Cookie Consent byPrivacyPolicies.comPb Photographie - Eugenol
rem

15/03/2019 à 16h30

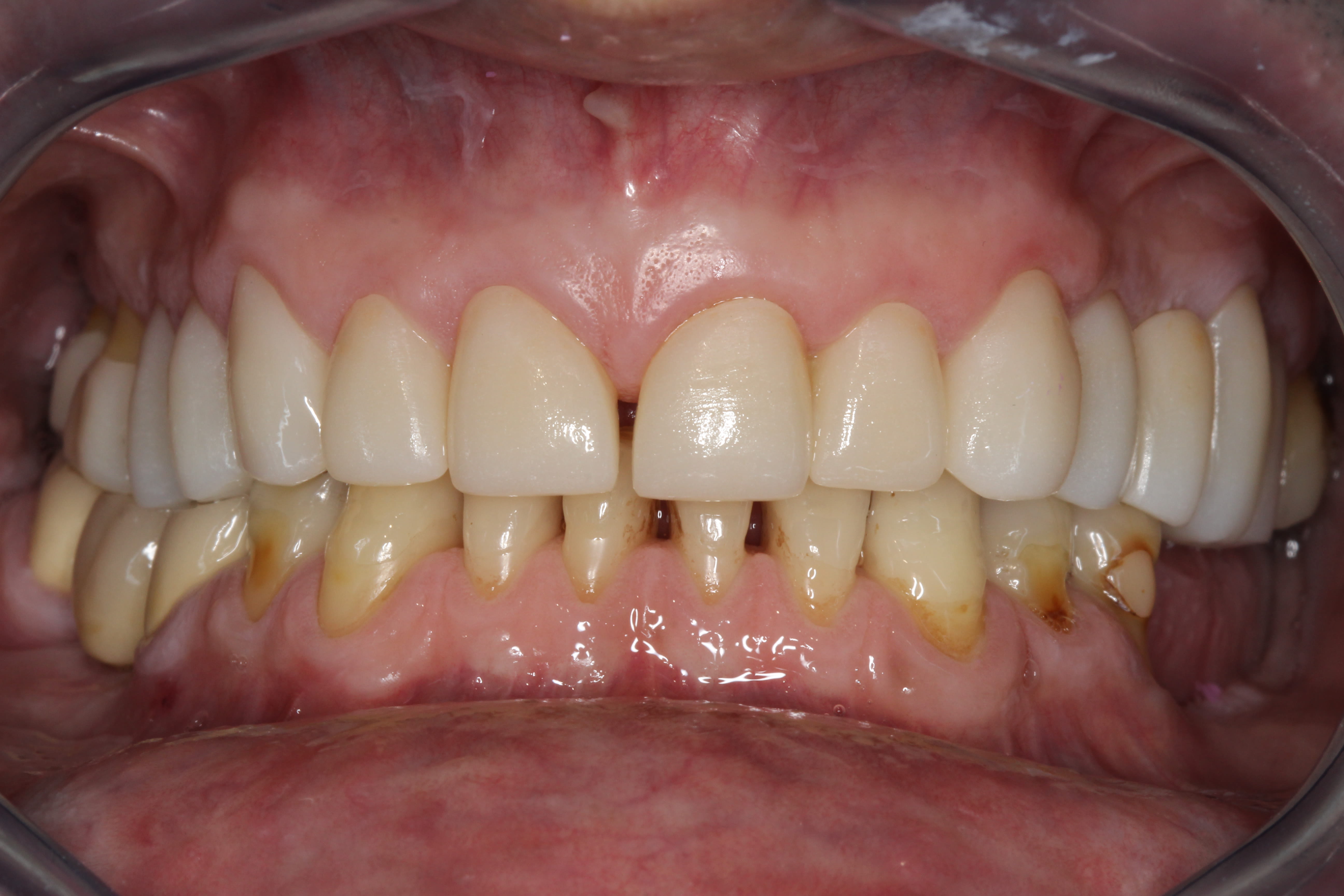
Bonjour, je rencontre un pb quand je souhaite utiliser le masque noir mat en palatin des dents. Le résultat est toujours en surexposition, alors que le résultat me satisfait sans cet instrument (dont je n'ai plus le vrai nom en tête)...
Une idée, quels réglages modifier?
Mon appareil canon eos 600d, M 1/100 F22
flash macro ring lite, ETTL

Voici des photos, avec ou sans ...

Merci bcp !

Ujnfk6yrfzom7spbmdja - Eugenol
Yzrrmjqqasj7p2lxtyko - Eugenol

jeunedentiste001

15/03/2019 à 16h54

réglage manuel et pas en auto
regarde les paramètres iso, ouverture et shutter speed de la 1ere photo et utilise les mêmes


Vw campersurfvan bmnk1q - Eugenol
enlaye

15/03/2019 à 17h53

ç est normal , si tu mesures la lumière sur le machin noir l appareil va ouvrir plus pour compenser le coté obscur . donc tu prends la lumiere sur les gencives et ç est bon .
PS : ouvrir plus ,ou ralentir l ouverture ,ou augmenter le flash ç est pareil


Photo pluton1b h9n4ea - Eugenol
pluton

15/03/2019 à 19h04

plus simple: il te faut faire une mesure avec le spot central et non en matriciel.....donc regarde sur ton mode d'emploi comment le sélectionner....


rem

16/03/2019 à 07h38

Merci pour vos réponses je vais regarder ça 👍


Pierre logo clykpp - Eugenol
Denteo33

16/03/2019 à 15h10

Un contrasteur


Bebe 038 nf8eum - Eugenol
danteyeah

06/04/2019 à 21h46

Alors il y a quelques réponses, mais elles ne répondent au problème.
Donc pour résumer tu as écrit Canon EOS pour boîtier, réglage M pour manuel (certains ont parlé d’auto dans les réponses, ou répondu par rapport à un mode auto), ensuite focal fermée à 22, tout va bien et vitesse à 1/100éme. Et enfin un flash ETTL (non Canon). Et il est là le problème: ton ETTL ne semble pas faire le job avec ton EOS, et il mouline si il trouve trop de contraste dans la lumière réfléchi de ton image. Le contrasteur ne lui renvoie pas assez de lumière et donc ton flash relargue tout les NG qu’il a....résultat, sur expo.
Solution économique: tu limite au Max la présence de ton contrasteur dans ton cadrage, mais c’est frustrant car le contrasteur sert à faire ressortir les caractérisations de tes céramiques, et l’expo ne sera pas optimal ici.
Solution plus chère: flash Canon en ETTL-2, et il fera le boulot tout seul.
Pour rappel en macro photo flash en mode M et à forte fermeture, seul ton (ou tes) flash module la lumière, c’est tout simplement l’équipement le plus important, c’est lui qui devrait être la pierre angulaire lors du choix du matos, et C’est pas le choix que tu semble avoir pris.