Tous les forums
Expulsion 21
17/06/2019 à 09h10
Bonjour,
Petite de 6 ans, accident de trampoline début janvier, expulsion de 21 (18h). La maman ne trouvant pas de dentiste emmène sa fille (avec la dent immergée dans de l'eau) aux urgences du chu. Elle est reçue par un médecin généraliste qui la renvoie chez elle avec une ordonnance de doliprane et une invitation à consulter un dentiste le lendemain (c'est la nuit).
La maman consulte donc un dentiste le lendemain à 11h (+17h après l'expulsion) qui réimplante la dent + contention sur 11 en éruption.
Depuis, 2-3 visites de contrôle, la dent ne répond pas au froid.
Aujourd'hui elle consulte chez moi (donc 6 mois après) pour un avis car elle ne sait toujours pas quelle sera l'évolution et a peur que la contention toujours présente empêche 11 d'évoluer.
Au delà du fait que l'issue de sa consultation aux urgences constitue une grosse perte de chance (certes ils sont débordés et c'était un médecin et non un dentiste) quelle serait votre attitude?
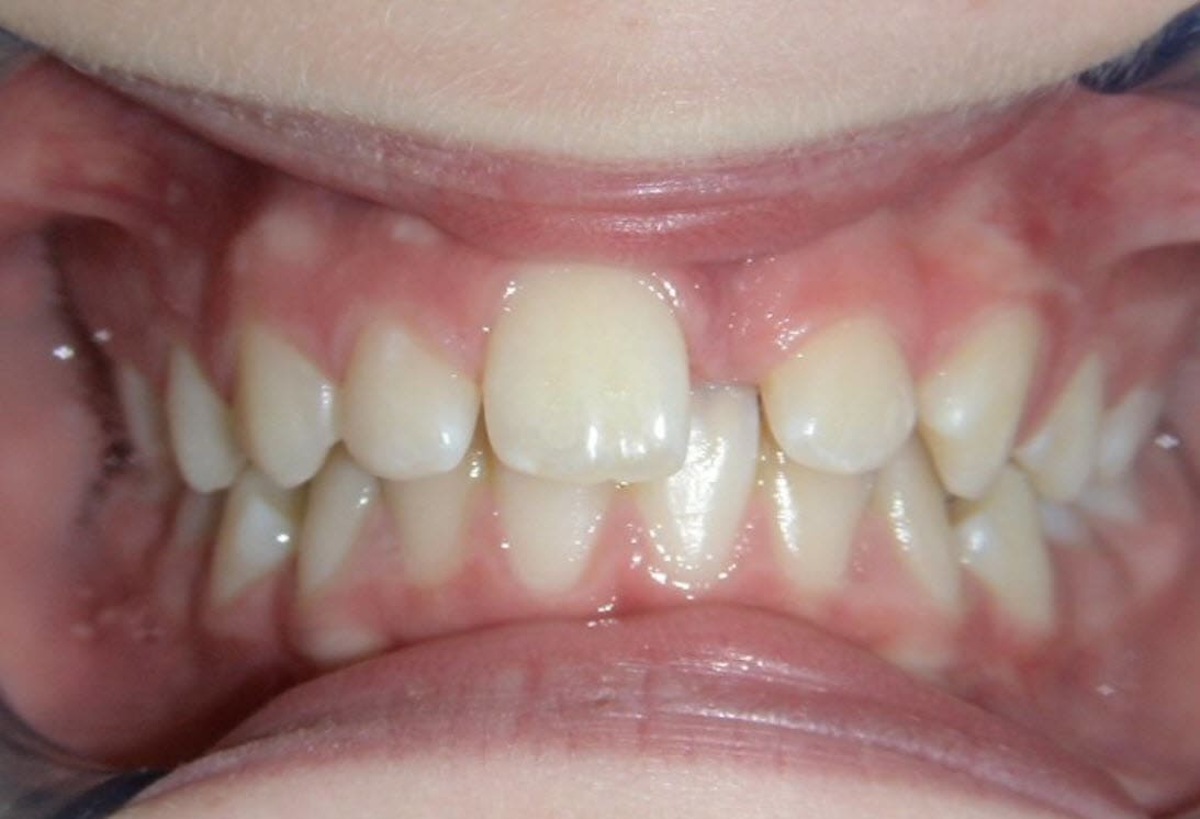
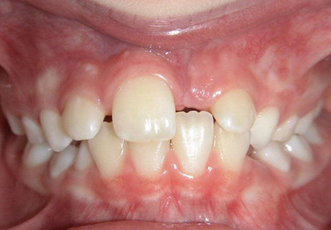
- denture mixte (même si elle est en avance) avec 11 et 21 vestibulées et 12 et 22 palatines tendance classe II div 1
- fistule V en regard de 21
Je vous joint la rx
Pour moi 21 n'est évidemment plus conservable, quid de quand extraire, comment obtenir un rendu esthético fonctionnel convenable jusqu'à ses 18 ans. Et effectivement la contention va t'elle retarder l'évolution de 11.
Je précise que la maman fait le tour des dentistes, elle a prévu d'aller voir un ortho prochainement donc de grandes chances que je ne la revoie pas, néanmoins j'aimerai progresser et connaître vos avis.
Merci
17/06/2019 à 11h50
perdu pour perdu, j'essayerai de prolonger:
ouverture rincage abondant ++ à l 'hypo puis 15 jour de caoh.
en 2 ième séance oburation complete de la racine à la biodentine.
on a fait ca qq fois au DU de pédo
17/06/2019 à 12h33
ah ouais? Mais là c'est pas un apex que j'ai c'est une autoroute. C'est pas un risque de balancer de l'hypochlorite, de l'hydroxyde de Calcium et autres joyeusetés dans un péri apex déjà bien traumatisé?
17/06/2019 à 14h14
Ça peut pas être pire de toute façon. Après j ai dit irrigation ++ mais sans pression
17/06/2019 à 16h18
>extraction 11
bridge collé avec 1 ou 2 ailettes sur 11 22<
ouarfff. Le jeu sutural tranversal va entrainer la chute du bridge collé dans les 6 mois, avec tous les risques d'inhalation pour la petite.
Gagner du temps avec les bons conseils de gloglo plus haut est la seule alternative. Si aggravation et extraction il reste la plaque de Hawley avec verrin median et une incisive pour la déco... ou rien...
17/06/2019 à 16h34
Bridge collé à 6 ans vaut mieux oublier....
+1 pour adhoc
Idéalement sauver la dent pour garder os et place pour implant plus tard, gloglo t'a expliqué.
Ps: implants.... On dit maintenant qu'il faut attendre 22 ou 24 ans car resterait de la croissance.....
--
On a toujours le choix mais entre quoi et quoi?
Vas-y boulégue et l'avenir te le dira!
18/06/2019 à 13h21
100% d'accord avec Glo
un bon nettoyage canalaire avec les ultra-sons
et caoh
puis MTA
en espérant que les parents soient mutés vite
18/06/2019 à 14h19
Question bête : pourquoi dans ce cas vous ne faites pas un bouchon Biodentine ou MTA puis une obturation au CVI qui consolidera les parois très fragiles de la racine ?
--
Palme d’or de l’académie, Auteur du best-seller « I have mal aux teeth » traduit en 27 langues, Lion d’or greffe du fémur à la mandibule
18/06/2019 à 14h49
professeur-labiche- écrivait:
-------------------
> Question bête : pourquoi dans ce cas vous ne faites pas un bouchon Biodentine ou
> MTA puis une obturation au CVI qui consolidera les parois très fragiles de la
> racine ?
>
La biodentine sur toute la hauteur sera plus étanche que le cvi. En plus mieux vaut se retrouver avec de la biodentine que du CVI dans l'os ( si la résorption continue )
De toute façon on ne va pas ré-intervenir sur cette dent
20/06/2019 à 16h53
Aujourd'hui, on sait qu'un implant incisive unitaire est à proscrire jusqu'à un âge très très tardif. Même à 40 ans il y aura des problèmes déplacement plus tard. C'est avéré.
Mieux vaut oublier l'implant.
Si l'on désire remplacer la dent perdue, le bridge collé avec une seule ailette sera bien la meilleure solution prothétique.
Cela dit, j'attends toujours qu'on me montre avec un recul de quelques dizaines d'années un cas où on a remplacé prothétiquement à la fin de l'adolescence une 11 ou une 21 éjectée par traumatisme dans l'enfance.
Pour moi qui en ai traité orthodontiquement un certain nombre depuis le début de mon exercice, la meilleure solution est la fermeture d'espaces suivie de coronoplasties.
Voici un cas entre autres, à 10 ans, 12 ans et 20 ans. Ce sont ses propres dents naturelles, il n'y a ni implant ni pont collé. Le positionnement correct des dents, les symétries, c'est le boulot de l'orthodontiste, c'est à lui de se débrouiller. On a suffisamment de moyens aujourd'hui pour déplacer les dents comme on en a envie.
Pour résumer, tu t'amuses à traiter cette dent si tu en as envie, mais à terme c'est fermeture d'espace !
Donc, l'idéal est quand même de virer cette dent et de laisser l'espace se refermer comme il le peut spontanément dès que possible.
Daniel
20/06/2019 à 21h29
Magnifique cas Dancha ! Bravo !
Et en plus je suis confortée dans mon choix de privilegier au maximum la fermeture des espaces en cas d'absence dentaire anterieure .
21/06/2019 à 08h07
Je te félicite Dancha pour ton traitement mais je ne trouve pas le résultat « magnifique »
21/06/2019 à 08h22
Si là , tu ne tentes pas l extraction ,endo , reimplantation alors tu ne le tenteras jamais .
21/06/2019 à 16h51
Denteo33 écrivait:
--------
> ..
> je ne trouve pas le résultat « magnifique »
Cette remarque me fait à la fois sourire et me rend un peu triste.
Sourire parce que je ne me souvenais plus du tout du cas quand j’ai rencontré par hasard pas mal d’années plus tard cette jeune femme en reprenant contact avec un club de sport que j’avais fréquenté assidument et que j’avais délaissé. Je ne l’ai absolument pas reconnue. Quand je l’ai vue, elle arborait un tel large et magnifique sourire que je me suis dit (c’est authentique) que si elle avait eu un traitement orthodontique il était bien réussi. Mais quand elle-même m’a vu, elle est venue spontanément vers moi pour me faire la bise comme si elle me connaissait bien. J’ai fait comme si je la reconnaissais aussi et l’ai félicitée pour son beau sourire. Ce à quoi elle m’a répondu « Oh oui, tout le monde me le dit, et c’est grâce à vous, et en plus, personne ne remarque qu’il manque une dent ! ». J’avoue ne pas avoir très compris sur le moment, mais comme j’avais entendu son prénom, j’ai cherché dans mes dossiers qui cela pouvait être… C’est le cas que je vous ai montré.
Un peu triste parce je me demande bien pourquoi Denteo33 a fait cette remarque désobligeante. Elle n’est pas argumentée et n’apporte strictement rien à la discussion. Montre-il lui-même ce qu’il réalise ?
enlaye écrivait:
------
> Si là , tu ne tentes pas l extraction ,endo , reimplantation alors tu ne le
> tenteras jamais .
Il ne faut pas rêver, cette dent présente d’importantes résorptions à la fois externes et internes, elle est dans un tel état qu’il n’est pas pensable d’espérer une apexification. Elle est foutue !
Cette jeune fille n’est pas un cobaye. Ses parents et elle sont certainement très angoissés pour la suite. Il faut leur dire la vérité mais surtout les rassurer pour l’avenir en expliquant que cette situation ne durera qu’un temps, qu'elle aura quand même plus tard un beau sourire et leur montrer des cas similaires avant et après traitement. Vous pouvez prendre les photos que j’ai publiées plus haut.
Daniel
21/06/2019 à 19h17
Denteo33 écrit:
"Je te félicite Dancha pour ton traitement mais je ne trouve pas le résultat « magnifique »
Dancha écrit:
"Un peu triste parce je me demande bien pourquoi Denteo33 a fait cette remarque désobligeante. Elle n’est pas argumentée et n’apporte strictement rien à la discussion. Montre-il lui-même ce qu’il réalise ?"
Alors, si tu es triste de ma remarque c'est que je me suis fait très mal comprendre.
Ton traitement orthodontique semble particulièrement réussi mais, je me permets également de dire que je ne trouve pas le résultat "magnifique", éclatant et splendide : je vois bien que la canine est maquillée en incisive latérale.
Oui je montre, avec beaucoup moins de talent, quelques cas que je réalise (pas en orthodontie ; je n'en ai pas la qualification)
22/06/2019 à 00h52
Dancha écrivait:
------
" Il ne faut pas rêver, cette dent présente d’importantes résorptions à la fois externes et internes, elle est dans un tel état qu’il n’est pas pensable d’espérer une apexification. Elle est foutue ! "
ah mais on s en fout de l apexification , tu enleves la dent , tu mets un bouchon à l apex avec ce que tu veux de la gutta ou mieux de l irm , éventuellement tu remplis le canal , tu curettes bien l alveole , et tu remets la dent . quand ça prend ça dure des années . jusqu'à l' implant .
le pb ici ç est que la 1ere réimplantation ait eu lieu 17h après , ce qui est très défavorable (.risalyses )
22/06/2019 à 01h12
Merci Dancha de nous "donner" tes photos meme si j'hesiterai a les montrer a mes patients de peur de ne pas parvenir a un aussi beau resultat ( n'en deplaise a Denteo33) et ils risquent d'etre déçus .
quant au maquillage de la canine en laterale ,, cela ne semble pas avoir traumatisé la patiente ( normal, vu d'ou elle vient , elle ne pouvait qu'apprécier le changement ) . perso , je penserais presque que cela donne une "personnalité" au sourire .
22/06/2019 à 06h09
Je trouve que Gloglo a la meilleure solution. La biodentine sera mieux tolérée en cas de résorption ....
Et dans le cas d’une expulsion et d’une perte de la dent , la meilleure solution est le maintien de l’espace .
J’ai un cas d’une jeune fille qui a été très bien gérée par son ortho . Elle portait des gouttières pour maintenir l’espace , et dans la gouttière au niveau de la dent manquante de la résine. Là elle se pointe au cabinet pour le remplacement de sa dent manquante par un implant . À 18 ans peut-on poser l’implant ou n’est-ce pas plus raisonnable d’attendre 20-21 ans ?
D’ailleurs Dancha pourquoi n’as tu pas maintenu l’espace pour pouvoir laisser un praticien poser l’implant plus tard ? Pas possible ?
--
Palme d’or de l’académie, Auteur du best-seller « I have mal aux teeth » traduit en 27 langues, Lion d’or greffe du fémur à la mandibule
22/06/2019 à 07h03
En même temps, actuellement, je dirai que 1 urgence sur 5 est une bridge colle transitoire en attente d'implant unitaire à recoller...
Tiens je vais ouvrir un post dessus
22/06/2019 à 07h21
professeur-labiche- écrivait:
-------------------
> .....
> .....
> D’ailleurs Dancha pourquoi n’as tu pas maintenu l’espace pour pouvoir laisser un
> praticien poser l’implant plus tard ? Pas possible ?
>
J'ai déjà répondu, Professeur !
Un implant unitaire antérieur est à proscrire comme solution prothétique, même très tardivement (40 ans). J'ai appris ça moi-même il n'y a pas très longtemps lors d'une conférence de Jean-Marc Dersot dans un congrès où j'intervenais aussi. J'ai longuement discuté avec lui, il m'a cité un certain nombre d'études récentes (je n'ai malheureusement pas retenu leurs références).
Le problème est que le vieillissement du visage entraîne un déplacement naturel des dents alors que l'implant, lui, ne bouge pas.
D'autre part, on a beau maintenir l'espace, on ne maintient pas l'os, ce qui posera ausi problème au praticien pour mettre l'implant..
Je sais bien que les implantologistes ont des moyens pour gérer ça, notamment avec des greffes, qu'on peut aussi limiter la perte osseuse avec des microvis posées transversalement au niveau du site (il y a un article original là dessus publié sur le site innoralis.fr par mon associée chirurgien orale), mais la solution la plus élégante, la plus simple et la plus pérenne me paraît aujourd'hui être d'amener de l'os en déplaçant les autres dents dans l'espace édenté.
Daniel
22/06/2019 à 08h27
Très sincèrement il y a une chose qui m’échappe. Donc à chaque fois qu’une personne jeune ou pas jeune perd une dent , on ne met pas d’implant en antérieur par ce qu’il ne bouge pas ?!????? Qu’est ce que c’est que cette histoire ? Une fois la croissance terminée, un implanto peut très bien intervenir au niveau de l’os et poser un implant. Si il y a contrôle régulier je ne vois pas où est le problème.
--
Palme d’or de l’académie, Auteur du best-seller « I have mal aux teeth » traduit en 27 langues, Lion d’or greffe du fémur à la mandibule