Cookie Consent byPrivacyPolicies.comAu fond a gauche... - Eugenol

Au fond a gauche...

mjulkmilk

12/02/2019 à 15h42

Y fait noir dans un sinus...
J attends vos critiques. Les photos sont pas top, mon assistante avait la bougeotte :0))

Qfzjvry7vpoy9v5hxlis - Eugenol
Otf263htl0dcrq3vfjui - Eugenol
Ol4rj2te0o3gtcggcufv - Eugenol
Q0cjuxfb8afuqhemtls4 - Eugenol
Qjjq8a6ojt8g9dhdfqfb - Eugenol

Generique fraisage r2rxmm - Eugenol
lardonbis

12/02/2019 à 15h58

c'est venu en tirant sur le mou? il a fallu la choper au fond ? tu l'as eu à l'aspi ?


et ..... c'est toi qui l'as mise au fond ? :D


Images oecc9d ijdijh - Eugenol
Akrobat

12/02/2019 à 16h00

chapeau


mjulkmilk

12/02/2019 à 16h11

C est un kyste (je pense folliculaire) qui l a projetee au fil du temps dans le sinus.
Le kyste est venu tout seul. Par contre j ai du batailler pour la dent. Elle etait encloisonnee dans septas osseux contre paroi nasale a 90 degres a gauche en entrant :0))


Generique fraisage r2rxmm - Eugenol
lardonbis

12/02/2019 à 16h50

chaud ! :D

tu l'as entraperçue une fois tout cassé ou juste scan + touché ?


mjulkmilk

12/02/2019 à 17h21

Au scan j avais une idée.. sauf elle se cachait derrière double cloison. Ensuite fibre optique et contorsions pour l apercevoir.


Photo1 wmxx1a - Eugenol
Dentalgic

12/02/2019 à 20h13

Je comprends pas, elle est où la dent, dans la cavité orbitaire??


Rape p0as4f - Eugenol
rapelapente

12/02/2019 à 20h46

Dentalgic écrivait:
---------
> Je comprends pas, elle est où la dent, dans la cavité orbitaire??

Oui c'est pour ça que le patient la voyait en se retournant !


--
Schooner For Ever


Hariboo uxvd6e - Eugenol
Harry Bo

13/02/2019 à 06h26

yeurk...c'est le placenta ou le cordon ombilcal ?


Rape p0as4f - Eugenol
rapelapente

13/02/2019 à 08h25

Quelle a été la raison de l'extraction ? Sinusite chronique ?
Souvent ces ectopies sont asymptomatiques toute la vie du patient.
Sans kyste en tous cas.
Ça m'a amusé longtemps d'aller chercher des trucs comme ça, mais maintenant j'ai la flemme.
Joli en tous cas.

--
Schooner For Ever


mjulkmilk

13/02/2019 à 08h39

Juste pour info le CBCT qui demontre bien qu une PANO est une somme de projection, rotation etc...
Sur la coupe frontale on voit que la dent est au niveau du cornet inferieur de la paroi nasale et non derriere la cavite orbitaire :0)
T as raison ragelapente,Je comprends pourquoi j ai mal au dos aujourd hui...
La raison a ete douleur avec ecoulement purulent en distal de la 27. Je pensais remettre a la fin la fenetre osseuse decoupee a Piezo mais ca l a pas fait.

Sinuscbct j1otal - Eugenol

Logo m4n3gc - Eugenol
drmarcus

13/02/2019 à 08h59

mjulkmilk écrivait:
---------
> Y fait noir dans un sinus...
> J attends vos critiques. Les photos sont pas top, mon assistante avait la
> bougeotte :0))

Tes qualifications pour ce genre d'intervention?


--
"La seule chose promise d'avance à l'échec, c'est celle que l'on ne tente pas" Paul Emile VICTOR


Generique fraisage r2rxmm - Eugenol
lardonbis

13/02/2019 à 09h06

drmarcus écrivait:
--------

>
> Tes qualifications pour ce genre d'intervention?

Lee redmond 06 duzkjb - Eugenol

mjulkmilk

13/02/2019 à 09h23


> Tes qualifications pour ce genre d'intervention?
>
>
> --
> "La seule chose promise d'avance à l'échec, c'est celle que l'on ne tente pas"
> Paul Emile VICTOR

Diplome dentiste France et actuellement interne en chir oral et maxillo en scandinavie.

C est sous AG a l hosto, j ai les ORL a cote si besoin, diathermie, piezo, fibre optique.
A ne pas reproduire au cabinet biensur.


mjulkmilk

13/02/2019 à 09h33

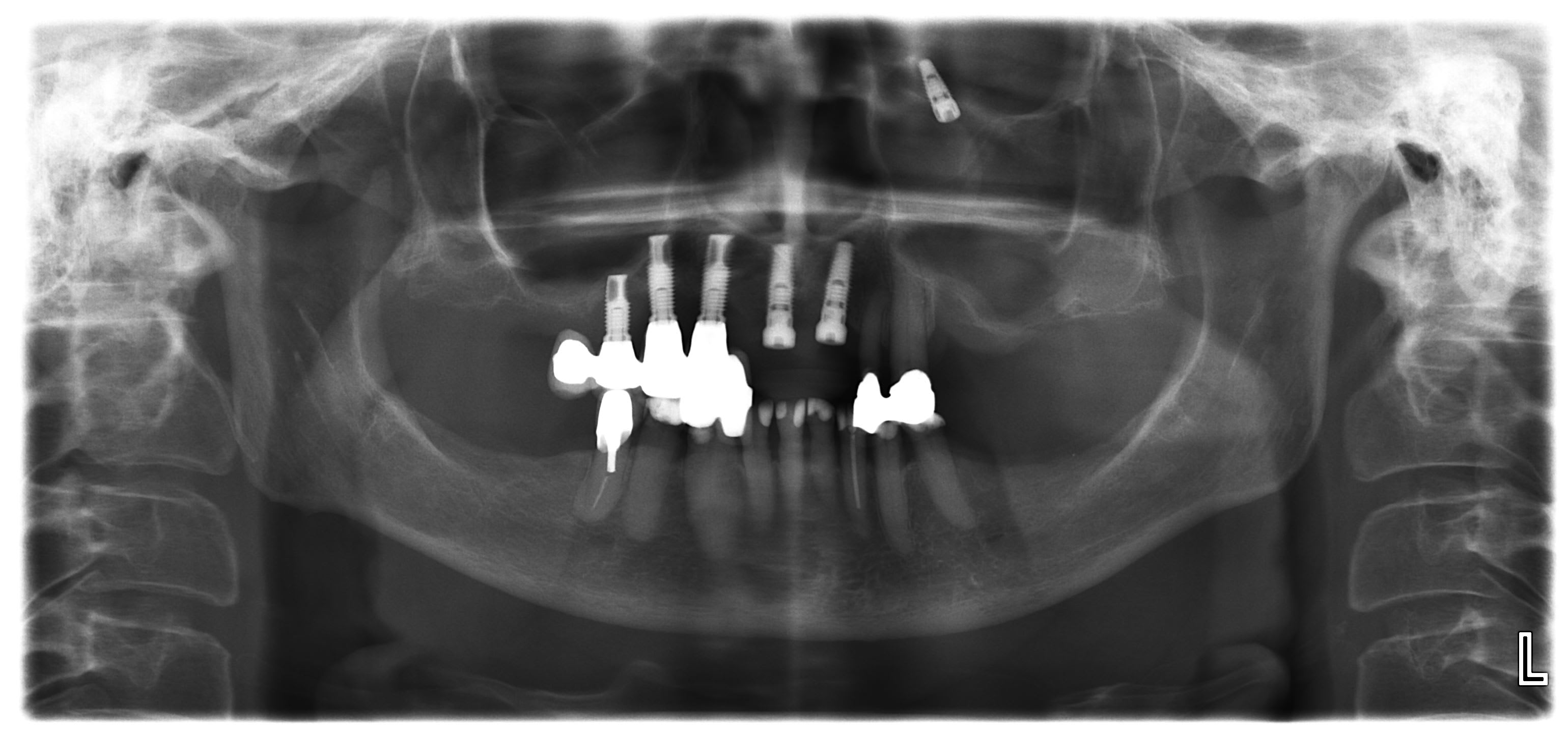
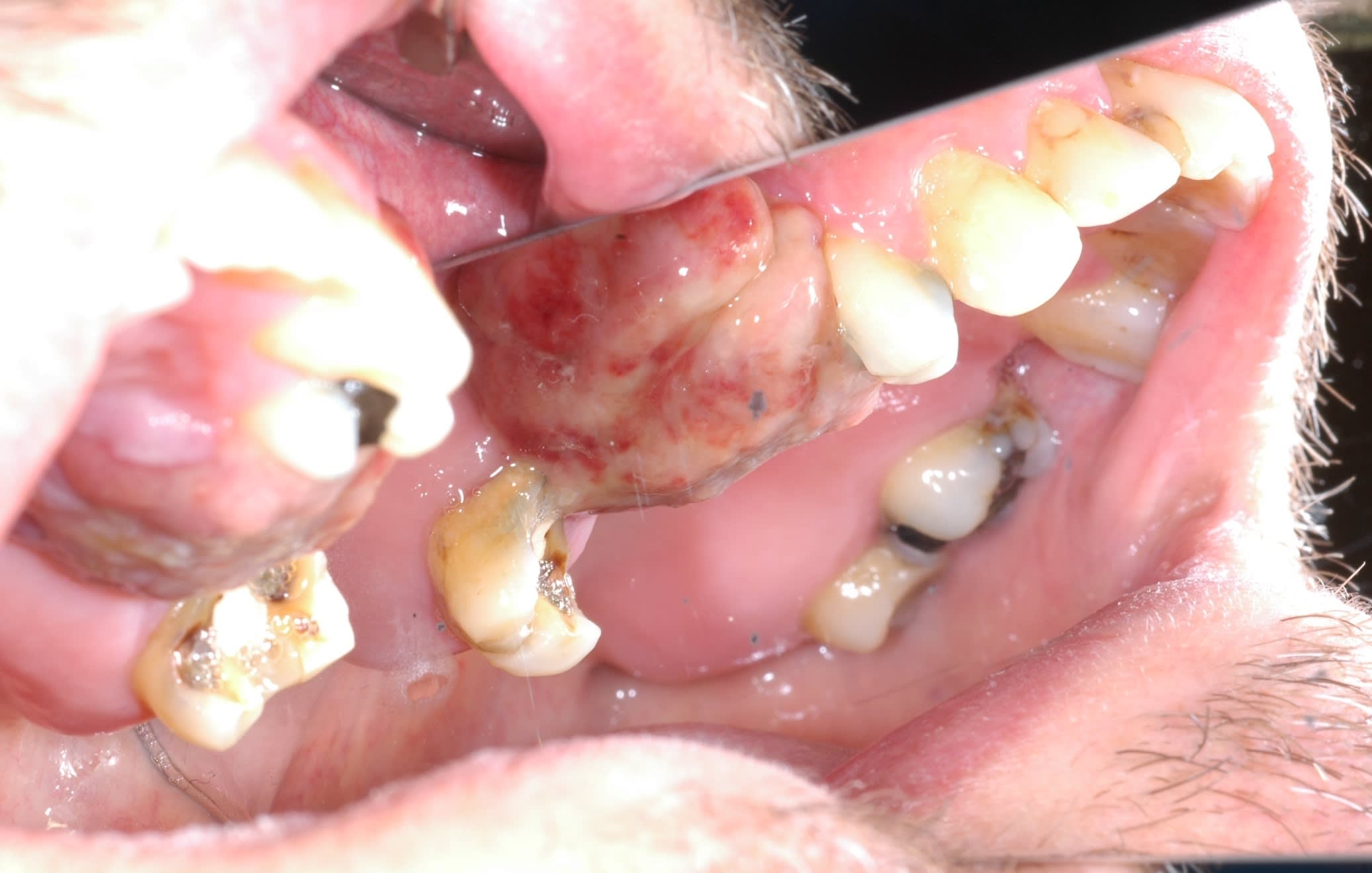
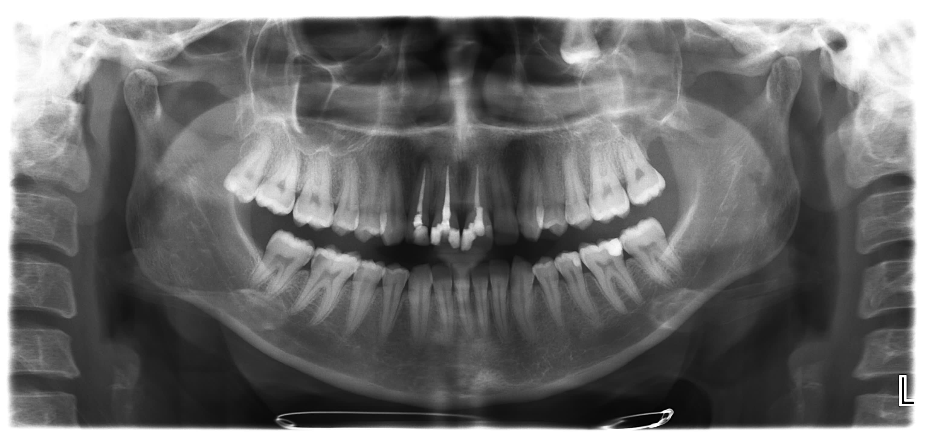
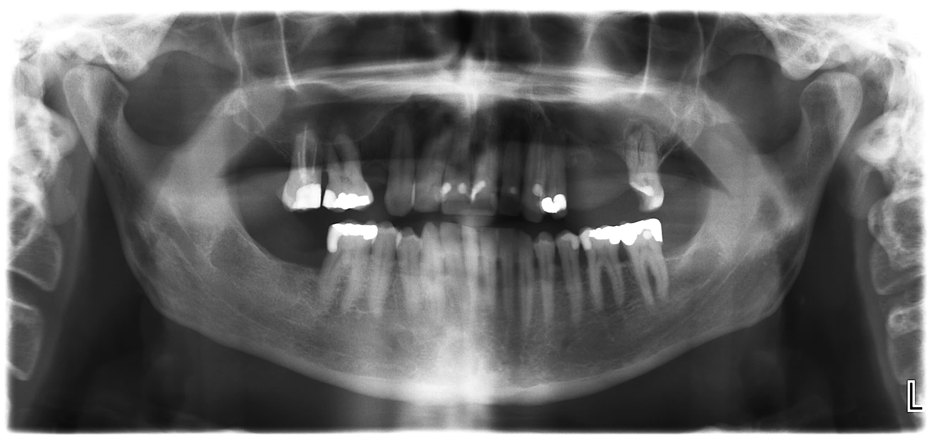
En continuant avec les envahissements de sinus.

Une idee de diagnostic? Evolution depuis 3 mois, facilement mobilisable, saignement a palpation, qui a envahit le sinus.
Patient a aucune douleur. Pas d adenopathies peripheriques.
En bonus un autre probleme de sinus...

Jg wsftsg - Eugenol
Jg1 ud0gdi - Eugenol
Jg2 l1vfro - Eugenol
Xximplant kiqnyk - Eugenol

Generique fraisage r2rxmm - Eugenol
lardonbis

13/02/2019 à 09h48

extraction il y a 3 mois ?
il y a une communication bouche-sinus ?


mjulkmilk

13/02/2019 à 10h09

Extraction il y a 3 ans, pas de Communication bouche sinus.


4a338550 6a5b 47ea b2a7 d3cb675c5076 oni5gh - Eugenol
fistule 69

13/02/2019 à 10h31

Scandinavie ! Fait froid...
Ton patient a échappé à la prévention nordique ?
Pas de CBS, prolifération d’un kyste apicale mal cureté ?
😷🤔


Images 5  n6rze9 - Eugenol
zebob

13/02/2019 à 10h44

vu l'état de la bouche et l'endo sur 17, c'est un français


Jack 2 wm3tqs - Eugenol
Treponem

13/02/2019 à 10h48

En même temps, la première patiente qui a pris un gnon sur les incisives, présente aussi un foyer sur 12 ... comme quoi, même dans les pays scandinaves, on fait ce qu'on peut ;)


mjulkmilk

13/02/2019 à 12h15

1- La premiere patiente est refugiee en Scandinavie depuis 6 mois...

2-Il a une peur bleue des dentistes. ( Vu ce qu il a ca va pas s arranger). Enfin ici les bios c est a 1 mm de l apex radio pour necrose et 2 mm pour pulpite. Pas la meme philosophie qu en France. C est pas un kyste apical mal curette.


Nouveau image bitmap fz77zh - Eugenol
Sethef

13/02/2019 à 12h29

Carcinome sinus?


mjulkmilk

13/02/2019 à 12h40

C est un Granulome central a cellules geantes a progression lente. ( Image clinique tres proche carcinome epidermoide)
Traitement envisage est injection de biphosphonates( Denosumab) pour reduire la lesion. Cela permettrait d eviter une resection en bloc type hemimaxillectomie et reconstruction par fibula.
To be continued...


RépondreCiter
Photo1 wmxx1a - Eugenol
Dentalgic

13/02/2019 à 12h58

mjulkmilk écrivait:
---------
> Juste pour info le CBCT qui demontre bien qu une PANO est une somme de
> projection, rotation etc...
> Sur la coupe frontale on voit que la dent est au niveau du cornet inferieur de
> la paroi nasale et non derriere la cavite orbitaire :0)

Nickel, merci pour la coupe


Logo m4n3gc - Eugenol
drmarcus

13/02/2019 à 13h52

mjulkmilk écrivait:
---------
>
> > Tes qualifications pour ce genre d'intervention?
> >
> >
> > --
> > "La seule chose promise d'avance à l'échec, c'est celle que l'on ne tente pas"
> > Paul Emile VICTOR
>
> Diplome dentiste France et actuellement interne en chir oral et maxillo en
> scandinavie.
>
> C est sous AG a l hosto, j ai les ORL a cote si besoin, diathermie, piezo, fibre
> optique.
> A ne pas reproduire au cabinet biensur.

Oui merci et c'est important de le dire. Effectivement dans l'absolue c'est de la responsabilité d'un chir maxillo faciale ou ORL. En tant que dentiste, même au bloc maxillo, on n'avait pas le droit d'y toucher; question de RCP.

Pour info ça m'avait dégouté de la chirurgie.....enfin ça fait un bail tout de même.


--
"La seule chose promise d'avance à l'échec, c'est celle que l'on ne tente pas" Paul Emile VICTOR


12