Cookie Consent byPrivacyPolicies.comcuriosité problème d'édification radiculaire - Eugenol

curiosité problème d'édification radiculaire

matouille74

29/11/2018 à 14h58

Bonjour,

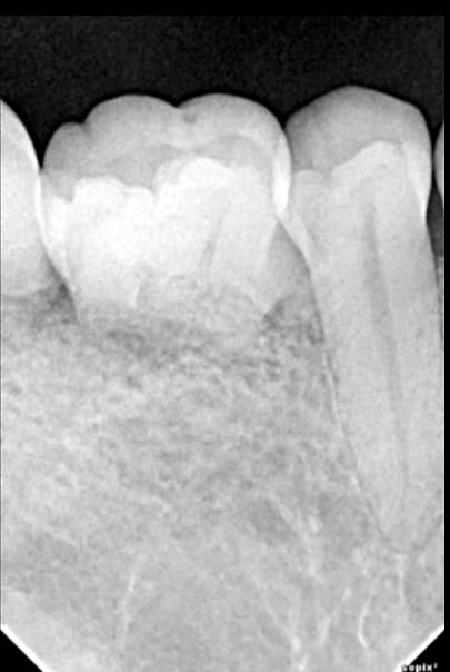
Avez vous déjà rencontré ce type de "pathologie". Le patient a 28 ans, n'a pas de problème de santé, n'a pas eu d'ortho et présente une béance antérieure (il y a aussi des problèmes d'édification radiculaire sur les antérieures) , j'élimine donc la cause occlusale.

Merci

Rdengmx9eljv8vkrjzqh - Eugenol
Yum0gp3i7aaizvfiavri - Eugenol

Capture d écran 2018 05 16 à 21.30 - Eugenol
Daryl

30/11/2018 à 11h39

Salut matouille74,

J'ai déjà rencontré ce cas sur un patient homme bien sous tous rapports et que je connais personnellement ( pas de pathologie, ni de problème occlusal, ni de traitement ortho...etc etc....)

Ce sont des résorptions radiculaires externes ou rhizalyses externes non évolutives... Càd que je n'ai pas constaté de diminution des racines au cours des années de suivi...

Ses dents ont super bien tenu même sans racine... détection des résorptions vers 18 ans ( par un autre dentiste que moi ) et elles ont commencées à lui faire bien mal à la mastication vers 46 ans...

Comme c'est un proche, j'ai extrait 47 et 46 douloureuses et poser 2 implants Straumann... L'os mandibulaire était super dur !!!
J'ai extrait aussi la 38 très douloureuse à la moutarde ( ???) et la 17 douloureuse également à la pression !!

Je ne vois pas d'origine à se truc mais la patient vit très bien avec...

Pier2 tpcy3f - Eugenol
Pier nquew6 - Eugenol
Img 0330 umyxvv - Eugenol

matouille74

30/11/2018 à 11h43

A oui impressionnant, ton cas semble bien être des résorptions, moi c'est plutôt une un problème d'édification car on a bien des apex arrondis. De toute façon, c'est sûr qu'il n'y a pas grand chose à faire...