Cookie Consent byPrivacyPolicies.comimprimante 3D pour thermoformer gouttières de contention - Eugenol

imprimante 3D pour thermoformer gouttières de contention

1309531 ours brun n5iukf - Eugenol
seespan

11/09/2018 à 02h54

Pour Jannot qui à une 3shape, il y a d'autre utilisation possible avec la 3D que les gouttière de contention.

Si joint une photo d'un cas de fixe que j'ai finie avec du plastique. Cas réalisé sans 3D juste ne modifiant le modèle en plâtre ( tu meules là ou tu veux poussé et tu met de la résine pour faire de la place là ou la dent doit bouger.
Si j'avais à refaire ce cas je le traiterais exactement de la même maniére. Mouvement simple à réaliser avec une force unitaire.
5 minutes de travail au lab ( plus long sur la 3D ) , un cout dérisoire et rapide.
Ca marche aussi très bien pour fermer des espace en antérieur dans le cas de black triangle

Deux soucie avec cette solution :

- l'on est limité au mouvement de tipping et de faible amplitude
- l'esthétique et confort n'est pas optimal vue que l'on à une ou des " bulles " de plastique là ou l'on à mit la résine.

Pour un cas de vestibulaire c'est très bien vue que les patients sont enchanté de retirer les bagues 1 à 3 mois plus tôt.
Pour le dentiste c'est aussi une bonne option vue que le temps fauteuil est beaucoup plus réduit que réaliser les finitions en pliant le file ( option chronophage ) .

L'étape du dessus c'est de faire les finitions avec des setup intermédiaire attache. La c'est esthétique, confortable et pour peut que vous vous y connaissiez un peut en mécanique et utiliser des attaches beaucoup de mouvement sont possible.
Le but du jeux est de faire tout les mouvement complexe avec des bagues ( ceux qui prennent peut de temps fauteuil car on laisse s'exprimer le file ) et de réaliser les finitions avec du plastique.
Ici un cas de lingual 2D débagué hier ( 4 mois de traitement ) .
Dans l'absolue les finitions peuvent être réaliser avec les bagues, mais le patient travaille à l'étranger par période de 6 semaines et préférerez finir avec le plastique ( pas de risque d'avoir un fil qui dépasse ) .

Je vous met les photos des setup, impression 3D et gouttière plus tard dans la soirée.

--
หมอจัดฟัน

Sieng m1fc3v - Eugenol
Ha hibdmj - Eugenol
Haa rjluok - Eugenol

edje ouaïse

11/09/2018 à 10h17

jannot écrivait:
------
> Oui j'avais essayé le silicone de coulée Mach. Ca marche bien. Par contre ça
> représente tout de même un coût. J'avais estimé à 4 ou 5 euros le modèle.

:-))) Quand je vois la facturation d'une année de contention c'est vraiment peanuts comme dépense.


1309531 ours brun n5iukf - Eugenol
seespan

11/09/2018 à 14h43

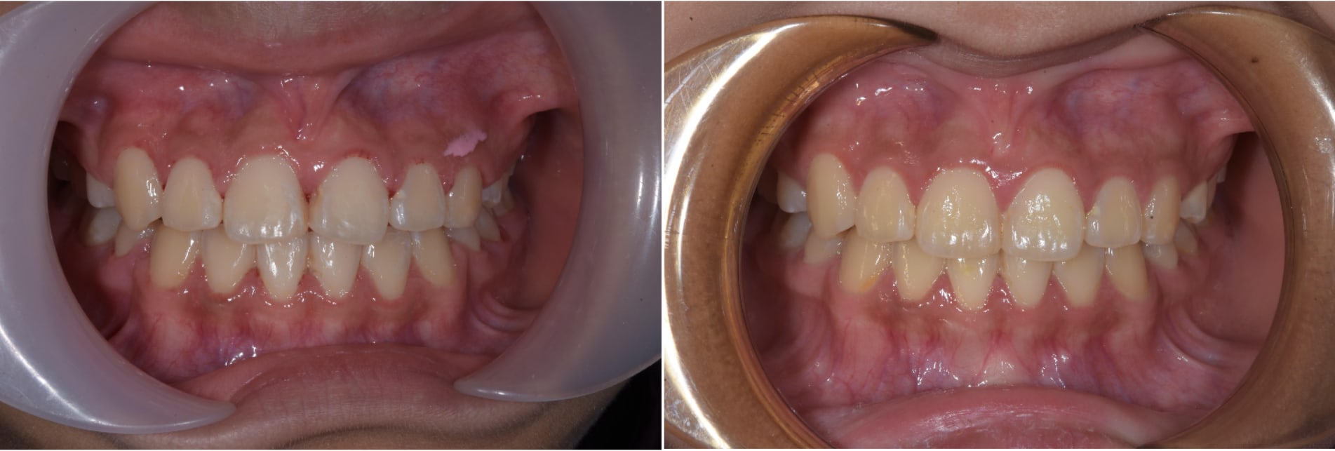
Bon pour le cas présenté plus haut.
Après la dépose des bagues 2D lundi j'ai prit une empreinte alginate et scan pour la réalisation d'un Template pour attache ( les bout de composite que l'on met sur les dents pour que la gouttière transmettent mieux la force) et gouttière pour mouvement.
Seul soucie en quittant mon appart le matin j'avait lancé une session d'impression pour 11 arcarde ( donc à peut près 12 heures ) et en arrivant le soir j'ai eu la bonne surprise de voir que la femme de ménage m'avait débranché l'imprimante.
Avec la Prusa no soucie il suffit de rebranché et l'impression reprend ( pratique quand l'on est dans une zone avec coupure de courant constante ) seul soucie c'est que ça c'est terminé vers minuit donc pas possible d'imprimer mes modèles chez moi.
J'ai donc fait mes set up mais envoyé les modèles STL par mail à l’hôpital pour impression.
Et vue que mon patient ne peut venir que Jeudi et pas aujourd’hui j'ai rien put mettre en bouche.

Enfin dans la série 2D, j'ai eu deux patientes qui m'ont fait enlever les bagues car elles ne supportaient pas. L'une n'a pas supporté les gouttières non plus ( ou les bagues en vestibulaire ) mais l'autre est ok avec les gouttières.

Si joint le set up initial avec après une série de quatre gouttière et les photo initial et 4 semaine plus tard. Je n'avais pas encore le module d'attache quand j'ai fait ce cas, donc j'avais fait les attaches avec du composite directement en bouche.

Pour ceux qui font un peut d'aligner vous devez savoir que les rotations des incisives inf peuvent être très délicate ( quasiment pas de surface pour transmettre la force ). Donc ici je l'avais joué safe en mettant 5° de rotation sur quatre gouttière ( invisalign aurait probablement fait 8° sur quatre aligner ) .

Pour Jannot je ne recommenderait pas de commencé par ce genre de cas, mais la 3shape à un module pour faire les attaches et les setup sequentiel.
Avec une imprimante FDM ou SLA c'est pas très compliqué de se lancer dans les aligneurs pour des mouvement simple ( que ce cas n'est pas mais il à était vue aujourd'hui ) .

La SLA c'est un cout plus important et plus de travail en labo ( j'en ai encore eu la démonstration ce matin ou j'ai du quasi attendre 15 minute pour le traitement post printing d'un modéle ), mais c'est aussi plus précis et peut permettre d'autre application ( réalisation d'appareil amovible sur l'impression, guide, ect ) .
La FDM c'est un coût faible à l'impression , une facilité d'utilisation telle que l'on peut imprimer chez soi ( type tu veut faire un set up dans la soiré et l'imprimé dans la nuit pour que ça soit prêt le matin ), une qualité d'impression adéquate pour les gouttières.

Disont que si tu fais de l'ortho et à une caméra intra buccal, ç'est un peut béta de se passer de l'outil pour 800 - 4000 euro suivant le modèle choisie.

--
หมอจัดฟัน

Caaaa r4pbfw - Eugenol
Caaa dcmjb3 - Eugenol

Mon avatar msn jgkit1 - Eugenol
Ewing

21/10/2018 à 04h17

Seespan, sur ta Prusa, comment tu fais pour imprimer 11 modèles à la suite sans te lever toutes les heures ?


avst

15/11/2018 à 15h07

....


12