Cookie Consent byPrivacyPolicies.comIdentification implant - Eugenol

Identification implant

elgusto

15/09/2018 à 12h45

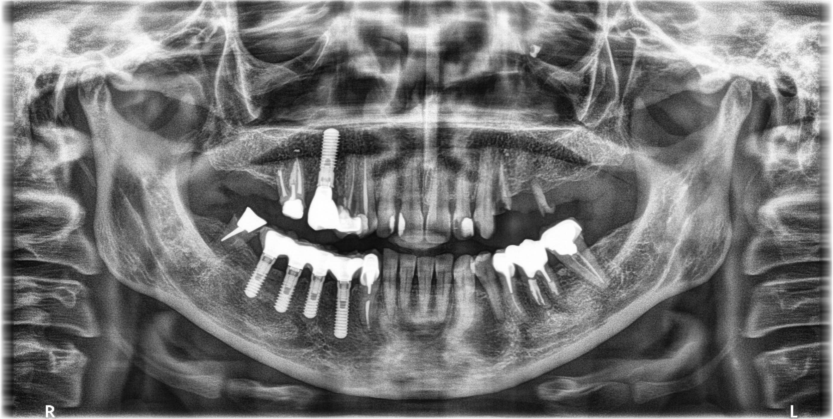
Bonjour, la couronne sur l'implant en 15 est dévissée, je n'ai pas retrouvé cet implant sur whatimplantisthat, j'ai donc besoin de vos lumières (enfin surtout celle de pluton!!!)
merci

Zirzu7keq55efdxcgsri - Eugenol
Oytpwy1skrjikbbary58 - Eugenol

Photo pluton1b h9n4ea - Eugenol
pluton

15/09/2018 à 13h45

suffit de demander...;-)
et avec des clichés qui sont pas trop mal, je peux trouver...;-)

c'est des IDI

http://osseosource.com/dental-implants/product_info.php?manufacturers_id=118&products_id=850


elgusto

15/09/2018 à 14h06

Merci beaucoup, tu sais quel tournevis je pourrais utiliser? Compatibilité?


Photo pluton1b h9n4ea - Eugenol
pluton

15/09/2018 à 15h01

Ça doit être un carré
Le mieux c'est de contacter leur commercial et de te faire prêter une trousse