Tous les forums
Aide Passage courbure?
30/07/2019 à 19h15
Bonsoir,
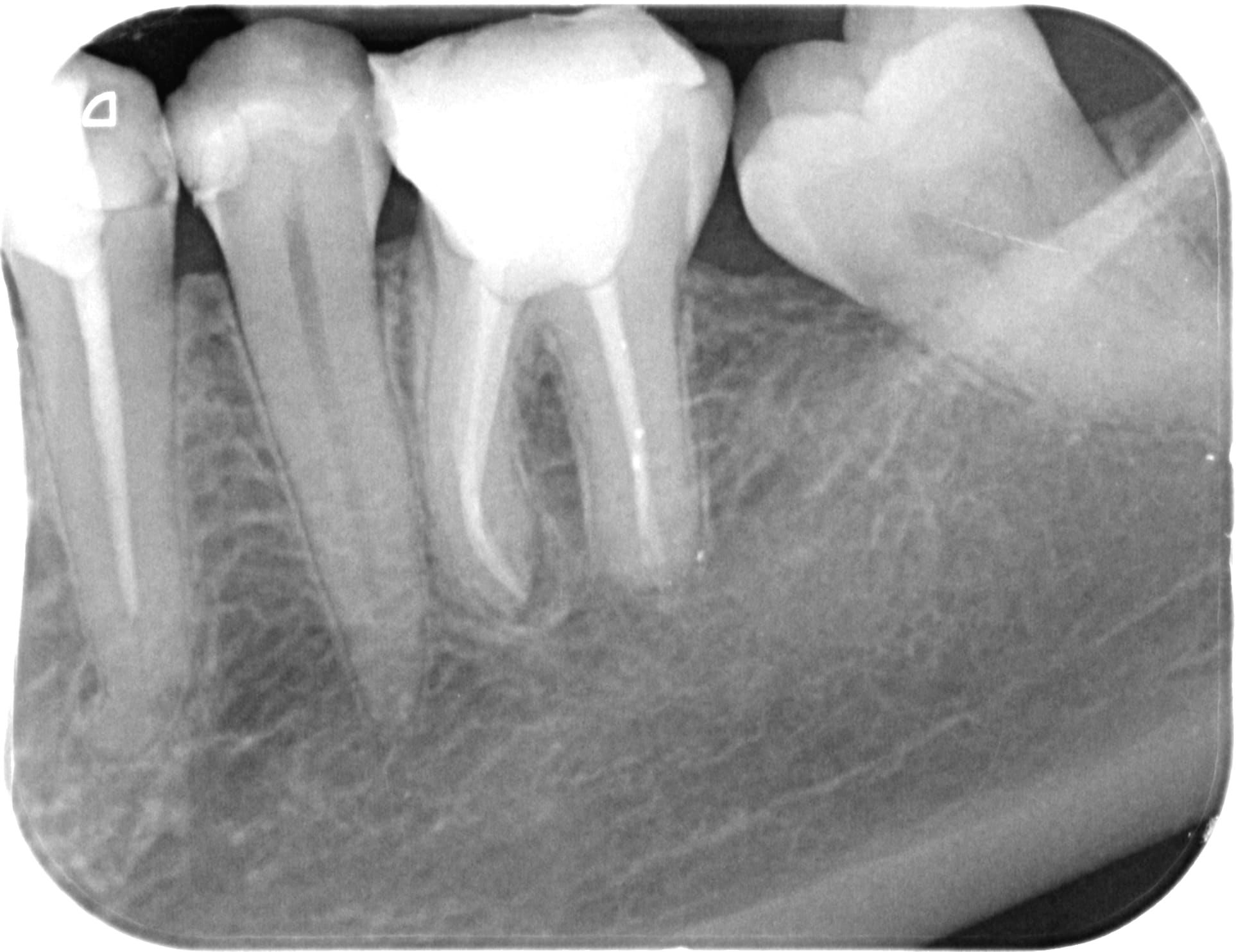
J’ai commencé une devit sur la 46 mais le soucis est que mes limes dans les disto se bloquent à 3-4mm de l’apex
Qq peut m’orienter pour arriver à l’apex?
Merci
30/07/2019 à 21h33
Vu l'état du plancher, le problème n'est pas capital ....
--
Schooner For Ever
31/07/2019 à 08h23
Effectivement il va falloir bien choisir son syndesmotome pour passer la courbure sans fracturer la racine....
--
https://open.spotify.com/user/8iz7teu84dfphmgspeh2979o8/playlist/59Tfpt7zoHfkI27430lfNg?si=MAiYEkb2S6mMV6qNX2aFwg
On a toujours le choix mais entre quoi et quoi?
Vas-y boulégue et l'avenir te le dira!
31/07/2019 à 08h36
il y a parfois des coudure qu'on ne peut pas passer , même en précourbant
dans ce ca j'irrigue encore plus que d'habitude, je passe les ultra sons largement pour activer l'hypochlorite , et je n'insiste pas au risque de faire une fausse route , et j'obure , puis je temporise avec une couronne et wait ans see
31/07/2019 à 09h02
En manuel, tu précourbes bien, tu reperes bien ta courbure avec le marquage sur le stop de ta lime.
La j'ai repris les canaux mesiaux en manuel, lime k/H en alternance... l'ancien prat avait buté dans la courbure. La difficulté c'est biensur de retrouver les canaux et surtout de na pas continuer dans la fausse route.
Bon sinon le plancher cameral fin comme un papier a cigarette en effet c'est préoccupant…
La je temporise avec un énorme IRM.
31/07/2019 à 09h15
Question purement théorique : pour moi la dent est perdue mais si des fois on envisageait de la conserver, une idée de la tenue dans le temps d'une obturation à la biodentine avec ce plancher ?
Ou alors vaut I'm mieux cureter ce qui reste et obturzr en direct au contact des tissus vivants environnants ?
La furcation semble contaminée et du coup on va essayer de l'atteindre à travers le plancher ou on espère une cicatrisation ?
--
https://open.spotify.com/user/8iz7teu84dfphmgspeh2979o8/playlist/59Tfpt7zoHfkI27430lfNg?si=MAiYEkb2S6mMV6qNX2aFwg
On a toujours le choix mais entre quoi et quoi?
Vas-y boulégue et l'avenir te le dira!
31/07/2019 à 09h22
Hokusai écrivait:
-------
> En manuel, tu précourbes bien, tu reperes bien ta courbure avec le marquage sur
> le stop de ta lime.
> La j'ai repris les canaux mesiaux en manuel, lime k/H en alternance... l'ancien
> prat avait buté dans la courbure. La difficulté c'est biensur de retrouver les
> canaux et surtout de na pas continuer dans la fausse route.
> Bon sinon le plancher cameral fin comme un papier a cigarette en effet c'est
> préoccupant…
> La je temporise avec un énorme IRM.
T'aurais pu faire la 4 en même temps, feignasse !-)
31/07/2019 à 09h40
Top la reprise
Cela t’a pris combien de temps pour passer la courbure ?
Pour les limes c’est de k10 à k 20 en precourbé en frottant la paroi opposée à la courbure ?