Cookie Consent byPrivacyPolicies.comContrôle feuille de souns - Eugenol

Contrôle feuille de souns

micromega

01/06/2019 à 11h09

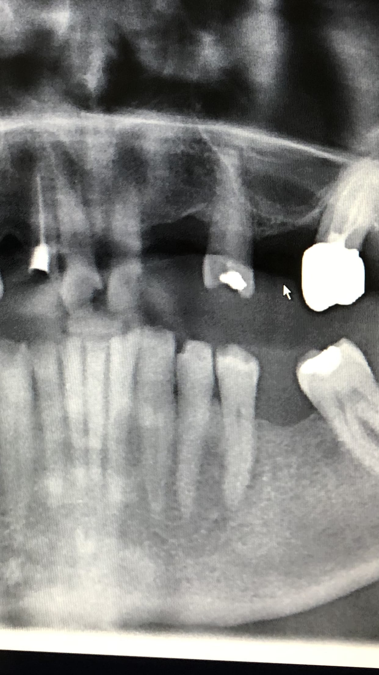
Bonjour , j ai reçu un courrier du dentiste conseil de la Msa me demandant dés radios retroalveolaires cotées ou non cotées médicalement justifiées de piliers et intermédiaires de bridge. Je ne comprend pas bien le médicalement justifiés pour un inter ... si vous pouvez un peu m éclairer . Pour info il s agit d un bridge de 16 à 26 sur un patient de 70 ans. J ai une pano avant traitement et les 3 clichés rétro alvéolaires de la 12 que j ai traité . Mais pas de radio des piliers et inter.. je mets la demande en pièce jointe

Zoboz8gk5cwgow2iwblw - Eugenol
W5aof4bzecr31iyny6wr - Eugenol
Qv1bl7a3kp6ypfeyto9p - Eugenol
Aeiqzjy0rjd13q2htthk - Eugenol

micromega

01/06/2019 à 11h19

pour complement d info je n ai pas traité les autres piliers ,canaux tres fins voire calcfifies ,par contre les dents nécessitaient d etre reconstituees par couronnes.26 était déjà couronnee ,asymptomatique depuis des lustres,les autres completement usees ou delabrees,voir pano


micromega

01/06/2019 à 11h29

seul bridge complet de 2018 sans recours a l implanto,bim contrôle….le cas se presentait de facon ideal,dents delabrees,certaines traitees,edentements encastres bien reparti sur l arcade paro ok.


micromega

01/06/2019 à 11h35

j ai taille la 16,vitale avec amalgame ,pensez vous que ca peut tiquer,je l ai cote comme pilier .c est la seule ou j ai un doute sur le plan cotation.Je n ai par contre aucun soucis sur la pertinence et la realisation de mon traitement,d ailleurs un apres patient super heureux!


Hok 1b hgd3rj - Eugenol
Hokusai

01/06/2019 à 11h41

En même temps pour l Instant il te demande les radios...


micromega

01/06/2019 à 11h43

je pense realiser prochainement une pano de contrôle post traitement et la joindre aux autres radio déjà envoyees car je n ai aucun cliches demandes hormis la 12 (les 3 de has…)sur lequel on peut voir un peu 11 et 14 ,la pano avant tt ,et pas de radio inlay core en place comme demande par le dc.d ailleurs rien n a été cote dans ce sens ,je ne comprends donc pas toute sa demande.il m aurait demande la pano initiale avant traitement la je comprendrais mais la..


X ray 03 medium zvq18j - Eugenol
cyber_quenottes

01/06/2019 à 11h47

1/ j'ai eu aussi un contrôle "aléatoire" MSA pour un bridge

2/ on m'a aussi demandé les radios "liées" au bridge

3/ le libellé CCAM des couronnes et bridges est 100% contestable puisque
- si des radios étaient médicalement justifiées pour quel acte que ce soit => alors elles existent
- si la pose d'une couronne est une "justification médicale" de radio alors il n'y a qu'à écrire radio obligatoire, mais comme ce n'en est pas une ce n'est pas écrit
- si la pose d'une couronne ou d'un bridge n'est pas une "justification médicale" alors en cas de demande, le dentiste conseil devrait préciser la "justification médicale" qu'il détermine pour exiger la radio afférente

4/ tu as encore de la chance car le CDC demande bien la ou les radios "médicalement justifiées" donc tu pourrais tenter une réponse auprès du CDC en lui disant que :
- tu n'as pas jugé "médicalement justifié" de réaliser d'autres cliché que ta pano
et
- que si il détermine l'existence d'une justification médicale, à la prise d'un cliché complémentaire à la PANO et qu'il peut trouver dans le guide HAS des indications radiologiques, il veuille bien alors te la donner

5/ l'étape suivante en cas de refus du CDC, c'est recevoir la notification d'indu
tu as 1 ou 2 mois pour saisir la CRA
elle te réponds ( OU PAS )
et après notification tu attends je sais plus le nom

6/ moi ils ont envoyé cette 2eme lettre avant la fin du délai de recours et j'ai de nouveau saisi la CRA qui m'a annulé çà en 5 jours

mais aujourd'hui ils reviennent à la charge


bref défends toi

et j'espère qu'un jour nos syndicats vont agir à la HAS et à la CHAP pour faire modifier ce libellé merdique


--
==================
la csnd a voulu le "fromage" de la CCAM
la SECU a ajouté une tapette autour


X ray 03 medium zvq18j - Eugenol
cyber_quenottes

01/06/2019 à 11h48

relis également le guide HAS


--
==================
la csnd a voulu le "fromage" de la CCAM
la SECU a ajouté une tapette autour


micromega

01/06/2019 à 11h54

Merci Cyber.Pour l instant je lui ai envoye ce que j avais .Tout;je prefere jouer transparent car pas grand chose a me reprocher. Bien au contraire.je vais meme lui faire une pano post traitement.Apres a lui de voir ,il jugera.Je crois au bon sens.La pano de depart est quand meme assez explicite.


Hok 1b hgd3rj - Eugenol
Hokusai

01/06/2019 à 11h54

De la fixe sans rétro pré op ca va quand même être tendu...


Capture d  cran 2015 03 12 12.28 - Eugenol
chicot29

01/06/2019 à 11h55

cyber_quenottes écrivait:
---------------
> relis également le guide HAS
>
>
> --
> ==================
> la csnd a voulu le "fromage" de la CCAM
> la SECU a ajouté une tapette autour

Ah oui le pano est il justifié ? -))))
--
En cas d'échec des négociations conventionnelles, seriez-vous prêt à suivre la promotion d'un déconventionnement massif de la profession par les syndicats représentatifs ? OUI - NON
Participez, anonymement, sur https://goo.gl/forms/nAO0htnsVmxotjYm1


Capture d  cran 2015 03 12 12.28 - Eugenol
chicot29

01/06/2019 à 11h57

micromega écrivait:
---------
> pour complement d info je n ai pas traité les autres piliers ,canaux tres fins
> voire calcfifies ,par contre les dents nécessitaient d etre reconstituees par
> couronnes.26 était déjà couronnee ,asymptomatique depuis des lustres,les autres
> completement usees ou delabrees,voir pano

On voit pas grand chose sur ton pano non indiqué. -)))
--
En cas d'échec des négociations conventionnelles, seriez-vous prêt à suivre la promotion d'un déconventionnement massif de la profession par les syndicats représentatifs ? OUI - NON
Participez, anonymement, sur https://goo.gl/forms/nAO0htnsVmxotjYm1


micromega

01/06/2019 à 11h57

top ta reponse cyber!encore merci


Capture d  cran 2015 03 12 12.28 - Eugenol
chicot29

01/06/2019 à 12h01

Donc si je résume vous me fournissez une radio non indiquée, quasi illisible pour poser un diagnostic et aucune preuve de raisons médicalement justifiée pour demander un remboursement des piliers ? Je me fais l'avocat du diable hein ! Mais si j'étais un CDC en mal de récupération d'indus c'est exactement l'argument que j'avancerais.


--
En cas d'échec des négociations conventionnelles, seriez-vous prêt à suivre la promotion d'un déconventionnement massif de la profession par les syndicats représentatifs ? OUI - NON
Participez, anonymement, sur https://goo.gl/forms/nAO0htnsVmxotjYm1


micromega

01/06/2019 à 12h01

On voit pas grand chose ... radio la 12 avant

29269f7f 0a0f 4b72 920b 47d4cf884bf6 sxnssx - Eugenol

micromega

01/06/2019 à 12h02

chicot,tu dis qu on voit pas grand chose...la 26 elle est comment?couronnee noçn? la 12 elle te parait pas a plat,la 24 complement usee la 11....ca te parait pas peter?


Hok 1b hgd3rj - Eugenol
Hokusai

01/06/2019 à 12h02

Si je me souviens bien de ton cas cyber la seule radio pré op du support de ton bridge inf droit avait qq années non ??


micromega

01/06/2019 à 12h06

je pense etre dans les clous d un point vu cotation car bridge de 26 a 24 possible en ccam,un pilier traite donc 24 on peut la passer au taille crayon ,idem 12 a 14,11 pareil recontituable uniqsuement par couronne,je passe sur la dvo et compagnie comme argumentaire.juste une crainte en ccam la 16.Pour moi le plan de traitement tient la route.Je passe le cote esthetique avant apres…..


micromega

01/06/2019 à 12h12

et en quoi ma pano de diagnostic est non indiquee?comprends pas ton argumentaire ..je n ai traitee que la 12,j ai les cliches recommandes,pour le reste la pano est pour moi suffisante .et la c est une photo de la pano,la qualite reelle est meilleure


X ray 03 medium zvq18j - Eugenol
cyber_quenottes

01/06/2019 à 12h24

Hokusai écrivait:
-------
> Si je me souviens bien de ton cas cyber la seule radio pré op du support de ton
> bridge inf droit avait qq années non ??

oui, j'avais des bons gros piliers dévitalisés plombés à mort ( par autre dentiste )
de vieilles radio de 5 ans
et j'avais assaini la bouche avec 2 avulsions 48 et 46 => bridge 45-47


micromega

01/06/2019 à 12h40

donc aucune radio recente dans ton cas si je comprend bien cyber,?


micromega

01/06/2019 à 13h06

Le truc qui me fait sourire moi c est qu on me fasse chier sur le cas d un agriculteur de 70 balais qui a dû laisser par. Centaines de milliers d’euros de cotisations à la Msa , vu l état bucco-dentaire dentaire on peux pas dire qu il ait abusé , et on trouve moyen d essayer d aller gratter , car c est le but , quelques dizaines d euros du côté du chiendent qui a osé améliorer la situation , sur des piliers ... en cherchant une pseudo justification médicale à des types de radio pllutot Qu une autre . Bref le travail c est sur la durée et le confort qu il sera jugé, et c est ça qui m interesse , pour le reste ... comme dirait l autre ce pays est foutu


X ray 03 medium zvq18j - Eugenol
cyber_quenottes

01/06/2019 à 13h42

non tu fantasmes
de toutes facons à la MSA tu n'as personne qui n'a jamais abusé depuis 200 ans


X ray 03 medium zvq18j - Eugenol
cyber_quenottes

01/06/2019 à 13h44

mais je te le dis
- tu as la chance qu'on te réclame des radios MJ
- tu réponds " je n'ai trouvé aucune JM
et " si vous avez une JM qui vous semble adaptée à la situation et figurant dans le guide HAS => donnez la moi"


--
==================
la csnd a voulu le "fromage" de la CCAM
la SECU a ajouté une tapette autour


X ray 03 medium zvq18j - Eugenol
cyber_quenottes

01/06/2019 à 13h46

et encore, moi j'ai quand même eu un commentaire du CDC qui portait sur une dent N° 45 qui ne figurait ni dans mon bridge ni sur les vieux clichés fournis

la grosse classe déjà


12