Cookie Consent byPrivacyPolicies.comCAD CAM pour partielle - Eugenol

CAD CAM pour partielle

log69

24/10/2018 à 14h14

ces réalisation low cost ne sont pas à mettre à l'honneur ni de la partielle ni des des réalisations CAD CAM .....
la partielle vaut mieux que cela ....

Iiedxlo1ish083nnhpw5 - Eugenol
Gvfq6ewziux9zzg8r4ue - Eugenol
U4v20uhewqr4co4qltsl - Eugenol
Me5zesw7uivj9uxqom0f - Eugenol

moritooth

24/10/2018 à 14h53

Plafonnement de l'amovible ready.


log69

24/10/2018 à 15h52

et oui ...Macron est content cela ne lui coutera pas cher ...
quand au résultat .... la SS paiera quand même !
vive la médiocrité !!!!!


Photo thumb 45 lnhuvp - Eugenol
wakrap

24/10/2018 à 20h16

??? Bon, je fais un ou deux partiels amovibles par an et 0 complet, et j'y connais rien. Cependant j'en vois régulièrement dans la bouche des patients, les appareils sont en général très vieux, usés et ils ressemblent plus ou moins à ça.


log69

24/10/2018 à 22h36

à titre d'informations complémentaires
1. les modèles présentés sont MADE IN FRANCE
2. Le nombre de prothèse partielles réalisées annuellement en France est de 1 300 000 ....


log69

24/10/2018 à 22h47

les derniers cas montrent que cela ne s'améliore pas .....

Circle 7 f0b3qk - Eugenol
Circle 8 acd8co - Eugenol

moritooth

24/10/2018 à 22h54

Finalement, peut-être que les chinois feront mieux, quand le plafond nous sera tombé sur la tête à nous autres gaulois réfractaires...


Hok 1b hgd3rj - Eugenol
Hokusai

25/10/2018 à 07h31

Tu fais tes schemas de plaque ??


log69

25/10/2018 à 08h49

moritooth écrivait:
---------
> Finalement, peut-être que les chinois feront mieux, quand le plafond nous sera
> tombé sur la tête à nous autres gaulois réfractaires...

cela est même certain vu que les laboratoires chinois sont dirigés par des Allemands


Capture d  cran 2015 03 12 12.28 - Eugenol
chicot29

25/10/2018 à 12h05


Effectivement. De la daube. Ces glands m'ont meme fait de la fixe en meme temps qu'une finition directe du stellite. -)))

--
En cas d'échec des négociations conventionnelles, seriez-vous prêt à suivre la promotion d'un déconventionnement massif de la profession par les syndicats représentatifs ? OUI - NON
Participez, anonymement, sur https://goo.gl/forms/nAO0htnsVmxotjYm1

Capture d écran 2018 10 02 19.37 - Eugenol

Capture d  cran 2015 03 12 12.28 - Eugenol
chicot29

25/10/2018 à 12h17

Bah c'est assorti avec les endos-peintures canalaires à la française à un tarif de merde sécu sous jacentes. Tu trouves pas ?


--
En cas d'échec des négociations conventionnelles, seriez-vous prêt à suivre la promotion d'un déconventionnement massif de la profession par les syndicats représentatifs ? OUI - NON
Participez, anonymement, sur https://goo.gl/forms/nAO0htnsVmxotjYm1

Capture d écran 2018 10 25 12.14 - Eugenol

Capture d  cran 2015 03 12 12.28 - Eugenol
chicot29

25/10/2018 à 12h22

Le patient est ravi. Qu'est ce qu'il peut etre con ce patient. Hein ? -)))


--
En cas d'échec des négociations conventionnelles, seriez-vous prêt à suivre la promotion d'un déconventionnement massif de la profession par les syndicats représentatifs ? OUI - NON
Participez, anonymement, sur https://goo.gl/forms/nAO0htnsVmxotjYm1


log69

25/10/2018 à 12h45

effectivement tout le monde est ravi ...
le patient n'a rien déboursé
le praticien a une bonne marge
le fabricant aussi ...
macron aussi qui "tient ses promesses " !!!
reste la SS qui débourse de l'argent pour rien !!!!
mais allez faire comprendre cela à un ministre ?


Capture d  cran 2015 03 12 12.28 - Eugenol
chicot29

25/10/2018 à 13h21

En l’occurence C’est le fonds cmu qui en paie l’essentiel. Pour rien c’est à dire ?

--
En cas d'échec des négociations conventionnelles, seriez-vous prêt à suivre la promotion d'un déconventionnement massif de la profession par les syndicats représentatifs ? OUI - NON
Participez, anonymement, sur https://goo.gl/forms/nAO0htnsVmxotjYm1


Capture d  cran 2015 03 12 12.28 - Eugenol
chicot29

25/10/2018 à 13h24

Dis donc tu es dentiste conventionné tes tarifs en soins opposables sont low costs tu fais de la merde pour autant ?


--
En cas d'échec des négociations conventionnelles, seriez-vous prêt à suivre la promotion d'un déconventionnement massif de la profession par les syndicats représentatifs ? OUI - NON
Participez, anonymement, sur https://goo.gl/forms/nAO0htnsVmxotjYm1


log69

25/10/2018 à 14h17

je suis déconventionné, sans pratiquer des tarifs abusifs mais qui correspondent à la qualité ...


Photo thumb 45 lnhuvp - Eugenol
wakrap

25/10/2018 à 17h21

Bah, chicot, certains considèrent qu'il ne peut rien exister qui ne soit le niveau qu'ils ont définit eux comme étant la norme acceptable. Sauf que dans la vrai vie, c'est l'Etat qui norme et pas eux, et que toute norme est simplement nuisible, mais bon, faut avoir étudié le sujet pour en prendre conscience,c'est contre intuitif.


Hok 1b hgd3rj - Eugenol
Hokusai

25/10/2018 à 17h24

log69 écrivait:
-----
> je suis déconventionné, sans pratiquer des tarifs abusifs mais qui correspondent
> à la qualité ...

tu peux poster des photos de stellites de qualité supérieure stp ?? c'est tes cas les photos ?


3395 40 umvzjn - Eugenol
Aspius

25/10/2018 à 17h58

La même qu'Hokusai, je suis curieux de voir à quoi ressemble la qualité supérieure.
Faut bien que nous ici bas, merdasse conventionnée, puissions prendre exemple sur quelque chose.


log69

25/10/2018 à 18h35

heureusement ces cas ne sont pas les miens ....
je prépare un petit échantillon de cas corrects


Bebe 038 nf8eum - Eugenol
danteyeah

26/10/2018 à 07h37

Je ne vois pas bien le rapport entre CAD CAM et stelitte de merde !
Log69 tu voudrais dire que la gestion numérique des empreintes et de la conception de ce type de prothèse serai codée pour fournir de la merde, photos à l'appui comme preuve?
Un peu alambiqué comme conclusion non, ou mal exprimé peut être.
La prothése partielle à châssis métallique est un domaine plutôt délaissé dans la formation continue et pas mal de nos confrères ne s'y intéressent pas le moins du monde, et au final les prothésistes suivent la demande: simple et pas cher, le CAD CAM va encore simplifier cette situation par l'amélioration des empreintes et des enregistrements inter maxillaire. Simplification extrême puisque la précision d'une finition direct issue d'une seule empreinte est époustouflante. Mais si la demande et la formation des praticiens n'évolue pas vers une conception de châssis et supports plus abouti, il n'y a pas de raison pour que la qualité progresse.
Ton constat n'a rien à voir avec la CAD CAM (bien au contraire), mais avec le désintérêt de notre profession pour ce type de prothèse,


Vw campersurfvan bmnk1q - Eugenol
enlaye

26/10/2018 à 08h27

on ne peut plus faire de beaux stellites , ç est interdit de nos jours pcq trop mutilant .
en gros , le stellite était beau et classe lorsqu'il s'encastrait dans les dents support de crochet .donc des dents qui étaient préalablement taillées et solidarisées par des couronnes .


carident

26/10/2018 à 08h39

enlaye écrivait:
------
> on ne peut plus faire de beaux stellites , ç est interdit de nos jours pcq trop
> mutilant .
> en gros , le stellite était beau et classe lorsqu'il s'encastrait dans les
> dents support de crochet .donc des dents qui étaient préalablement taillées et
> solidarisées par des couronnes .

La classe, c'est lorsque l'on entendait le clic au moment où le stellite s'encastrait? :-)


chicopathe57

26/10/2018 à 08h42

Je comprends pas bien l'intérêt de tes posts.

Tu balances une photo d'un modèle et ...... rien.
Sur un autre post, tu balance une pano et ........rien.

Y'a rien qui suis, pas de démarche clinique, pas d'objectif thérapeutique, pas de truc de dentistes quoi.

Et pis évaluer la qualité d'une prothèse sur un modèle en plâtre, comment dire....
Ben c'est en bouche que ça s'évalue, tu peux me montrer une super prothèse complète bimax sur un articulateur ou un bridge complet sur son modèle que ça m'en cognerait une sans toucher l'autre.
P'is c'est t'es pas content de ton protho, bah t'en change, il est ou le problème?

Montre nous Ô grand Log69 ta magnificence thérapeutique, tes belles endos et tes beaux compo,
Ta qualité supérieure ....mdr



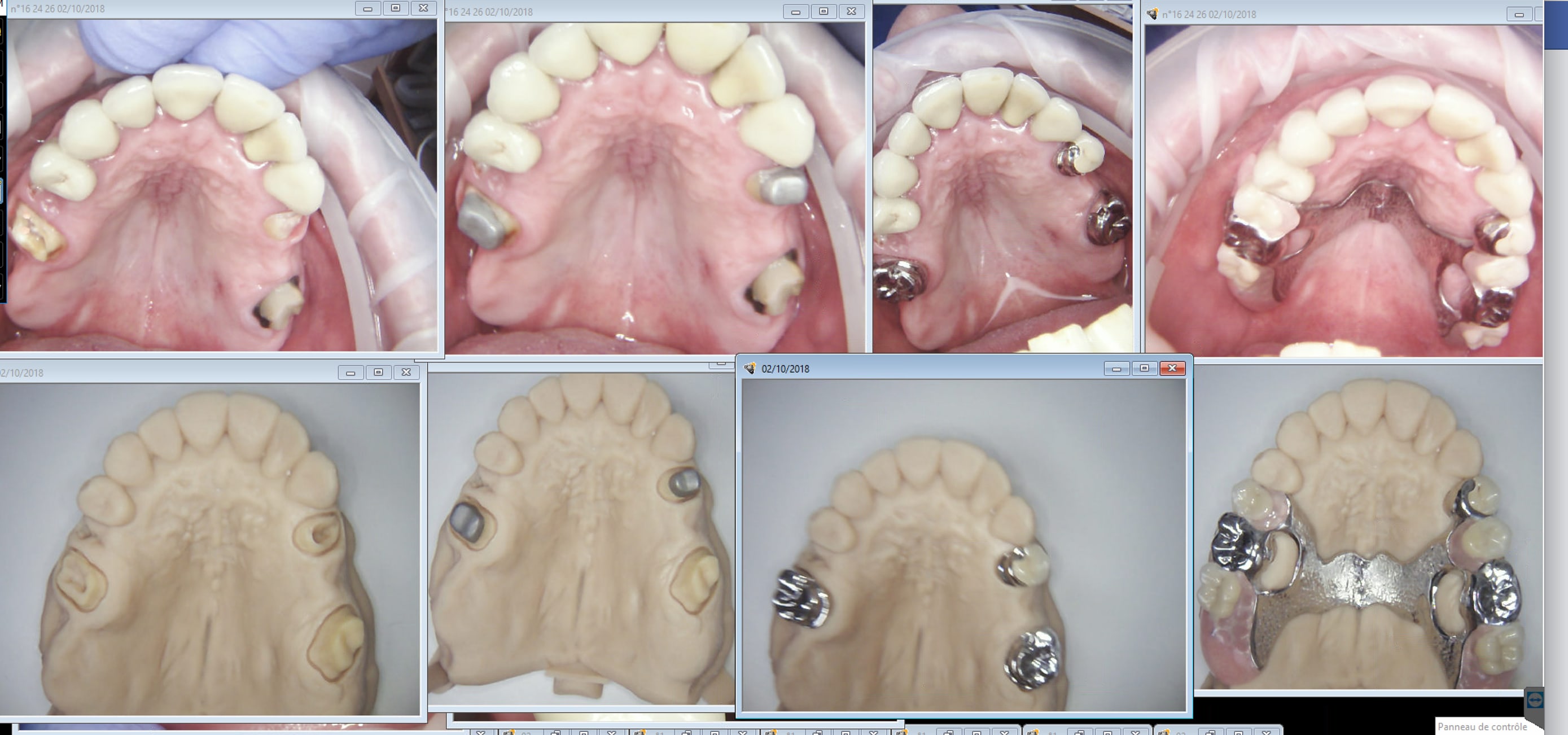
log69

26/10/2018 à 15h32

en réponse aux questions posées:
1. il est facile de voir les insuffisances des réalisations, absence d'appuis et donc de logettes, conceptions erronées, ...
2. ce constat s'applique à toutes les prothèse faites de façon conventionnelle ou en CAD CAM
3. le CAD CAM aggrave la situation car toutes ces prothèses sont réalisées sans tracé préalable et donc sans préparation de la bouche, ce qui est la négation de la partielle
4. le seul objectif est de faire la prothèse en deux temps,, sachant les insuffisances d l'empreinte globale en bouche, on fait rêver les ignorants !
quelques cas simples mais corrects

Ok 1 j716hx - Eugenol
Ok 2 o8tkcx - Eugenol
Ok 3 brbaex - Eugenol