Cookie Consent byPrivacyPolicies.comMEDIT...et mes problèmes - Eugenol
Hok 1b hgd3rj - Eugenol
Hokusai

21/02/2019 à 10h05

J' aime bien la petite feuille d étain qu ils posent au niveau de la papille bunoide...
Pourquoi ne la rajoute t il pas numériquement avant d imprimer le modèle ???

La prépa au niveau du post dam... Comme dans les livres :)

La Chine ça me fascine mais en même temps ça me fait super peur... On peut pas lutter contre eux.

Avec le Rac0 tout ça va exploser.


Capture d  cran 2015 03 12 12.28 - Eugenol
chicot29

21/02/2019 à 10h43

Le truc c'est que les incompétents ils les virent. Ca n'est pas possible en France avec un code du travail de 3 kilos.


--
En cas d'échec des négociations conventionnelles, seriez-vous prêt à suivre la promotion d'un déconventionnement massif de la profession par les syndicats représentatifs ? OUI - NON
Participez, anonymement, sur https://goo.gl/forms/nAO0htnsVmxotjYm1


Capture d  cran 2015 03 12 12.28 - Eugenol
chicot29

21/02/2019 à 12h44

enlaye écrivait:
------
> lorsque l on fait une empreinte d ic avec tenon pivomatic normalement on prend
> - l empreinte avec le pivot metal
> - et on fourni le meme en calcinable pour la coulée du metal .
> (à cause d' une sombre affaire d' expansion de je ne sais plus trop quoi )
>
> et là y fait comment le chinois ???

Anatomique au départ scan post pour le reste. Plus rapide que de t'emmerder à scanner tout le canal.

--
En cas d'échec des négociations conventionnelles, seriez-vous prêt à suivre la promotion d'un déconventionnement massif de la profession par les syndicats représentatifs ? OUI - NON
Participez, anonymement, sur https://goo.gl/forms/nAO0htnsVmxotjYm1

Capt 1png h9kntz - Eugenol

Img 2951 flo3gr - Eugenol
molinarius

21/02/2019 à 16h44

dcs écrivait:
---
> bonsoir .
> iotr avec clavette , on fait comment?


en image ce que ça donne

Double pivots vmsyc9 - Eugenol
Sans titre1 jvtz9l - Eugenol
Sans titre2 kc5zj6 - Eugenol
Sans titre3 vjkebo - Eugenol
Sans titre4 rkxsqb - Eugenol

Img 2951 flo3gr - Eugenol
molinarius

21/02/2019 à 18h07

ou encore ça .. ça match fort en bouche ... ic couronne direct sous appareil ... le retour cab que j'en ai est toujours un truc du genre "genial" "tip top"

Sans titre5 feutrk - Eugenol
Sans titre6 lsfens - Eugenol

Kingsu

21/02/2019 à 20h03

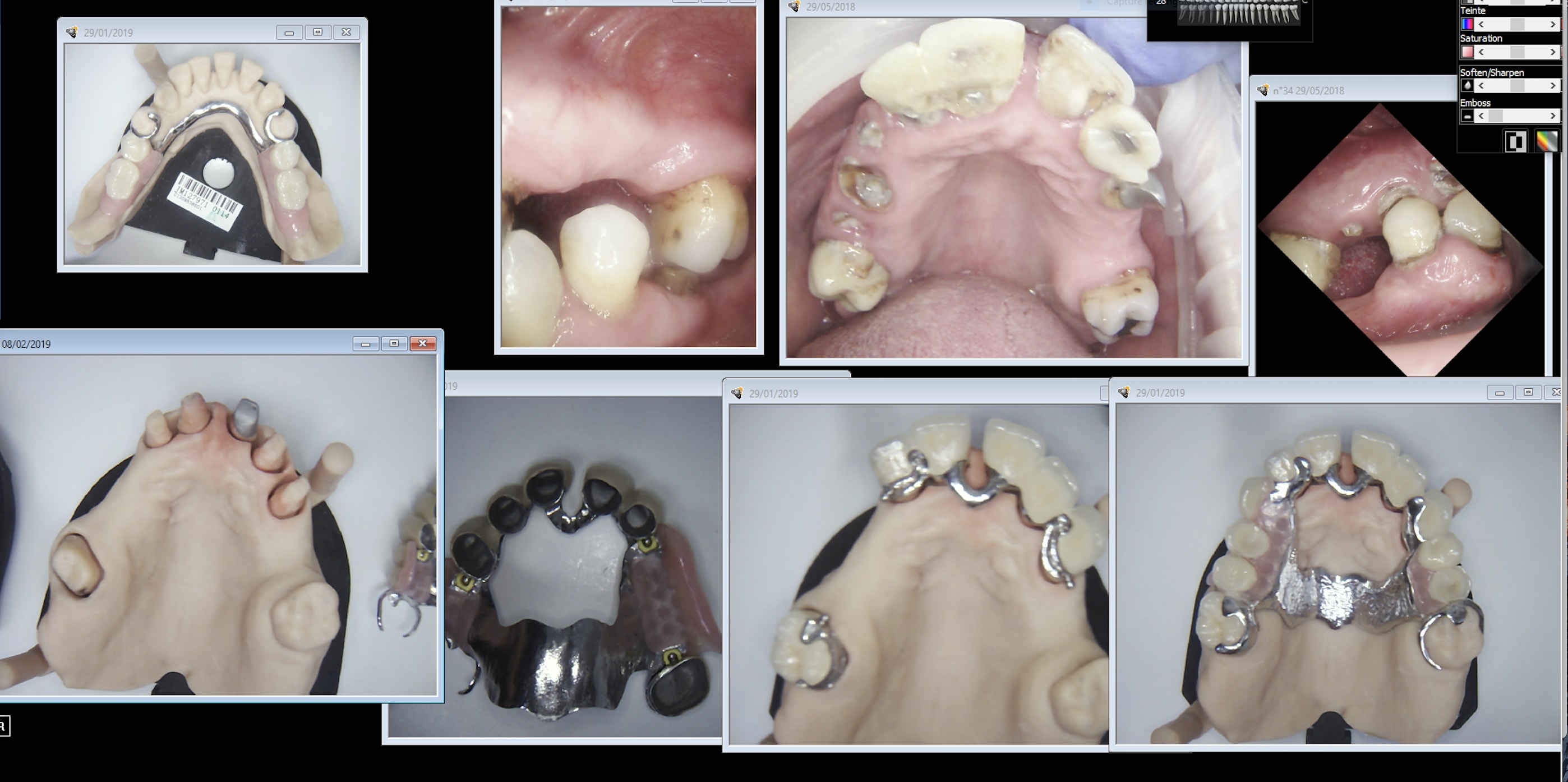
Bon, cas de réhabilitation globale: IC, couronnes fraisées, stellite.
One shot ou pas one shot?
https://www.meditlink.com/webViewer?shareKey=b3581946-3a41-4b89-a7a7-e7c69ce7827c


Hok 1b hgd3rj - Eugenol
Hokusai

21/02/2019 à 20h26

C ok pour le one-shot, ça va rentrer comme papa dans maman.


Bastien D

21/02/2019 à 20h30

Kingsu écrivait:
------
> Bon, cas de réhabilitation globale: IC, couronnes fraisées, stellite.
> One shot ou pas one shot?
> https://www.meditlink.com/webViewer?shareKey=b3581946-3a41-4b89-a7a7-e7c69ce7827c

y'a de tout dans cette empreinte ! top !


Kingsu

21/02/2019 à 20h33

Si ça rentre en One shot, c'est vraiment génial! Je vais quand même demander l'essayage des dents sur cire.


Hok 1b hgd3rj - Eugenol
Hokusai

21/02/2019 à 20h51

Kingsu... T as déjà fait de la prothèse supra implantaire avec la cam ?? C est royal...


Kingsu

21/02/2019 à 20h54

J'ai pas encore osé Hokusai, mais à la prochaine, je vais m'y mettre :))


Img 2951 flo3gr - Eugenol
molinarius

21/02/2019 à 21h11

Kingsu écrivait:
------
> Bon, cas de réhabilitation globale: IC, couronnes fraisées, stellite.
> One shot ou pas one shot?
> https://www.meditlink.com/webViewer?shareKey=b3581946-3a41-4b89-a7a7-e7c69ce7827c

Tout dépend des couronnes . Si full anatomique oui , si céramique c’est possible mais , le stellite ne sera pas realisé sur l’empreinte numérique mais sur le modèle imprimé et scanné .


Kingsu

21/02/2019 à 21h45

Merci molinarius, c'est ce que je pensais effectivement. Et le prothésiste ne peut pas comme avec le software medit, couper la zone préparé sur le modèle numérique, rescanner avec la couronne et garder le reste? Je pense qu'on doit pouvoir faire un scan complet du modèle imprimé, aligner le mesh avec le scan medit et implémenter le mesh du modèle imprimé avec couronnes juste au niveau des couronnes dans le mesh du scan medit? Est-ce intéressant de faire comme ça pour limiter les facteurs d'imprécision?


Img 2951 flo3gr - Eugenol
molinarius

21/02/2019 à 21h54

Kingsu écrivait:
------
> Merci molinarius, c'est ce que je pensais effectivement. Et le prothésiste ne
> peut pas comme avec le software medit, couper la zone préparé sur le modèle
> numérique, rescanner avec la couronne et garder le reste? Je pense qu'on doit
> pouvoir faire un scan complet du modèle imprimé, aligner le mesh avec le scan
> medit et implémenter le mesh du modèle imprimé avec couronnes juste au niveau
> des couronnes dans le mesh du scan medit? Est-ce intéressant de faire comme ça
> pour limiter les facteurs d'imprécision?

Ça doit être possible , mais il faut savoir que les logiciels de modélisations ont certaines limites, n’oublis pas que sur le modèles final il y aura plusieurs couches , ic, couronnes donc il faut fusionner tout ça ... ça peu poser des problèmes ,
Je ne peux te donner que ce qui marche pour moi actuellement . Si couronnes monolithique , alors l’ensemble est réalisé en une passe . Sinon il faut re scanner et modélisé le stellite , ça fonctionne très bien , encore faut il une bonne maitrise de l’impression 3d.


Capture d  cran 2015 03 12 12.28 - Eugenol
chicot29

22/02/2019 à 06h23

One shot. Et on partait de très très loin. Il y a tout dans ce cas effondrement de la DV, over jet diastème ic coiffe direct attachements couronnes fraisées, over jet over bite stellitte haut, bas. Les provisoires sont restées 6 ans en bouche. Je commençais à m'inquiéter. -)))



--
En cas d'échec des négociations conventionnelles, seriez-vous prêt à suivre la promotion d'un déconventionnement massif de la profession par les syndicats représentatifs ? OUI - NON
Participez, anonymement, sur https://goo.gl/forms/nAO0htnsVmxotjYm1

Capture d écran 2019 02 22 06.24 - Eugenol
Capture d écran 2019 02 22 06.25 - Eugenol

Don quichotte xrbqem - Eugenol
Don Chicot

22/02/2019 à 10h24

Avec la V2, on ne voit plus l'intrado de l'empreinte (ils ont simulé un modèle en plâtre) Mon prothésiste me dit qu'il ne peut plus travailler sur ces empreintes !!!!! Y'a un truc qui nous echappe?
Il utilise un logiciel 3 shaope au labo


dcs

22/02/2019 à 11h47

si trop divergent et donc impossible de les placer ensemble?a cause de la tete large!!
c était plus ma question !!!

molinarius écrivait:
----------
> dcs écrivait:
> ---
> > bonsoir .
> > iotr avec clavette , on fait comment?
>
>
> en image ce que ça donne


Os_Palatin

22/02/2019 à 11h52

Don Chicot écrivait:
----------
> Avec la V2, on ne voit plus l'intrado de l'empreinte (ils ont simulé un modèle
> en plâtre) Mon prothésiste me dit qu'il ne peut plus travailler sur ces
> empreintes !!!!! Y'a un truc qui nous echappe?
> Il utilise un logiciel 3 shaope au labo

Bonjour,

Lorsqu'on termine le cas, en cliquant sur "COMPLETE', des options apparaissent et servent à combler les trous dans le modèle.

il faut sélectionner la première option (premier carré bleu en partant du haut) qui ne fait aucun remplissage justement.
La troisième comble entièrement le modèle.


Img 2951 flo3gr - Eugenol
molinarius

22/02/2019 à 11h54

dcs écrivait:
---
> si trop divergent et donc impossible de les placer ensemble?a cause de la tete
> large!!
> c était plus ma question !!!
ok
donc soit tu joues avec les longueur des scanposts, soit tu scan 1 par 1 mais dans ce cas c'est la merde , car quand tu vas scanner le deuxième , ça risque d'éffacer l'autre ... et donc tu ne pourras pas faire de clavette et te contenter d'un seul tenon


Avatar transparent iqadnc - Eugenol
adhoc

22/02/2019 à 11h54

>Avec la V2, on ne voit plus l'intrado de l'empreinte (ils ont simulé un modèle en plâtre) Mon prothésiste me dit qu'il ne peut plus travailler sur ces empreintes !!!!! Y'a un truc qui nous echappe?
Il utilise un logiciel 3 shaope au labo<

Ce ne sont pas les memes formats de fichiers 3D. Helas. Si tu peux lui convertir un STL en 3shape , c'est gagné... Peu m'aident pour mon projet en ligne, ou au compte goutrtes, donc je ne pense pas faire cet utilitaire......
Vois avec des logiciels de conversion.


Os_Palatin

22/02/2019 à 11h58

dcs écrivait:
---
> si trop divergent et donc impossible de les placer ensemble?a cause de la tete
> large!!
> c était plus ma question !!!
>
> molinarius écrivait:
> ----------
> > dcs écrivait:
> > ---
> > > bonsoir .
> > > iotr avec clavette , on fait comment?
> >
> >
> > en image ce que ça donne

Impossible de placer les scans post ensemble et en même temps dans les canaux si je comprends bien?

Le protocole pour clavette :

On place le scan post dans le premier canal > scan > verrouillage de l'image acquise ( outil lock area , utilisation du pinceau ) pour l'image du scan post en position.

On enlève le scan post du premier canal, on le positionne dans le deuxième canal >scan

Le verrouillage du premier scan post fait que l'image est figée, et donc on peut tout à fait maintenir l'image du premier scan tout en enregistrant le scan post pour le deuxième canal.

Pas d'importance si les scans post se "chevauchent" sur le scan.



Os_Palatin

22/02/2019 à 12h02

molinarius écrivait:
----------
> dcs écrivait:
> ---
> > si trop divergent et donc impossible de les placer ensemble?a cause de la tete
> > large!!
> > c était plus ma question !!!
> ok
> donc soit tu joues avec les longueur des scanposts, soit tu scan 1 par 1 mais
> dans ce cas c'est la merde , car quand tu vas scanner le deuxième , ça risque
> d'éffacer l'autre ... et donc tu ne pourras pas faire de clavette et te
> contenter d'un seul tenon

Non, on utilise la fonction verrouillage (Lock Arera) qui est fait entres autres pour ca, voir ma réponse juste au dessus.


Kingsu

22/02/2019 à 14h18

Os palatin, j'ai essayé la fonction lock area sur un modèle en plâtre. J'ai scanner le modèle, j'ai bloqué une dent, je l'ai cassé sur le modèle en plâtre et j'ai rescané, il m'a supprimé la dent, alors qu'elle était pourtant bloquée ! C'est bizarre non?


leplombier

22/02/2019 à 16h30

En même temps ma dernière clavette date d'il y a environ 2 ans. J'ai du en faire une dizaine en 11ans d'exercice donc je ne pense pas que ça soit un vrai problème...


leplombier

22/02/2019 à 16h31

Petite difficulté avec les labo : la gestion des cas low cost style CMU : j'ai voulu envoyer un cas rc + couronne et éventuellement stellite en one shot : pas moyen : ni Labocast, ni via lab ne gèrent les empreintes optiques pour les gammes low cost...dommage


1...101112...