Cookie Consent byPrivacyPolicies.comEndodontie enfant 12 ans Besoin de votre avis amis eugenol - Eugenol

Endodontie enfant 12 ans Besoin de votre avis amis eugenol

Chamcle

13/06/2019 à 23h12

Bonjour à tous
J ai besoin de votre avis sur 1 cas
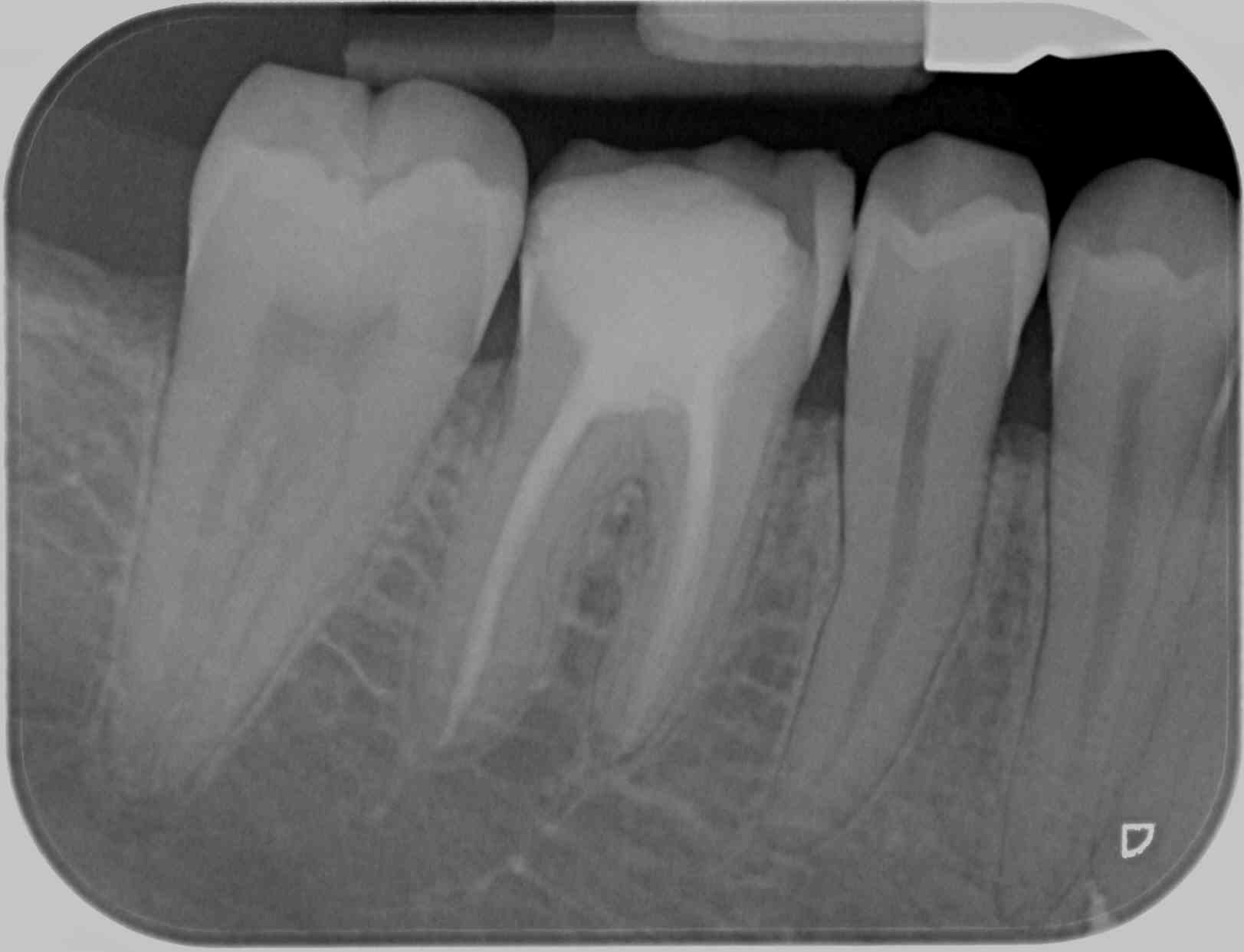
Patiente de 12 ans les 6 ont été extraites il y a 4 ans caries +++ et avis ortho
Partie dans la nature 3 ans revenue avec carie juxta gingivale sur 47 obligée de faire l endo mais aucune butée sur la racine D
J ai réussi l endo tant bien que mal en coupant mon cône de gutta
J’aimerai votre avis sur le pronostic du traitement endo et sur l’avenir de cette dent ?
Que faire par dessus ? Je pensais onlay ipmax ?
Qu’est ce que je dis à la mère ?

Hjevf9asdx9pockv9wkn - Eugenol

Utilisateur banni

14/06/2019 à 05h12

Si tu mets un onlay et que derrière t’as un méga abscès dans 3 mois , la mère va t’en vouloir.

1) gros CVI ou gros compo foulé au pouce
2) 6-12 mois après , tu constates la guérison un gros endo-onlay ou carrément une couronne si pas possible de faire un onlay.


--
Palme d’or de l’académie, Auteur du best-seller « I have mal aux teeth » traduit en 27 langues, Lion d’or greffe du fémur à la mandibule


Capture d  cran 2015 03 12 12.28 - Eugenol
chicot29

14/06/2019 à 07h18


Oui elle va surtout t'en vouloir pour le signalement pour mal traitance que tu va lui coller. -)))

--
En cas d'échec des négociations conventionnelles, seriez-vous prêt à suivre la promotion d'un déconventionnement massif de la profession par les syndicats représentatifs ? OUI - NON
Participez, anonymement, sur https://goo.gl/forms/nAO0htnsVmxotjYm1


Chamcle

14/06/2019 à 07h26


Le pronostic de la dent me semble très défavorable mais elle a déjà plus la 6
Si je fais 1 gros compo ou 1 cvi c’est sur que la dent va peter
Nb patiente cmu


Zorba le grec 1373406512 108 lfk5ey - Eugenol
zorbalegrec

14/06/2019 à 08h52

Inlay core +provisoire
et tu réévalue dans 6à12 mois


Hok 1b hgd3rj - Eugenol
Hokusai

14/06/2019 à 09h32

Une 7 a douze ans ??


Avatar transparent iqadnc - Eugenol
adhoc

14/06/2019 à 09h59

C'est quand on ne s'inquiete pas que la merdouille arrive.
Or tu t'inquietes malgré ton tres beau traitement, donc.....
Ton VIO va tenir deux ans, tu le referas dans un an ou deux, et tu verras d'ici la pour l'IC / couronne


Hok 1b hgd3rj - Eugenol
Hokusai

14/06/2019 à 10h04

Même plus de deux ans, si tu prends un gc equia forte.


Ylfwcw979cz1jnx9gfqeaxndiuzk - Eugenol
Algi

14/06/2019 à 10h22

Juste une réflexion....

Patiente CMU, a priori pas sérieuse du tout, enfin pas elle la pauvrette mais sa mère....

Si pas de signes défavorables pourquoi ne pas lui faire un onlay/overlay qui sera plus solide que ton cvi, pas trop difficile à retailler si ça merde, permettra de gérer si comme l'autre fois elle attend 3 ans pour revenir et accessoirement te permettra de un peu rentabiliser ton endo ?


--
On a toujours le choix mais entre quoi et quoi?
Vas-y boulégue et l'avenir te le dira!


Utilisateur banni

14/06/2019 à 10h26

Quelle est la hauteur coronaire ?
- qui dit enfant dit souvent hauteur coronaire faible
- et si IC de faible hauteur, et si provisoire placé sur l’IC , risque de descellement. Or pour 40 balles la provisoire chez le CMU pendant 6 mois à 1 an => risque que ça part en couille . À moins de sceller avec un ciment définitif ta provisoire.

La provisoire serait à 150 / 200 balles , bon tu peux la refaire si elle casse ou se descelle. Mais là pour 40 balles faut pas abuser non plus

Donc Gros CVI ou gros compo et on attend


--
Palme d’or de l’académie, Auteur du best-seller « I have mal aux teeth » traduit en 27 langues, Lion d’or greffe du fémur à la mandibule


dcs

14/06/2019 à 13h24

Avec une provisoire , tu dis adie u a la dent !!!!
si déjà, il est arrivé avec une den t délabrée nécessitant un ttt canalaire à cet age la , ta provisoire a peu de chance !!!
le mieux pour moi : c est une cc monobloque avec tenon plus clavetage a travers la couronne .
ça peut durer très longtemps , et se transforme visuellement en onlay après 10 ans .
tu "espères" la fracture car c est la seul issue avant implant .


Bebe 038 nf8eum - Eugenol
danteyeah

15/06/2019 à 08h01

Chamcle écrivait:
-------
> Bonjour à tous
> J ai besoin de votre avis sur 1 cas
> Patiente de 12 ans les 6 ont été extraites il y a 4 ans caries +++ et avis ortho
> Partie dans la nature 3 ans revenue avec carie juxta gingivale sur 47 obligée de
> faire l endo mais aucune butée sur la racine D

T’as bien bossé, et on ne fera pas mieux, donc on part du principe que t’as donné toute ses chances à cette dent.
Cette 7 a migré (ortho) en lieu et place de la 6. Elle devient par conséquent un élément primordial du calage occlusal chez cette gamine, il est indispensable de lui permettre de faire correctement son job si possible le plus longtemps possible. Elle est délabrée à raz de gencive voir plus bas: le collage va être acrobatique d’autant Plus que la valeur d’email résiduel semble faible, le plus étant l’enem du bien, il vaudrait mieux sceller, dans ce cas, donc couronne. Le panier CMU t’impose la CC, mais l’occlu Et le bon sens savent que ce matériau ne permet pas une intégration optimale. À toi de le faire comprendre à la maman: ici c’est CCM ou CCC scellée. Et si l’ortho a réussi la translation des 7, peut-être pourrait-il faire de même avec les 8.

> Que faire par dessus ? Je pensais onlay ipmax ?
> Qu’est ce que je dis à la mère ?

Si tu t’inquiètes De l’avis de la maman, c’est Qu’apparemment elle est exigeante, donc on remet les choses à leur place et tu commences par la responsabiliser sur son éducation alimentaire et hygiénique, en la faisant raquer un peu ça lui mettra du plomb dans le crâne.


Bagheera tudzjy - Eugenol
bagheerra

15/06/2019 à 10h38

J'ai réalisé cette endo quand le patient avait une dizaine d'année (et sans digue, à l'époque...), il n'est revenu que 10 ans après avec son CVI, certes infiltré mais la dent reste largement conservable. Il a eu du bol.

C4 bcqi8x - Eugenol

4a338550 6a5b 47ea b2a7 d3cb675c5076 oni5gh - Eugenol
fistule 69

15/06/2019 à 11h22

Sans la digue...
La dent est foutues, demande aux capotards !
😷😜