Tous les forums
Liste acte NR dans la nouvelle convention Avril 2019
21/01/2019 à 12h59
Est ce que vous connaissez l'ensemble des actes NR dans la nouvelle convention du mois d'avril 2019 ?
21/01/2019 à 13h26
La même qu'avant je dirais.....
A été enlevé du nr la coiffe provisoire. Remboursée 10€ plafonnée 60....
Merci les connards de signataires....
--
On a toujours le choix mais entre quoi et quoi?
Vas-y boulégue et l'avenir te le dira!
21/01/2019 à 13h31
Ah oui et le coiffage pulpaire direct ajouté aux actes remboursables....
Pour ce qui est du indirect bcp plus frequent à priori et surtout bcp plus utile.... pas retenu....
--
On a toujours le choix mais entre quoi et quoi?
Vas-y boulégue et l'avenir te le dira!
21/01/2019 à 13h37
comme çà on pourra facturer la radio de la dent avant bio
coiffage direct avec radio
puis echec => bio + 3 RX
21/01/2019 à 15h15
-DSR chez les diabètiques
-vernis fluoré chez les 6 - 9 ans
-bridges collé et cantilever
21/01/2019 à 16h13
Tous les trucs qui ne sont pas fait dans 90% des cabinets et qui vont exploser.
La "revoyure" va être cocasse...
--
https://docudent.fr
Tous les documents du cabinet dentaire
________________________________________
21/01/2019 à 17h47
Je suis désolé mais le coiffage direct ça marche très bien si c'est correctement fait sous digue avec le bon produit. Ce qui m'embête dans cette cotation c'est que l'acte passe de NR à plafonné en plus comme d'habitude sous coté. En effet à 20€ la capsule de bio dentine + le temps passé en dessous de 100€ tu en es de ta poche.
Pour ce qui est du coiffage indirect il est inutile sous les composites. S'il reste moins de 1mm de dentine c'est un chiffrage direct ( biologiquement parlant).
Le actes NR si tu les utilisent bien te permettent de t'en tiré. Truc donné par mon CD conseil: 1 Photo pour chaque composites " en cas de contrôle". La photo elle est NR tout comme les gingivectomies unitaires pour permettre d bien mettre le champ et la matrice.
C'est du bidouillage mais c'est le seul moyen. Le patients vont faire la gueule devant tous ces restes à charges et toi tu te fais chier à faire des devis tout le temps. Une fois le pli pris çà passe bien et les actes deviennent rentables.
21/01/2019 à 18h02
@motte-5 les photos tu les fais avec un appareil photo ? ou une caméra intra orale ?
Tu la facture combien la photographie ?
21/01/2019 à 18h03
ok pour la photo ,si tu la fais c'est du NR ,par contrte la gingivectomie si tu la cotes et que tu la fais pas ,et que tu te fais pécho , ça risque d'être problématique
21/01/2019 à 19h30
Mais le monsieur te dit que la gingivectomie unitaire qu'y fait c'est du nr!!
--
On a toujours le choix mais entre quoi et quoi?
Vas-y boulégue et l'avenir te le dira!
21/01/2019 à 19h43
Faivre-rampant écrivait:
--------------
> @motte-5 les photos tu les fais avec un appareil photo ? ou une caméra intra
> orale ?
> Tu la facture combien la photographie ?
mouarf , les patients vont payer pour se faire tirer le portrait ;o))) y a du coquart dans l'air ;o)
22/01/2019 à 10h14
La photo je la fais avec soit mon microscope soit avec mon appareil ça dépend. Quand je cote quelque chose c'est que je l'ai fait. Je suis pratiquement endo retau exclusif j'ai donc des "Stats très anormales" alors je joue pas à faire des cotations d'actes imaginaires. En général je la justifie par une photo. Perso je fait un compo en 45 minutes et je facture au total entre 120 et 150€ cotation composite comprise.
Pour le coquart j'ai pas trop de risque avec mes 2 m et mes 100KG.
Si le patient est pas d'accord pour payer je lui fait des CVI sous digue mais là en 45minutes je fait un secteur.
22/01/2019 à 10h34
Motte-5 écrivait:
-------
> Perso je fait un compo en 45 minutes et je facture au total entre 120 et 150€
> cotation composite comprise.
Tu cotes la radio avec quel code CCAM ?
C'est du coup environ 100e la photo ?
je suis pas persuadé que ca passe au contrôle secu.
Quand tu es conventionné, tu t'engages a respecter la convention et la notion d'acte global.
Ton histoire me fait penser aux prat qui cote un comblement osseux après l'avulsion parce qu'il pose un morceau de pangen.
22/01/2019 à 11h49
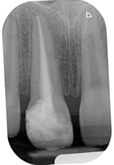
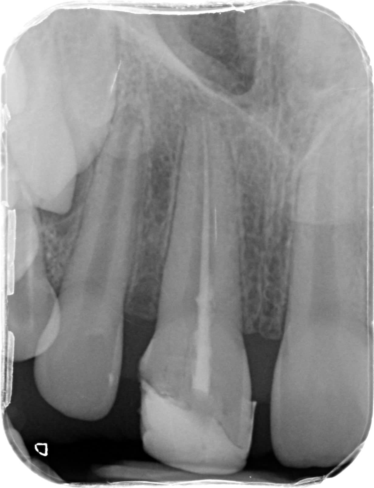
Poser un pangen et coter un comblement c'est du vol. Selon mon CD conseil coter une photo pour justifier ton acte et ou enregistrer tes rapports occlusaux est justifié. bien sur si tu fais un compo de merde dans la salive prendre une photo NR c'est du vol. je pense pas voler mes patients. Les parents du gosse dont je joint le cas n'ont trouvé que je suis un voleur ( malgré les 400 NR) alors qu'ils attaquent le confrère au tarif conventionné.
22/01/2019 à 12h02
Difficile a voir sur la radio ; tu as mis un pivot?,
5inon, je pense qu'ils vont attaquer deux dentistes!
A ce stade une dent provisoire et zou!
22/01/2019 à 12h06
Si les patients ne sont pas trop cons , ils devraient demander l’interêt de faire une photo dans la réalisation de l’acte . Est-ce que la photo va permettre de mieux réaliser l’acte ? :))
En tout cas c’est assez rigolo. Je te rassure l’histoire de la photo c’est du vol aussi, mais on est plus à ça près :) Toute cette histoire va faire flamber des actes les plus farfelus les uns que les autres . Pour le coup on va vraiment de plus en plus passer pour des arnaqueurs
22/01/2019 à 12h12
attention, je ne traite personne de voleur, ni toi ni celui qui cote un comblement.
Je pense juste que c'est du meme acabit.
Et surtout que ca ne tient pas au contrôle secu.
Il te l a confirmé a l'écrit ton CDC ? Ca m'étonnerait.
22/01/2019 à 12h20
Putain je peux doubler mon CA avec les photos. Et motte 5 fais gaffe on ne critique pas le travail d'un confrère. -)))
--
En cas d'échec des négociations conventionnelles, seriez-vous prêt à suivre la promotion d'un déconventionnement massif de la profession par les syndicats représentatifs ? OUI - NON
Participez, anonymement, sur https://goo.gl/forms/nAO0htnsVmxotjYm1
22/01/2019 à 12h33
Aucun ce sont des captures d'écran d'un site d'endo américain. Tu crois pas que je vais me casser le tronc comme ça pour une endo à 80 balles ? -)))
--
En cas d'échec des négociations conventionnelles, seriez-vous prêt à suivre la promotion d'un déconventionnement massif de la profession par les syndicats représentatifs ? OUI - NON
Participez, anonymement, sur https://goo.gl/forms/nAO0htnsVmxotjYm1
22/01/2019 à 12h43
chicot29 écrivait:
--------
> je vais me casser le tronc comme ça pour une endo à 80 balles ? -)))
81,74... mais faut attendre le 1er avril et les réévaluations... a non en fait, ce sera toujours a 81,74...
22/01/2019 à 12h45
Je pensais à un truc qui passerait beaucoup mieux que pour les composites : la prise de teinte pour les couronnes. Là la photo est justifiée.
22/01/2019 à 13h10
junior® écrivait:
-------
> Je pensais à un truc qui passerait beaucoup mieux que pour les composites : la
> prise de teinte pour les couronnes. Là la photo est justifiée.
elle est justifiée mais rentre dans la règle de l'acte global, comme par exemple la 4eme radio endo.
Motte-5, tu utilises le code ZAQP001 pour les photos ??
22/01/2019 à 13h32
Le problème c’est comment justifier sérieusement une photo dans l’élaboration d’un composite?
À part pour prendre des teintes et pour réfléchir sur un gros cas ,Les photos vous voulez que je vous dise , elles servent essentiellement à présenter des cas , autrement dit elles servent à se masturber devant son propre travail. :))) ça n’est rien d’autre que de la branlette quand on y réfléchit bien.
22/01/2019 à 14h50
junior® écrivait:
-------
> Le problème c’est comment justifier sérieusement une photo dans l’élaboration
> d’un composite?
C'est impossible et ca ne passe pas en contrôle secu.
Mais c'est un sacré biais de compétitivité, comment t'arrives a t'aligner après en tant que conventionné ??
Tu peux toujours essayer...
Tous les avantages d être conventionné avec tous les avantages d'être déconventionné... un taux urssaf ras les pâquerettes et un BNC de spécialiste non conventionné. C'est sublime.