Cookie Consent byPrivacyPolicies.comOne shot....; - Eugenol
Capture d  cran 2015 03 12 12.28 - Eugenol
chicot29

02/10/2018 à 20h31

Junior, figures toi que je suis ravi de m'etre fait arnaquer par 3 shape qui vend sa trios hors de prix. Inlay core coiffes + stellites one shot. Continues à bien te faire chier avec tes silicones et tes alginates. -)))


--
En cas d'échec des négociations conventionnelles, seriez-vous prêt à suivre la promotion d'un déconventionnement massif de la profession par les syndicats représentatifs ? OUI - NON
Participez, anonymement, sur https://goo.gl/forms/nAO0htnsVmxotjYm1

Kt7cpho5rupnqadlx1kj - Eugenol

Capture d  cran 2015 03 12 12.28 - Eugenol
chicot29

02/10/2018 à 20h38

Les empreintes.


--
En cas d'échec des négociations conventionnelles, seriez-vous prêt à suivre la promotion d'un déconventionnement massif de la profession par les syndicats représentatifs ? OUI - NON
Participez, anonymement, sur https://goo.gl/forms/nAO0htnsVmxotjYm1

Capture d écran 2018 10 02 20.37 - Eugenol

Hok 1b hgd3rj - Eugenol
Hokusai

02/10/2018 à 21h03

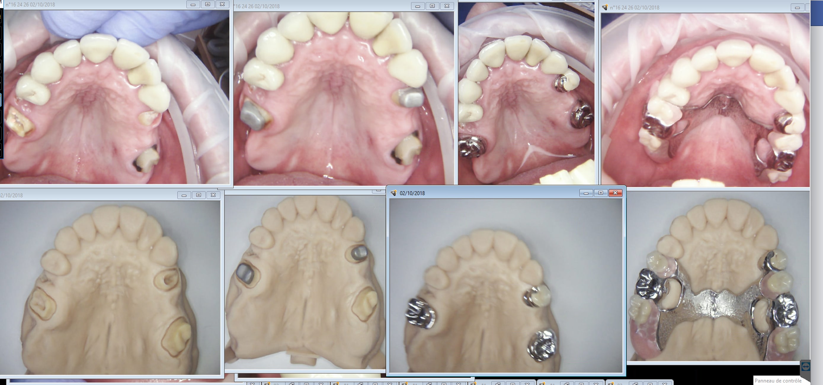
La racine résiduelle de la 15 a ete extraite a quel moment ? Qui a dessine le schema de plaque ? Ou sont les crochets ?
C est du beau travail.


moritooth

02/10/2018 à 21h40

Mêmes questions qu'Hokusai ?


Capture d  cran 2015 03 12 12.28 - Eugenol
chicot29

02/10/2018 à 21h48

Le jour meme. Vois tu c'est un CMU qui m'a planté un RDV. Ceci explique celà.



--
En cas d'échec des négociations conventionnelles, seriez-vous prêt à suivre la promotion d'un déconventionnement massif de la profession par les syndicats représentatifs ? OUI - NON
Participez, anonymement, sur https://goo.gl/forms/nAO0htnsVmxotjYm1

Capture d écran 2018 10 02 19.48 - Eugenol

Capture d  cran 2015 03 12 12.28 - Eugenol
chicot29

02/10/2018 à 21h51

Hokusai écrivait:
-------
> La racine résiduelle de la 15 a ete extraite a quel moment ? Qui a dessine le
> schema de plaque ? Ou sont les crochets ?
> C est du beau travail.

Pour la plaque et les crochets tu as plusieurs propositions. Tu choisis. Plus de détails ? -)))


--
En cas d'échec des négociations conventionnelles, seriez-vous prêt à suivre la promotion d'un déconventionnement massif de la profession par les syndicats représentatifs ? OUI - NON
Participez, anonymement, sur https://goo.gl/forms/nAO0htnsVmxotjYm1

Capture d écran 2018 10 02 21.52 - Eugenol

Capture d  cran 2015 03 12 12.28 - Eugenol
chicot29

02/10/2018 à 22h05

La 24 je l'ai récupérée . La 27 j'ai pas été jouer dans les canaux pour récupérer les instruments pétés. (Je suis nul en endo) . Premier endo exclusif 150 bornes .........CMU à moitié assidu c'était pas gagné. -))))


--
En cas d'échec des négociations conventionnelles, seriez-vous prêt à suivre la promotion d'un déconventionnement massif de la profession par les syndicats représentatifs ? OUI - NON
Participez, anonymement, sur https://goo.gl/forms/nAO0htnsVmxotjYm1

Capture d écran 2018 10 02 22.02 - Eugenol

Capture d  cran 2015 03 12 12.28 - Eugenol
chicot29

02/10/2018 à 22h28

Ca c'était un CMU aussi. La prochaine fois je penserais à demander le stellite haut en plus de la couronne. Ca ouvre des perspectives intéressantes. 2 minutes de scannage en plus et pouf ! terminé. -)))


--
En cas d'échec des négociations conventionnelles, seriez-vous prêt à suivre la promotion d'un déconventionnement massif de la profession par les syndicats représentatifs ? OUI - NON
Participez, anonymement, sur https://goo.gl/forms/nAO0htnsVmxotjYm1

Capture d écran 2018 10 02 22.26 - Eugenol

John gp55mb - Eugenol
Faivre-rampant

03/10/2018 à 08h00

C'est impressionnant.
Cela coûte cher ce type de machine ?


Utilisateur banni

03/10/2018 à 08h09

Oui mais Chicot toi t’es pas débile, tu t’es pris la caméra (noir et blanc) et pas celle à 43000 couleur. Moi ce que je critique c’est la caméra Trios couleur qui au final aura le même résultat que la noir et blanc au niveau précision. La couleur c’est pour amuser la galerie.


1309531 ours brun n5iukf - Eugenol
seespan

03/10/2018 à 08h18

junior® écrivait:
-------
> Oui mais Chicot toi t’es pas débile, tu t’es pris la caméra (noir et blanc) et
> pas celle à 43000 couleur. Moi ce que je critique c’est la caméra Trios couleur
> qui au final aura le même résultat que la noir et blanc au niveau précision. La
> couleur c’est pour amuser la galerie.

Quoi rétro pédalage, pourquoi tu me parle de rétropadalage, j'avancais en tournant la tête c'est pour ça que je donne l'impression de changé de direction, mais j'allais vers " l'avant " depuis le début.


--
หมอจัดฟัน


Generique fraisage r2rxmm - Eugenol
lardonbis

03/10/2018 à 08h25

Quelle aurait été la différence avec une simple sillicone scannée ?
Je rigole :D la différence c'est j'aurais pas osé le faire ;)

très joli travail, même si je suis pas fan des fraisage/taquet et autre creux, mais ça c'est quasi religieux.


Capture d  cran 2015 03 12 12.28 - Eugenol
chicot29

03/10/2018 à 08h53

Bah. Les cons ça ose tout c'est meme à ça qu'on les reconnait. -))))


--
En cas d'échec des négociations conventionnelles, seriez-vous prêt à suivre la promotion d'un déconventionnement massif de la profession par les syndicats représentatifs ? OUI - NON
Participez, anonymement, sur https://goo.gl/forms/nAO0htnsVmxotjYm1


Capture d  cran 2015 03 12 12.28 - Eugenol
chicot29

03/10/2018 à 08h56

junior® écrivait:
-------
> Oui mais Chicot toi t’es pas débile, tu t’es pris la caméra (noir et blanc) et
> pas celle à 43000 couleur. Moi ce que je critique c’est la caméra Trios couleur
> qui au final aura le même résultat que la noir et blanc au niveau précision. La
> couleur c’est pour amuser la galerie.

J'ai pas pris la couleur parceque j'ai déjà été échaudé avec un cerec à 80 000 boules. J'ai une option à 14 000 boules pour faire sauter la bride logicielle. Je me tate, sur un 55 pouces ca ferait un effet boeuf.

--
En cas d'échec des négociations conventionnelles, seriez-vous prêt à suivre la promotion d'un déconventionnement massif de la profession par les syndicats représentatifs ? OUI - NON
Participez, anonymement, sur https://goo.gl/forms/nAO0htnsVmxotjYm1


Capture d  cran 2015 03 12 12.28 - Eugenol
chicot29

03/10/2018 à 09h03

Oui mais bon du silicone + platre c'est plus précis. -)))


--
En cas d'échec des négociations conventionnelles, seriez-vous prêt à suivre la promotion d'un déconventionnement massif de la profession par les syndicats représentatifs ? OUI - NON
Participez, anonymement, sur https://goo.gl/forms/nAO0htnsVmxotjYm1


Generique fraisage r2rxmm - Eugenol
lardonbis

03/10/2018 à 09h04

chicot29 écrivait:
--------


> J'ai une option à 14 000 boules pour faire sauter la bride logicielle.

question con. tu peux l'utiliser combien de temps sans connexion internet la caméra ? Ou du moins en empêchant tout papotage avec les serveurs de 3shape.


Capture d  cran 2015 03 12 12.28 - Eugenol
chicot29

03/10/2018 à 11h04

Junior : Bon vous reviendrez reprendre votre appareil demain ?

Non trios ic coiffe il garde son stellite. -)))

--
En cas d'échec des négociations conventionnelles, seriez-vous prêt à suivre la promotion d'un déconventionnement massif de la profession par les syndicats représentatifs ? OUI - NON
Participez, anonymement, sur https://goo.gl/forms/nAO0htnsVmxotjYm1

Capture d écran 2018 10 03 10.58 - Eugenol

Capture d  cran 2015 03 12 12.28 - Eugenol
chicot29

03/10/2018 à 11h08

lardonbis écrivait:
---------
> chicot29 écrivait:
> --------
>
>
> > J'ai une option à 14 000 boules pour faire sauter la bride logicielle.
>
> question con. tu peux l'utiliser combien de temps sans connexion internet la
> caméra ? Ou du moins en empêchant tout papotage avec les serveurs de 3shape.

Tu débranches le cable éthernet. -))))

Question pourquoi ?

--
En cas d'échec des négociations conventionnelles, seriez-vous prêt à suivre la promotion d'un déconventionnement massif de la profession par les syndicats représentatifs ? OUI - NON
Participez, anonymement, sur https://goo.gl/forms/nAO0htnsVmxotjYm1


Fond net de dent 1270 86 cyav5h - Eugenol
Dr_EG

03/10/2018 à 12h18

Putain !!! ... je sens que le Chicot, il va nous mettre dedans avec les clauses de revoyures, à lui tout seul, comme un grand ;-))) ... fait chier !!!


--
Consultation en ligne sur la future convention : participez, anonymement, sur https://goo.gl/forms/leLn6bdBorFoAC3t2

Suite à l'échec des négociations conventionnelles et la mise en place d'un règlement arbitral, seriez-vous prêt à suivre la promotion d'un déconventionnement massif de la profession par les syndicats représentatifs ? OUI - NON
Participez, anonymement, sur https://goo.gl/forms/nAO0htnsVmxotjYm1

Calculez votre impact financier du règlement arbitral sur : https://docs.google.com/spreadsheets/d/1TI0-w878rn7kdnDafB5qWfq-4RWbKjeESZWv9TC0t80/edit?usp=sharing


Fond net de dent 1270 86 cyav5h - Eugenol
Dr_EG

03/10/2018 à 12h20

Ah ... non... c'est vrai ... nos syndicats ont négocié que les clauses étaient calculées hors CMU ... ouffff, on est sauvé ;-)))

Beau boulot en tout cas


--
Consultation en ligne sur la future convention : participez, anonymement, sur https://goo.gl/forms/leLn6bdBorFoAC3t2

Suite à l'échec des négociations conventionnelles et la mise en place d'un règlement arbitral, seriez-vous prêt à suivre la promotion d'un déconventionnement massif de la profession par les syndicats représentatifs ? OUI - NON
Participez, anonymement, sur https://goo.gl/forms/nAO0htnsVmxotjYm1

Calculez votre impact financier du règlement arbitral sur : https://docs.google.com/spreadsheets/d/1TI0-w878rn7kdnDafB5qWfq-4RWbKjeESZWv9TC0t80/edit?usp=sharing


Capture d  cran 2015 03 12 12.28 - Eugenol
chicot29

03/10/2018 à 12h26

Dr_EG écrivait:
-----
> Putain !!! ... je sens que le Chicot, il va nous mettre dedans avec les clauses
> de revoyures, à lui tout seul, comme un grand ;-))) ... fait chier !!!
>
>
> --
> Consultation en ligne sur la future convention : participez, anonymement, sur
> https://goo.gl/forms/leLn6bdBorFoAC3t2
>
> Suite à l'échec des négociations conventionnelles et la mise en place d'un
> règlement arbitral, seriez-vous prêt à suivre la promotion d'un
> déconventionnement massif de la profession par les syndicats représentatifs ?
> OUI - NON
> Participez, anonymement, sur https://goo.gl/forms/nAO0htnsVmxotjYm1
>
> Calculez votre impact financier du règlement arbitral sur :
> https://docs.google.com/spreadsheets/d/1TI0-w878rn7kdnDafB5qWfq-4RWbKjeESZWv9TC0t80/edit?usp=sharing

Tiens ? Le premier janvier approche. 3-2 -1 feu ! Budget explosé à martir du mois de mai. Ca n'est pas à "guichet ouvert". Fermeture du guichet. -)))
--
En cas d'échec des négociations conventionnelles, seriez-vous prêt à suivre la promotion d'un déconventionnement massif de la profession par les syndicats représentatifs ? OUI - NON
Participez, anonymement, sur https://goo.gl/forms/nAO0htnsVmxotjYm1


Generique fraisage r2rxmm - Eugenol
lardonbis

03/10/2018 à 12h57

chicot29 écrivait:
--------

> Question pourquoi ?

y'a plusieurs façon de brider logiciellement un matériel, mais en principe si tu peux le faire fonctionner à 100% hors ligne c'est pas trop complexe de le débrider, et si le bridage est dans le firmware ça peu même être plus simple.

je me demande juste comment ils font chez 3shape... ça n'a pas l'air d’être des buses. Je suis curieux :D


Hok 1b hgd3rj - Eugenol
Hokusai

03/10/2018 à 15h28

lardonbis écrivait:
---------
> Quelle aurait été la différence avec une simple sillicone scannée ?

Bah a vrai dire... perso je fais la même chose en one-shot mais en physique pour mes CMU.
Prothesiste low-cost... IC+CCM+stellite...
Et tres bon résultat.
Le pbm c'est plus l'enregistrement de l'occlusion quand tu n'as plus de calage post... et la le scanner intra-buccal a un gros avantage


Hok 1b hgd3rj - Eugenol
Hokusai

03/10/2018 à 15h30

chicot29 écrivait:
--------
> Tiens ? Le premier janvier approche. 3-2 -1 feu ! Budget explosé à martir du
> mois de mai. Ca n'est pas à "guichet ouvert". Fermeture du guichet. -)))

J'espere que c'est par prat sinon y en a qui vont syphoner tout le budget...


Avatar transparent iqadnc - Eugenol
adhoc

03/10/2018 à 15h37

En quoi consiste le "bridage" ? Avec chicot29, c'est toujours tres intéressant, mais il faut tout soutirer mot par mot, phrase par phrase !!!!!
Qui et quoi avec 14000 euros? Tout le monde fait semblant de piger, mais c'est totalement nébuleux.


12