Cookie Consent byPrivacyPolicies.comrésorption - Eugenol
i73

20/03/2019 à 18h03

Bonjour
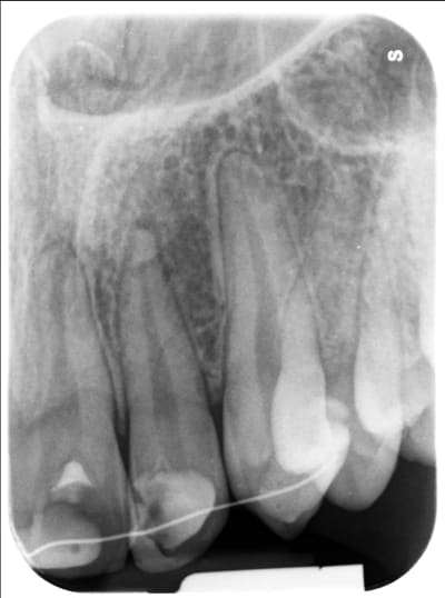
Jeune patient de 18 ans, qui a fait une chute en juin 2018 avec fracture coronaire de 22. J'ai suspecté une fracture du 1/3 apical de la racine. Dent vivante, contention souple 4 semaines.
Ce jour, légère sensibilité, la dent répond au froid, et à la radio l'apex a disparu.
Que feriez-vous?
Merci pour vos réponses

Diftzwznymmjzsmwhenx - Eugenol
F6rcpvz9ssdltq9irn9d - Eugenol

mjulkmilk

20/03/2019 à 20h21

Tant que le test de sensibilité est positif, wait and see...
Bien informer qu à long terme ça sent le sapin.
Contrôle radio tous 3 mois pendant un an.


lachmar

21/03/2019 à 09h41



peux-tu préciser le type de sensibilité ?
provoquée ?
spotanée ? (intermittente ou permanente ... etc)


i73

22/03/2019 à 08h55

j'ai fait un test au froid , positif. sinon le patient sent une très légère sensibilité mais il n'est pas gêné au quotidien, je n'ai pas obtenu de réponse plus précise