Cookie Consent byPrivacyPolicies.comBesoin d'aide : plan de traitement pour cette patiente... - Eugenol

Besoin d'aide : plan de traitement pour cette patiente...

élimac

19/09/2018 à 15h45

Bonjour,
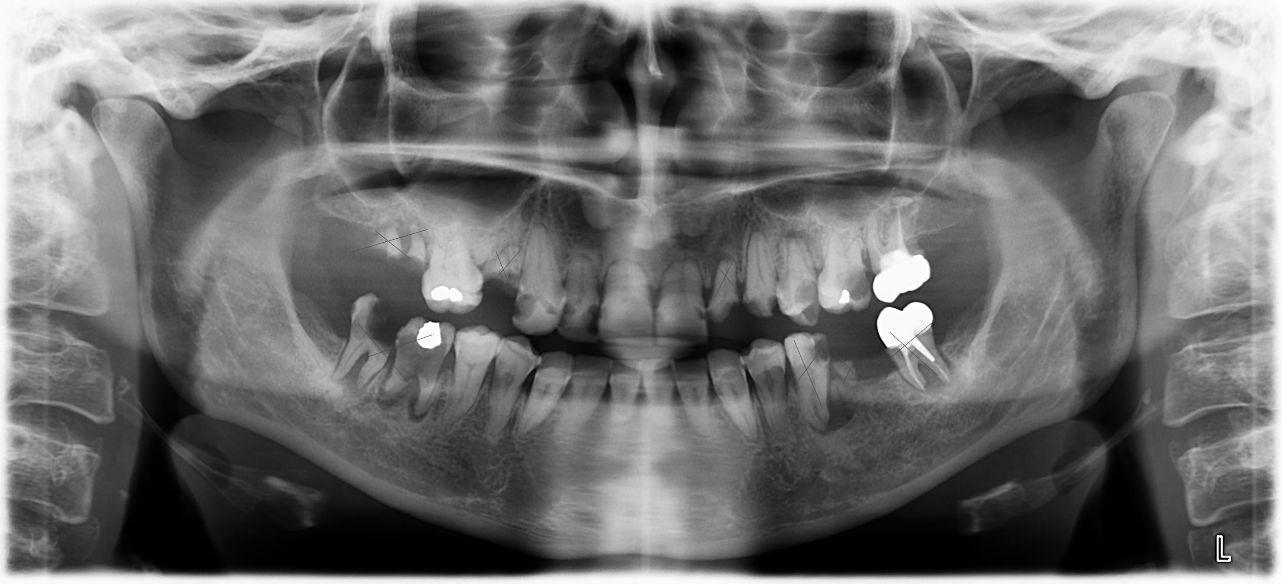
J'ai reçu cette patiente (35 ans) en consultation pour des douleurs modérées.
Elle est consciente qu'il va y avoir beaucoup de choses à faire et s'est faite à l'idée d'avoir des appareils... mais je bloque pour le plan de traitement!
A la mandibule je vais enlever 47/46/37/36 et 35 mobile+. Le reste en bas sont des caries du collet importantes mais rattrapables encore. Et après appareil en bas.
Au maxillaire je vais enlever 17/15 et 22 sur.
C'est pour le reste que je bloque... La 12/23/25/26 sont vraiment très abîmées et nécessiterait d’être dévitalisée puis couronnées. Sauf que au vu de la longueur des racines j'ai peur que cela ne soit pas possible, tout comme s'appuyer sur ces dents pour mettre en place un appareil en haut...
Qu'en pensez-vous? Que lui proposeriez-vous comme solutions de réhabilitation?
Merci de vos avis! :)

Sjoq1kvaeyhqxnixiklp - Eugenol

Generique fraisage r2rxmm - Eugenol
lardonbis

19/09/2018 à 16h06

c'est qui l'ortho ?

je rigole hein ! pas taper.


Hok 1b hgd3rj - Eugenol
Hokusai

19/09/2018 à 16h32

Full extraction sup et all one 6 ou claquos des familles.
Stellite en bas en gardant les dents ant.
Apres si tu cherches a avoir des pbm tu peux faire autre chose.
Sinon la pano, elle est pas indiquée... le statut complet long cone oui.


Generique fraisage r2rxmm - Eugenol
lardonbis

19/09/2018 à 16h55

et des modèle d'étude !
prépare quand même la dynamite, va falloir dessoucher :D


Dolan donald duck weird wqjham bw43ju - Eugenol
GéPé

19/09/2018 à 18h04

Attention à la position du patient pour faire la pano...

On manque de pas mal d'éléments pour affiner, mais au vu de la pano je dirais ça:
Ici je vire tout en haut.
En bas tu peux en garder quelques unes, mais faut des rétro.


mr smith

19/09/2018 à 18h25

Au risque de déplaire ici , je trouve que l'on parle peu des possibilités financières des patients . Pour ma part j'ai adopté en discours depuis peu , type Macron puisque nous sommes de commerçants de prothèses, qui facilite grandement la décision du patient .

Bon alors mon cher client , voyez vous je suis comme un architecte je peux tout faire .Vous vous avez un terrain constructible ( votre bouche ) , vous avez imaginez votre maison ( esthétique , fonctionnelle , etc ) , et quel est votre budget (Dites moi quel pognon vous êtes prêt a mettre dans votre bouche ? )

Cela simplifie en quelques secondes la relation avec le "client macron " et évite de perdre du temps .

Dans le cas présenté au maxillaire la fouchette se situe entre 2000 et 20000 ;o))))


Rape p0as4f - Eugenol
rapelapente

19/09/2018 à 20h07

Je vous trouve bien féroces !

J'extrait tout ce que tu as coché, encore que la 35 on peut jouer.

Bridge complet en haut
En bas stellite ou implants après cicatrisation et selon les moyens de la patiente.

Mais vu l'état, ça sent le CMU ça...


Devil wxz6j6 - Eugenol
devil s dare

19/09/2018 à 20h48

ça sent la toxico ça

Gre xuqq3v - Eugenol

Hok 1b hgd3rj - Eugenol
Hokusai

19/09/2018 à 20h51

Bordel j avais pas note l age de la patiente... 35 ans !


Rape p0as4f - Eugenol
rapelapente

19/09/2018 à 21h35

Et oui ... il y en a qui exercent dans le vrai monde ...


4a338550 6a5b 47ea b2a7 d3cb675c5076 oni5gh - Eugenol
fistule 69

19/09/2018 à 22h15

Cette bouche, c’est une honte à la France !
Vu comme elle s’en cogne, je m’impliquerai à la hauteur de sa motivation !
Premier devis avec du NR sur chaque dent pour les extractions, devis claquots haut et bas résine.
Mini 2000€ pour toucher sa merde.
Tu vas voir , c’est génial, 100% de renoncement !
Merci qui ?
😷🙃🤩


4a338550 6a5b 47ea b2a7 d3cb675c5076 oni5gh - Eugenol
fistule 69

19/09/2018 à 22h21

Bon, après, si c’est la famille, tu fais 10%.
😷😂🤣😂😂🤣


RépondreCiter
Rape p0as4f - Eugenol
rapelapente

19/09/2018 à 22h58

Ce que j'ai prévu ça fait 4500 de travaux en CMUC. Sans les soins .


Rape p0as4f - Eugenol
rapelapente

19/09/2018 à 22h59

S'adapter, s'adapter....


Hok 1b hgd3rj - Eugenol
Hokusai

20/09/2018 à 05h26

rapelapente écrivait:
-----------
> Et oui ... il y en a qui exercent dans le vrai monde ...

J ai edente total une jeune de 24 ans... c est mon record.
J ai exactement les memes... tous les jours.
Mais en general c est quand meme vers 55 ans.
T es serieux pour le bridge complet sup ?


4a338550 6a5b 47ea b2a7 d3cb675c5076 oni5gh - Eugenol
fistule 69

20/09/2018 à 09h37

RLP, tu divises par 2 ou 3 ...
Ben ouais, avec les RDV manqués !
Pour le Rac0 RDV manqués !
😷😜


4a338550 6a5b 47ea b2a7 d3cb675c5076 oni5gh - Eugenol
fistule 69

20/09/2018 à 09h41

HKS, tu bosses à côté d’une centrale nucléaire ?


lachmar

20/09/2018 à 09h42

devil s dare écrivait:
------------
> ça sent la toxico ça



a plein nez en effet

et je rejoins totalement Mr Smith pour ce qui est de l'abord psy et financier

avec une peu de chance elle ne reviendra pas , ce qui t'évitera des scéances innombrables de retouches et rebasages


145 kssowa - Eugenol
Zuhurragin

20/09/2018 à 10h01

Ouhhhh j'ai eu la même chose ou presque il n'y a pas longtemps sur un patient de 30 ans (sans les caries) juste l'ortho et les rizhalyses et un patient sans argent avec toutes les antérieures mobiles et des racines très très courtes. J'ai dû extraire à regret 11 12 21 22 et bientôt ce sera 41 42 31 32 et malheureusement pour lui deux résines provisoires (il est en attente d'indemnisation car il a eu la "chance" de recevoir un cou de poing lors d'un bagarre).
Bref quand on ne peut pas faire de miracles, il faut savoir le faire accepter au patient (et le mien a fini par être prêt quand c'est devenu trop gênant).

Pour toi tout dépend des mobilités et des rétro alvéolaires ainsi que du budget et des désirs de la patiente.
En haut peu d'espoir (un faible espoir de récupérer les canines mais est-ce que ça vaut le coup...) sinon le reste risque de te claquer entre les doigts assez vite.
En bas stellite et la 35 à voir ça peut se tenter.


--
"C'est parce que la vitesse de la lumière est supérieure à celle du son que certains paraissent brillants avant d'avoir l'air cons."


élimac

20/09/2018 à 10h17

Merci pour vos avis! :)
Pour ceux qui se posaient la question elle n'est ni CMU, ni Toxico (ou elle a pas voulu me le dire...).

Après discussion avec elle ce matin, on part sur les extractions en bas et après appareil amovible.

Pour le haut, après avoir parlé du faible taux de survie à court/moyen terme des dents que l'on pourraient peut-être sauvées (caries importantes et mobilités+), elle a d'elle même (un peu dirigée quand même^^) évoqué la possibilité de tout enlever d'un coup et de faire un appareil complet pour ne pas avoir à ré-intervenir.
Elle est repartie avec les devis, affaire à suivre!

Ce ne sera pas le patient le plus jeune à qui je fais un complet...


Devil wxz6j6 - Eugenol
devil s dare

20/09/2018 à 11h11

élimac écrivait:
------
> Merci pour vos avis! :)
> Pour ceux qui se posaient la question elle n'est ni CMU, ni Toxico (ou elle a
> pas voulu me le dire...).
>
pas voulu te le dire ou certifie le contraire? sur le dernier questionnaire que j ai rempli avant une intervention chirurgicale on m a clairement demande si je consommais de substances stupefiantes.
mais pour le plan de traitement : vue le cas et l interet qu elle porte a ses dents :le plus simple sera le plus adapte et le plus satisfaisant pour elle. un truc super chiade qui ne sera pas du tout entretenu n est a mon sens pas la solution
>


8tercecn7hisbbqbde2nil4nyxrw - Eugenol
Hanibalecter

20/09/2018 à 11h17

complet haut
stellite bas en gardant de 45 a 34


Index vakr2r - Eugenol
pgc

20/09/2018 à 12h02

Pas besoin d'être toxico pour une polycarie.
1.5 l de coca/jour c'est suffisant.

Si on n'avait que des patients propres et sains, attentifs à leur santé et qui mangent 5 fruits et légumes par jour on gagnerait pas lourd.


Devil wxz6j6 - Eugenol
devil s dare

20/09/2018 à 13h23

pgc écrivait:
---
> Pas besoin d'être toxico pour une polycarie.
> 1.5 l de coca/jour c'est suffisant.
>
> Si on n'avait que des patients propres et sains, attentifs à leur santé et qui
> mangent 5 fruits et légumes par jour on gagnerait pas lourd.

soit mais pour parler de rentabilite ,les cas comme ça chez moi c est perte de temps pour etudier le cas ,faire le plan de traitement l expliquer ,le faire admettre ; apres tu subis dans 80% des cas rdv manques soins non finis ou non payes ! mais bon c est peut etre que chez moi....


Rape p0as4f - Eugenol
rapelapente

21/09/2018 à 15h21

Hokusai écrivait:
------
> T es serieux pour le bridge complet sup ?>

Ben oui ! Si elle était CMUC c'est une option "gratuite " pour elle , qui valait d'être tentée.
Toujours mieux qu'un claquos en haut à 35 ans... Et toujours possible si échec du bridge.

C'est le bonheur de notre exercice aujourd'hui.

Ceux qui payent des cotisations n'ont pas droit aux meilleurs options pour leurs soins.


12