Cookie Consent byPrivacyPolicies.comIMPLANT EN REGARD CEMENTOME - Eugenol

IMPLANT EN REGARD CEMENTOME

najdoc

06/02/2019 à 00h12

Bonjour à tous

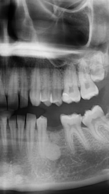
J'ai un cas d'une jeune vingtaine agénésie 35 qui consulte pour pose implant dont apex serait en contact cémentôme

Est ce que quelqu'un a déjà eu le cas et pose implant en contact cémentôme?

Contre indication? quel risque ?

Merci beaucoup

Npuvy3cwfrgmnbic7jhv - Eugenol

Rape p0as4f - Eugenol
rapelapente

06/02/2019 à 00h22

Je l'ai fait une fois.
Patient prevenu.
Galère au forage... Mais tenue initiale excellente !
Aucun problème particulier à part ça.
Je l'ai suivi pendant une dizaine d'années avant d'émigrer.

Molo sur la vitesse et bien iriguer.


--
Schooner For Ever


Photo pluton1b h9n4ea - Eugenol
pluton

06/02/2019 à 00h53

+1....
pareil, déjà fait sans pb particulier sauf bien faire attention lors du forage....


najdoc

06/02/2019 à 08h04

Merci beaucoup
Toujours intéressant et plus important de voir l'expérience plus que la théorie
Je me demande juste qu'il est la qualité de l'interface implant cémentôme
Cémentointégration si on peut appeler cela ainsi ou ankylose comme pour les implants zircone