Cookie Consent byPrivacyPolicies.comIdentification implant - Eugenol

Identification implant

Pierre logo clykpp - Eugenol
Denteo33

18/06/2019 à 19h22

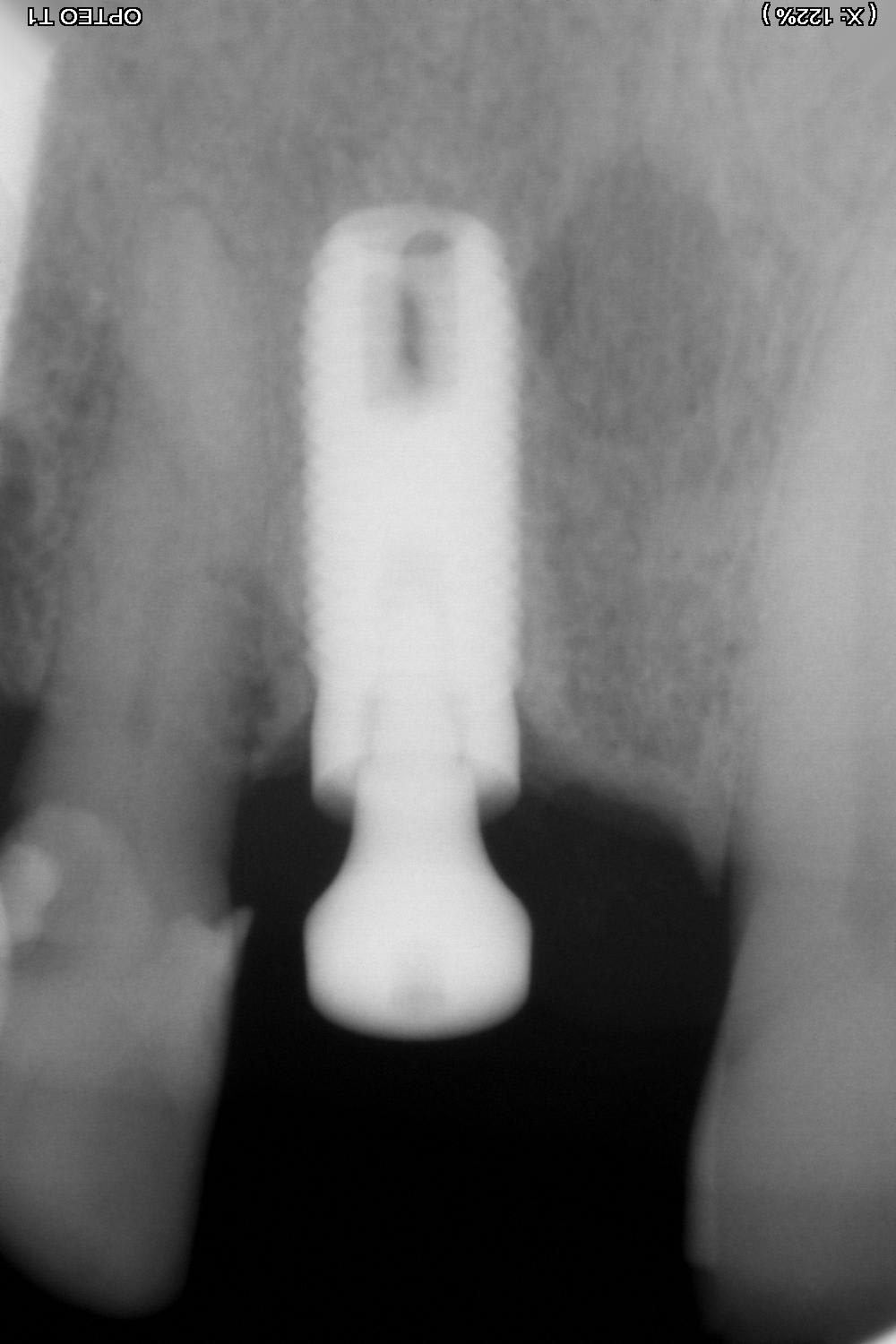
Quel est cet implant posé en 2004 à Strasbourg?
Merci!

Orsqg8pfiwpjled70xrp - Eugenol

Pierre logo clykpp - Eugenol
Denteo33

18/06/2019 à 19h28

Je dirais Screw Vent de chez Zimmer ...


Photo pluton1b h9n4ea - Eugenol
pluton

18/06/2019 à 21h55

ouaip screwvent zimmer...
par contre la vis de cicat correspond absolument pas.....là je dirais que c'est un 4.7mm donc plateforme 4.5mm