Cookie Consent byPrivacyPolicies.comFélure radiculaire ou odontalgie idiopathique ? - Eugenol

Félure radiculaire ou odontalgie idiopathique ?

felureoupas

19/07/2019 à 15h51

Bonjour le groupe,
Jeune Assistante dentaire dans le Loiret.
Je souffre de douleurs dentaires depuis 3 ans.
Mon boss est désemparé car il ne voit rien. Alors par désespoir de cause, je m'adresse à vous avant d'aller à la pitié salpétrière ou il m'a conseillé de voir le professeur Yves Boucher spécialiste en douleur orofaciale.

Mon anamnèse :
J'ai refait pas mal de couronne et d'onlay il y a 3 ans.
A la suite de cela, j'ai eu quelques épisodes douloureux sans trop de cause réelle.
Du coup, on a arrêté les reprises de traitement.
Néanmoins une régularité : au moins une fois par an, je souffre de brulure/picotements sur zone 36/37 cela dure quelques semaines et cela passe (j'ai pris du laroxyl). Et mal de manière aiguë ponctuellement sur cette même zone en mangeant des éléments fibreux.
Douleurs/brûlures plus fortes le matin...moins l'après midi.

C'est la situation actuelle : je me réveille avec ces brulures qui me titillent et ce midi..ouille en mangeant du pain.

Avec mon chef, on a donc discuté de toutes les pistes dont
fêlure radiculaire, symptôme sournois.
Pour lui RAS : tests divers non concluant
Il est penaud et perdu..comme moi : et passer par le stade codeine..voire laroxyl/lyrica ou autre rivotril....me gêne un peu pour pas dire m'angoisse.

Je fini par désespoir de lui demander de faire l'endo de cette 36 mais il refuse : pensant que la dent est saine et voulant la préserver au maximum.

Je fini par avoir le moral en berne avec cela.
Que faire endo chez un exclusif pour inspection de la cavité ?
Rien c'est sain tout cela ?
c'est dans votre tête ma petite dame voyez la pitiésalpetriere en effet ?

vraiment je suis paumé : la radio semble nickel : pas de poche, pas de granulome
je fais appel au meilleur dentiste "House" du forum pour avoir son avis

Bonne journée


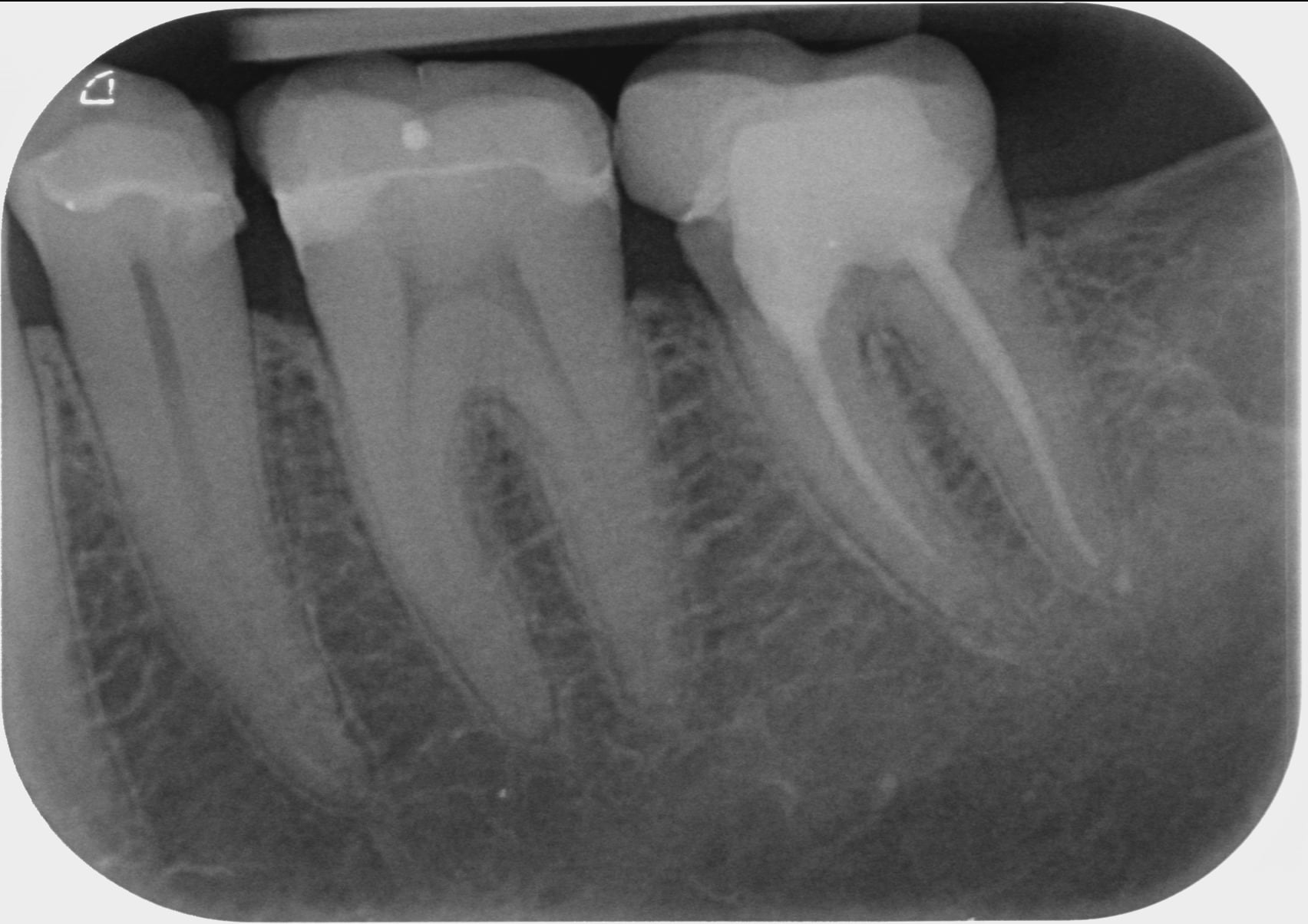
En PJ la rétro de la zone prise en 2016, 2018 et il y a un mois




Iocvs94ckqpch2i8xzbw - Eugenol
Tt6s3elckld25ibjc6mh - Eugenol
Flwt8bhgutvbmvvgpwea - Eugenol

Édouard62

19/07/2019 à 16h21

bonjour le point de contact entre 35 36 n'est pas bon et un truc m'interpelle douleur aux aliments fibreux. Pareil pour ajustage de la 47..... Avez voius du bourrage alimentaire

Ca ne serait pas un syndrome du septum???


felureoupas

19/07/2019 à 16h23

Bonjour (et merci) Edouard
Oui les points de contacts ne sont pas top
Et j'ai eu un saignement entre la 36/37 il y a 10 jours
Mais actuellement RAS
je passe hydrojet et brossette tous les jours (ou presque).
Et un pb de septum...ne traine pas plus d'une semaine je pense
mais oui Bonne piste


felureoupas

19/07/2019 à 16h29

et oups c'est mon boss qui a fait ces onlays et couronne (Cerec)
dur de lui dire que ces points de contacts pas top..mais si il faut..il faut
Edouard 62 : le septum peut il engendrer une infection bactérienne dans le parodonte plus profond que l'espace interdentaire ?
Cela se verrait sur la rétro je pense ?



Vw campersurfvan bmnk1q - Eugenol
enlaye

19/07/2019 à 16h44

ç est peut être tout simplement occlusal .
est ce que ce ne serait pas le premier contact en fermeture dans cette zone ?


Édouard62

19/07/2019 à 17h13

je suis persuadé qu'en reprenant les reconstitutions avec de bons points de contact ET en supprimant tous
les excès de colle, ca le fera...


6szjws718sv1jksw54v4mpj3a6cu - Eugenol
vulpi

19/07/2019 à 17h18

dans l'ordre,
brossettes, fil dentaire, nettoyage après chaque repas des espaces inter-dentaires, cure de dentex?
analyse (équilibration si besoin) occlusale (fermer les pt ctc avec???)
réévaluation... reprise des obturations, 1? .. 2? ...3? si besoin.
et voir proximité corne pulpaire 46.

Il y a obligatoirement des bourrages alimentaires (gène aliments fibreux... donc faire les choses dans l'ordre).

C'est quoi le code pour le traitement d'un bourrage alimentaire... ?-) Yobi??? Yoba??? Ah on me dit à l'oreillette "attendre les caries et deux CR +IC+Prov", merkiki???


felureoupas

19/07/2019 à 17h44

Merci tout le monde
Les points de contact ont été vérifiés
Donc normalement ras de ce côté

Personne ne met un euro sur une sournoise fêlure radiculaire ?
Je suis pour ma part dans l intuition que cela pouvait être cela sur la 36
Mais je suis assistante pas chir


6szjws718sv1jksw54v4mpj3a6cu - Eugenol
vulpi

19/07/2019 à 17h47

ça se diagnostique au sondage... et il devrait y avoir un élargissement desmodontal.


felureoupas

19/07/2019 à 18h03

Merci Vulpi
Oui c est vrai que je n ai pas à la radio de souci sur le desmodonte me semble t il.

Et comme j ai déjà eu ses douleurs il y a un an si c était une fêlure, je suppose qu on verrait une poche en forme de chaussette je crois que c est comme cela qu on le dit ?

Et une fêlure entraîne sur dent vivante de grosses douleurs type carie pas des brûlures ?


6szjws718sv1jksw54v4mpj3a6cu - Eugenol
vulpi

19/07/2019 à 18h08

douleur à la mastication, sensibilité froid.
Après tout est possible, par correspondance... c'est point fiable:-(


Édouard62

19/07/2019 à 18h22

les points de contact ont été vérifiés ok mais ils ne sont pas bons!, les embrausures non plus soit dit en passant


Vw campersurfvan bmnk1q - Eugenol
enlaye

19/07/2019 à 18h34

certes ils ne sont pas bon , et alors ?
elle dit : " PJ la rétro de la zone prise en 2016, 2018 et il y a un mois "
tu y vois une perte d os en 3 ans , toi ? moi non .


Vw campersurfvan bmnk1q - Eugenol
enlaye

19/07/2019 à 18h38

une photo des arcades en plâtre h+b
- le bas
- le haut
- le bas + le haut en occlusion vu de devant de cotés ET vu de derrière
et après on cause .


motorola

19/07/2019 à 19h20

"je souffre de brulure/picotements sur zone 36/37........ Et mal de manière aiguë ponctuellement sur cette même zone en mangeant des éléments fibreux"

Cà a tout l'air d'un syndrome du septum.
La couronne de 37 a un profil d'émergence mésial en surcontour
Peut être qu'une hygiène bucco-dentaire excellente (assitante dentaire oblige....) a evité une résorption osseuse au cours des années


4a338550 6a5b 47ea b2a7 d3cb675c5076 oni5gh - Eugenol
fistule 69

19/07/2019 à 19h57

Tu aurais pas une radio du secteur IV ?
On pourrait comparer si la taille de la chambre pulpaire est diminuée sur 36 par rapport à 46. Signe d’une « souffrance » de type occlusale ou fêlure...
Tes nerfs sont déjà très fins...bruxisme ?
Fait réaliser une gouttière occlusale en résine rigide, j’avais une fêlure sur ma 26 et je souffre quasiment plus depuis le port nocturne !
😷😉


Vw campersurfvan bmnk1q - Eugenol
enlaye

19/07/2019 à 20h19

fistule 69 écrivait:
----------

" Tes nerfs sont déjà très fins...bruxisme ?
Fait réaliser une gouttière occlusale en résine rigide, j’avais une fêlure sur ma 26 et je souffre quasiment plus depuis le port nocturne ! "

pourquoi faire une gouttière rigide ?, alors qu' un coup de fraise et on en parle plus


Vw campersurfvan bmnk1q - Eugenol
enlaye

19/07/2019 à 20h23

motorola écrivait:
--------
" Peut être qu'une hygiène bucco-dentaire excellente (assitante dentaire oblige....) a evité une résorption osseuse au cours des années "

bien justement ,si ç était une douleur paro , cela irait à l encontre des douleurs matinales il y aurait des douleurs le soir .


Hok 1b hgd3rj - Eugenol
Hokusai

19/07/2019 à 20h33

L expression paro existe entre la 6 et la 7 l os cortical disparait au sommet du septum.
A mon avis c est occluso chez une bruxomane nocturne + syndrome du septum (radio + douleur aliment filandreux)


Vw campersurfvan bmnk1q - Eugenol
enlaye

19/07/2019 à 20h55

Hokusai écrivait:
-------

" A mon avis c est occluso chez une bruxomane nocturne + syndrome du septum (radio + douleur aliment filendreux) "

oui je suis déjà plus d accord .
- et meme mieux je dirais que le pb occlusal vient de l antagoniste de la crete proxymale distale de 6 .
- si le gonz a gonflé la crete mesiale de 7 ç est pas pour rien .
- et il faut meme diminuer la pente de cuspide vest de 7 du bas pour en diminuer le verrouillage en vest de 7 .


Vw campersurfvan bmnk1q - Eugenol
enlaye

19/07/2019 à 21h00

et puis je mise un billet à 7 contre 1 que la courbe de spee est inversée ,à cause d une 6 du haut qui bascule vers l arrière .


Vw campersurfvan bmnk1q - Eugenol
enlaye

19/07/2019 à 21h02

s il y en a un qui veut parier , on peut commencer avec 5 euro , pour démarrer , en attendant la photo :-))
PS : à 1 contre1 , suis pas là pour vous piller :-)


felureoupas

19/07/2019 à 21h06

Merci pour toutes ces réponses..je suis touchée merci
Vraiment merci

hygiène dentaire maintenant oui j'y veille
dommage que mes parents n'aient pas été assez vigilants ....car
j'ai pas été douée ou attentive étant jeune....sinon je n'aurais pas eu autant de dents couronnées

deux radios secteur 2 en face....2018 et 2019 sur un 2 ème post

Secteur 4 2018  g9lb5k - Eugenol

felureoupas

19/07/2019 à 21h07

Et oui anxieuse je suis..donc je peux faire du clenching...bruxisme je ne pense pas

Secteur 4 2019 zdxp0d - Eugenol

Vw campersurfvan bmnk1q - Eugenol
enlaye

19/07/2019 à 21h09

et si ç est ça on devrait voir la 43 avec le bord libre distal aiguisé ou bien rabotée sur la crête s il y a en plus un verrouillage ant