Cookie Consent byPrivacyPolicies.comcas clinique ? - Eugenol

cas clinique ?

dentilove

06/02/2019 à 13h58

Bonjour,

pourriez vous me donner vos avis sur ce cas.

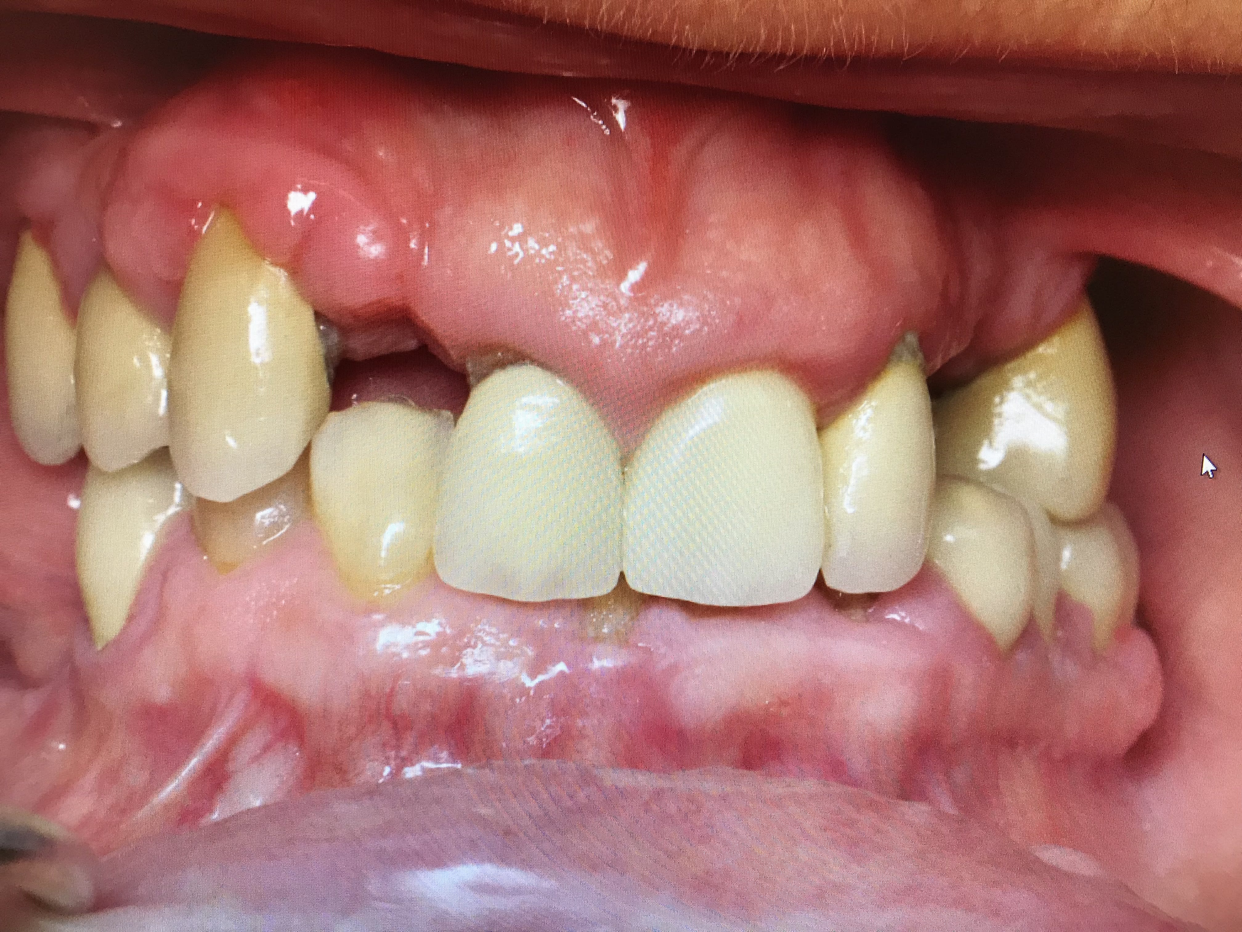
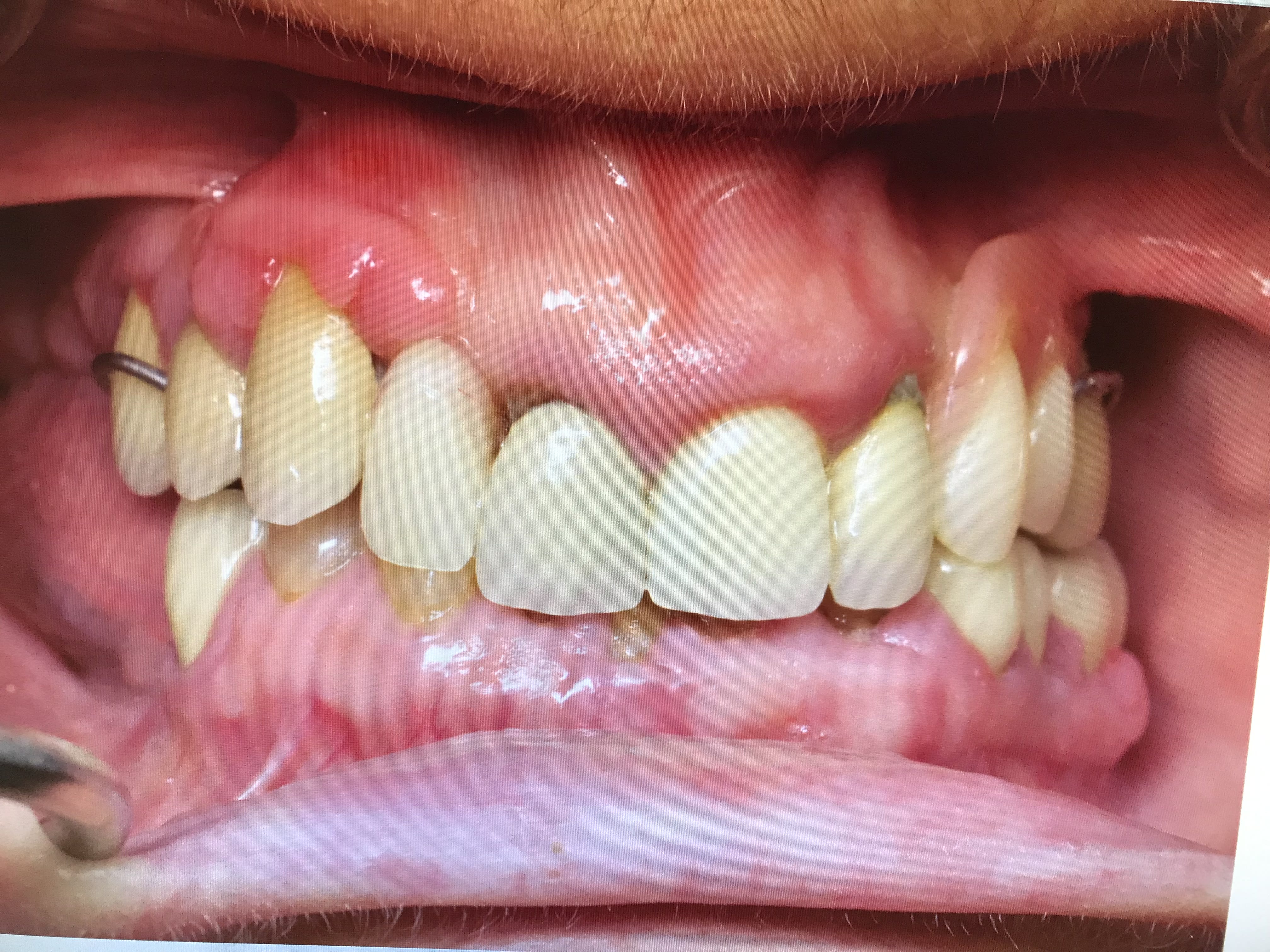
Patiente avec pilier de bridge 13 fracturé + 15 paro mobile + 25 paro mobile + 22 légèrement mobile. Les seules dents "viables" sur l'arcade sont 11, 21 et 22 et la 12 a été extraite entre temps.

Sur les coupes conebeam, très peu d'os au niveau de 13 et surtout 14 en épaisseur, un peu plus au niveau de 23 et 24 et pas assez d'os au niveau de 15 et 25 (présence des sinus).

Patiente avec grosse supraclusion et sourire gingival.

Elle ne veut pas de solution amovible.

Mon plan de traitement:

- extraction de 13 et 15
- 2 mois plus tard, Allogreffe d'apposition secteur 14
- 6 mois plus tard pose de 6 implants maxillaires en les dispatchant au mieux avec extraction de 11, 21 et 22 + ostéoplastie au niveau du secteur antérieur pour gommer le sourire gingival et pose d'une pac immédiate pour tester l’esthétique, le soutien de la lèvre etc...
- 3 mois plus tard, pose d'un bridge "sur pilotis" armature titane et résine.

Merci de vos retours!

D3u3kvtuifk0oxbtestm - Eugenol
Jbndgst8ld0bf0lfyvno - Eugenol
Wki48htfqlsmlv3oavpv - Eugenol
Fccxj5smtd0bvr56fpvy - Eugenol
N8wr3fzuewvxf3njnnzv - Eugenol
F4nenzgrsm9enb0dqvu2 - Eugenol

dentilove

06/02/2019 à 14h06

ci-joint les radios.

Img 0432 ybuvbc - Eugenol
Img 0433 jf1loa - Eugenol
Img 0434 lm10hg - Eugenol
Img 0435 tylllh - Eugenol
Img 0436 blam6o - Eugenol
Img 0437 b3jcav - Eugenol
Img 0438 jofpvp - Eugenol
Img 0439 dh0kkm - Eugenol
Img 0440 rqazyy - Eugenol
Img 0442 t1rcnt - Eugenol
Img 0443 f4uxpq - Eugenol
Img 0444 rulani - Eugenol

Photo pluton1b h9n4ea - Eugenol
pluton

06/02/2019 à 14h13

all on 8 avec Posit avec son guide pour placer en postérieur 2 ptérigoïdiens et MCI (EII MCI)....

en tout cas c'est ce que je ferais...


Ylfwcw979cz1jnx9gfqeaxndiuzk - Eugenol
Algi

06/02/2019 à 18h03


Cette supra me fait un peu peur....

J'essaierais de lever ça avec mon provisoire....

Ceci dit si résine sur titane ce sera facilement réparé....

--
On a toujours le choix mais entre quoi et quoi?
Vas-y boulégue et l'avenir te le dira!


dentilove

15/02/2019 à 21h44

Posit peut gérer aussi le sourire gingival ? Je veux dire simuler l’ ostéoplastie nécessaire avant pose des implants et bridge prov ?


Photo pluton1b h9n4ea - Eugenol
pluton

16/02/2019 à 00h28

dentilove écrivait:
---------
> Posit peut gérer aussi le sourire gingival ? Je veux dire simuler l’
> ostéoplastie nécessaire avant pose des implants et bridge prov ?

bah oui pourquoi?


mjulkmilk

16/02/2019 à 08h25

Lefort 1 osteotomie avec impaction du maxillaire sur 4 mm . :0))
Extraction totale au maxillaire, 6 implants et bridge sur pilotis de 5 à 5. Pas besoin de plus de contacts vu le bas.
Par contre suivi paro bi annuel
Combien d os au niveau des 5?
Sinuslift par voie orthograde.?


dentilove

16/02/2019 à 12h42

pas bcp d'os mais ça c'est gérable. Je vais contacter posit pour avoir leur avis.. Première fois!

On verra bien...


2013 03 05 16.04 - Eugenol
styves

18/02/2019 à 17h47

je n'ai pas bien compris, tu ne touches pas aux dents mandibulaires?


dentilove

19/02/2019 à 13h03

non à parti si j'ai besoin d'ajuster un peu l'occlusion..