont autorisé les assistantes dentaire à ouvrir leur cab et à travailler en tant que dentiste. Bien entendue si certain l'on fait, la majorité on ouvert en ville, conduisant à la fois à une dégradation de la qualité des soins et du niveau de vie des dentistes.

Au niveau médical il n'y a pas de secret, si tu regarde les pays avec un bon niveau de santé, un bonne accès au soins, '( Allemagne , pays du nord, Japon, Korée ) c'est toujours le même schéma.

- Formation initial de bon niveau
- Control qualité
- Formation continue obligatoire
- Contrôle du nombre de soignants, voir de leur implantations sur le territoire.

Après du à une deuxième couche avec la gestion des cout, mais là c'est la gestion des assurances qui rentre en jeux.
Un pays qui fait ça comme un pied c'est les US, un pays qui fait un peut moins pire mais qui est quand même dans le bas du classement c'est la France. Dans ces deux cas par contre les assurances se goinfrent grave :-)


--
หมอจัดฟัน


Ylfwcw979cz1jnx9gfqeaxndiuzk - Eugenol
Algi

06/09/2018 à 07h10




--
On a toujours le choix mais entre quoi et quoi?
Vas-y boulégue et l'avenir te le dira!


220px don camillo4 qrcfhs - Eugenol
camillo

06/09/2018 à 07h44

Au moins ça évitera aux roumains de s'installer en masse, aux fils a papa d'acheter un diplôme en Espagne et on aura peut être une chance de vendre


220px don camillo4 qrcfhs - Eugenol
camillo

06/09/2018 à 07h45

Au moins ça évitera aux roumains de s'installer en masse, aux fils a papa d'acheter un diplôme en Espagne et on aura peut être une chance de vendre


Capture d  cran 2015 03 12 12.28 - Eugenol
chicot29

06/09/2018 à 08h38

Le conventionnement sélectif pointe son nez. Mais restera la liberté de s'installer en non conventionné. Au fait quand vous avez frité votre caisse vous allez chez un garagiste ou votre assurance rembourse que dalle ?


--
En cas d'échec des négociations conventionnelles, seriez-vous prêt à suivre la promotion d'un déconventionnement massif de la profession par les syndicats représentatifs ? OUI - NON
Participez, anonymement, sur https://goo.gl/forms/nAO0htnsVmxotjYm1


RookMoot

06/09/2018 à 09h44

il n'y a pas le début du commencement du financement pour former et encadrer cette jeunesse mais on veut supprimer le numerus ? Bonne blague.


Ba2be871 3220 4edb a5bc d126045cb763 jy2fsv - Eugenol
cyber ratiches

06/09/2018 à 15h07


« Moi aussi j’avance , je viens de faire un chèque à une officine de vente de cab , j’ai le droit d’etre con aussi , merde quoi alors :0)))) »

Cabinet en ville ou campagne?
Le montant du chèque représente combien en % du montant de la vente?


--
•La chose la plus importante dans la communication est d'entendre ce qui n'a pas été dit. (Peter F. Drucker)


Images cu89bm - Eugenol
Tizott

06/09/2018 à 16h46

RookMoot écrivait:
--------
> il n'y a pas le début du commencement du financement pour former et encadrer
> cette jeunesse mais on veut supprimer le numerus ? Bonne blague.

Tu riras moins quand un génie de l'énarchie ira pomper la solution chez les espingouins et proposera, tout fier, la création de facs privées françaises sous contrat. Bonus : l'état ne sortira pas le moindre fifrelin. Tout bénef pour les finances publiques.


Couv 183680 s43eq6 - Eugenol
Bozzo

06/09/2018 à 17h10

J'entends souvent sur ce forum que la fin du numérus clausus est une erreur car il y a assez de chirurgiens-dentistes mais qu'ils sont mal répartis et quand on parle de restreindre le choix d'implantation vous êtes également contre en disant que ce n'est pas la solution alors c'est quoi la bonne solution ?


Hok 1b hgd3rj - Eugenol
Hokusai

06/09/2018 à 17h22

Bozzo écrivait:
-----
> alors c'est quoi la bonne solution ?

Full libéralisation de tous les actes et contrôle qualité.
Tu veux une saine concurrence ?? Avec des soins réalisés a perte ??


Couv 183680 s43eq6 - Eugenol
Bozzo

06/09/2018 à 17h25

Hokusai écrivait:

> Full libéralisation de tous les actes et contrôle qualité.
> Tu veux une saine concurrence ?? Avec des soins réalisés a perte ??

Ca ne résout en rien le problème de la répartition des praticiens !


Hok 1b hgd3rj - Eugenol
Hokusai

06/09/2018 à 17h27

Et alors ??? Tu veux qu on t oblige a aller monter de la ceram au fin fond de la creuse ???
Y a pas de deserts medicaux... ce sont des deserts tout court.
La liberte TOTALE d installation... la revitalisation rurale alors que toutes les manufactures ont quitte le pays ??? Mais quelle blague.
Plus de poste, d école, de boulangerie, épicerie, restau... mais t'oblige un francais diplômé roumain a s'installer la dedans et d'oeuvrer au tarif secu/CMU ??? je ne leur souhaite meme pas.
Et son conjoint ?? Il regarde les fleurs pousser ??
Les gamins c'est 1h de bus pour arriver au collège... 2h pour le lycée... voir internat...


Couv 183680 s43eq6 - Eugenol
Bozzo

06/09/2018 à 17h41

Bon ben finalement tu l aimes bien le système actuel Hokusaï alors de quoi tu te plains ?


Hok 1b hgd3rj - Eugenol
Hokusai

06/09/2018 à 17h45

Bozzo écrivait:
-----
> Bon ben finalement tu l aimes bien le système actuel Hokusaï alors de quoi tu te
> plains ?

??? Je le conchie le système actuel... pour le dentaire il est minable mais l'hôpital publique la c'est le drame.
Faudra pas être trop malade dans les années a venir.
Ce sera soins d'entrée de gamme pour tous... avec des cotisations premiums. Merci la secu !!!
tu veux venir chez moi ? Je te fais un compo pour 25e ?
Une endo pour 30e ??
Remarque les prothos... ont leur demande meme plus de revitaliser la creuse mais de laisser leur place aux protho turcs. Tu trouves que c'est un beau système ?


Couv 183680 s43eq6 - Eugenol
Bozzo

06/09/2018 à 17h54

Et comme d habitude Hokusaï t es à côté de la plaque ! Je pose une question et tu réponds complètement à côté ! Et pour ton info je bosse aussi dans un désert médical !


Hok 1b hgd3rj - Eugenol
Hokusai

06/09/2018 à 17h58

Bozzo écrivait:
-----
> Et comme d habitude Hokusaï t es à côté de la plaque !

Bin t'es pas dans un désert alors... t'as des clients autour de toi !!!
Et c'est sur que comme toi tu y es... c'est que les autres veulent venir.
Tu parles d'un raisonnement.
Les jeunes ne veulent plus y aller et je les comprends.


1309531 ours brun n5iukf - Eugenol
seespan

06/09/2018 à 18h01

Bozzo à raison.
Si tu veux un nombre fixe de dentiste et un maillage de territoire, il n' y a pas d'autre moyen que d'avoir un contrôle sur le lieux et le nombre d'installation.
C'est ce que fait l'Allemagne. Pour le dentiste ça veut dire un lourd investissement car les cab ont de la valeur (comme une officine de pharamacien) et pour les patients ça peut se traduire par un gain de qualité.
Vue que le nombre de lieux d'installation est limité, il faut attendre qu'une place se libère pour s'installer, ça plus le cout élevé se traduit par une très faible mobilité professionnel. Si tu travail mal et à mauvaise réputation, ton avenir devient compliqué, car bouger ailleurs c'est dure.

Par contre soucie pour la nouvelle génération dans le sens ou s'installer ou tu veux va devenir plus compliqué, et parce qu'avec l'augmentation non contrôler du nombre de dentiste , l'achat d'un cab risque de devenir compliqué et favorisé les jeunes issue de famille aisé ( genre qui vont faire dentaire en Espagne ).


--
หมอจัดฟัน


Hok 1b hgd3rj - Eugenol
Hokusai

06/09/2018 à 18h04

seespan écrivait:
-------
> Si tu veux un nombre fixe de dentiste et un maillage de territoire, il n' y a
> pas d'autre moyen que d'avoir un contrôle sur le lieux et le nombre
> d'installation.
> C'est ce que fait l'Allemagne.

Tu connais un peu les honoraires allemands ?? Tu t'imagines au fin fond de la meuse travailler au tarif secu/CMU ???
Le jeune, il a vite fait son calcul.
C'est un sacerdoce que de travailler en rural en france... et durr dental te fais pas de réduction pour service rendu a la nation.


Couv 183680 s43eq6 - Eugenol
Bozzo

06/09/2018 à 18h05

Hokusai écrivait:

> Bin t'es pas dans un désert alors... t'as des clients autour de toi !!!
> Et c'est sur que comme toi tu y es... c'est que les autres veulent venir.

Je te parle numerus clausus et répartition des praticiens et tu viens me parler de tes tarifs ! Si un patient ne peut pas trouver de praticiens ça lui fera une belle jambe si tous les tarifs sont libres ou pas !!!


Hok 1b hgd3rj - Eugenol
Hokusai

06/09/2018 à 18h09

Bozzo écrivait:
-----
> Hokusai écrivait:
>
> > Bin t'es pas dans un désert alors... t'as des clients autour de toi !!!
> > Et c'est sur que comme toi tu y es... c'est que les autres veulent venir.
>
> Je te parle numerus clausus et répartition des praticiens et tu viens me parler
> de tes tarifs !

Mais le num n'existe plus. 50% des primo-inscrits sont hors num en 2017, et ils vont en régions bien dotées.
Les prat évitent les déserts parce que y'a pas un kopeck la bas... y'a du travail mais pas d'argent.
Mais tu regles quand meme 1700e de taxe fonciere et autant de CFE...
Rien a voir avec le num, qui n'existe plus.

T'irais t'installer dans un coin ou tu dois faire que des rep a 20e et des CCM a 60??? Y'a pas un num de protho pourtant...

Tu regardes la ou l'immobiler est élevé. et la t'as de l'activité de service dentistes, coiffeurs, restaurants... ca n'a rien a voir avec le num.


PtnbZ

06/09/2018 à 19h04

Bozzo il ne comprend pas que l'activité est liée à la rentabilité aussi :))
100% d'acte à perte = tu perds :))


Hok 1b hgd3rj - Eugenol
Hokusai

06/09/2018 à 20h19

PtnbZ écrivait:
-----
> 100% d'acte à perte = tu perds :))

Ca dépend...
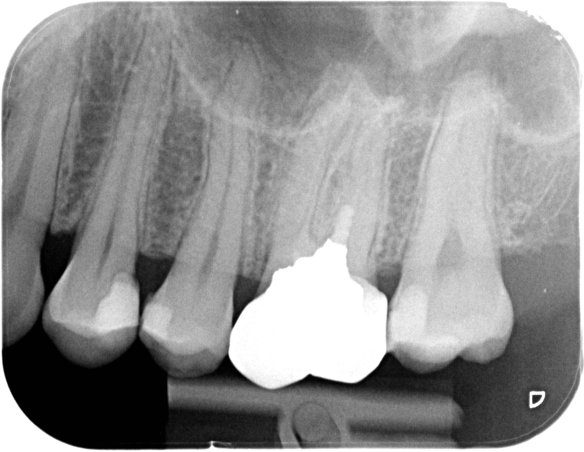
La par exemple, même a 410e la coiffe ceram mon confrère a été rentable.
Nouveau patient, motif: couronne descellée sur 13.
heureusement qu'il reste un peu de NPC pour refaire ;)
jusqu'a quand ???

En cadeau bonus... la 26 d'une jeune de 30 ans.
Meme a 250e la coiffe tu gagnes du pognon... 2 RDV de 10 min.

1825 x 20180814 173735 xkh4f3zz8djs 4 cbqdl7 - Eugenol
1536 x 20170912 185521 xxps5fdi7wv  4 wxroyx - Eugenol