Cookie Consent byPrivacyPolicies.comRadiopacite dans sinus - Eugenol

Radiopacite dans sinus

mjulkmilk

18/02/2019 à 14h15

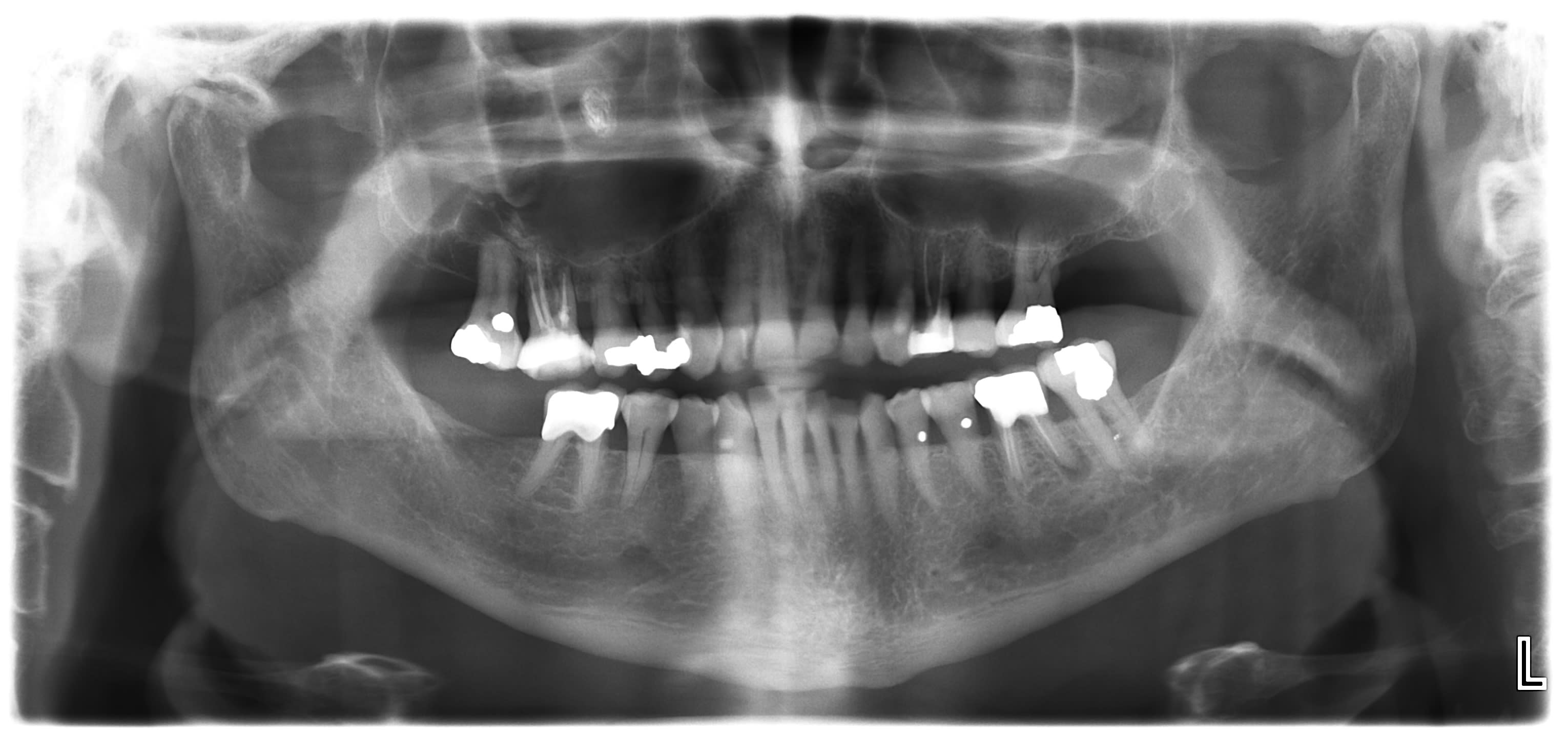
Patient de 75 ans, pas douleurs speciales. Nez bouche cote droit.
Diagnostic?

Dmzltc7ofvw3kcockcwa - Eugenol

Photo pluton1b h9n4ea - Eugenol
pluton

18/02/2019 à 15h07

vu qu'il y a un truc plus radio opaque dans le sinus.....aspergillose?


colza2

18/02/2019 à 15h28

Il a respiré un truc bizarre un soir de feux de la st jean bien arrosé à l'alcool local il y a 40 ans ?


mjulkmilk

18/02/2019 à 15h33

Yes, aspergillose. retiree ce matin... C est pas beau a voir, dommage j ai pas pris de photo. C est la semaine du sinus. Une sagesse, une aspergillose et demain j ai un apex a aller chercher... :0))


Fear and loathing in las vegas toax7t - Eugenol
Donchico

19/02/2019 à 17h21

et d'ailleurs si rien n'est fait, y a aussi la 36 qui va disparaître :)