Cookie Consent byPrivacyPolicies.comActive retainer - Eugenol

Active retainer

1309531 ours brun n5iukf - Eugenol
seespan

10/01/2019 à 05h58

Les modo (tête de veau) m'ayant bloqué mon super thread sur la 2D en lingual ( mais il est toujours actif sur le forum dentaltow.com rubrique orthodontics)

J'en ouvre un nouveau pour le suive d'un cas, je vais pas tous reexpliquer donc copier coller du post in English (comme ça il y aura moins de fautes).

Category speed run.
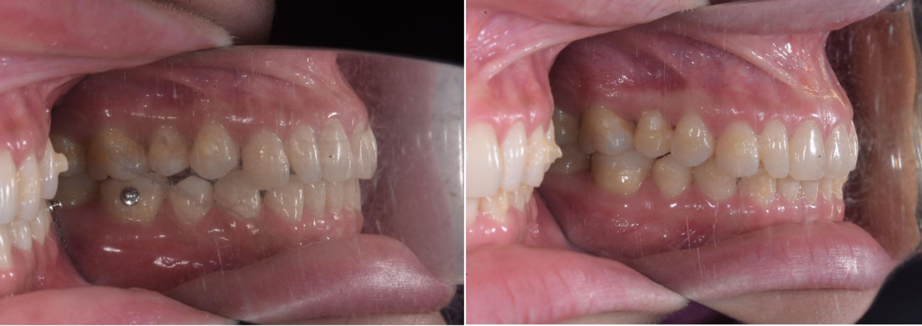
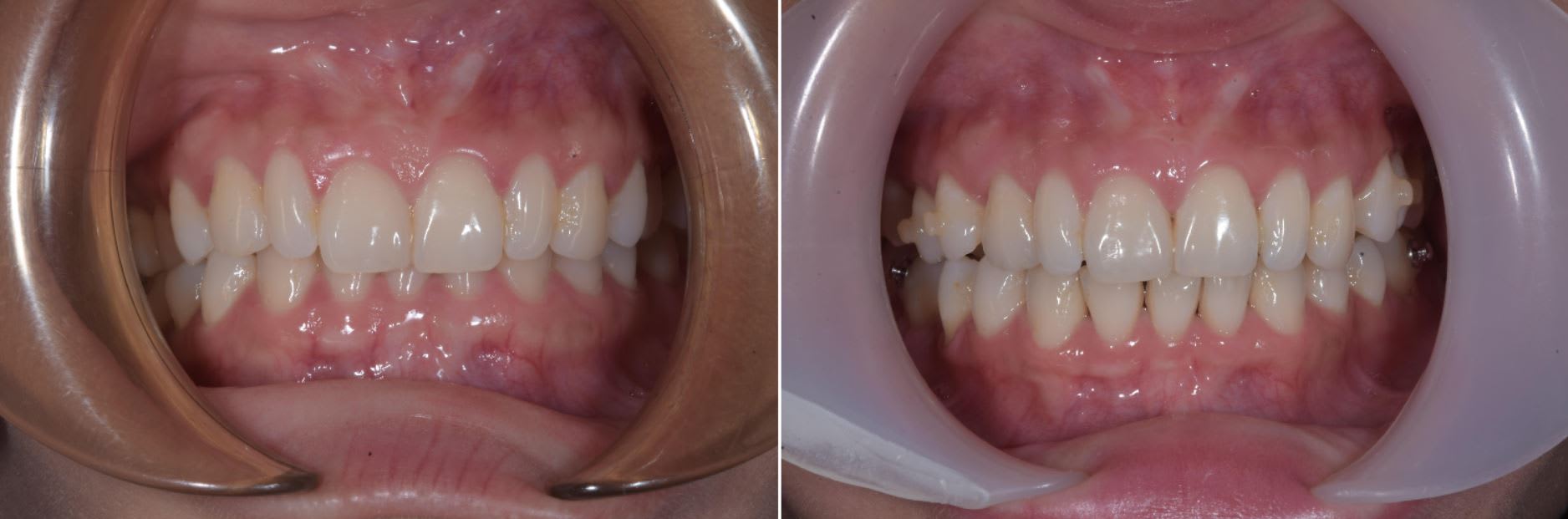
- I was seeing a patient for ortho treatment and the mother ask me if I can do something for the older sister who came back from Sydney for the holiday.
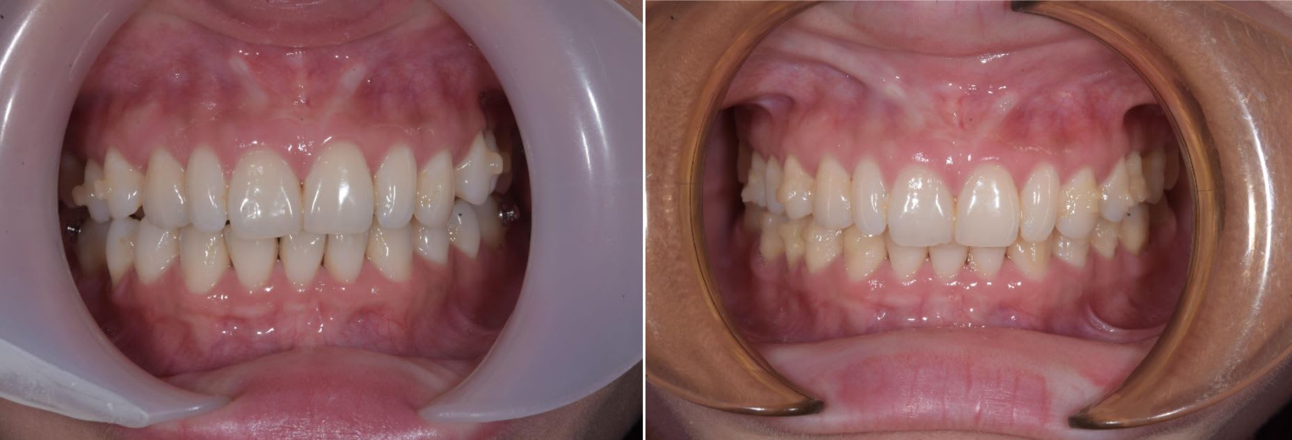
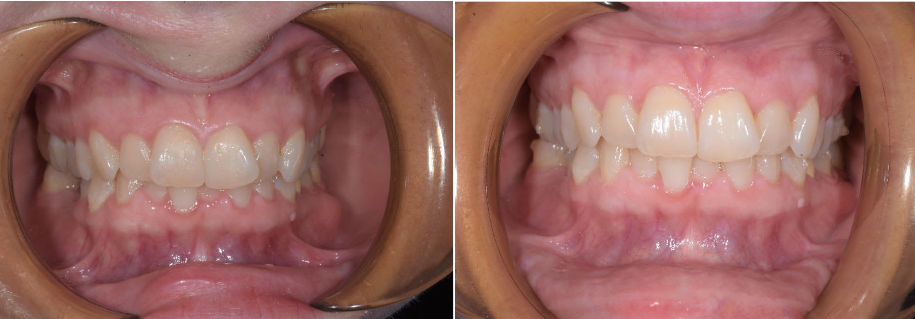
- Patient did an ortho treatment there but ho surprise surprise, can you believe it , one chance in a million but at 20 years old she was not so motivated for sleeping every night with a plastic retainer in her mouth ( no no I am not inventing this, real story, real people ) and lost it. As a result crowding developed on the lower incisors.
- Mother ask me if I can do something before she leaves for Siam Reap on Friday morning ( we are Monday and the sister is my last patient of the day ).
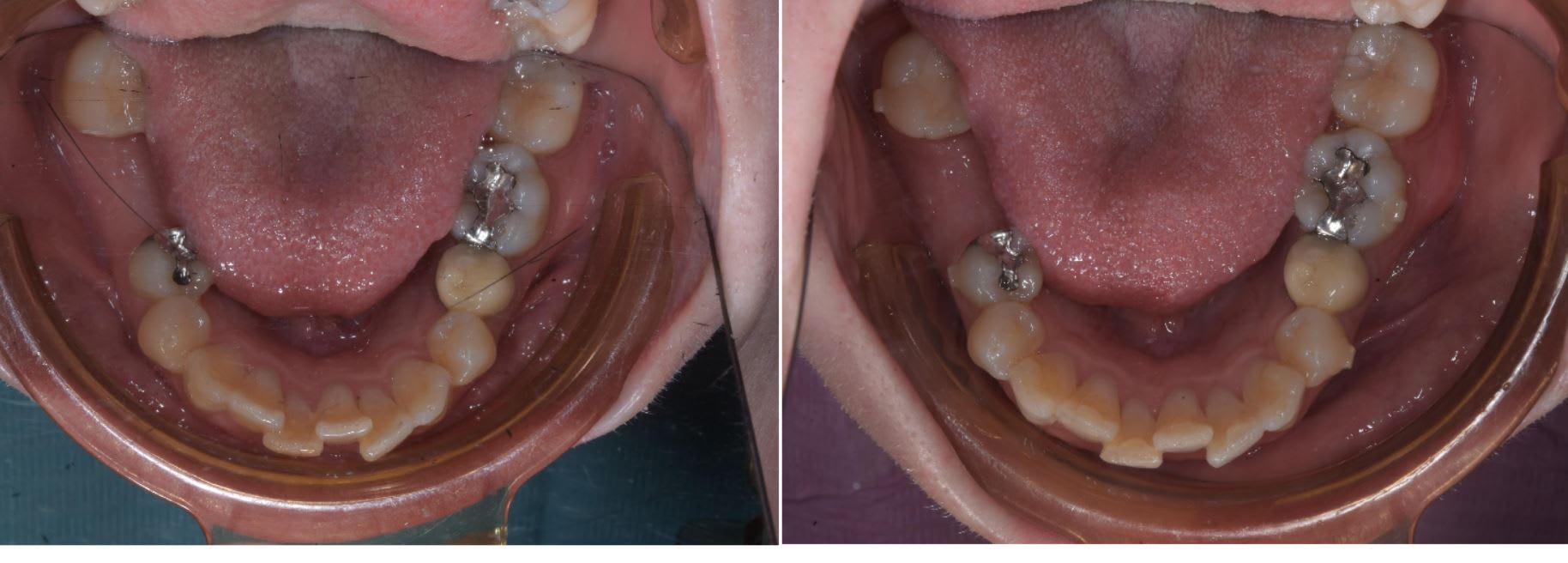
- I propose to do an " active retainer " with 2D. Meaning an ortho appliance that will first align then serve as a retainer.

1 took an alginate impression
2 poor plaster and wait 15 minutes for it to become hard
3 Separator
4 bond 2D on model using thermacure
5 scanned the model with bracket in position
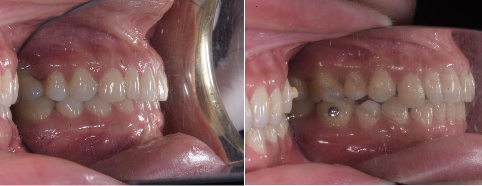
6 3D set up for aligning the lower incisor. Set up show that upon alignment an occlusal trauma occur with the upper incisors who have very developed marginal ridge. Slight striping also necessary.
7 3D printing
8 IDB tray + bending of the wire on the 3D set up ( set up also showed me that 33 was not in good position )
9 Wednesday , bonded the bracket, did stripping, inserted the wire, grinded the marginale ridge of 11 and 22 , took impression for upper fixed retainer. Ask the lab to make plastic tray on the printed model
10 Today bonded the fixed retainer and give lower tray to the patient.

Please give me the name of another system that allow you to do something like that. :-)


En histoire marrante, après avoir retiré les bagues et prie l'empreinte pour la rétention fixe, la maman m'explique qu'ils doivent partir le lendemain en weekend et qu'ils ne peuvent pas revenir pour la contention, est ce que je peut la faire cette après midi.

j'explique que non mais que nous allons réalisé une contention plastique à porté la nuit en attendant leur retour.

La patiente qui m'explique que c'est IMPOSSIBLE qu'elle porte une gouttière la nuit même pour deux jours.
J'ai due lui expliqué que soit elle portait la gouttière et à sont retour elle aurait une contention fixe et les dents droite, soit elle ne la portait pas et à son retour elle aurait les dents pas alignés, une contention fixe et la photo avant après prise aujourd’hui pour montré au amis qu'avant c'était droit.
--
หมอจัดฟัน

Sdt7gsm6r3d5y90fbua4 - Eugenol
Lpzs0q06ipsa2rns2oj1 - Eugenol
Juhxgtpcckti7f7rekip - Eugenol

dmoh.

11/01/2019 à 10h44

Bonjour Seespan.
Pourquoi le fil corrige la position de 31/41, et pas celle des canines ?
Pourtant il subit bien une deformation pour etre placé dans les brackets canines .(Est-ce un fil NITI ?)
Cette correction s'est realisèe en cinq(05) jours ?
Peut-on obtenir la meme chose en collant en vestibulaire ?
MERCI.


1309531 ours brun n5iukf - Eugenol
seespan

11/01/2019 à 12h30

Ok bon j'explique un peut en Français.

La patiente était la soeur d'une de mes patientes ortho. Elle était de passage sur Phnom penh et repartait trois jours plus tard pour l'Australie.
la demande était pour l'alignement des incisives inférieures. Le truc c'est que les 2D sont tellement comfortable que l'on peut les laisser en place comme contention ( j'ai eu un cas avec leur ancétre en place depuis 20 ans.

J'ai commencer par coller les bracket en bouche puis j'ai prit une empreinte que j'ai coulé scanner. Avec le scan j'ai fait une simulation de la situation final souhaité que j'ai ensuite imprimée en 3D, et ait utilisé l'impression comme guide pour savoir quelle forme donnée au fil pour qu'il m'aligne les incisive sans touché au canine.

Oui tu peut faire la même chose en vestibulaire.


--
หมอจัดฟัน


dmoh.

20/01/2019 à 09h12

Bonjour SEESPAN.
Nous profitons beaucoup de votre experience et de vos "reflexes orthodontiques".
N'arrètez pas votre generositè svp.
MERCI.


1309531 ours brun n5iukf - Eugenol
seespan

20/01/2019 à 10h01


Merci pour les encouragement :-) .
En ce moment je suis surtout sur les aligneurs in-house.
Je ne peut pas trop faire de post sur le sujet car

- peut de personne fait des aligneurs in-houses
- il y a beaucoup d'option matériel différente
- ceux qui font du in-house font très majoritairement des cas ultra simples

Bref je montrerait une technique que personne sur le forum ne pourrait dupliquer.

La 2D ça ne coute rien au niveau matériel, ça ne demande aucun savoir faire particulier a part quelque notion d'ortho.

Enfin un de mes premiers cas in-house payant ( j'ai commencé pas faire des fin de traitement fixe ).

2 mois de traitement, 11 aligneur et un coût matériel de 22$.
Pour le bas je commence pas in intrusion quasi vertical, pour le haut je on réduit l'encombrement par proclination.



--
หมอจัดฟัน

Vert m9twr7 - Eugenol
Wo dygv0r - Eugenol
Woo m1mk77 - Eugenol

1309531 ours brun n5iukf - Eugenol
seespan

21/01/2019 à 02h09

Juste un mot sur les aligneurs in-house. J'ai une centaine de cas actif ( mon labo sort entre 30 et 40 aligneur par jour :-) ) .

Oui ça marche mais ça demande un travail type main d'oeuvre assez important ( imprimer trois ou quatre arcarde par jour pour faire autant de gouttière c'est relativement simple à faire dans un cab, quand vous monter au dessus de 20 ça commence à devenir plus lourd ) . Et faire les set up numérique ça n'est pas aussi simple que " bouger les dents là ou vous vouler qu'elle aille ".

Les aligneurs c'est un piége à con, dans le sens ou le principe parait simple mais pour différente raison à la fois clinique et logistique, c'est beaucoup plus complexe qu'il n'y parait.
Pour vous en convaincre essayer de trouver sur les forums des cas traiter par autre chose qu'invisalign. Vous aller trouver des dentistes ou orthodontiste vous expliquant que telle ou telle marque ça marche mieux qu'align, qu'eux même font du in-house mais vous ne verrez quasi aucun cas ( perso j'ai même lancé un sujet la dessus sur un groupe de 2000 ortho spé US, la demande de présentation de cas c'est soldée par un grand silence ).

Cela étant dit si vous faite une bonne sélection de cas ou avait un usage préçis pour les aligneurs, le in-house est une très bonne option ( juste comprenait que vous ne pourrait jamais réalisé avec Align, due moins pas en étant rentable ) .

Un petit exemple de cas ou ça rend service.

Une patiente pour de la 2D. A la fin du nivellement j'ai modifié l'occlusion au niveau des pm.

--
หมอจัดฟัน

Ten kcvsxp - Eugenol
Tenn vlodtz - Eugenol
Tennn but2wp - Eugenol

1309531 ours brun n5iukf - Eugenol
seespan

21/01/2019 à 02h10

Faire les modifications aurait était compliqué avec la 2D. Par contre ce type de mouvement marche bien avec des aligneurs.


--
หมอจัดฟัน

Tenca pnmevp - Eugenol
Tencb swvpyh - Eugenol
Tencc k8och4 - Eugenol