Cookie Consent byPrivacyPolicies.comAligneur in-house - Eugenol
Mon avatar msn jgkit1 - Eugenol
Ewing

30/01/2019 à 16h12

Diego Peydro Herrero.
Formation invisalign en Espagne. Pas donnée...

Mais sur sa chaîne YouTube https://www.youtube.com/user/diegopeydroherrero tu peux apprendre quelques astuces. Il rajoute des taquets passifs horizontaux systématiquement sur les molaires mandibulaires pour augmenter son ancrage.
Beaucoup de stripping de 33 à 43 pour éviter de trop procliner.

J’ai vu que certains utilisaient des pinces Hilliard pour les finitions ou aider au déplacement.


Images 1 qtgoxf - Eugenol
ciwil

30/01/2019 à 16h19

Ewing écrivait:
-----

> J’ai vu que certains utilisaient des pinces Hilliard pour les finitions ou aider
> au déplacement.

le problème avec les aligneurs déformés à la pince c'est qu'ils sont moins confortables, le bord déformé interfère avec la lèvre et tu es confronté au principal écueil en ortho, la coopération du patient, surtout l'ado qui supporte déjà pas les contraintes confortables ;)


1309531 ours brun n5iukf - Eugenol
seespan

31/01/2019 à 01h52

Les pinces ça rend service quelque fois.
Perso je ne les utilises quasi jamais sur les cas d'aligneur réalisé en 3D, mais pas mal pour les cas réaliser en modifiant le modèle en plâtre.
Oui ça rend service, mais ciwil est spot on sur le principal défaut, c'est moins confortable.


--
หมอจัดฟัน


1309531 ours brun n5iukf - Eugenol
seespan

31/01/2019 à 12h22

Un nonolien à voulue commander talgus, mais le prix qui lui à était cité n'a pas était 1$, plutôt le double...

La société peut choisir sa politique tarifaire suivant les pays of course, mais si d'autre nonolien pouvait confirmer le tarif en France ça s'aurait sympa.

Sur le même thème si d'autre nonolien pouvait donner le plastique utilisé et le prix d'achat ça pourrait être utile :-)


--
หมอจัดฟัน


Evident2 euit5k - Eugenol
C-evident

31/01/2019 à 16h41

J'en ai fais depuis 10 ans. Il faut bien poser l'indication. A l'époque, je faisais plusieurs duplicata des moulages, puis meulage et résine photo pour modéliser l'objectif final. Avec plusieurs gouttières intermédiaires (thermoformeuse) . ça marchait très bien (et pour cause). Très utile pour de la petite ortho préprothétique, car le traitement ne coutait pas cher (chez les ortho, le ticket de base était de 2000€, et ça coinçait car concurrence avec le prix du bridge ou de l'implant ). J'utilisais aussi la technique des bracket en composite direct pour réaligner avec un fil Ni-Ti. Super efficace.


Mon avatar msn jgkit1 - Eugenol
Ewing

01/02/2019 à 01h41

seespan écrivait:
-----
> prix d'achat ça pourrait être utile :-)
>

Prix remisé en France chez GAC
ESSIX +. 190€
ESSIX ACE 124€


1309531 ours brun n5iukf - Eugenol
seespan

01/02/2019 à 01h42

Ewing écrivait:
-----
> seespan écrivait:
> -----
> > prix d'achat ça pourrait être utile :-)
> >
>
> Prix remisé en France chez GAC
> ESSIX +. 190€
> ESSIX ACE 124€

C'est pour 100 plaque ?

--
หมอจัดฟัน


1309531 ours brun n5iukf - Eugenol
seespan

01/02/2019 à 01h47

C-evident écrivait:
---------
> J'en ai fais depuis 10 ans. Il faut bien poser l'indication. A l'époque, je
> faisais plusieurs duplicata des moulages, puis meulage et résine photo pour
> modéliser l'objectif final. Avec plusieurs gouttières intermédiaires
> (thermoformeuse) . ça marchait très bien (et pour cause). Très utile pour de la
> petite ortho préprothétique, car le traitement ne coutait pas cher (chez les
> ortho, le ticket de base était de 2000€, et ça coinçait car concurrence avec le
> prix du bridge ou de l'implant ). J'utilisais aussi la technique des bracket en
> composite direct pour réaligner avec un fil Ni-Ti. Super efficace.
Oui le post de 2013 :-) .
très bon resultat, c'était l'époque ou les scanner était accessible mais chère et très orienté prothèse, l'impression 3D hors de prix et le in-house peut répandut.

Le truc marrant c'est que parmit mes premiéres patient, j'ai eu un médecin US qui faisait de l'humanitaire et dont l'ortho avait réalisé un traitement in-house.
Je l'avais contacté et il m'avait décrit le protocole. Il montait les modéles en articulateur et bougé les dents manuellement puis réalisé les gouttiéres.

Je n'ose même pas imaginé le boulot. Le plus triste étant que pour des raisons mécanique, il est très difficile de contrôler les dents de cette façon.

Enfin c'est la technique essix, mais pour des mouvements simples c'est redoutablement efficace.
--
หมอจัดฟัน


Mon avatar msn jgkit1 - Eugenol
Ewing

01/02/2019 à 20h17


> C'est pour 100 plaque ?
>
> --
> หมอจัดฟัน

Pour 80 plaques


Mon avatar msn jgkit1 - Eugenol
Ewing

04/02/2019 à 09h39

DURAN + de Scheu à 137€ HT je pense, à vérifier...
https://www.laboshop.com/index.php?id=6&L=2&artnr=21369&pg=4&aw=166&bl=1
Boîte de 100


Tusk

04/02/2019 à 17h39

Bonjour,
je suis nouveau dans les empreintes numériques et sur le forum aussi.
Je suis orthodontiste à la réunion.
Je viens de m'équiper avec une cs3600. Je prévois dans un premier temps id'imprimer mes modèles (avec une toute petite base) ; pour des raisons de coût de consommables et de propreté je vais acheter un ou des imprimantes FDM.
Quelle imprimante utilises tu Seespan ? J''ai cru comprendre que c'était une Prusa , est la Original i3 Mk3 ?
Est elle suffisamment fiable ? La résolution est-elle assez fine ?
Je pensais en prendre deux (en cas de pannes) et pour garder une possibilité de lancer une impression imprévue quand l'autre est en route.

Merci pour les infos.


1309531 ours brun n5iukf - Eugenol
seespan

05/02/2019 à 02h41

Oui j'ai la I3 Mk3 une ça suffit très bien pour débuter.
Normalement tu peut sortir plus de 20 modèles par jour en imprimant en continue ( ce que je faisait vers la fin), c'est largement suffisant pour commencer. Déjà réaliser 20 aligneurs pour jour ça commence à faire du boulot pour l'assistante.
Tu peut en prendre deux mais c'est pas nécessaire.
Perso j'avais prie le modèle en kit et l'avais monté sur place ( ce qu'on aussi fait pour la deuxième) .
J'ai eu un soucie une fois, j'ai commandé la pièce sur le site de Prusa et l'ai reçut trois jours plus tard.

Tout dépend de ton workflow mais les cas ou tu as besoin d'imprimer super vite ( ce qui veut dire le même jours ) c'est plus que rare, et même avec une imprimante libre ça prend 45 minutes ( un modèle ) à 1h30 ( le haut et bas ). Si c'est pour faire des gouttière de contention tu as plus vite fait de prendre une empreinte alginate et de la couler.
Sortir les modèles vite c'est bien, mais attention à ne pas habituer les patients à les avoir tout de suite aussi. Après ils s'y habituent et ne comprennent pas qu'il faille attendre deux ou trois jours, voir une semaine.
Pour mémoire avec invisalign tu ne peut rien avoir avant plusieurs semaine et ça n'a ne semble gêner personne.

Pour ce que je vois, les praticiens pensent que la vitesse d'impression c'est un facteur primordial, quand en faite non pas vraiment.

Plus n'oublie pas que les aligneurs est une activités qui semble avoir un taux d'échec assez important, dans le sens ou je vois beaucoup de praticien qui se lance la dedans depuis quelque années mais je vois assez peut de résultat pour le in-house.
Pour avoir travailler avec imprimante résine et plastique


--
หมอจัดฟัน


Tusk

05/02/2019 à 04h46

Merci de partager ton expérience ; pour faire des aligner tu n'imprimes que les dents forcément. Même en tenant compte de çà tu arrives à sortir 20 modèles par jour ? çà fait 10 la journée et 10 la nuit soit 450minutes par plateau , à pu près 9H si je ne me trompe pas. Quelle résolution pour 45minutes, 100microns ?
Moi de toute façon mes modèles d'étude ont un délai de 4 à 8 semaine avant présentation donc pas de problèmes de temps.
Le plastique me plait plus car plus propre et pas de finitions , ni odeurs de résine, et cout inférieur.


1309531 ours brun n5iukf - Eugenol
seespan

05/02/2019 à 04h56

Il te faut 45 minutes par modèle à peut près en imprimante les dents + une petite base pour pouvoir réaliser l'aligneur.
Tu fais une session à début de mâtiné qui doit se terminer assez tôt pour de laisser le temps d'en relancer une suivante pendant la nuit ( c'est plus ou moins ce que je faisait dans mon appartement).
J'utilise une épaisseur d'impression de 0.15 mm ( ce qui est plus ou moins standard même chez align) avec un remplissage de 20% ).

La vrais économie avec le plastique n'est pas tant le coût du matériel ( avec la résine tu peut imprimer pour 1$ le modèle , vue le prix d'un traitement faut pas déconner c'est raisonnable ) mais dans l’absence d'étape post impression.
Les protho de mon hosto adore la FDM, pour eux il n'y a quasi rien à faire comparé à l'impression résine.

mais attention il y a plus d'application clinique avec une imprimante résine qu'avec une FDM.

Il n'y a pas de soucie pour imprimer 16 18 voir 20 modéle d'un coup si tu arrive à les faire rentrer. Ca te fait des session d'impression de 17 18 heure ce qui est parfait pour le week end. La deuxième photo c'est ce que j'avais imprimer de Samedi matin ( j'avais lancé l'impression avant de partir au boulot ) à Lundi dans la nuit.

20 modéle par jour faut aussi te rendre compte que ça n'est pas que réaliser les gouttiéres, il faut aussi faire les set up 3D et ça ça prend du temps....
--
หมอจัดฟัน

Printtt jlnlsn - Eugenol
Print yngxn8 - Eugenol

Icon poker h4nm2d - Eugenol
jeff

10/02/2019 à 20h13

J’ai essayer un cas avec archform. Enfin, juste une étude de cas . C’est le cas de micromandibulie dans le post « simulation informatique » ( la deuxième vidéo).
Le logiciel est assez intuitif , la segmentation plus efficace et facile que dans bluskyplan.
J’ai reçu un mail pour un nouveau logiciel , deltaface, dont j’ai demandé une démo, mais il semble que le module aligneurs ne sera dispo qu’en mars .


1309531 ours brun n5iukf - Eugenol
seespan

11/02/2019 à 03h24

Oui perso je conseil de commencer avec un logiciel gratuit.
Avant de commencer tu ne sais pas comment ça va se goupiller avec l'organisation du cab.
L'imprimante tu trouve pour moins de 1000 euro, la thermoformeuse c'est quand même un gros plus dans le cab pour faire les gouttière de contentions.
Le logiciel par contre c'est plusieurs millier d'euro . Dès qui on fait l'achat et n'ont quasi pas utilisé je connais .

Pour l'instant je n'en est essayé aucun donc pas vraiment d'avis sur lequel est le plus performant. Archforme à une option sympa c'est la réalisation des set up, ce qui peut être utile quand tu débute ou si tu as un cout de bourre au cab et pas le temps de gérer un cas.


--
หมอจัดฟัน


1309531 ours brun n5iukf - Eugenol
seespan

13/02/2019 à 04h08

Hier je suis aller voir une orthodontiste Cambodgienne à qui je devais transférer des cas.
Je pensais que seul mon hôpital avais la possibilité de faire des aligner in-house. J'avais tord.
La clinique venait juste d'investir dans :
- un scanner à plâtre ( 3K )
- une imprimante Moonray ( je leur ai donnée les références de la Prusa )
- la suite Onyxceph

La seul chose qui leur manque c'est le thermoformeuse mais l'achat est prévue.
Enfin la semaine prochaine je vais aller leur donner un coup de main pour la mise en place de la chaîne de production.



--
หมอจัดฟัน

Caa nagtcd - Eugenol
Cam xqu7v8 - Eugenol

1309531 ours brun n5iukf - Eugenol
seespan

20/02/2019 à 08h25

Quelqu'un connait le type de scanner qu'ils utilisent ?
C'est le truc blanc à gauche de l'ordinateur sur la photo de gauche.

Je leur ai fait la segmentation/set up sur un cas ( un technicien du cab :-) ), j'ai était bluffer par la rapidité du scan à plâtre. Je suppose que pour de la prothèse c'est out, mais pour scanner des modèles et faire des aligneurs ça m'a l'air ok.

j'ai pas encore put essayer les gouttières en bouches vue que le cab sous traite cette étape.

--
หมอจัดฟัน


Generique fraisage r2rxmm - Eugenol
lardonbis

20/02/2019 à 08h52

c'est pas le scan à 5K€ de chez blueskyplan ?


Icon poker h4nm2d - Eugenol
jeff

20/02/2019 à 09h01

Scanner shinning auto scan dx.
Avec en nouveauté une version pro.
https://www.machines-3d.com/scanners-3d-scanners-3d-dentaires-pro-xsl-353_447.html


Avatar transparent iqadnc - Eugenol
adhoc

20/02/2019 à 09h03


https://imprimeur3d.fr/scanner-3d-dentaire-ds-ex/

A mon avis, la bas chez toi, l'equivalent de 3000$...


1309531 ours brun n5iukf - Eugenol
seespan

20/02/2019 à 09h32

La propriétaire du cabinet n'était pas très claire sur le prix, pour ce que je vois sur le net, les prix sont assez constant.
En tout cas plus facile d'utilisation que celui de mon hopital c'est claire.


--
หมอจัดฟัน


Tusk

28/02/2019 à 06h19

Discussion passionnante messieurs ! Pour l'instant je désire imprimer 8 modèles d'étude par jour avec une base pour des travaux de petit prothèse.
Je me permets de vous poser quelques questions : quel logiciel utilisez vous pour préparer les plateaux d'impression avec 10 voire 15 modèles ? Le placement est-il automatique ou manuel (et comment reconnaitre les modèles)?
Perso, j'ai une Creality CR10S avec un plateau de 30X30. Pour vos imprimantes FDM quelle vitesse d'impression utilisez vous (mm/s) pour du 150microns avec 20%d'infill ? un maxillaire soclé me prends 1h45 pour le moment...
Imprimez vous en PLA ? ou ABS (plus contraignant) ?
Bref beaucoup d'interrogations sur le workflow à mettre en place.

PS mes fichiers sont issus d'un CS3600.


1309531 ours brun n5iukf - Eugenol
seespan

02/03/2019 à 01h12

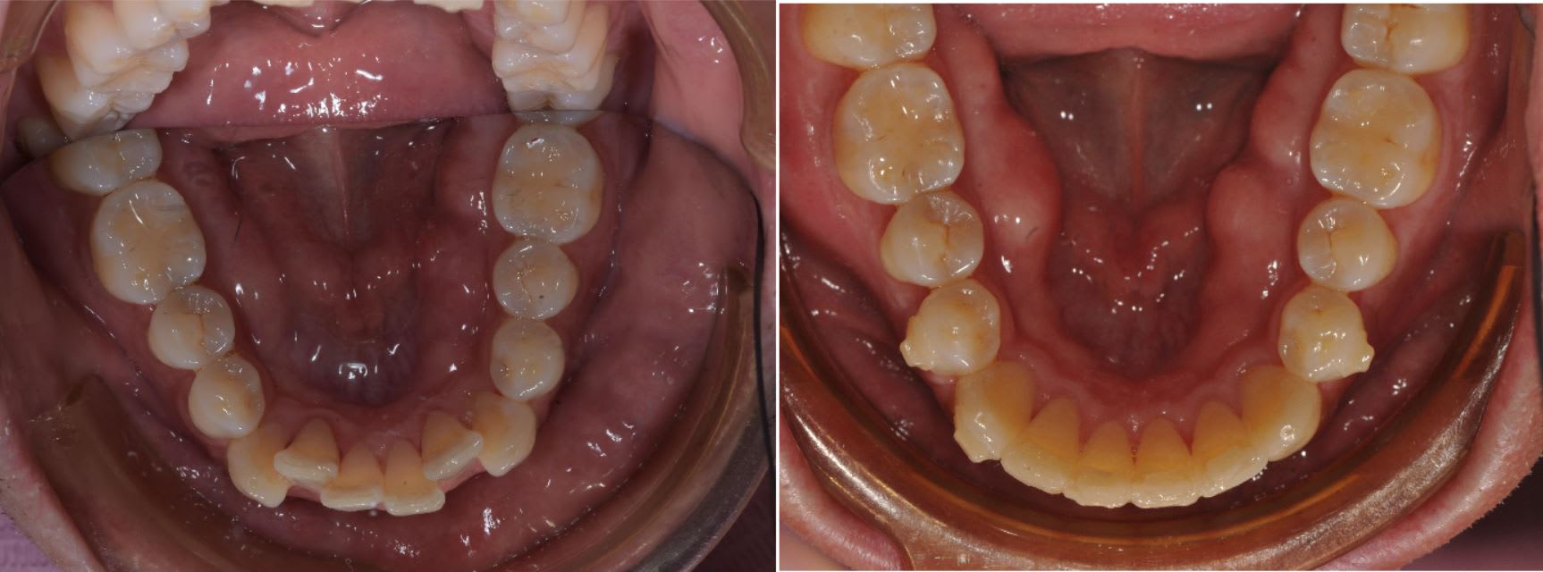
Un bon exemple d'utilisation aligneur maison en orthodontie.
On à commencé avec de la 2D pendant quatre mois, puis trois mois avec aligneur.
Là c'est un exemple classique d'une utilisation qui devient très intéressante quand vous faite in-house car ça permet d'être très réactif ( aligneur près en deux jours ).
Le patient ne venait que pour de brève durée sur Phnom Penh, donc pas possible d'avoir les gouttières à temps en passant par un lab extérieur.

--
หมอจัดฟัน

Harr oukx5d - Eugenol
Har5 xwhgua - Eugenol
Har4 ncwdj5 - Eugenol
Har3 itzs5k - Eugenol
Har kqslmj - Eugenol

1309531 ours brun n5iukf - Eugenol
seespan

02/03/2019 à 01h17

Tusk écrivait:
----
> Discussion passionnante messieurs ! Pour l'instant je désire imprimer 8 modèles
> d'étude par jour avec une base pour des travaux de petit prothèse.
> Je me permets de vous poser quelques questions : quel logiciel utilisez vous
> pour préparer les plateaux d'impression avec 10 voire 15 modèles ? Le placement
> est-il automatique ou manuel (et comment reconnaitre les modèles)?
> Perso, j'ai une Creality CR10S avec un plateau de 30X30. Pour vos imprimantes
> FDM quelle vitesse d'impression utilisez vous (mm/s) pour du 150microns avec
> 20%d'infill ? un maxillaire soclé me prends 1h45 pour le moment...
> Imprimez vous en PLA ? ou ABS (plus contraignant) ?
> Bref beaucoup d'interrogations sur le workflow à mettre en place.
>
> PS mes fichiers sont issus d'un CS3600.

Salut pour le logiciel j'utiliise slic3r prusa édition, il y a une option "auto placement " mais il faut mettre les modéles à plat sur le socle en premier donc ça ne sert pas à grand chose.

Si vous imprimer un socle il faudrait aller faire des réglage dans les paramétre d'impression. Pour les layer du socle vous pouvez imprimer plus vite avec un plus gros débit vue qu'il n'y a pas besoin de précision.
C'est ce que font les imprimante FDM réglé pour les dentistes.

1h45 pour un modéle avec socle ça me parait normal, 20% de filling c'est ce que j'utilise.


--
หมอจัดฟัน


1234...