Cookie Consent byPrivacyPolicies.comImage radio ?? - Eugenol

Image radio ??

topex

22/10/2018 à 21h15

Bonsoir,
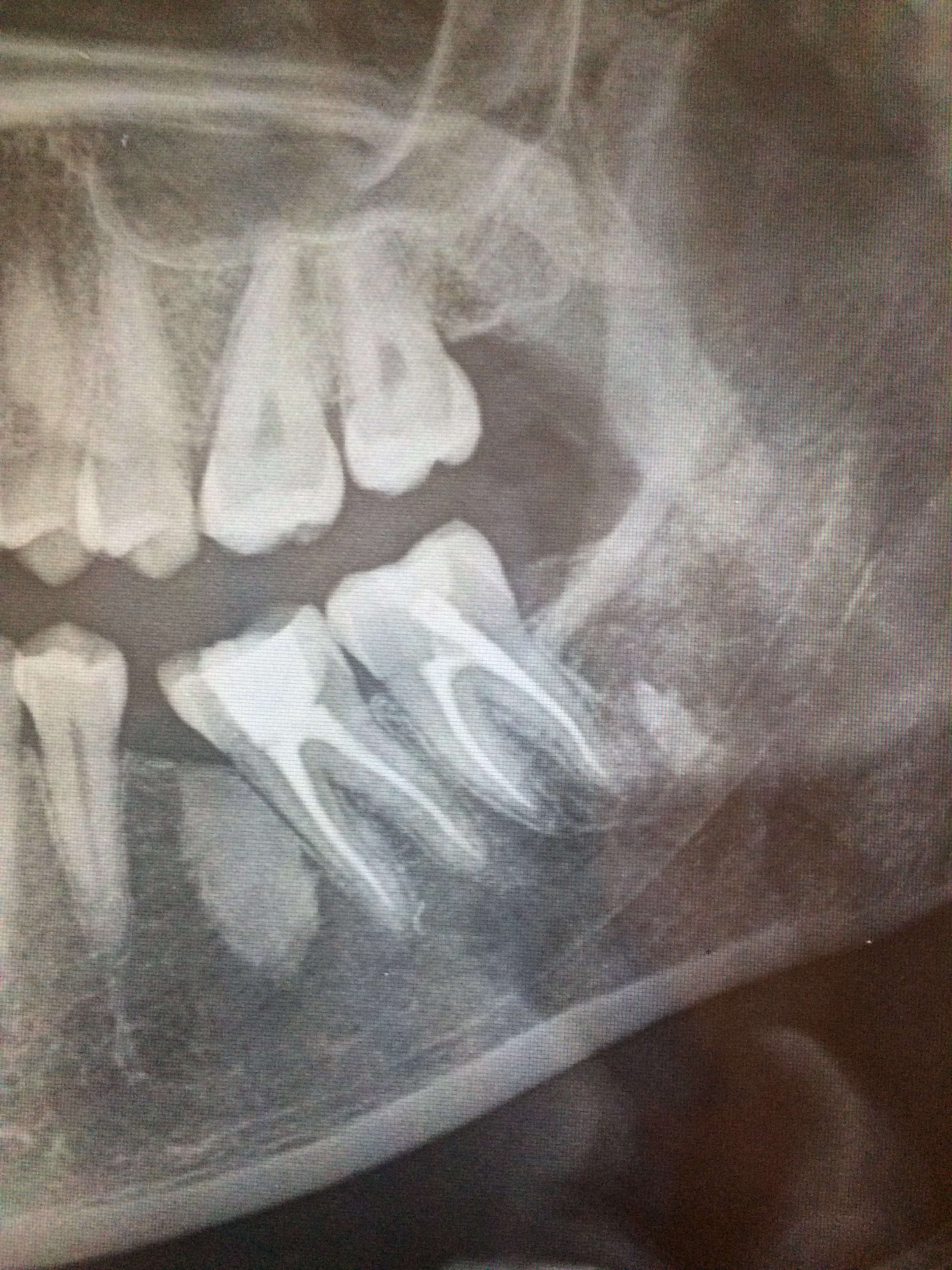
Auriez vous une idée sur l’image en M de 37 ?
Actuellement asymptomatique.
Merci

Zc78yiegtb0z9jzxajnn - Eugenol
M4cczmuycus8rac121pm - Eugenol

Ylfwcw979cz1jnx9gfqeaxndiuzk - Eugenol
Algi

23/10/2018 à 09h32

Codensation osseuse.....

Perso j'adresserai aà sto au cas où...


--
On a toujours le choix mais entre quoi et quoi?
Vas-y boulégue et l'avenir te le dira!