Cookie Consent byPrivacyPolicies.comCas complexe - Eugenol

Cas complexe

Capture d écran 2017 10 13 à 17.54 - Eugenol
HommeBU

18/06/2019 à 20h18

Bonjour à tous,

J'aurai besoin de vos avis pour un cas qui me pose problème.
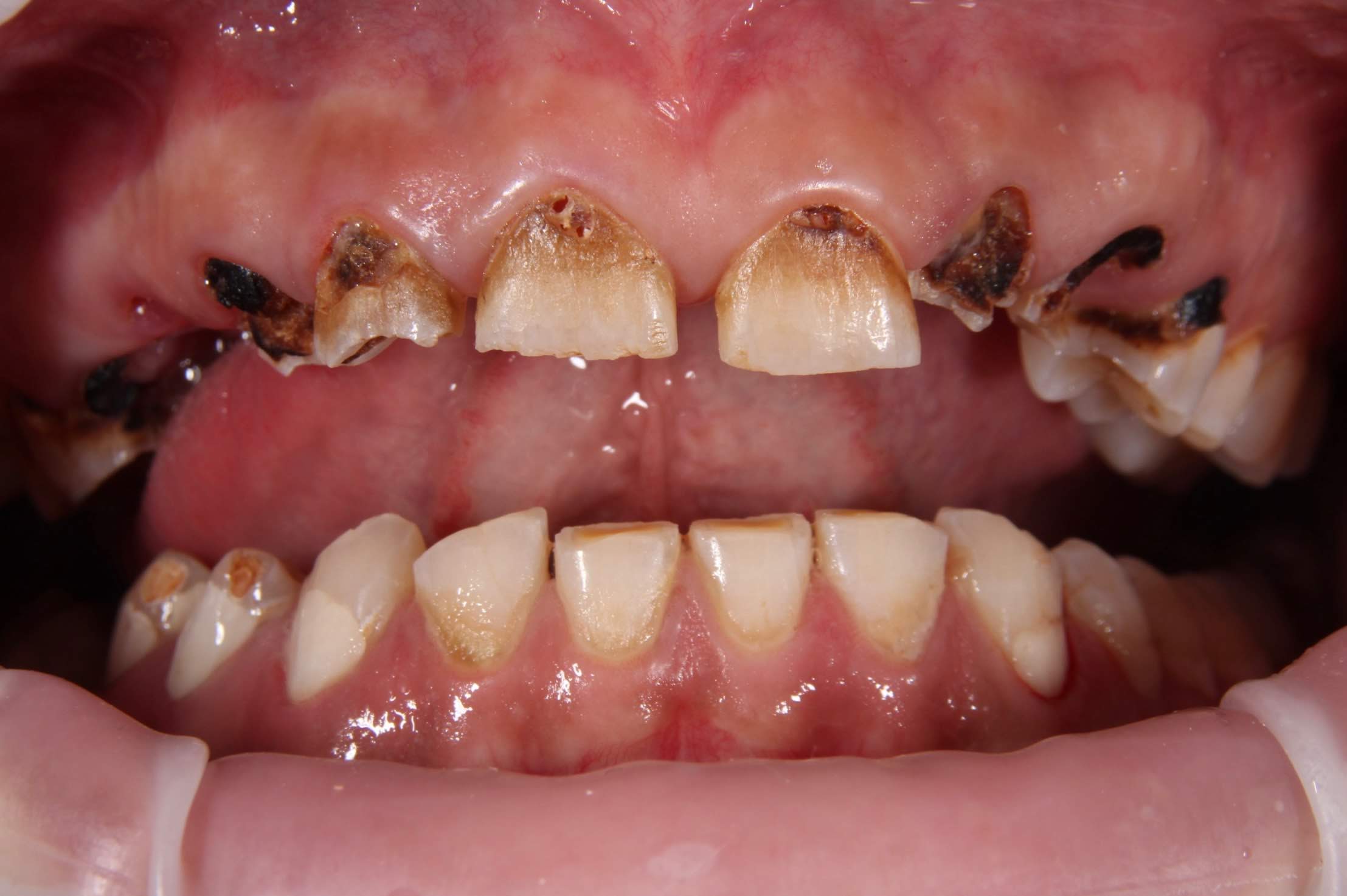
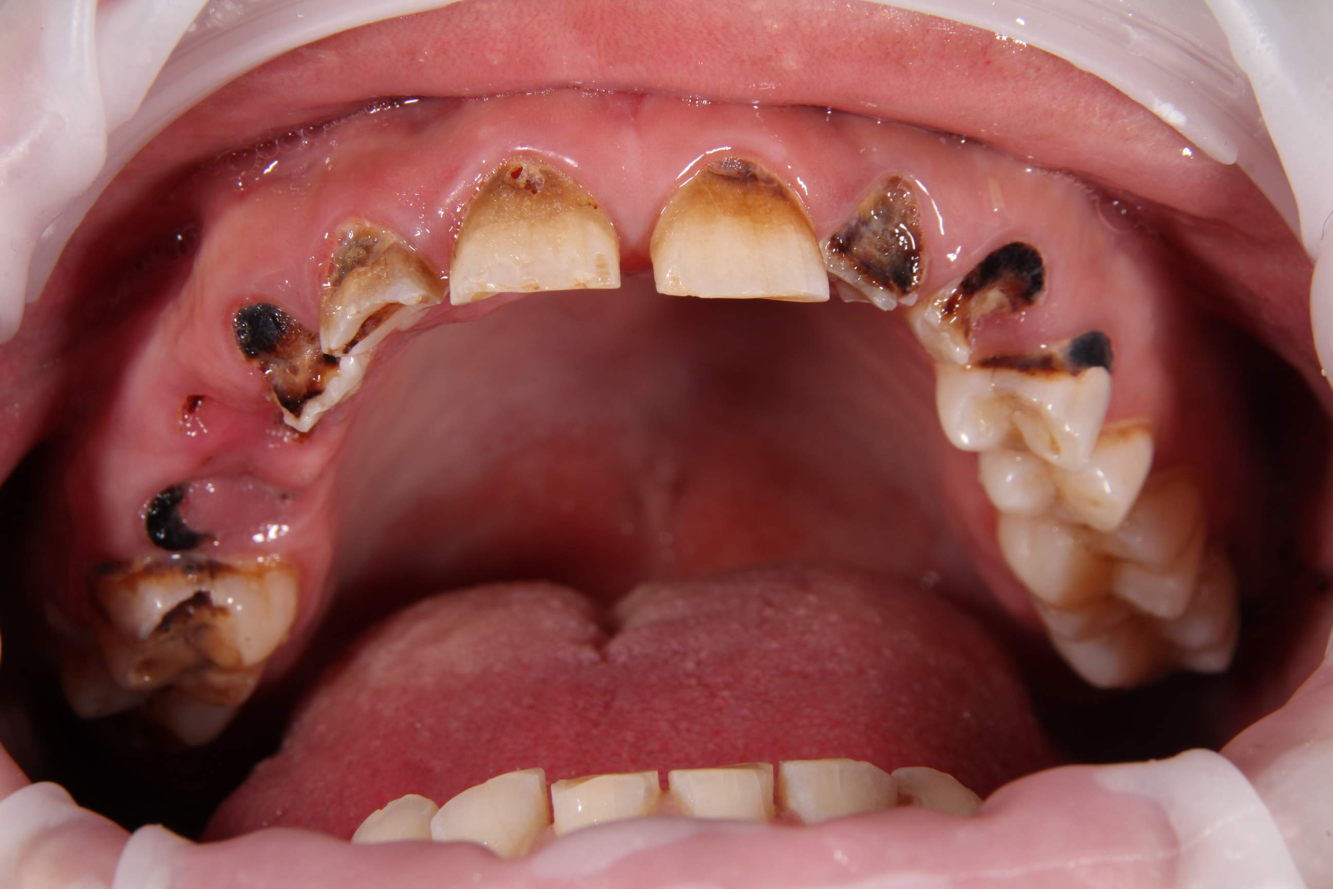
Jeune patient de 27 ans, ancien consommateur de pas mal de choses, sevré avec des traitements médicamenteux dont je vous passe la liste,
Très motivé, il se reprend en main et les dents sont son prochain objectif. Il est à la CMUc.
Vous pourrez admirer sur les photographies les ravages de la drogue, digne des avertissement d'un paquet de tabac.
J'ai réalisé dans un premier temps un suivi de sa motivation en traitant avec des CVI les caries vestibulaires maxillaires et mandibulaires avec des conseils d'hygiène qui vont bien. Cela fait plusieurs semaines que nous nous revoyons et la motivation est bien là, l'aspect gingival s'améliore petit à petit.

Concernant le plan de traitement :
- Les 8 ainsi que les racines secteur 1 seront extraites
- Les conservations de 22/23 et 13 sont un peu compromises, au vue des limites mais les racines sont longues, je me pose la question d'élongations coronaires pour retrouver du support dentaire.
- Mon problème se situe sur la DV : elle est complètement effondrée en antérieure avec des usures +++, je n'ai pas d'espace prothétique.
Pourtant en postérieur les usures ne sont pas si marquées.

Si je remonte la DV pour gagner suffisamment en antérieur j'ai peur d'avoir des secteur postérieurs trop "haut",
Mon associée m'a conseillé d'essayer de gagner de la hauteur en jouant sur la rotation du condyle pour éviter de trop augmenter en postérieur, niveau enregistrement je ne vois pas bien comment faire ....

Question réalisation également, le patient étant CMU, des overlay/table top comptent comme des onlay ? Ou NPC ?

Bref quels seraient vos idées de plan de traitement ?

Qxmdpl7cah1ovs3xoqij - Eugenol
Cii5ssfthuusw4uwaae0 - Eugenol
H8biqzcfw4v7vljurksa - Eugenol
Mezqvzczqmeaopumisvd - Eugenol
Aq2xlwehzwezpnivlbg8 - Eugenol
Nnrhmaedjgmjh0srved4 - Eugenol
V9xwqp8kgxhurbsiupu1 - Eugenol
Vbnz9gjsjubtd0bnrf4d - Eugenol
U6gfh2ajxhysryqxocmx - Eugenol
Vowk2tszsz4shqsljcsx - Eugenol
Syw7wwqzucsjmtyjdhlp - Eugenol

Vw campersurfvan bmnk1q - Eugenol
enlaye

18/06/2019 à 21h25

HommeBU écrivait:
-------

" Mon associée m'a conseillé d'essayer de gagner de la hauteur en jouant sur la rotation du condyle pour éviter de trop augmenter en postérieur, niveau enregistrement je ne vois pas bien comment faire .... "

moi non plus :-)


Utilisateur banni

18/06/2019 à 21h55

HommeBU écrivait:
-------
> - Mon problème se situe sur la DV : elle est complètement effondrée en
> antérieure avec des usures +++

La DVO est « effondrée » avec un calage de tout le secteur gauche sur des molaires à peine usées .....


--
Palme d’or de l’académie, Auteur du best-seller « I have mal aux teeth » traduit en 27 langues, Lion d’or greffe du fémur à la mandibule


Nouveau image bitmap fz77zh - Eugenol
Sethef

18/06/2019 à 22h06

D'un point de vue médical ou technique?

Du point de vue médical, avant la toxicomanie, l'étiologie de ta polycarie c'est surtout soda/absence d'hygiène, hygiène toujours parfaitement inexistante sur les photos.
Du coup, afin d'éviter à ce jeune homme de passer sa vie chez le dentiste, un stellite en haut, et des coiffes en bas dans quelques années si il est sage, ça semble le mieux pour lui, et pour la société.

Du point de vue technique, il est peu probable que la dv soit effondrée, puisque les postérieures ne présentent pas d'usure occlusale. L'usure acide des antérieures s'étant accompagnée d'une egression du parodonte, c'est ce qui explique la couronne clinique courte. Si tu lui montes sa dv, tu lui fais la tronche des bogdanof. Donc élongations coronaires et coiffes de 5 à 5.
Mais ça, encore une fois, c'est valable pour un gonze de 50 berges qui a grandi et qui se brosse les dents. Là ton bonhomme, l'assagissement, ça se juge sur plusieurs années. Sauf si le but c'est de lui coller pour 10k de prothèse chinoise sur le compte du contribuable; mais j'imagine que ce n'est pas le cas, si?


Capture d écran 2017 10 13 à 17.54 - Eugenol
HommeBU

18/06/2019 à 22h07

Je me suis mal exprimé, je parle plutôt d'espace prothétique car effectivement la DV est conservée en postérieur mais je n'ai aucun espace prothétique antérieur


Capture d écran 2017 10 13 à 17.54 - Eugenol
HommeBU

18/06/2019 à 22h25

Sethef écrivait:
------
> D'un point de vue médical ou technique?
Mon problème est surtout technique, mais sur le plan médical le patient est bien conscient qu'on ne rattrapera pas autant d'années de négligences facilement et que son assiduité sera mise à rude épreuve au fur et à mesure des étapes cliniques.

> Du point de vue médical, avant la toxicomanie, l'étiologie de ta polycarie c'est
> surtout soda/absence d'hygiène, hygiène toujours parfaitement inexistante sur
> les photos.
Les photographies ont été faites avant de voir les premiers effets de la motivation à l'hygiène, ce n'est certes pas parfait (et vous avez raison cela demandera du temps) mais il y a du mieux, l'achat d'une bad électrique etc ...

> Du coup, afin d'éviter à ce jeune homme de passer sa vie chez le dentiste, un
> stellite en haut, et des coiffes en bas dans quelques années si il est sage, ça
> semble le mieux pour lui, et pour la société.
>
> Du point de vue technique, il est peu probable que la dv soit effondrée, puisque
> les postérieures ne présentent pas d'usure occlusale. L'usure acide des
> antérieures s'étant accompagnée d'une egression du parodonte, c'est ce qui
> explique la couronne clinique courte. Si tu lui montes sa dv, tu lui fais la
> tronche des bogdanof.
Merci de votre analyse pertinente,
Effectivement je me suis corrigé je parlais plutôt d'espace prothétique vu que les usures postérieures sont faibles

> Donc élongations coronaires et coiffes de 5 à 5.
> Mais ça, encore une fois, c'est valable pour un gonze de 50 berges qui a grandi
> et qui se brosse les dents. Là ton bonhomme, l'assagissement, ça se juge sur
> plusieurs années. Sauf si le but c'est de lui coller pour 10k de prothèse
> chinoise sur le compte du contribuable; mais j'imagine que ce n'est pas le cas,
> si?
Absolument pas, mon objectif c'est de faire à termes un plan de traitement fonctionnel, cela impose comme vous l'avez suggéré des phases de transition, probablement avec de l'amovible, mais sur la réalisation des étapes je me perds un peu.
Je suis en collaboration depuis 1,5 ans, thésé depuis 3 mois, je n'ai pas du tout de recul pratique sur ce genre de cas ^^


Vw campersurfvan bmnk1q - Eugenol
enlaye

18/06/2019 à 22h31

HommeBU écrivait:
-------
" Je suis en collaboration depuis 1,5 ans, thésé depuis 3 mois, je n'ai pas du tout de recul pratique sur ce genre de cas ^^ "

refiles le à ton patron , et si ç est lui qui te l a refilé ç est qu il t a pris pour un con .


Nouveau image bitmap fz77zh - Eugenol
Sethef

18/06/2019 à 22h39

Ben le patron, il le sait que ça ira nul part, cte blague.


Capture d écran 2017 10 13 à 17.54 - Eugenol
HommeBU

18/06/2019 à 22h40

enlaye écrivait :
> refiles le à ton patron , et si ç est lui qui te l a refilé ç est qu il t a pris
> pour un con .
Avec la patientèle de campagne qu’on a je progresse vite 😅


Nouveau image bitmap fz77zh - Eugenol
Sethef

18/06/2019 à 22h42


> Absolument pas, mon objectif c'est de faire à termes un plan de traitement
> fonctionnel, cela impose comme vous l'avez suggéré des phases de transition,
> probablement avec de l'amovible, mais sur la réalisation des étapes je me perds
> un peu.

Ouaip, des phases de transition. 27 ans, stellite du haut, 35 ans coiffes en bas, 50 ans implants si il s'est refait une vie, ou complet sinon.


Vw campersurfvan bmnk1q - Eugenol
enlaye

18/06/2019 à 22h51

HommeBU écrivait:
-------
" Avec la patientèle de campagne qu’on a je progresse vite 😅 "

ben ça a l air , quand tu seras grand tu pourras toi aussi jouer à la rotation du condyle .


Capture d écran 2017 10 13 à 17.54 - Eugenol
HommeBU

18/06/2019 à 22h57

Comme disait Sethef je suis pas certain que ma patronne y voit plus clair que moi


Vw campersurfvan bmnk1q - Eugenol
enlaye

18/06/2019 à 22h59

eh, tu sais , il se trompe rarement le Sethef :-)


3395 40 umvzjn - Eugenol
Aspius

18/06/2019 à 23h04

Elle a surtout compris que y'avait pas un rond a gratter, pour un boulot plutôt technique et long.


Utilisateur banni

19/06/2019 à 07h40

On a essayé de lui faire une rotation des condyles à celui-là, ça s’est mal terminé


--
Palme d’or de l’académie, Auteur du best-seller « I have mal aux teeth » traduit en 27 langues, Lion d’or greffe du fémur à la mandibule

53da78b9 1921 4744 ac58 dccaadc8a6ad g73rmh - Eugenol

Aiguille cyboyt - Eugenol
fatboy

19/06/2019 à 10h02

Les goonies!