Cookie Consent byPrivacyPolicies.comcamera empreinte optique - Eugenol
azerty

20/02/2019 à 16h58

justement je ne vois pas en quoi cela modifie l'exercice...


Img 2951 flo3gr - Eugenol
molinarius

20/02/2019 à 18h48

Apres quelque temps d’equilibrage de tests , il a fallu que je me rende à l’évidence ! Les ic ajustaient tellement bien que les prats n’arrivaient pas à les retirer après essayage .. donc il a fallut tatonner pour trouver le bon equilibre mais maintenant c’est redoutable ! Ic comme stellites
Il faut voir la précision obtenue !! Bon on oubli la micro fusion laser!!

B55a992a 437e 44f3 a7c4 1d4cae535e08 dh8d7b - Eugenol
365be167 d560 4c83 98d5 cb773e511b98 c4z7fh - Eugenol
Dcfadd99 4500 40c4 8923 e2c689faa115 yynq6c - Eugenol

Img 2951 flo3gr - Eugenol
molinarius

20/02/2019 à 18h55

Essais ! Tiens regarde ce cas , temps de prise d’empreinte hyper rapide , pose de 15 couronnes ( full anatomique ) en zr qui au passage à tellement progressé qu’on dirait des emax (full) egalement rapide et sans retouche occ !!

64612e0e f3c0 4166 8790 8fe907326058 jrtsdu - Eugenol
9365ab1c ab5e 49a4 bd31 eb6a03999464 wfudlt - Eugenol

Hok 1b hgd3rj - Eugenol
Hokusai

20/02/2019 à 19h27

Tes IC sont imprimés en résine calcinable avec la formlabs 2 ?? Tu imprimes aussi tes châssis de stellite ?

Tu es équipé de médit link ??
Le frittage laser ça marche pas ??


Utilisateur banni

20/02/2019 à 19h41

Molinarus il va falloir abandonner la zircone, car on sera obligé de les facturer moins chers que les CCM par exemple.... ils nous ont mis des plafonds pour les prix des couronnes. Et la CCM sera facturée plus cher que la full zircone. À moins que tu les factures beaucoup moins chers que les CCM .


Hok 1b hgd3rj - Eugenol
Hokusai

20/02/2019 à 19h42

junior® écrivait:
-------
> Molinarus il va falloir abandonner la zircone, car on sera obligé de les
> facturer moins chers que les CCM par exemple.... ils nous ont mis des plafonds
> pour les prix des couronnes. À moins que tu les factures beaucoup moins chers
> que les CCM

Non faut faire de la zircone cut back vestibulaire... Ça devient de la céramique stratifiée en panier libre.


Utilisateur banni

20/02/2019 à 20h15

Ah oui c’est vrai autant pour moi . Solution alternative moins chère à la chape zircone + céramique.


Img 2951 flo3gr - Eugenol
molinarius

20/02/2019 à 20h46

Il y aura toujours besoin de ceramique . En ant en tout cas .. vous n’aurez pas que du 1er panier ..
En revanche pour ce dernier , oui des full en zr seront largement diffusées.


Img 2951 flo3gr - Eugenol
molinarius

20/02/2019 à 20h48

Pensez a vous munir de modèles de démonstration . Pas ceux d’il y a 30 ans !
Je suis en train d’en réaliser .. car oui le rac 0 va ajouter une gamme


Logo ypy37h - Eugenol
création dentaire

02/03/2019 à 12h16

pour conserver le travail et avoir une production de qualité j'en suis à260 000 euros d'investissement uniquement en cao entre les scans les imprimantes et les usineuses.Sans parler des licences des prothésistes qu'ils faut former ce n'est pas si simple de tirer un profit de tout ça.
Et offrir un scan à chacuns de mes clients x45......


--
Laboratoire dentaire spécialisé en CFAO et traitement des empreintes numériques ( MEDIT, ITERO, 3SHAPE...)


Doc sans color fnywoc - Eugenol
bond

04/03/2019 à 15h18

Un des aspects à réfléchir avec l'acquisition d'un IOS ( Intra Oral scanner) est le workflow. En effet que faire des fichiers STL quand son labo n'a pas d'imprimante. Cela demande de changer de labo et cela n'était pas prévu au départ. Meme si les résultats en matière de précision sont incroyables comme dit plus haut.
Pour ma part très satisfait du modèle CS 3600 en noir en blanc(version Access à 20900 € mise à jour et garantie pendant 5 ans incluses).


Capture d  cran 2015 03 12 12.28 - Eugenol
chicot29

05/03/2019 à 12h43

junior® écrivait:
-------
> Faut bien 3 semaines le temps de t’adapter au produit quand même. Le temps de
> commander les produits annexes , le temps de te rendre compte que tel ou tel
> labo est incompétent pour traiter l’empreinte. Très sincèrement je parle dans
> mon cas j’ai moins gagné d’argent le premier mois d’utilisation . Maintenant
> tout roule et effectivement c’est rapide. Des trucs tout cons comme « ah tiens
> c’est en sous gingival , qu’est ce que je fais? » , « ah ça pisse le sang qu’est
> ce que je fais » , « il y a manque ici , ça ne veut pas enregistrer qu’est ce
> que je fais? » , « tiens tel labo n’arrive pas à traiter mon empreinte avec
> scanpost, que dois je faire ? »

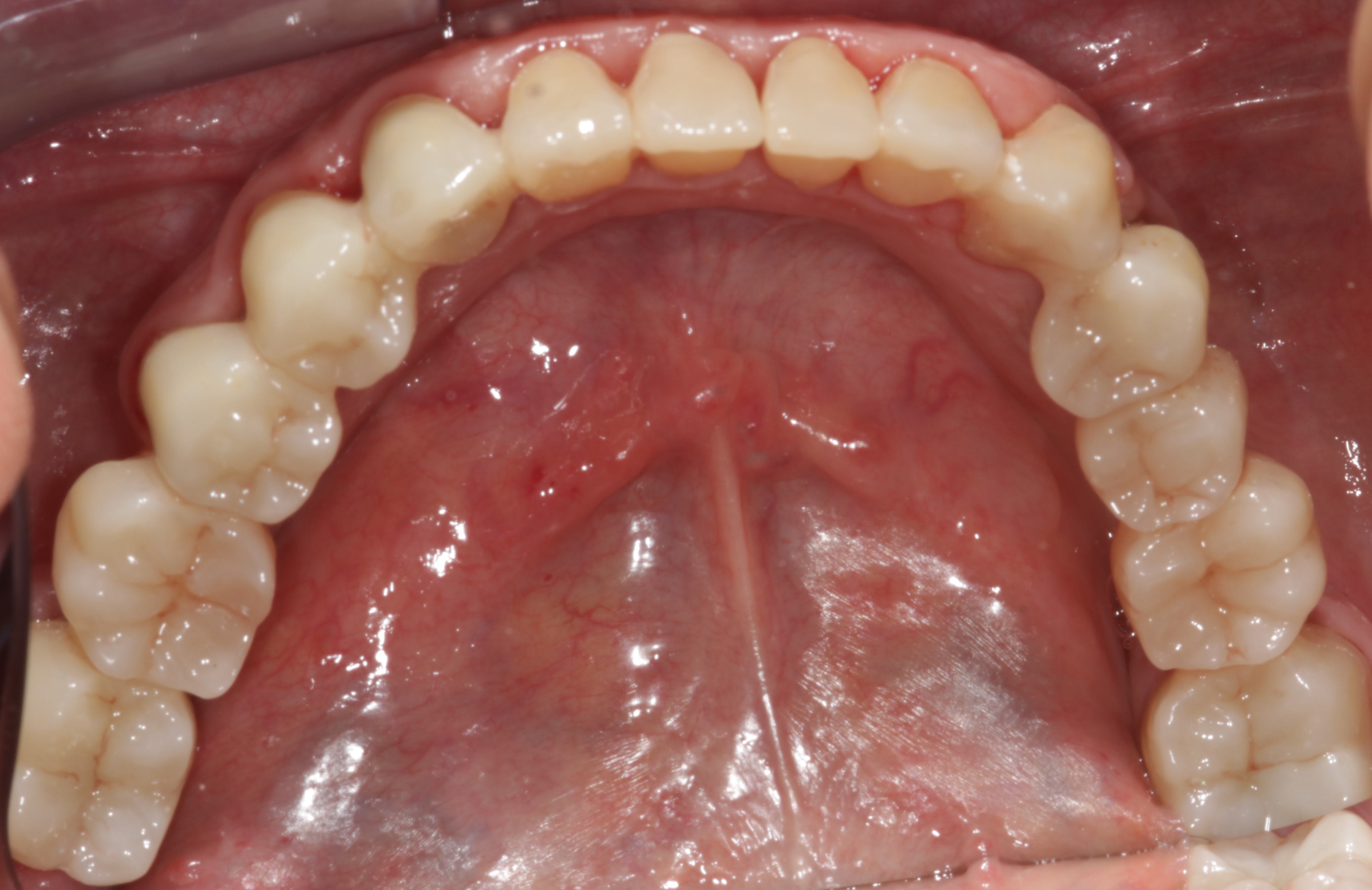
Pour que ça pisse pas trop. Loupes fois 5 pour éviter de toucher la gencive. Quand tu peux pas faire autrement expasyl si ca résiste laser. Ici en distal de 44.
--
En cas d'échec des négociations conventionnelles, seriez-vous prêt à suivre la promotion d'un déconventionnement massif de la profession par les syndicats représentatifs ? OUI - NON
Participez, anonymement, sur https://goo.gl/forms/nAO0htnsVmxotjYm1

Choc 1 d63fet - Eugenol
Choc2 k6xij3 - Eugenol

Capture d  cran 2015 03 12 12.28 - Eugenol
chicot29

05/03/2019 à 12h48

Pour le labo il n'y a pas plus simple : tu changes. -)))
Si ca veut pas enregistrer tu poudres.
Sous gingival ça ne pose aucun problème.
--
En cas d'échec des négociations conventionnelles, seriez-vous prêt à suivre la promotion d'un déconventionnement massif de la profession par les syndicats représentatifs ? OUI - NON
Participez, anonymement, sur https://goo.gl/forms/nAO0htnsVmxotjYm1


Capture d  cran 2015 03 12 12.28 - Eugenol
chicot29

06/03/2019 à 12h25


En sous gingival c'est franchement pas un problème.

--
En cas d'échec des négociations conventionnelles, seriez-vous prêt à suivre la promotion d'un déconventionnement massif de la profession par les syndicats représentatifs ? OUI - NON
Participez, anonymement, sur https://goo.gl/forms/nAO0htnsVmxotjYm1

Capture d écran 2019 03 06 12.24 - Eugenol

Jack 2 wm3tqs - Eugenol
Treponem

06/03/2019 à 12h59

Tu l'as déglinguée avec quoi, laser bistouri électrique, fraise ?


12