Cookie Consent byPrivacyPolicies.comBridge katana full zircone qui casse! - Eugenol

Bridge katana full zircone qui casse!

Pierre logo clykpp - Eugenol
Denteo33

20/03/2019 à 07h53

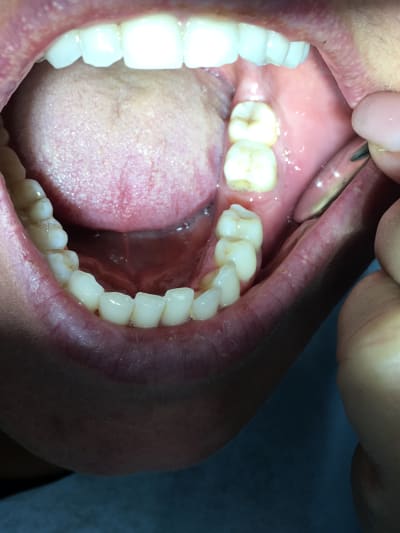
Bridge 35-(36)-37 de 10 jours!
Intermédiaire explosé
Désolé de la qualité des photos, patiente vue en urgence évidemment : pas le temps d’en reprendre... surtout qu’il a fallu déposer les couronnes piliers bien en place

B49u8tpitwzeu3maztxq - Eugenol
Wleiu34ygocirizyn1of - Eugenol
Rh56dk7mlvrhxpet38d2 - Eugenol

Img 5097 lxchd7 - Eugenol
Queixal

20/03/2019 à 08h31

Le prothesiste n’ a pas respecté les epaiseurs minimales du materiel.


Zorba le grec 1373406512 108 lfk5ey - Eugenol
zorbalegrec

20/03/2019 à 08h43

Queixal écrivait:
-------
> Le prothesiste n’ a pas respecté les epaiseurs minimales du materiel.

Ou la préparation n'était pas assez mutilante


220px don camillo4 qrcfhs - Eugenol
camillo

20/03/2019 à 08h51

Bridge d'importation ou fait en france?


Avatar transparent iqadnc - Eugenol
adhoc

20/03/2019 à 08h51

Avec les ouvertures piegeuses de la nouvelle nomenclature et l'abattage zircone qui va s'ensuivre, c'est le debut d'une grande serie de casses.
Deja on voit ca avec nos anglais, ca pete!!!!!!
On va demander a l'admin d'eugenol d'ouvrir une nouvelle rubrique : zircone et casse.


Vw campersurfvan bmnk1q - Eugenol
enlaye

20/03/2019 à 08h51

Ou une belle sur occ


220px don camillo4 qrcfhs - Eugenol
camillo

20/03/2019 à 08h59

Etonnant.
J'ai essayé de casser un bridge full zircone qu-un CMU avait oublié de venir se faire poser...
Impossible même en appuyant de toutes mes forces avec mes doigts...et même avec 2 pinces multiprises..


Pierre logo clykpp - Eugenol
Denteo33

20/03/2019 à 09h00

Une préparation large et une occlusion correcte : j’ai repris les traitements endo et la patiente est partie en voyage pendant 3 mois avec un bridge provisoire.

Prothèse réalisée en France par un gros labo bordelais.


Vw campersurfvan bmnk1q - Eugenol
enlaye

20/03/2019 à 09h09

On dirait un bridge emax


Photo thumb 45 lnhuvp - Eugenol
wakrap

20/03/2019 à 18h19

Il serait intéressant de nous poster des images mieux définies et montrant les deux côtés de l'inter au niveau des fractures, là on voit à peu près rien des zones fracturées.


Photo thumb 45 lnhuvp - Eugenol
wakrap

20/03/2019 à 18h21

enlaye écrivait:
------
> On dirait un bridge emax
Tu dis ça en raison du sillon.
Sinon, je suis étonné de l'absence de profondeur du sillon, la zircone c'est usiné, dessiné sous exocad ou autre donc ton gros labo il me semble l'avoir fait roulé sous les aisselles ton bridge.


Fond net de dent 1270 86 cyav5h - Eugenol
Dr_EG

20/03/2019 à 18h41

J'ai la doc Katana sous les yeux : je découvre en même temps que vous ...

Contre-indications : pas de bridges contenant des MOLAIRES :-(
épaisseur de paroi : CR postérieure ou bridge (j'image jusqu'à PM2) => 1 mm
section transversale de connexion : bridge prémolaire => 16 mm2 ou plus

@enlaye, c'est vrai que la Katana ressemble à l'eMax par sa translucidité
--
Le RAC pour les nuls ;-) : sur https://docs.google.com/spreadsheets/d/1uS3lJkkXLeSiN0adPR5I0aY1bJXvCK7-KAhe3UVpJAo/edit?usp=sharing

Suite à l'échec des négociations conventionnelles et la mise en place d'un règlement arbitral, seriez-vous prêt à suivre la promotion d'un déconventionnement massif de la profession par les syndicats représentatifs ? OUI - NON
Participez, anonymement, sur https://goo.gl/forms/nAO0htnsVmxotjYm1


Utilisateur banni

20/03/2019 à 18h58

wakrap écrivait:
------
> enlaye écrivait:
> ------
> > On dirait un bridge emax
> Tu dis ça en raison du sillon.
> Sinon, je suis étonné de l'absence de profondeur du sillon, la zircone c'est
> usiné, dessiné sous exocad ou autre donc ton gros labo il me semble l'avoir fait
> roulé sous les aisselles ton bridge.

+1
Je me suis fait la même remarque. Je n’ai jamais vu de Full zircone avec une anatomie de merde comme celle qu’on voit sur ta molaire.
Ça n’est pas du full zircone


Vw campersurfvan bmnk1q - Eugenol
enlaye

20/03/2019 à 19h30

Zircon demanon .


Photo thumb 45 lnhuvp - Eugenol
wakrap

20/03/2019 à 19h30

Des Katana, il y en a à la pelle. de 600 à 1400 mpa. Ensuite l'esthétique peut être vraiment très bien aujourd'hui, très liée aussi à la cuisson, trop rapide et c'est opaque à chier.

Et certaines sont vraiment très très très bien au niveau esthétique, va falloir revoir nos à priori.
https://www.kuraraynoritake.com/world/product/cad_materials/pdf/katana_zircinia_brochure.pdf


Ylfwcw979cz1jnx9gfqeaxndiuzk - Eugenol
Algi

20/03/2019 à 19h31

Fais réaliser avec zirkhonzan ils ont des zircone faits pour ça.

Mais sinon oui ça peut casser, c'est dur....


--
On a toujours le choix mais entre quoi et quoi?
Vas-y boulégue et l'avenir te le dira!


Hok 1b hgd3rj - Eugenol
Hokusai

20/03/2019 à 19h36

Y a aussi un truc avec la zircone... Si pendant la retouche/polissage tu échauffes trop elle passe de la phase quadratique en phase monoclinique et la c est pas la même histoire....


Vw campersurfvan bmnk1q - Eugenol
enlaye

20/03/2019 à 19h41

Il a raison Adhoc ,on devrait monter une hot line zircon denou sur nonol a partir du 15 avril .


Utilisateur banni

20/03/2019 à 19h53

Est-ce quand tu as découpé, c’était tendre en surface puis très dur ?


Pierre logo clykpp - Eugenol
Denteo33

20/03/2019 à 20h37

Oui, tendre en surface et très dur à faire un joli feu d'artifice


Utilisateur banni

20/03/2019 à 20h46

Et ben voilà c’est bien ce que je disais, ils t’ont fait croire que c’ était du full zircone katana. Or c’est une armature zircone + du cosmétique .
Regarde le type de fracture : t’as la couche cosmétique qui est restée au niveau de la zone fracturée...

3bdea989 3e36 48d2 b724 59ccd8a248c3 mfqtvg - Eugenol

220px don camillo4 qrcfhs - Eugenol
camillo

20/03/2019 à 20h51

Je vois pas trop l'intérêt pour le labo de facturer un bridge zircone plus cosmétique au prix du full zircone...


Utilisateur banni

20/03/2019 à 20h58

Peut être qu’ils ne font pas la katana ! Du coup ils se sont dits : on va lui mettre une couche cosmétique pour lui faire croire et pour faire plus joli.
Il suffit de regarder l’anatomie de sa molaire. Ça n’a pas été fait par une machine


Ylfwcw979cz1jnx9gfqeaxndiuzk - Eugenol
Algi

20/03/2019 à 22h36


Désolé de me répéter mais il existe des fraises dédiées au zirkone avec lesquelles on peut le tailler sans faire d'étincelles et à priori sans crainte de fragilisation.

Concernant la fragilisation j'aimerais quand même avoir confirmation.

Si un Marc Apap traîne par là...

--
On a toujours le choix mais entre quoi et quoi?
Vas-y boulégue et l'avenir te le dira!