Cookie Consent byPrivacyPolicies.comdes nouvelles de Mlle Felureoupas - Eugenol

des nouvelles de Mlle Felureoupas

Vw campersurfvan bmnk1q - Eugenol
enlaye

30/07/2019 à 16h28

lachmar écrivait:
-------
" et le but de la gouttière est de mettre les dents en inocclusion , en réglant bien la nouvelle occlusion et les latéralites et propulsion/retropusion de cette manère on espère une position plus favorable au niveau de l'articulation et de fait une relaxation musculaire "

absolument , et donc tu admets que les dents sont causales et doivent donc etre rectifiées lorsque la gouttière sera enlevée .
alors , je pose la question :
si tu n es pas capable de savoir aujourd'hui ou est la cause pourquoi le saurais tu demain apres la pose de la gouttière ?
et dans ce cas , à quoi te sert la gouttière ?


Vw campersurfvan bmnk1q - Eugenol
enlaye

30/07/2019 à 17h56

felureoupas écrivait:
-----------
" Je suis larguée :-) :-) .;même si je suppose que vous évoquez le guidage des dents lors de la mastication et ouverture. "

heu , non , lors de la fermeture plutôt .


lachmar

31/07/2019 à 08h22

enlaye écrivait:
------> absolument , et donc tu admets que les dents sont causales et doivent donc
> etre rectifiées lorsque la gouttière sera enlevée .
> alors , je pose la question :
> si tu n es pas capable de savoir aujourd'hui ou est la cause pourquoi le
> saurais tu demain apres la pose de la gouttière ?
> et dans ce cas , à quoi te sert la gouttière ?


à aucun moment je n'admets que les dents sont causales : je l'ai ecrit plus haut il s'agit d'une pathologie faisant intervenir 3 parametres , et bien fort celui qui peut te dire lequel est causal d'emblée , ou même après le port d'une gouttière

mais celle-ci a pour premier effet de soulager les douleurs si elles sont en rapport avec un éventuel dysfonctionnement articulaire dont il restera à determiner l'étiologie (et c'est pas le plus facile parceque parfois elle est multiple)

dans les années 80 les occluso gnatologistes (FISSORE) rétablssaient à grands frais systématiquement une occlusion idéale à coups de meulages, couronnes et d'onlays ... pour voire la plupart du temps les troubles recommencer à terme et finissaient par une gouttière
puis dans les années 90 ( CLAUZADE) on est passé à l'autre extrème : l'ocluso poturologie avec les troubles ascendants/descendants
aujourd'hui on est dans une espèce de statu quo parcequ'on réalise qu'on patine dans la choucroute et que les traitements appropriés sont pluridisciplinaires la plupart du temps et irréalisables


elje

31/07/2019 à 08h31

lachmar écrivait:
-------
> enlaye écrivait:
> ------> absolument , et donc tu admets que les dents sont causales et doivent
> donc
> > etre rectifiées lorsque la gouttière sera enlevée .
> > alors , je pose la question :
> > si tu n es pas capable de savoir aujourd'hui ou est la cause pourquoi le
> > saurais tu demain apres la pose de la gouttière ?
> > et dans ce cas , à quoi te sert la gouttière ?
>
>
> à aucun moment je n'admets que les dents sont causales : je l'ai ecrit plus haut
> il s'agit d'une pathologie faisant intervenir 3 parametres , et bien fort celui
> qui peut te dire lequel est causal d'emblée , ou même après le port d'une
> gouttière
>
> mais celle-ci a pour premier effet de soulager les douleurs si elles sont en
> rapport avec un éventuel dysfonctionnement articulaire dont il restera à
> determiner l'étiologie
>
> dans les années 80 les occluso gnatologistes (FISSORE) rétablssaient à grands
> frais systématiquement une occlusion idéale à coups de couronnes et d'onlays ...
> pour voire la plupart du temps les troubles recommencer à terme et finissaient
> par une gouttière
> puis dans les années 90 on est passé à l'autre extrème : l'ocluso poturologie
> avec les troubles ascendants/descendants
> aujourd'hui on est dans une espèce de statu quo parcequ'on réalise qu'on patine
> dans la choucroute et que les traitements appropriés sont pluridisciplinaires la
> plupart du temps et irréalisables

Qu’est ce que je suis content de lire ça, c’est exactement la même tendance pour le bruxisme


Vw campersurfvan bmnk1q - Eugenol
enlaye

31/07/2019 à 08h37

lachmar écrivait:
-------
" à aucun moment je n'admets que les dents sont causales : je l'ai ecrit plus haut il s'agit d'une pathologie faisant intervenir 3 parametres , et bien fort celui qui peut te dire lequel est causal d'emblée , ou même après le port d'une gouttière "

je ne peux pas te repondre directement , sinon tu vas croire que je me la joue .
dans le doute lis ce que j ecris et peut etre qu un jour tu changeras .
tu sais , Lachmar , je n ai rien à vendre , meme pas moi .


Vw campersurfvan bmnk1q - Eugenol
enlaye

31/07/2019 à 08h48

ne pas vouloir retoucher les dents ( et à fortiori des prothèses ) ç est aussi dommageable que de ne pas vouloir faire de det sous prétexte que l on est pas paro .


felureoupas

31/07/2019 à 08h56

Bonjour
vous fachez pas, vous fachez pas.
Merci pour vos réponses en tout cas.


Vw campersurfvan bmnk1q - Eugenol
enlaye

31/07/2019 à 08h59

elje écrivait:
----
" Qu’est ce que je suis content de lire ça, c’est exactement la même tendance pour le bruxisme "

haaa ça te plait de dire ça , hein !
comme ça tu te refugies derrière la masse .
je sais que tu ne m aimes pas et je ne t en tiens pas rigueur mais au moins ne va pas me chercher des grand frères pour en découdre , je les connais tous .


felureoupas

31/07/2019 à 09h04

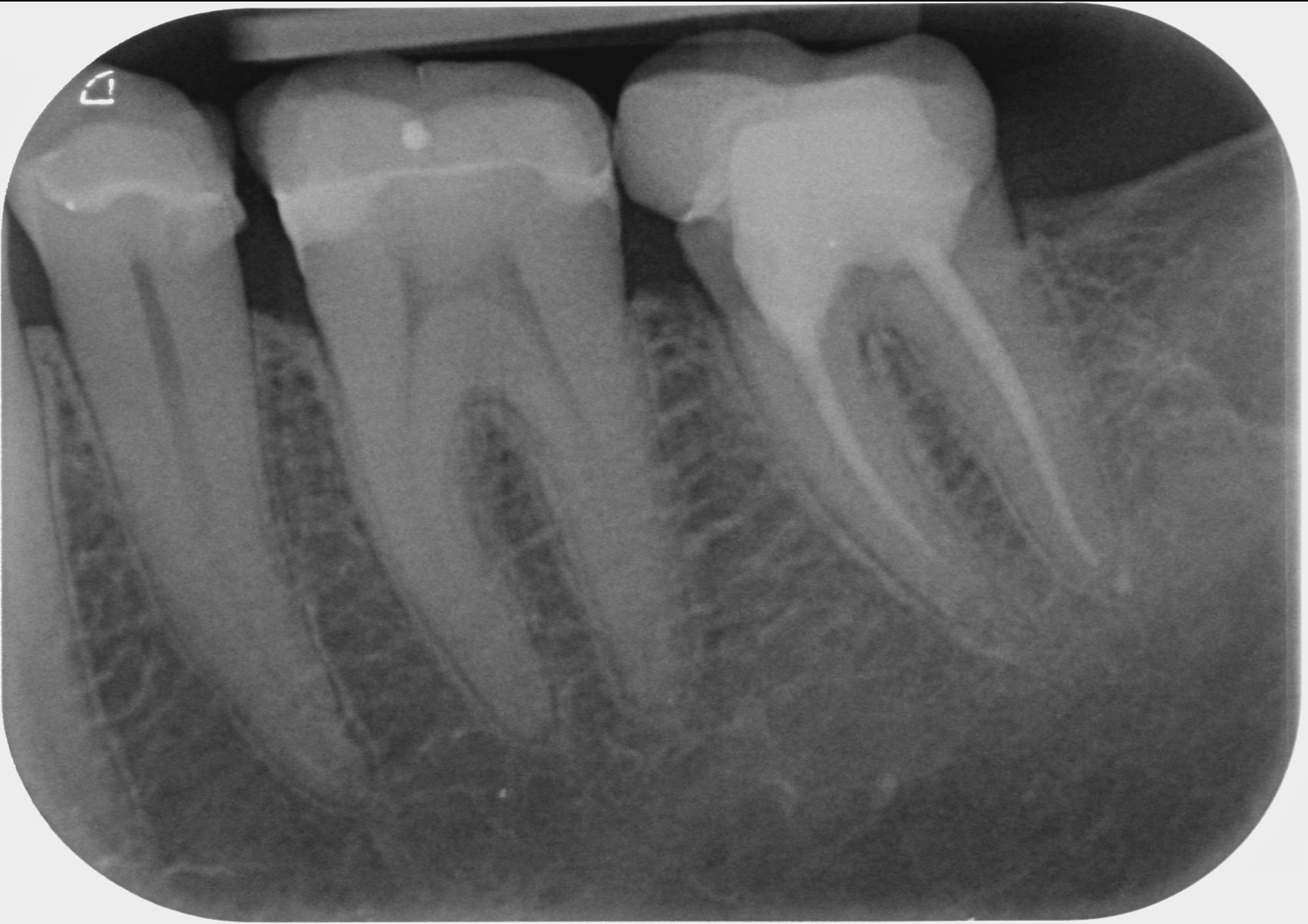
J'ai une dernière demande puisque Tozzi m'a fait un peu peur. Effectivement l'endo de la 37...n'est pas optimal..puisque ce n'est pas comblé jusqu'à l'apex..je pense que mon boss (qui met du temps à chaque fois à faire des endos avec digue dentaire) a fait de son mieux.

Tozzi..m'indique que je peux avoir une lésion qui ne se voit pas..et pense qu'il serait judicieux de la refaire. Mon boss...va me dire qu'il ne peut pas faire mieux.

Mais voter avis à tous car d'autre praticiens dont l'occluso..me disent non...pas d'infection.....je suis paumée du coup..
cette zone me titillant épisodiquement depuis 2 ans..si c'était en lien avec cette mauvaise étancheité..j'aurais au moins une tache noire sur la radio ?
bref.il ya-t-il urgence à reprendre cette endo (via exclusif sans doute)..ou non j'attend de voir avec la gouttière ?

merci chers praticiens

36 37 été 2019 xgzthu - Eugenol

Fourre tout 05 12 08 017 apc4pu - Eugenol
Pier

31/07/2019 à 09h25

Et si le problème venait simplement de 26 et 27?


elje

31/07/2019 à 10h04

enlaye écrivait:
------
> elje écrivait:
> ----
> " Qu’est ce que je suis content de lire ça, c’est exactement la même tendance
> pour le bruxisme "
>
> haaa ça te plait de dire ça , hein !

??????????????

> comme ça tu te refugies derrière la masse .

Non absolument pas , de quelle masse parles tu? juste derrière des publications récentes qui on pas mal changé ma manière de voir et d’exercer, j’ai de moins en moins de certitude et ce que dit Lachmar me parle énormément. J’ai eu pas mal de discussion animées avec des hostos pour lesquels la quasi totalité des problèmes venaient de troubles occlusaux, je constate que ces mêmes hostos sont aujourd’hui moins catégoriques et s’interrogent. Nos avis divergent sur le bruxisme on a échangé par ailleurs mais je comprends ta position même si je ne la partage pas et je respecte ton expérience dans ce domaine

> je sais que tu ne m aimes pas et je ne t en tiens pas rigueur

Erreur!!!!!!!! pour deux raisons, d’abord je ne te connais pas et pour ne pas aimer quelqu’un il faut le connaitre et par ailleurs je trouve tes interventions très souvent fort à propos et j’adorerai échanger avec toi, ça devrait être sympa entre sudistes (:-))). Comme quoi tu vois on peut avoir une mauvaise appréciation des choses.


mais au moins ne va pas me chercher des grand frères pour en découdre , je les connais tous .

Là désolé je ne saisis pas le sens de ta phrase, des grands frères à 57 balais... et puis j’ai pas de grand frère


elje

31/07/2019 à 10h11

felureoupas écrivait:

> cette zone me titillant épisodiquement depuis 2 ans..si c'était en lien avec
> cette mauvaise étancheité..j'aurais au moins une tache noire sur la radio ?
> bref.il ya-t-il urgence à reprendre cette endo (via exclusif sans doute)..ou non
> j'attend de voir avec la gouttière ?
>
> merci chers praticiens

Ben il suffit de comparer l’apex mésial et distal. sur le distal on suit parfaitement le desmondonte, sur le mésial c’est plus flou. Perso j’ai un CBCT au cabinet et c’est l’indication d’un examen au niveau de cette zone. Un champ de 5x5 avec une bonne colimation suffit pour se faire une idée sans une irradiation de folie et éliminer une ostéite à ce niveau , ça permettrait sans doute, aussi, de se faire aussi une idée sur la 26 et un éventuel MV2.
Ps si j’étais ton praticien, ça me gonflerait tous ces avis de dentiste 2.0 qui résonnent sur ton subjectif et 3 examens complémentaires radiologiques (:-))))))) vas pas te le mettre à dos .


Vw campersurfvan bmnk1q - Eugenol
enlaye

31/07/2019 à 10h16

bon alors il n y a pas de pb , Elje , autant pour moi .

tu vois pour en revenir à ce que dit Lachmar , il y a un paradoxe qui me gène :
en gros il dit
- qu il supprime les afférences occlusales ,
- puis par l intermédiaire de la gouttière qu il règle bien
on pourra ainsi , je ne sais quoi , mais que ce serait déjà pas mal .
et après il dit que la cause n est pas dentaire d une façon obligée et qu' il est très difficile de le déterminer
mais si on a besoin de regler une gouttiere ( ce qui est evident , bien sur ) ç est que l engrenement a son importance
et que si on sait la régler , dans ce cas pourquoi ne pas régler les dent , tout simplement ??? .
surtout que dans ce cas , il y a plein de prothèses .
quel est le risque ? de retoucher ce que le prothesiste ( ou la machine ) a fait ?
PS :surtout qu il y a un autre élément important dans ce cas et dès que j aurais 5mn j y reviendrais .


elje

31/07/2019 à 11h07

D’accord avec toi sur le fait qu’il vaut mieux régler les prothèses que de l’ortho résin dans ce cas
Je reste gêné dans le cas de cette délicieuse assistante, on ne la voit pas et je me demande si on passe pas à côté d’un truc qui nous sauterait aux yeux si on faisait un examen clinique. On l’a sérieusement embrouillé avec toutes nos théories. Je pense très sincèrement qu’un CBCT pourrait éclairer un peu les choses ou du moins en éliminer certaines


felureoupas

31/07/2019 à 11h24

Embrouillée ..oui j'avoue
mais indirectement cela me forme car du coup je regarde sur internet pour comprendre certaines de vos théories...et m'aperçoit qu'ATM et occlusondontie..d
sont des sujet très important et avec pleins de théories qui se contredisent.. pas simple non plus comme taff celui là le métier d'occluso

Merci pour le coup de la sensibilité Elje..car effectivement j'ai ma 42 qui me titille de temps en temps
vais tester le bain de bouche conseillé

ah merci pour "délicieuse"

Je vais faire les choses tranquillement..mais surement
mon occluso m'a prescrit des séances de kiné maxillo faciale, je vais les faire + essayer de me détendre, chouchouter mes espaces interdentaires (hydropopulseur et brossette)
et après les vacances..je vais refaire le point

merci mes sympas praticiens


Utilisateur banni

31/07/2019 à 14h13

Des séances de kiné ? Il a fait des corrections occlusales ou pas ?

Depuis quand as tu des douleurs sur 6 et 7 ? Depuis qu’il t’a posé l’onlay et la couronne non ?


--
Palme d’or de l’académie, Auteur du best-seller « I have mal aux teeth » traduit en 27 langues, Lion d’or greffe du fémur à la mandibule


lachmar

01/08/2019 à 08h50

enlaye écrivait:
------
> bon alors il n y a pas de pb , Elje , autant pour moi .
>
> tu vois pour en revenir à ce que dit Lachmar , il y a un paradoxe qui me gène :
> en gros il dit
> - qu il supprime les afférences occlusales ,
> - puis par l intermédiaire de la gouttière qu il règle bien
> on pourra ainsi , je ne sais quoi , mais que ce serait déjà pas mal .
> et après il dit que la cause n est pas dentaire d une façon obligée et qu' il
> est très difficile de le déterminer
> mais si on a besoin de regler une gouttiere ( ce qui est evident , bien sur ) ç
> est que l engrenement a son importance
> et que si on sait la régler , dans ce cas pourquoi ne pas régler les dent , tout
> simplement ??? .


je n'ai jamais dit que j'équilibrais avant ; pour une simple raison : la gouttière replacera le condyle en position plus postérieure (et on espère le menisque) plus favorable au confort musculaire et que ton analyse occlusale secondaire te donnerait des résultats totalement différents à ce moment . J'ai dit que j'équilibrais la gouttière ; et c'est une equilibration qui peut prendre plusieurs scéances .

les scéances de kiné faciales sont une excellent chose , mais les kinés formés à cette discipline se comptent les doigts des deux mains ... et que ceux qui savent traiter un pterygoidien latéral spasmé se compent sur les doigts d'une main ... à ma connaisssance seul le service de stomato de saint etienne a des kines qualifies

ENLAYE , un petit conseil : quand on n'y connait rien dans les dysfonctionnements cranio mandibulaires , on ne se permet pas de donner de conseils

parenthèse pour tous les autres : les lésions objectives, quelle qu'elles puissent être aurait évolulé en 3 ans; or ce n'est pas le cas ... ne perdez pas ca de vue


felureoupas

01/08/2019 à 08h55

Bonjour tout le monde

Professeur Labiche : elle a regardé mon occlusion et elle m'a indiqué que pour l'instant elle ne ferait pas de micromeulage. Elle veut faire une gouttière pour reposer tout mon systéme masticulaire.

je me reveille d'ailleurs avec de plus en plus de douleurs aux cervicales, douleurs dans le cou ....cela va plutôt dans le sens de douleurs spasmées musculaires.
Donc dans ce qu'elle me dit : plutôt pb de bruxisme

Lachmar : j'en ai trouvé un sur Orléans. (je suis dans le Loiret)
Je vais vous envoyer un annuaire trouvé sur internet..cela pourrait aider vos patients.

Bonne journée messieurs


Utilisateur banni

01/08/2019 à 09h46

et une fois que t’auras mis ta gouttière, tu comptes la conserver tout le temps ? La réponse est non .
Donc Pas de gouttière . On rééquilibre . C’est comme si t’avais un slip sale, et qu’au lieu de le nettoyer tu mettais une protection, alors que directement tu peux le nettoyer


--
Palme d’or de l’académie, Auteur du best-seller « I have mal aux teeth » traduit en 27 langues, Lion d’or greffe du fémur à la mandibule


felureoupas

01/08/2019 à 09h47

et rééquilbration = micromeulage ?


Utilisateur banni

01/08/2019 à 09h50

Écoute on n’a pas les photos donc tant qu’on n’a pas de photos correctes avec l’utilisation de papier d’occlusion on ne peut pas te répondre précisément.
On parle dans le vide là.

--
Palme d’or de l’académie, Auteur du best-seller « I have mal aux teeth » traduit en 27 langues, Lion d’or greffe du fémur à la mandibule


elje

01/08/2019 à 10h12

lachmar écrivait:
-------

> parenthèse pour tous les autres : les lésions objectives, quelle qu'elles
> puissent être aurait évolulé en 3 ans; or ce n'est pas le cas ... ne perdez pas
> ca de vue
Heu pourquoi tu dis ça , j’ai pas mal de cas avec des lésions apicales qui ne bougent pas radiologiquement, ce qui ne veut pas dire que ça ne bataille pas ferme la dessous. de toutes façons, l’évolution semble indiquer une cause musculaire descendante, ascendante??? attention de ne pas se focaliser aussi sur l'occlusion


12