Cookie Consent byPrivacyPolicies.com4eme p'tit tuto occluso proximo - Eugenol
6szjws718sv1jksw54v4mpj3a6cu - Eugenol
vulpi

13/02/2019 à 10h13

Tu veux qu'on te raconte quand on a limé si ça à fait du bien... C'est ça ?
Tu veux aussi des photos ?


6szjws718sv1jksw54v4mpj3a6cu - Eugenol
vulpi

13/02/2019 à 16h00

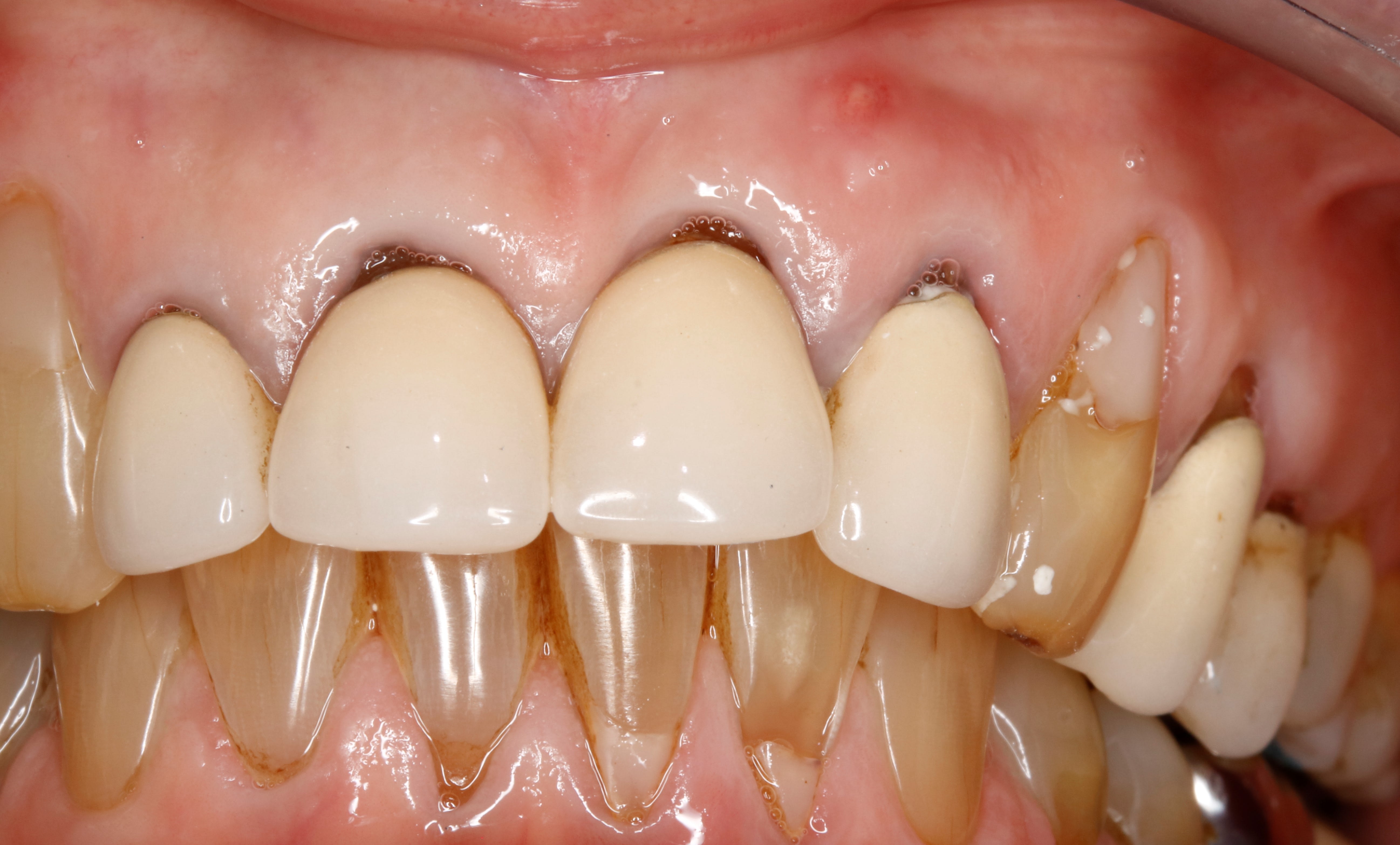
Tiens un truc fréquent, tu as la 7 sup qui est pointue+++ et qui a mangé la table occlusale de la 7 inf et a egresse, souvent sur l'antagoniste il y avait un composite qui a été mangé.
Bin c'est chiant et fréquent.


6szjws718sv1jksw54v4mpj3a6cu - Eugenol
vulpi

13/02/2019 à 16h01

C'est la cuspide MP qui est pointue.
Pourquoi ce phénomène ???


Vw campersurfvan bmnk1q - Eugenol
enlaye

13/02/2019 à 16h15

Pcq ç est une cl2 div 2 avec sur contact ant


Vw campersurfvan bmnk1q - Eugenol
enlaye

13/02/2019 à 16h17

Donc l entree Et la sortie se fait par un mouvement arriere .
Pb tres frequent grace à nos amis ortho


6szjws718sv1jksw54v4mpj3a6cu - Eugenol
vulpi

13/02/2019 à 17h36

Oui, bizarrement tu as l'impression d'avoir un axe de rotation vertical au niveau de cette pointe MP.
Bin là aussi je lime, mais je ne suis pas convaincu du bien fondé. Après expliquer au patient qu'il faut refaire tout le secteur ant... 🤣
J'ai une amie qui est classe 2 div 2, il va falloir que j'explore le fond de sa bouche. Il faut !!! C'est pour la science:-)


6szjws718sv1jksw54v4mpj3a6cu - Eugenol
vulpi

13/02/2019 à 17h37

Et tu as une soluce à ce problème ??


dmoh.

13/02/2019 à 18h19

Bonjour.
Dans ce cas il faut meuler la pointe MP , ou la crete distale qui semble n'avoir rien fait de mal ou bien les deux ?
MERCI.


dmoh.

13/02/2019 à 18h24

Bonjour.
Dans ce cas il faut meuler la pointe MP , ou la crete distale qui semble n'avoir rien fait de mal .
MERCI.


dmoh.

13/02/2019 à 18h26

Ou bien les deux


Vw campersurfvan bmnk1q - Eugenol
enlaye

13/02/2019 à 19h03

Ah non , il ne faut pas limer ni la mp ni la crete distale . Surtout pas .
Tu peux eventuellement donner plus d aisance devant , pour soulager derriere ; mais faut voir le cas sachant que tu vas avoir des contacts plus anterieurs d une façon globale et là ou ça peut poser pb ce sera à cause des bombés vest des dents du bas qui deviendront predominents et ç est tres mauvais .
Ç est d ailleurs a cause de ça que tu partirais plutot sur une augmentation de dv .
Je dis bien tu partirais pcq moi je n ' ai JAMAIS vraiment reussi une augmentation de dv . Suis calmé de ce coté là :-)))


6szjws718sv1jksw54v4mpj3a6cu - Eugenol
vulpi

15/02/2019 à 18h14

Oui bah avec tes conne... conseils aujourd'hui j'ai limé une patiente de 65 ans, te dis pas merci!
Et comme je suis un dégueulasse j't'ai envoyé des photos en MP:-)))


Vw campersurfvan bmnk1q - Eugenol
enlaye

21/02/2019 à 00h12

embrouille au 22 .

lors d une embrouille sur 11 / 22 , ç est le plus facile à en trouver le ou les coupables .

voilà une belle cl2 avec overjet important . donc absence de contacts incisifs . et pourtant il y a de jolies mylolyses + 1 fracture radiculaire de la 22 .
pourtant , faut bien un serrage dentaire pour en arriver là , non ?
et , s il y en a un qui me parle de la lannnngue , qu il aille jouer aux taquets avec ses petits copains :-).

donc ce sur- contact , qui a fracturé la racine de 22 , il est initié par quoi ?

1 fnwv8r - Eugenol

Vw campersurfvan bmnk1q - Eugenol
enlaye

21/02/2019 à 00h15

il n y a pas de contacts incisifs en occlusion OIM , et pourtant l on voit de belles face d usures brillantes donc actives .

2 pj58tq - Eugenol

Vw campersurfvan bmnk1q - Eugenol
enlaye

21/02/2019 à 00h20

effectivement , lorsque l on recherche une position male femelle ( position nocturne ) , on peut trouver cela

3 fhw7bs - Eugenol

Vw campersurfvan bmnk1q - Eugenol
enlaye

21/02/2019 à 00h30

et comme je vous l ai x fois repeté : s il y a embrouille sur une 22 on va regarder au plus loin derriere en diagonale au niveau de 46 / 47 .
et voilà .

 mg 1643 rvjvy8 - Eugenol

Vw campersurfvan bmnk1q - Eugenol
enlaye

21/02/2019 à 12h45

et qu est ce qu on voit ? une belle crete distale de la couronne metal qui forme une marche d escalier .
de toute évidence , ça s appelle une interférence en rétropropulsion .
or ç est une cl2 , donc sans guidage incisif efficient avant arriere .
ce qui veut dire que leurs chemins d entréé et de sortie sont amples , normalement .
et là , plus , blocage .
donc leur seul mouvement av / ar ne peut se faire qu avec un soubresaut .
a suivre :-)

5 1 cokoae - Eugenol

colza2

21/02/2019 à 14h06

Donc tu as supprimé la grosse crête de 46 et la fracture de 22 s'est refermée? :-))


Vw campersurfvan bmnk1q - Eugenol
enlaye

21/02/2019 à 14h47

presque , mon Colza :-)))
je l ai eu mardi en urgence pour la 22 à la main , la racine cassée .
elle part ce vendredi pour un tour du monde de 6 semaine .

" mais si je vous la remet , ma chere madame , ç est en ballon que vous allez partir faire votre tour du monde " :-)))
"" ??? ""
" je parle de la tete , bien sur , pas du transport ! "

mais comme suis un craint degun , j y ait rescéllé la couronne apres machination de la 46 et rdv au retour .
a suivre :-)


dmoh.

21/02/2019 à 16h16

Bonjour enlaye.
Quand vous supprimez une crete metallique , vous demandez l'accord du patient ?
Il doit refaire une autre couronne ?
MERCI.


6szjws718sv1jksw54v4mpj3a6cu - Eugenol
vulpi

21/02/2019 à 16h24

enlaye écrivait:
------
> et qu est ce qu on voit ? une belle crete distale de la couronne metal qui forme
> une marche d escalier .
> de toute évidence , ça s appelle une interférence en rétropropulsion .
> or ç est une cl2 , donc sans guidage incisif efficient avant arriere .
> ce qui veut dire que leurs chemins d entréé et de sortie sont amples ,
> normalement .
> et là , plus , blocage .
> donc leur seul mouvement av / ar ne peut se faire qu avec un soubresaut .
> a suivre :-

Ce serait pas la crête mésiale de la 7 qui serait trop basse?-)) J'aime bien la morphologie occlusale de la 6 :-))


Vw campersurfvan bmnk1q - Eugenol
enlaye

21/02/2019 à 18h48

dmoh. écrivait:
-----
" Bonjour enlaye.
Quand vous supprimez une crete metallique , vous demandez l'accord du patient ?
Il doit refaire une autre couronne ?
MERCI. "

oui bien sur , surtout en 1er rdv . mais tu sais , comme l effet de confort est immédiat , après ils te font une confiance absolue .
s il doit refaire une autre couronne ? tu veux dire d une façon générale après meulage ? non pas forcement .
maintenant si tu parles de ce cas ce n est pas une couronne qu il faut faire , mais 3 .
pcq comme l a dit Vulpi , ç est surtout la 7 qui ne va pas .


Vw campersurfvan bmnk1q - Eugenol
enlaye

21/02/2019 à 19h00

vulpi écrivait:
-----
" Ce serait pas la crête mésiale de la 7 qui serait trop basse?-)) J'aime bien la morphologie occlusale de la 6 :-)) "

bien sur . en fait ce qui a du se passer ç est que la 6 , la plus ancienne n etait pas top avec de trop gros bombés y compris proximaux ,
du coup elle a du gangasser pour la mettre en place et elle a du user la reconstruction de la 47 donc celle d en haut a égressé .
puis récemment elle vient de faire faire la 47 mais son dentiste ne lui a pas corrigé celle d en haut avant .
un grand classique .
au final il faut quand meme enlever l escalier dans l urgence ,, avant de refaire 46,47 + l antagoniste de 47 .


Vw campersurfvan bmnk1q - Eugenol
enlaye

21/02/2019 à 19h10

si on regarde mieux cette 6 on y voit une facette d usure sur la crete vestibulaire , qui n est pas un point d occlusion primaire .
en fait ce qui se passe ç est qu elle est genee par ce soubresaut obligatoire ,
et elle l enjambe en allant se caler plus devant sur cette facette .
donc de ce coté elle n est pas mal , puisque sont atm droite est décontractée ( par l avancée )
et de l autre elle s appuis au plus loin , pour plus de stabilité , et le plus loin en lateral , ç est la 22 .
un tres grand classique !

4 veelre - Eugenol

Vw campersurfvan bmnk1q - Eugenol
enlaye

22/02/2019 à 12h45

vulpi écrivait:
-----
" Bin là aussi je lime, mais je ne suis pas convaincu du bien fondé. Après expliquer au patient qu'il faut refaire tout le secteur ant... 藍 "

j ai un exemple de ton histoire .
du coup la dent du bas a un aspect du tulipe , ç est ça ?
non seulement il ne faut pas aplatir en la limant celle du bas , mais il faut mémé la recréer si tu reconstruis.
ces gens qui sont gênés par devant , se recréent une liberté par derrière .
et ils rentrent et sortent par derrière .
du coup je dirais presque qu ils ont un guidage postérieur balancés , un peu comme en totale .
là j ai fait un onlay sur 37 et j ai refait cette fourme de tulipe .
ce qui ne t empêche pas de faire une moyenne avec le haut , bien sur , en adoucissant la pointe palatine avant .

 mg 1661 knyo5e - Eugenol

1...456