Cookie Consent byPrivacyPolicies.comMEDIT...et mes problèmes - Eugenol
Logo m4n3gc - Eugenol
drmarcus

31/01/2019 à 10h29

C'est plus un mea culpa que je fais ici.

J'ai abandonné l'achat avec Pluton pour rester fidèle à mon labo (Proxidental) et c'est la catastrophe. Entre les promesses non tenues et l'incompétence manifeste de leur commercial qui plus est, soutenu par le patron, j'ai vraiment l'impression de mettre fait ......(restons poli)

L'achat auprès de ce labo fut ma plus grosse erreur!

Ensuite voilà plusieurs années que j'étais plus que satisfait de l'analogique avec eux; voir j'avais sympathisé ceci expliquant cela.

Je pratique la Medit depuis le 08/12/2018. Ils ont mis la charrue avant les bœufs, leur incompétence dans le numérique est telle qu'il a fallu que je reprenne plus de 90% du travail. Heureusement j'ai un an de putty devant moi.

Je suis sûr d'une seule chose, cette technique est super à condition d'avoir le laboratoire ad-hoc. Personnellement je cesse de travailler avec eux en numérique j'en ai marre j'ai déjà perdu plus de 6h à cause de travail mal fait, incomplet ou carrément oublié dans leur ordinateur.

Je viens de craquer quand en voulant poser une zircone stratifiée (faite sur Paris soit disant) il ne m'a été livré que l'armature zircone avec facture du travail fini.........

Je ne veux pas polluer le post de Pluton avec mes problèmes mais voilà n'hésitez malheureusement pas à remettre votre laboratoire en question.

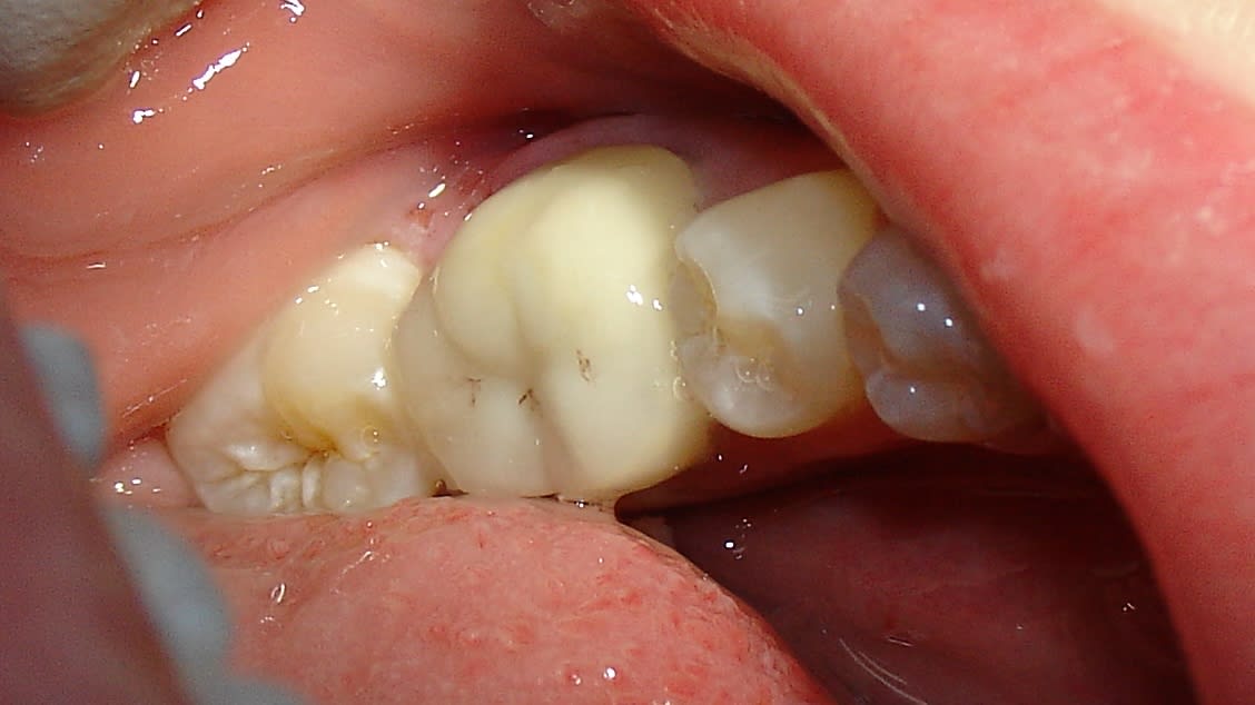
Je vous met en pièces jointes quelques photos des évidentes malfaçons. Sachant que je fais beaucoup d'implantologie je pense qu'ils souhaitent commercialiser un nouveau type LOL. Je prends des empreintes assez larges voir complètes pour régler l'occlusion alors quelle déception quand je vois comment il les traite....et me sortir des couronnes aussi moches....un pâté à refaire avec le temps perdu qui va avec....

A suivre.


--
"La seule chose promise d'avance à l'échec, c'est celle que l'on ne tente pas" Paul Emile VICTOR

Sx1vkxntlccozj3vsoe6 - Eugenol
A48texykljmf2aujtc3h - Eugenol
Xrtrt0hd2oqyrxmqpd3b - Eugenol
Xlhrooseldaxu74g5n9g - Eugenol
Cz6rip2holpprx9alldr - Eugenol

Hok 1b hgd3rj - Eugenol
Hokusai

31/01/2019 à 10h34

Y a quand même un bel effort pour le maquillage des sillons...


Utilisateur banni

31/01/2019 à 11h58

Et je suis désolé de dire qu’il y a un problème vis à vis du scannage :
- Le scanpost 3 shape n’est pas brillant et il n’ y a pas besoin de mettre de la poudre .
=> et bien quand je scanne , il y a comme des manques qui apparaissent au niveau du scanpost
Si il faut poudrer le scanpost , c’est la meilleure ?!?

Je précise il n’y a pas de sang sur le scanpost


Logo m4n3gc - Eugenol
drmarcus

31/01/2019 à 12h07

No stress Junior les manques sur les scan post ne sont pas fondamentaux. Il suffit d'avoir le haut une partie de la tige et surtout la référence. Le scan sert juste à pouvoir repositionner la forme donc la définition importe peu. Ne poudres pas tu perds ton temps pour rien de plus. Idem un peu de sang juste et seulement dans le sulcus dessine ta limite donc aucune importance si du blanc apparait à cet endroit.


--
"La seule chose promise d'avance à l'échec, c'est celle que l'on ne tente pas" Paul Emile VICTOR


Photo pluton1b h9n4ea - Eugenol
pluton

31/01/2019 à 13h14

mon pauvre Drmarcus...
j'imaginais les problèmes d'après ce que tu me disais....mais là çà dépasse mon imagination....:-0

j'espère que l'adresse que je t'ai donné te réconciliera avec cette technologie..., en tout cas tu as vu qu'il dégaine le téléphone si pb et qu'il met un point d'honneur à résoudre rapidement les difficultés...
sur tout ce que j'ai fait depuis début décembre, 1 seul cas avec retouches un peu plus importantes qu'une simple équilibration: un petit bridge zircone chez une patiente qui a plusieurs PIM....et qui a bien sûr fermé dans celle qui est la moins confortable pour elle....donc quelques retouches des cuspides à faire....mais rien de bien méchant...le bridge est posé....


Capture d  cran 2015 03 12 12.28 - Eugenol
chicot29

31/01/2019 à 13h18

Hokusai écrivait:
-------
> Y a quand même un bel effort pour le maquillage des sillons... Et un bien bel
> inlay core "anatomique".

Ils ont zappé le scan post. -)))
--
En cas d'échec des négociations conventionnelles, seriez-vous prêt à suivre la promotion d'un déconventionnement massif de la profession par les syndicats représentatifs ? OUI - NON
Participez, anonymement, sur https://goo.gl/forms/nAO0htnsVmxotjYm1


Utilisateur banni

31/01/2019 à 13h41

Je suis d’accord avec toi DrMarcus , mais vous allez voir qu’il y a des zones pas forcément sur le scanpost (ça peut être une dent ou un autre secteur) qui ne sont forcément réfléchissantes, qui ne sont pas enregistrées par la caméra. Du coup t’es obligé de tout effacer et de tout reprendre quand ça veut bien enregistrer . C’est pas la première fois que ça m’arrive


Photo pluton1b h9n4ea - Eugenol
pluton

31/01/2019 à 14h28

junior, ces petit "manques" le prothésiste les comble avec son logiciel, c'est pas un pb...

n'oublie pas que tu as fais des années de boulot avec du tirage sur tes empreintes, des bulles à la coulée des modèles, des morceaux de plâtre pétés au démoulage/détourage, etc....

tu peux me dire quelle est la précision du plâtre? je vais te le dire: 70 microns
tu peux me dire quelle est la précision des dernières imprimantes 3D? là aussi je te le dis car mon prothésiste vient d'investir pour une machine dernière génération: 25 microns


paulman2

31/01/2019 à 14h44

Vous amusez pas à faire des couronnes avec moins de 50 microns de tolérance. Sinon impossible à démonter après l'essayage, effet ventouse garantie avec l'humidité résiduelle de la dentine.

Expérience faite avec feu le Dr Degrange à Paris V. Obligé de la dégommée à la fraise et d'en faire réaliser une nouvelle.

Bonne journée

Paulman


Fond net de dent 1270 86 cyav5h - Eugenol
Dr_EG

31/01/2019 à 14h45

pluton écrivait:
------
> junior, ces petit "manques" le prothésiste les comble avec son logiciel, c'est
> pas un pb...
>
> n'oublie pas que tu as fais des années de boulot avec du tirage sur tes
> empreintes, des bulles à la coulée des modèles, des morceaux de plâtre pétés au
> démoulage/détourage, etc....
>
> tu peux me dire quelle est la précision du plâtre? je vais te le dire: 70
> microns
> tu peux me dire quelle est la précision des dernières imprimantes 3D? là aussi
> je te le dis car mon prothésiste vient d'investir pour une machine dernière
> génération: 25 microns

à titre indicatif, est-ce que tu connais le temps d'impression d'un modèle en 25µm ?

--
Consultation en ligne sur la future convention : participez, anonymement, sur https://goo.gl/forms/leLn6bdBorFoAC3t2

Suite à l'échec des négociations conventionnelles et la mise en place d'un règlement arbitral, seriez-vous prêt à suivre la promotion d'un déconventionnement massif de la profession par les syndicats représentatifs ? OUI - NON
Participez, anonymement, sur https://goo.gl/forms/nAO0htnsVmxotjYm1

Calculez votre impact financier du règlement arbitral sur : https://docs.google.com/spreadsheets/d/1TI0-w878rn7kdnDafB5qWfq-4RWbKjeESZWv9TC0t80/edit?usp=sharing


Utilisateur banni

31/01/2019 à 16h09

Oui enfin bon c’est quand même pas normal qu’il y ait des manques . Le prothésiste n’a pas que ça à faire à combler les manques. Surtout qu’encore une fois ça apparaît sur des zones qui sont faites pour être scannées (comme les Scanposts).
Moi qui pensais que c’était un problème de poudrage. J’en avais déjà parlé dans «  Medit ations » . En fait pas du tout. Il existe vraiment un problème qui apparaît de manière assez régulière où des portions de dent ou de scanpost ne sont pas enregistrés pleinement. Du coup on se retrouve avec des manques. Et si c’est sur la préparation ou sur les faces proximales des dents adjacentes de la préparation, c’est assez fâcheux, vous ne trouvez pas ?


Logo m4n3gc - Eugenol
drmarcus

31/01/2019 à 16h43

junior® écrivait:
-------
> Oui enfin bon c’est quand même pas normal qu’il y ait des manques . Le
> prothésiste n’a pas que ça à faire à combler les manques. Surtout qu’encore une
> fois ça apparaît sur des zones qui sont faites pour être scannées (comme les
> Scanposts).
> Moi qui pensais que c’était un problème de poudrage. J’en avais déjà parlé dans
> «  Medit ations » . En fait pas du tout. Il existe vraiment un problème qui
> apparaît de manière assez régulière où des portions de dent ou de scanpost ne
> sont pas enregistrés pleinement. Du coup on se retrouve avec des manques. Et si
> c’est sur la préparation ou sur les faces proximales des dents adjacentes de la
> préparation, c’est assez fâcheux, vous ne trouvez pas ?


J'ai déjà eu ces manques. Ils apparaissent sur les dents en céramo-ceram ou cc métalliques. La brillance doit surement apparaitre sur des des dents avec onlay inlay aussi. Alors oui il a fallu que je poudre aussi sur les ceramoceram. Maintenant je poudre dés le début sur ce type de dents. En proximal interdentaire c'est la salive qui fait briller ou le manque d'orientation de la caméra. La lumière va tout droit donc il faut suivre tous les contours.
Le zéro poudrage je n'y crois plus! comme pour les autres marques je suis sûr que c'est pareil.
Il existe des tas de praticiens pratiquant l'implantologie (jusqu'à 1000 implants/an) et qui ont zéro problèmes. Ca me fatigue ces histoire de petit gibus.

Ceci dit sur les dents adjacentes j'ai pris le coup de basculer la caméra pour enregistrer les faces proximales qui sont angulées en dépouilles. Si on ne fait pas ça effectivement il y a des blancs mais là le poudrage n'a jamais été nécessaire sur les 47 cas que j'ai déjà fait. C'EST TRÈS PEU si on y réfléchit; après 35 ans d'empreintes classiques.

Concernant les scan posts je le redis je ne me torture pas l'esprit, désolé et ça fonctionne pourtant j'en ai eu des galères.

--
"La seule chose promise d'avance à l'échec, c'est celle que l'on ne tente pas" Paul Emile VICTOR


Hok 1b hgd3rj - Eugenol
Hokusai

31/01/2019 à 17h15

junior tu parles des manques la ??

Scan post manque uskvgk - Eugenol

Utilisateur banni

31/01/2019 à 17h30

Écoute c’est simple hier j’avais eu pire que toi : tous les gribouillis que je t’ai mis , correspondaient à un vide. J’avais beau passer et repasser encore encore et encore ça ne voulait pas enregistrer correctement le scanpost

065fc97c dcc8 403c a42e fe52686d9f0b ofdpfq - Eugenol

Photo pluton1b h9n4ea - Eugenol
pluton

31/01/2019 à 17h31

Dr_EG écrivait:

> à titre indicatif, est-ce que tu connais le temps d'impression d'un modèle en
> 25µm ?

2x moins de temps que son actuelle.....


Photo pluton1b h9n4ea - Eugenol
pluton

31/01/2019 à 17h34

junior® écrivait:
-------
> Écoute c’est simple hier j’avais eu pire que toi : tous les gribouillis que je
> t’ai mis , correspondaient à un vide. J’avais beau passer et repasser encore
> encore et encore ça ne voulait pas enregistrer correctement le scanpost

une chose les gars...ne pas oublier aussi votre éclairage d'ambiance de votre cabinet....
c'est tout con, mais la lumière du scialytique par ex, faut pas.....
et si vous avez un "cacan" qui crache sa race....çà peut aussi perturber...


Utilisateur banni

31/01/2019 à 17h48

J’ enlève le Scialytique à chaque fois . Donc je pense qu’il y a un truc qu’il faut qu’ils améliorent


Capture d  cran 2013 02 02   21.02 - Eugenol
gouj-euros

31/01/2019 à 22h03

Junior est ce que tu suis bien l'ordre de scannage quand on veut faire un inlay core....je m'explique:
1) tu scannes la zone sans le scan post en selection le maxillaire d’intérêt
2) tu passes sur l'onglet "scan body/ scan post"et tu met le scan post en place et ensuite tu ne scannes que cette zone.
Si tu passes ton temps a scanner le scan post sans préciser au logiciel qu'il doit le chercher il va continuellement te l'effacer en partie et tu pourras passer dessus autant de fois que tu veux il ne sera jamais complet ( d’ailleurs peu d’intérêt de l'avoir en entier )
D'ailleurs avant de scanner pour un inlay core couronne il faut surtout préciser qu'on fait un inlay core........et pas une couronne sinon on n'aura pas l'onglet dont on a besoin

Screen shot 2019 01 31 at 21.56 - Eugenol

Capture d  cran 2015 03 12 12.28 - Eugenol
chicot29

31/01/2019 à 22h28

Ca suffit ça junior.


--
En cas d'échec des négociations conventionnelles, seriez-vous prêt à suivre la promotion d'un déconventionnement massif de la profession par les syndicats représentatifs ? OUI - NON
Participez, anonymement, sur https://goo.gl/forms/nAO0htnsVmxotjYm1

Capture d écran 2019 01 31 22.28 - Eugenol

Utilisateur banni

01/02/2019 à 00h54

Oui oui je suis bien l’ordre .... vous allez voir ça va tous vous arriver un jour ou l’ autre. Et pas qu’au niveau du scanpost. Ça pourra arriver sur une dent blanche sans le moindre métal.


Hok 1b hgd3rj - Eugenol
Hokusai

01/02/2019 à 15h13

c'est pas un gros soucis... la regarde j'avais 16 et 17 en CIV, avec la face palatine/occlusale polie brillant miroir +++... Un coup de bombe en 2s et j'ai scanné l'arcade en peut etre quoi ? 1 minute ?

Poudrage zone brillante gj81jc - Eugenol

Icon poker h4nm2d - Eugenol
jeff

01/02/2019 à 23h40

Première emp cette semaine.
Pas toujours simple , et effectivement, le labo cherche un peu ses marques .
Surtout que j’ai mis en route aussi la coiffe i-physio .
Ce soir , scan pour 3 implant , avec scan body. Et pas mal de trou sur les scan body. Mais je pense ou espère que le logiciel du labo arrivera à matcher entre le san et sa bibliothèque.
Sinon . J’attends avec impatience la V 2.0 , par que cela m’insupporte d’ouvrir Le logiciel et d’attendre 5 mn le transfert de je ne sais quel fichier , puisque que je n’ai rien scanné depuis le dernier transfert .
J’ai même déjà fait ctrl-alt-supp et ressorti le silicone ...


Photo pluton1b h9n4ea - Eugenol
pluton

01/02/2019 à 23h54

jeff écrivait:
J’attends avec impatience la V 2.0 , par que cela m’insupporte d’ouvrir
> Le logiciel et d’attendre 5 mn le transfert de je ne sais quel fichier , puisque
> que je n’ai rien scanné depuis le dernier transfert .
> J’ai même déjà fait ctrl-alt-supp et ressorti le silicone ...

c'est quand tu enregistres le nouveau patient?
si oui, çà arrive....tu fais ctrl alt suppr et tu relances le logiciel et comme par hasard, tu peux faire ton scan....;-)
remarque, çà marche aussi de fermer le logiciel et le rouvrir si tu trouves que çà met longtemps à transférer sur le cloud après scan....


Utilisateur banni

02/02/2019 à 06h38

je suis d’accord avec jeff ça met 10 plombs pour créer le dossier patient. Sauf que perso je ne suis pas obligé de faire ctrl alt sup.

Jvais vous lister les problèmes :) :
1) le scannage . Comme je l’ai dit avant . Dès fois on a des zones qui ne veulent pas s’enregistrer (exemple le scanpost)
2) dès fois l’empreinte va être rapide . Et d’autreS fois tu ne comprends pas ça va être lent alors que tu n’es pas sur du métal
3) le temps perdu sur le logiciel : on met du temps pour créer le patient comme le dit jeff. Puis perte de temps Pour passer du maxillaire à la mandibule. De la mandibule à l’occlusion. Puis lors de la validation
4) meditlink. Pour avoir eu la curiosité de l’utiliser . C’est beaucoup plus pratique d’aller sur le site d’un prothésiste que d’utiliser meditlink=> on envoie les deux maxillaires , le type de travail, la teinte , les photos si besoin. Il y a juste à cliquer . C’est envoyé très rapidement. Et t’as aussitôt ce que ça va te coûter au niveau prothétique . Et dire qu’ils veulent faire payer 30 balles par mois pour un truc qui fonctionne moins bien que si on passe par un site de prothésiste :)) . Vous cliquez où si vous voulez faire une PPA si vous passez par meditlink ?:))) vous cliquez nulle part car vous êtes obligés de l’expliquer textuellement. Ce qui n’est pas le cas si on passe par un site de prothésiste => y a juste à faire un clic et choisir le type de travail

Ceci étant niveau rapport qualité prix elle est imbattable ;) donc attendons les mises à jour


Capture d  cran 2013 02 02   21.02 - Eugenol
gouj-euros

02/02/2019 à 09h02

junior® écrivait:
-------
> je suis d’accord avec jeff ça met 10 plombs pour créer le dossier patient. Sauf
> que perso je ne suis pas obligé de faire ctrl alt sup.
>
> Jvais vous lister les problèmes :) :
> 1) le scannage . Comme je l’ai dit avant . Dès fois on a des zones qui ne
> veulent pas s’enregistrer (exemple le scanpost)
> 2) dès fois l’empreinte va être rapide . Et d’autreS fois tu ne comprends pas ça
> va être lent alors que tu n’es pas sur du métal
> 3) le temps perdu sur le logiciel : on met du temps pour créer le patient comme
> le dit jeff. Puis perte de temps Pour passer du maxillaire à la mandibule. De la
> mandibule à l’occlusion. Puis lors de la validation
> 4) meditlink. Pour avoir eu la curiosité de l’utiliser . C’est beaucoup plus
> pratique d’aller sur le site d’un prothésiste que d’utiliser meditlink=> on
> envoie les deux maxillaires , le type de travail, la teinte , les photos si
> besoin. Il y a juste à cliquer . C’est envoyé très rapidement. Et t’as aussitôt
> ce que ça va te coûter au niveau prothétique . Et dire qu’ils veulent faire
> payer 30 balles par mois pour un truc qui fonctionne moins bien que si on passe
> par un site de prothésiste :)) . Vous cliquez où si vous voulez faire une PPA si
> vous passez par meditlink ?:))) vous cliquez nulle part car vous êtes obligés de
> l’expliquer textuellement. Ce qui n’est pas le cas si on passe par un site de
> prothésiste => y a juste à faire un clic et choisir le type de travail
>
> Ceci étant niveau rapport qualité prix elle est imbattable ;) donc attendons les
> mises à jour
>

Salut Junior je pense que tes soucis seront réglés avec la prochaine MAJ. Je l'ai en test depuis deux semaines et autant te dire que c'est la nuit et le jour. Les temps de latence entre les phases de scannage, le temps de ttt de l'empreinte et le temps d'envoi sur le cloud sont....GRAAAAAAAANDEMENT diminué. Je m'en suis surtout rendu compte en re scannant sur la version actuelle ou tres clairement une empreinte complete haut et bas en HD tu en as pour 4 jours pour pouvoir l'envoyer au labo. D'ailleurs le temps de creation du dossier patient est somme toute beaucoup plus simple puisqu'on ne met que le nom du patient


12...