Cookie Consent byPrivacyPolicies.comAbsurde ? - Eugenol
isaïe

26/01/2019 à 07h21

Salut adhoc, plaisir partagé ! Souvenirs de grandes querelles...

Il y a, mon avis, une autre erreur implicite dans nos observations et hypothèses.
Quand j'ai un jeune patient qui présente une agénésie d'une latérale supérieure, j'explique aux parents que c'est une erreur génétique, épigénétique, qu'on rencontre encore bien dans nos pratiques.
Quand c'est une prémolaire qui manque, pareil. Sans certitude scientifique, il me semble que c'est plus courant que les latérales supérieures.
Quand ce sont des 8 qui n'existent pas, ce qui est nettement plus fréquent, j'évoque une possible évolution de l'espèce.
Quand j'ai rencontré deux patient en 37 ans avec des 9, là je leur ai dit que c'est la présence de ces 4es molaires qui était une erreur. A la rigueur, un vestige de temps très anciens ou de peuplades presque perdues.
Pourquoi ? Probablement parce qu'implicitement j'ai jugé qu' une norme mathématique devait s'appliquer à la normalité physiologique. L'absence de la 9 est "normale", pas l'absence de la 2.
Mais est-ce que je ne suis pas de nouveau devant un pré-jugé ?


isaïe

26/01/2019 à 08h26

Une troisième erreur est, toujours mon avis, le fait que nous accordons trop d'importance à ce que les patients racontent. Sans doute parce que nos outils d'analyse de la physiologie ne sont pas assez performants. Et on s'égare dans des modèles invérifiables de causes psychologiques stigmatisant certains groupes comme les "emmerdeuses" de plus de 40 ans qui présenteraient plus de plaintes que les autres et auxquelles une camisole chimique ferait le plus grand bien. On ne sort pas indemne de 150 ans d'hypothèses psy.
On a négligé Spinoza (Ethique, 11,2)," nos idées sont le reflet du fonctionnement de notre corps", mais on nous a trop bassiné avec l'inverse.

Nous savons que le cerveau émet dans une fourchette de fréquences bien précise.
Jeff me comprendra : quel outil avons-nous développé (je ne parle pas des dentistes) pour étudier la qualité des signaux émis ? En capture directe, c'est relativement grossier. En analyse indirecte, c'est précis au microHertz et au dix-millième de V/m.
Si la visco-élasticité d'un ptérygoidien est altérée, qu'en est-il du contexte électrique puisque c'est un déterminant incontournable de part la piézoélectricité du matériau ?

Sans oublier l'effet inverse. Si je déforme un piézo, je produis un champ électrique.
Si je déforme un ligament alvéolo-dentaire, je vais aussi créer un champ électrique. En mesure indirecte, en écrasant une centrale supérieure, je produis un champ autour de 1Hz. Sur une 15, nous sommes à plus de 20 Hz.
Alors cher enlaye, si mon cerveau exagère à 1 Hz, il y a logiquement de fortes chances pour que le ligament d'une 11 se déforme et pas celui d'une 15 et la 11 va bouger.
Donc je ne vais pas mettre une gouttière et en traitement ortho, j'ai intérêt à bien coller ma contention pcq la 11 a un "contrat" sur sa tête.
Ce qui nous intéresse, ce n'est pas la zone cérébrale activée quand je stimule de l'une ou l'autre façon (objet de beaucoup de recherche), mais bien ce qu'il advient dans la fourchette de fréquences en terme de précision et d'amplitude. Comment est le spectre d'émission de quelqu'un qui présente un claquement à l'ouverture ou une glossodynie ?
Il y a un univers électrique dans lequel nous fonctionnons toutes ( la charge en fer du collagène augmente en deuxième moitié de cycle menstruel et son seuil de déformation diminue de 6 mV, retour à la normale après les règles) et tous. Il n'est pas chaotique mais structuré et permet de mieux expliquer ce que nous observons.
Et pour en revenir à la question du début "Absurde ?", ma réponse est non.


Avatar transparent iqadnc - Eugenol
adhoc

26/01/2019 à 12h50

> L'absence de la 9 est "normale", pas l'absence de la 2. <

"Une mutation est une erreur génétique qui a réussi ".

(@adhoc)


Icon poker h4nm2d - Eugenol
jeff

26/01/2019 à 20h59

yess , des news d'isaïe :)

j'imagine que tu as déja perdu quelques confreres avec ton dernier message :)


isaïe

27/01/2019 à 20h48

"Avant chaque autoroute, il y a eu un sentier étroit où on ne peut pas marcher à deux de front" ( J.César, de Bello Gallico).
"De tous les peuples de la Gaule, les belges sont les plus courageux" (du même).

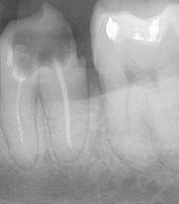
Img 1722 uuldmt - Eugenol

isaïe

05/02/2019 à 08h53

Patient d'une petite soixantaine d'années. Brossage correct et brossettes. Pas de prothèse inférieure.
Il y a un "contrat" sur la 26, pas sur les voisines. Et il ne fallait pas mettre d'implant pcq la zone 11-21 est électriquement anormale. Perdu d'avance.

E toheaj - Eugenol

Utilisateur banni

05/02/2019 à 09h03

Électriquement anormal ?:) t’as branché un appareil sur l’implant du patient pour mesurer le courant ? C’est de l’alternatif ou du continu ? :)
Si il y avait un calage en postérieur fait avant de poser cet implant , il y aurait peut-être moins de risque non ?


isaïe

05/02/2019 à 09h14

Pareil.

F d9lwno - Eugenol

Utilisateur banni

05/02/2019 à 09h29

Le problème sur 36 aurait quel origine ?
=> problème d’équilibration
=> ou os cramé pendant le forage ou os trop comprimé . L’os me paraît bien dense à la mandibule au passage. Faut chercher de ce coté


Vw campersurfvan bmnk1q - Eugenol
enlaye

05/02/2019 à 09h50

isaïe écrivait:
-----
" Il y a un "contrat" sur la 26, pas sur les voisines. "

Je dirais ,Il y avait un " contrat " sur la 26 . On en voit les traces extrationnelles des 2 dents du bas qui l on prise en sandwich . A cela on rajoute une occlusion canine de traviole et du coup , probablement une occlusion a la con du bloc ant .
Enfin je dis ça pcq je n ai pas mon voltmetre .
Je partage l avis de Junior .


isaïe

05/02/2019 à 10h10

Cette hypothèse électrique permet peut-être de comprendre pourquoi cette dent couronnée il y a 25 ans est asymptomatique. Le cône distal est mobile, mais pas le lentulo.
Pour le 1er cas les extractions en bas datent d'il y a plus de 20 ans.

G y9elbe - Eugenol

Utilisateur banni

05/02/2019 à 10h31

Faut le brancher sur la gégène , ça va lui remettre tout ça en place :))) . j’espère juste que c’est une belle plaisanterie. En tout cas ça m’aura encore bien fait marrer cette histoire.


Generique fraisage r2rxmm - Eugenol
lardonbis

05/02/2019 à 11h01


si le probleme est electrique je propose une protection cathodique par courant imposé.
un générateur, des piquets en platine/niobium et zou.


isaïe

05/02/2019 à 11h17

"L’os me paraît bien dense à la mandibule au passage. Faut chercher de ce coté"
86 ans.
Implants posés il y'a une quinzaine d'années.


Ylfwcw979cz1jnx9gfqeaxndiuzk - Eugenol
Algi

05/02/2019 à 11h24


Junior ce qu'il y a de bien avec lui c'est qu'un rien l'amuse.... Heureux homme....

--
On a toujours le choix mais entre quoi et quoi?
Vas-y boulégue et l'avenir te le dira!


Ylfwcw979cz1jnx9gfqeaxndiuzk - Eugenol
Algi

05/02/2019 à 11h26

Ce qui serait intéressant Isaie c'est que tu nous montre des cas "après"....


--
On a toujours le choix mais entre quoi et quoi?
Vas-y boulégue et l'avenir te le dira!


isaïe

05/02/2019 à 11h58

Salut Algi
Les radios postées peuvent bien entendu permettre beaucoup d'interprétations.
La 26 égressée m'interpelle pcq les autres n'ont pas bougé alors quelles n'ont pas d'antagonistes non plus depuis longtemps.
L'interprétation d'enlaye est tout à fait possible, mais elle ne me satisfait pas pcq je ne peux pas expliquer par exemple des déplacements dentaires mésio-distaux de dents sans antagonistes et parfois sur plusieurs mm.
Montrer qlq chose "après" est difficilement une preuve irréfutable pcq on ne maîtrise pas tout ce qui peut être déterminant : il y a des problèmes qui peuvent se solutionner "tout seul" et en occluso, on est servi !
Ce qui veut simplement dire qu'on ne sait pas pourquoi la pathologie est arrivée ni pourquoi la plainte du patient a disparu.
Il faudrait pouvoir montrer qlq chose dont on sait que ce n'est pas traitable.
On va réfléchir.


Utilisateur banni

05/02/2019 à 12h04

Algi écrivait:
----
>
> Junior ce qu'il y a de bien avec lui c'est qu'un rien l'amuse.... Heureux
> homme....

Tu commences à me connaître, un rien m’amuse . En tout cas , expliquer que l’implant antérieur est compromis à cause d’une raison électrique plutôt qu’une raison de manque de calage postérieur oui effectivement ça me fait sourire. Vous prenez une chaise avec 4 pieds qui la soutiennent . Et vous enlevez les deux pieds postérieurs. Qu’est ce Qu’il se passe ? Ça se casse la gueule. Là c’est pareil pas de calage postérieur => les dents antérieures morflent y compris l’implant .


isaïe

05/02/2019 à 12h27

Bien d'accord junior, mais le calage se fait sur les 4 depuis 20 ans et les latérales, moins bien plantées que les centrales en principe, ne se portent pas trop mal.
Je suis entièrement d'accord avec toi, mettons lui des dents en bas, mais je me dis quand même que c'est bizarre que les latérales ont tenu le coup. L'implant tient toujours très bien sur les 2 ou 3 mm qui restent. La centrale n'est pas en contact avec son antagoniste, mais bon, ça ne va sans doute pas évoluer favorablement...


Utilisateur banni

05/02/2019 à 12h29

Quant à la 36 je serais curieux de voir son anatomie et les conctacts qu’on obtient après analyse occlusale.
Et j’aurais été aussi curieux de savoir de quelle façon ça a été posé sur un os dense comme c’est le cas ici.


Utilisateur banni

05/02/2019 à 12h39

Pourquoi à ton avis il y a plus de perte d’os sur l’implant au niveau de l’incisive ? C’est tout à fait normal qu’on constate une telle perte osseuse . Trois facteurs sont en cause ici : l’occlusion (pas de calage) la parodontite , plus la pose de l’implant (son orientation) . D’autant plus que l’incisive centrale est d’avantage utilisée qu’une incisive latérale. Surtout qu’on le sait tous : si il y a eu pose d’implant ça veut dire qu’il y a eu extraction. Qui dit extraction dit perte d’os . Donc déjà dans cette zone on avait moins d’os en verticale et en épaisseur . Sauf si le dentiste a reconstruit une épaisseur osseuse ou fait une expansion, ce que je doute fortement. Donc déjà faut partir du principe que l’implant ait été posé dans un os moins épais que ce qu’on trouve au niveau de ses latérales par exemple.

Et sans parler de l’orientation de l’implant ! Est-ce qu’il a été posé dans l’axe de la centrale ? J’en ai pas l’impression . Faut pas s’ étonner si on a plus d’os perdu sur un implant posé obliquement et dont l’axe a été rattrapé par le pilier et la couronne. Déjà on sait que le mec n’a pas posé ça correctement dans le sens horizontal. Alors je n’ose pas imaginer dans le sens sagittal comment ça a été posé :) .


isaïe

06/02/2019 à 08h35

Je ne crois pas à la vision mécaniste de l'occlusion.
D'abord parce qu'elle ne permet pas d'expliquer les égressions, les migrations, les récidives orthodontiques (genre décollement de la contention et retour à la rotation péniblement corrigée alors que le patient est sorti du traitement avec une légère béance antérieure, donc sans contact)
Ensuite parce que les temps de contact entre les arcades sont absolument insuffisants pour justifier les déplacements que nous observons.
Enfin, la variété des occlusions farfelues asymptomatiques étant ce qu'elle est, aucune relation systématique raisonnable ne peut être déduite entre l'occlusion et une quelconque action distance.
Juste un peu de temps pour vous montrer qlq chose, silence ça pousse...


Generique fraisage r2rxmm - Eugenol
lardonbis

06/02/2019 à 08h42

Le patient est fourbe, c'est pas parce que ça touche pas quand on regarde qu'ils n'arrivent à faire toucher une fois rentré chez eux. ils sont en caoutchouc les types. Que d'autre forces que celles de l’antagoniste s'appliquent sur la canine c'est certain, mais ça reste de la mécanique, si ça bouge c'est bien qu'il y a un truc qui pousse.


Ylfwcw979cz1jnx9gfqeaxndiuzk - Eugenol
Algi

06/02/2019 à 09h09

Un truc qui pousse.... Yes! Mais quel truc ?


--
On a toujours le choix mais entre quoi et quoi?
Vas-y boulégue et l'avenir te le dira!


isaïe

06/02/2019 à 09h22

Bien d'accord avec toi lardonbis : si ça bouge c'est qu'il y a un moteur.
Pour moi ce n'est pas l'impact des antagonistes, c'est un moteur électromécanique, plus probablement à partir du ligament piézoélectrique que de l'hydroxyapatite osseux également piézoélectrique (on n'a pas beaucoup de migrations d'implants...)