Cookie Consent byPrivacyPolicies.comIdentification implant - Eugenol

Identification implant

Img 5097 lxchd7 - Eugenol
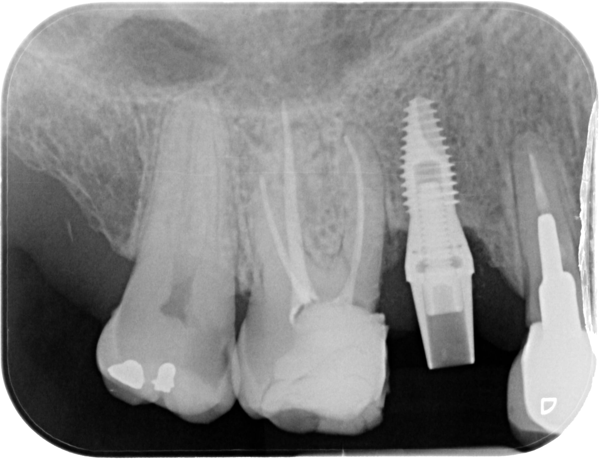
Queixal

17/12/2018 à 18h47

Patient que je vois pour la premiere fois. Il a posé les implants en Argentine(il est de la-bas)

Ln8qkxzs5cnuf385qlky - Eugenol
Bfm5ljqcustjl5cn4goz - Eugenol

Vw campersurfvan bmnk1q - Eugenol
enlaye

17/12/2018 à 21h41

J aime bien la gestion du point de contact :,-)


Photo pluton1b h9n4ea - Eugenol
pluton

17/12/2018 à 22h07

trouvé....;-)

http://osseosource.com/dental-implants/product_info.php?products_id=743

bon gros avantage, c'est un hex externe donc tu vas trouver plein de compatibilités....;-)


Img 5097 lxchd7 - Eugenol
Queixal

18/12/2018 à 14h07

Merci pluton


Paul Pitt

18/12/2018 à 16h37

La pose est curieuse : c'est un tissu ou un bone level ?