Cookie Consent byPrivacyPolicies.comQue faire après une résection à la tronçonneuse ? - Eugenol

Que faire après une résection à la tronçonneuse ?

carident

23/04/2019 à 21h59

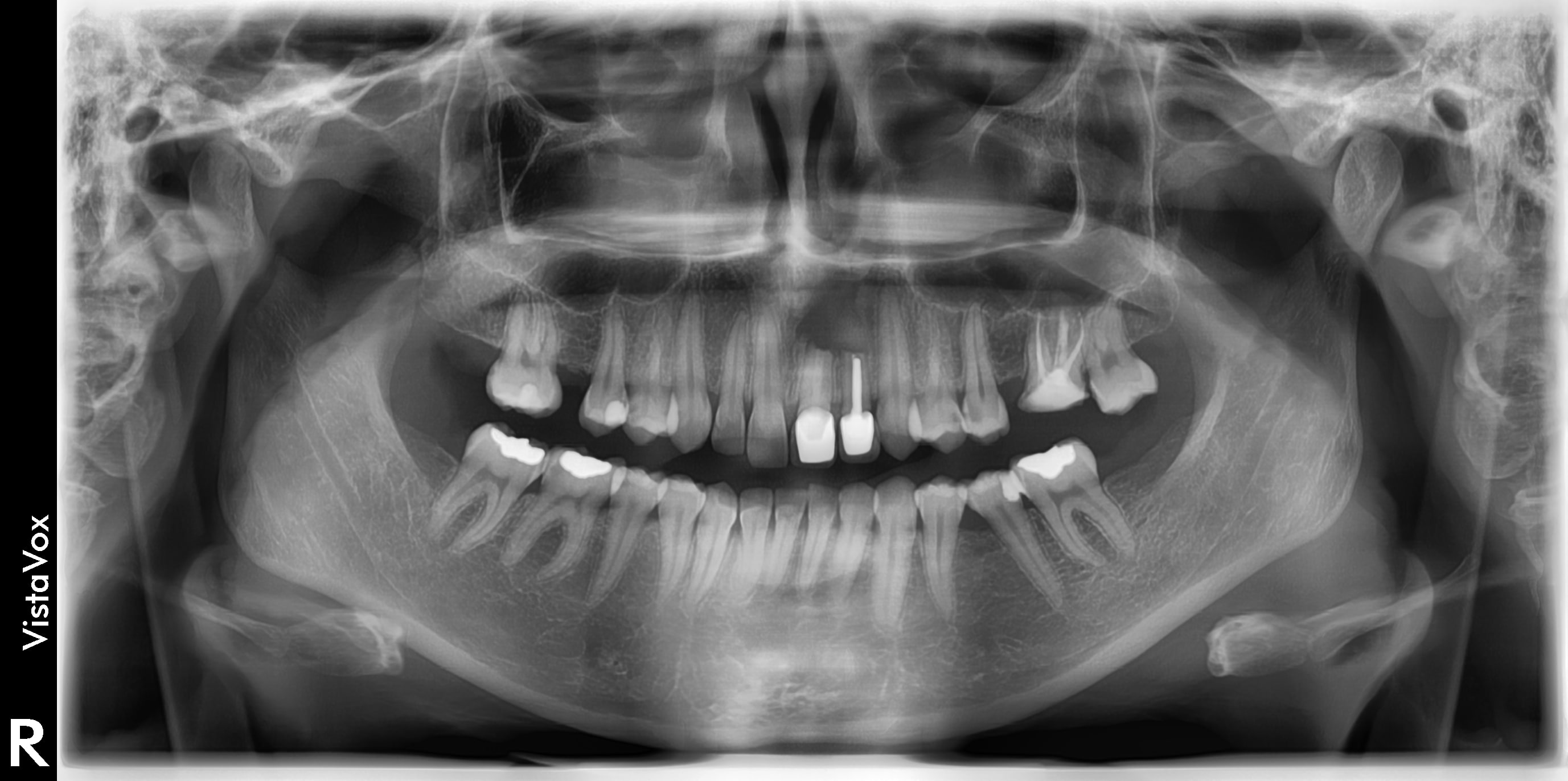
Patiente de 23 ans à peine.
La résection a été faite 1 an plus tôt...

Panostandard 20190423 l9b35r - Eugenol

Nano phv5c5 - Eugenol
NANO

23/04/2019 à 22h19

Une bimaxillaire en 2021..... 100% santé !
21 ans elle est déjà bien amochée....


carident

23/04/2019 à 22h24

Le point positif est que la 21 et la 22 ne bouge pas pour l'instant.

Le patiente est consciente de son état bucco-dentaire et souhaite faire ce qu'il y a de mieux à faire...


3f3boxni50k58rq7e9ce9ddqrxgk - Eugenol
dentiste57

23/04/2019 à 22h27

tu n'en dis pas suffisamment, c'est quoi le problème ? mobilité ? douleur? récidive ???


carident

23/04/2019 à 22h32

Elle consulte pour remplacer toutes les dents manquantes, réparer toutes celles qui faut réparer, mais surtout pour son sourire qui la complexe à cause de la 21 et 22 (couronne céramo-métallique moche, couleur plus saturée que la 11 et 12, métal visible, coloration violette de la gencive...), grande cicatrice au niveau péri apicale avec fistule et un peu de pus à la pression, absence d'os à laquelle il faudrait remédier...
Pas de douleur. Pas de mobilité.
Elle revient demain, je ferais une rétro et un cone beam.


lachmar

24/04/2019 à 08h40

a mon avis tu refais une chir , tu curetes soigneusement la lésion et tu fais une retroobturation MTA des orifices canalaires comme option à l'implanto

parcque même traitées, du fait du manque de longueur résiduelle des racines tu ne peux pas promettre grand chose


carident

24/04/2019 à 09h07

lachmar écrivait:
-------
> a mon avis tu refais une chir , tu curetes soigneusement la lésion et tu fais
> une retroobturation MTA des orifices canalaires comme option à l'implanto

D'après ce que m'a dit la patiente, la chir a déjà été faite 2 fois, 1 an plus tôt.

> parcque même traitées, du fait du manque de longueur résiduelle des racines tu
> ne peux pas promettre grand chose

On est d'accord, et j'en ai déjà parlé à la patiente...
Je ne m'y connais pas trop en chirurgie et en en comblement, mais à mon avis il vaudrait quand même mieux garder les racines tant que le problème infectieux/osseux persiste... Non? Car il me semble que les racines retiennent l'os alvéolaire autour et que cela facilite la résolution de la fenestration osseuse apicale.
Donc, ma réflexion est la suivante :
- est ce que cela vaut le coup de déposer les couronnes et de tenter un retraitement par voie orthograde ? Cela permettrait aussi d'appréhender de manière plus précise la faisabilité de conserver les racines et de refaire des couronnes dentoportées (malgré la longueur résiduelle, les racines n'étant pas du tout mobile).
- si la solution implantaire est à privilégier, quelle serait la bonne séquence ? A quel moment on extrait? Est-il primordiale de résoudre le problème osseux avant d'extraire ou pas?


Bebe 038 nf8eum - Eugenol
danteyeah

24/04/2019 à 09h28

2 chirurgies en 1 an: soit le chirurgien n’est pas au niveau, soit le problème n’est pas que chirurgical. Pas de calage molaire cohérent. Les 6 ne font pas leur boulot et la 27 butte en proximal de 37, ça pu l’occlusion délétère, et on peut alors se demander si la 22 n’est pas fêlée.
Je commence par rééquilibrer son occlusion. Cône beam pour localiser la lésion. Dépose Couronnes et provisoire une fois l’occlusion rétablie et caries soignées.
La 22 a de grande chance de dégager


lachmar

24/04/2019 à 09h31



je persiste et je signe : curetage de la lésion et obturation retrograde qui n'a pas été faite


6szjws718sv1jksw54v4mpj3a6cu - Eugenol
vulpi

24/04/2019 à 09h53

Curetage MTA pour les deux, 21 c'est jouable, 22 perdue à terme du fait du tenon, si ce n'est déjà fait... fêlure.
Si cicatrisation, contrôle régulier.


6szjws718sv1jksw54v4mpj3a6cu - Eugenol
vulpi

24/04/2019 à 09h55

C'était l'indication de deux ERI:-)) au lieu de mutiler.


carident

24/04/2019 à 10h20

Humm... Occlusion, ERI, je sens que l'on va bientôt me parler de téflon 😁
N'y aurait-il pas une personne sur ce forum qui influencerait tous les eugenoliens ? 😜


6szjws718sv1jksw54v4mpj3a6cu - Eugenol
vulpi

24/04/2019 à 10h52

Nan mais tu vois c'est agaçant, au départ c'était l'indication de deux RTE, sauf que CR dessus et tenon XXL pour la 22. Alors au lieu de suivre le gradient thérapeutique, RTE, Chir apicale... Tu te retrouves avec cette mutilation, des "apex" ouverts aux quatre vents et un joli échec.


6szjws718sv1jksw54v4mpj3a6cu - Eugenol
vulpi

24/04/2019 à 10h54

vulpi écrivait:
-----
> Nan mais tu vois c'est agaçant, au départ c'était l'indication de deux RTE, sauf
> que CR dessus et tenon XXL pour la 22. Alors au lieu de suivre le gradient
> thérapeutique, RTE, Chir apicale... Tu te retrouves avec cette mutation, des
> "apex" ouverts aux quatre vents et un joli échec.
Tant qu'à faire hors des clous... ERI:-) au moins il te resterait des apex et de la racine.


6szjws718sv1jksw54v4mpj3a6cu - Eugenol
vulpi

24/04/2019 à 11h02

Pour épargner deux couronnes on a perdu deux dents. C'est d'autant plus dommage que faire des RTE sur deux mono-radiculees c'est promis au succès...


6szjws718sv1jksw54v4mpj3a6cu - Eugenol
vulpi

24/04/2019 à 11h02

Pour épargner deux couronnes on a perdu deux dents. C'est d'autant plus dommage que faire des RTE sur deux mono-radiculees c'est promis au succès...


Vw campersurfvan bmnk1q - Eugenol
enlaye

24/04/2019 à 11h18

carident écrivait:
--------
" Humm... Occlusion, ERI, je sens que l'on va bientôt me parler de téflon 😁
N'y aurait-il pas une personne sur ce forum qui influencerait tous les eugenoliens ? 😜 "


:-))


Vw campersurfvan bmnk1q - Eugenol
enlaye

24/04/2019 à 11h35

lachmar écrivait:
-------
" je persiste et je signe : curetage de la lésion et obturation retrograde qui n'a pas été faite "


le curetage par voie vestibulaire , ce n est plus possible maintenant .

le curetage , ç est bien quand tu arrives a enlever un kyste d un coup , en entier , bien proprement . là de kyste , il n y en a plus . il y a juste un rideau de muqueuse non étanche sensé masquer un trou béant .
là , si tu réouvres , avec cette gencive pourrie , à tous les coups tu ne pourra meme pas recoudre , ça part en charpie .

et puis tu veux que je te dise , il a raison Danteyeha , a tout les coup ce 2 dent n avaient rien au depart , pas de kyste , rien , juste une image due à une surcharge occlusale ( voir 26,27 ). meme l ERI n était pas indiquée :-).




6szjws718sv1jksw54v4mpj3a6cu - Eugenol
vulpi

24/04/2019 à 12h05

Statistiquement en France quand tu as une dent dévitalisée, le plus probable c'est obturation des 3/4 de la racine à la pâte et complication endo.


carident

24/04/2019 à 15h18

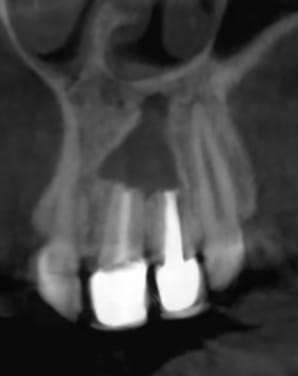
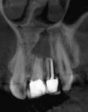
Je rajoutes quelques coupes et une rétro... C'est vraiment un massacre à la tronçonneuse!

C1 yphslc - Eugenol
C2 zxqv4g - Eugenol
C3 eyq9c9 - Eugenol
C4 nbfjjy - Eugenol
C5 tbh27p - Eugenol
C6 hpnjso - Eugenol
C7 wstgml - Eugenol
C8 zrgdkv - Eugenol
C9 l71h8s - Eugenol
C10 llgubu - Eugenol
C11 xl426v - Eugenol

carident

24/04/2019 à 15h19

D'autres coupes et une rétro

2 ozhekl - Eugenol
3 r9cfdm - Eugenol
1 skjekn - Eugenol
Rétro24042019 sngvhg - Eugenol

carident

24/04/2019 à 15h25

enlaye écrivait:
------
> et puis tu veux que je te dise , il a raison Danteyeha , a tout les coup ce 2
> dent n avaient rien au depart , pas de kyste , rien , juste une image due à une
> surcharge occlusale ( voir 26,27 ). meme l ERI n était pas indiquée :-).
>

Au départ... une petite fracture de de 21 et 22 à cause d'une sucette, puis composites, puis composites de plus en plus grand, plus endo et couronne, puis granulomes que le dentiste n'a pas voulu reconnaitre dans un premier temps, puis quand ça a gonflé, il a envoyé chez un confrère qui a opéré 2 fois... (la 1er fois il a laissé ouvert exprès d'après la patiente).

Mais bon, peu importe... Ce qui importe c'est qu'est ce qu'on fait maintenant pour que cette patiente de 23 ans ne soit condamnée à ne plus sourire?


6szjws718sv1jksw54v4mpj3a6cu - Eugenol
vulpi

24/04/2019 à 16h31

tu trouves quelqu'un qui peut mettre deux énormes bouchons au MTA, un endo-exclusif qui pratique la vraie chir et tu vois...
Deux soucis, le coût et la possibilité d’échecs, Sinon exos, prov deux dents résine, cicat , implants...


Img 5097 lxchd7 - Eugenol
Queixal

24/04/2019 à 18h20

1:Ecouter les demandes de la patiente.
" mais surtout pour son sourire qui la complexe à cause de la 21 et 22 (couronne céramo-métallique moche, couleur plus saturée que la 11 et 12, métal visible, coloration violette de la gencive...)"
Donc une aproche conservatrice n´est pas envisageable.
A mon avis dans un premier temps extraction comblement osseux et mariland bridge.
6 mois aprés re-evaluation et on decidera de la suite.


Utilisateur banni

24/04/2019 à 19h34

vulpi écrivait:
-----
> tu trouves quelqu'un qui peut mettre deux énormes bouchons au MTA, un
> endo-exclusif qui pratique la vraie chir et tu vois...
> Deux soucis, le coût et la possibilité d’échecs, Sinon exos, prov deux dents
> résine, cicat , implants...

Et t’auras plus d’os pour mettre tes 2 implants ensuite

1)D’abord tu lui fais écouter twist à St tropez
2) retraitement
3) obturation à rétro, curetage , membranes
4) une fois cicatrisation EII




--
Qu’on me donne l’envie, l’envie d’avoir envie


12