Cookie Consent byPrivacyPolicies.comLe mois du condyle - Eugenol

Le mois du condyle

mjulkmilk

28/09/2018 à 14h01

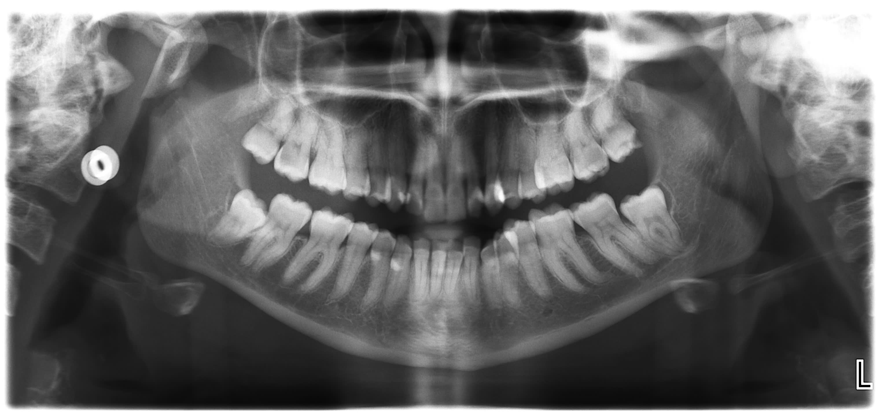
25 ans, crise epilepsie, et boom le condyle droit... Ca fait la troisieme en septembre.
( Cheval, velo et epilepsie..)
Elle est passee voir une hygieniste en Urgence avant operation...:0)))

Prupuum1c8iytx6zafbm - Eugenol
Jxdwy1dvhpwdbrli9cha - Eugenol
Gjc9i5dzmv40jiibpjfo - Eugenol

vintagescope

28/09/2018 à 14h24

Une quoi ?


Generique fraisage r2rxmm - Eugenol
lardonbis

28/09/2018 à 14h29

laisse tomber il vit dans un pays de l'OCDE. C'est un métier du futur.

Sinon le patient posait des œillets autoperforants dans une bâche quand c'est arrivé ? :D
je vois pas le trait de fracture en 43, tu l'a vu ? vous l'avez cherché pendant ? le bloc était mobile ?


4a338550 6a5b 47ea b2a7 d3cb675c5076 oni5gh - Eugenol
fistule 69

28/09/2018 à 14h48

Il a aussi cassé sa brosse à dent au niveau du manche .
Les soins coûtent chers en France .
Misère...


Generique fraisage r2rxmm - Eugenol
lardonbis

28/09/2018 à 15h14

fistule 69 écrivait:
----------
> Il a aussi cassé sa brosse à dent au niveau du manche .
> Les soins coûtent chers en France .
> Misère...

- crise épilepsie
- œillet de bâche dans l'oreille
- dent de tox
- l’hygiène qui va avec

faut lui dire d’arrêter les RC et de revenir aux stims traditionnels :D


mjulkmilk

28/09/2018 à 19h53

Oula j ai pas traducteur ; RC ? Stims?
Pour la plaque au niveau 43 c pour faire bosser les internes. :0))
Y avait une ligne de fracture superficielle en lingual sur scanner trauma. C est plus prophylactique qu autre chose.