Cookie Consent byPrivacyPolicies.comCas clinique implanto - Eugenol

Cas clinique implanto

Drassancouët

09/08/2019 à 15h12

Bonjour à tous,
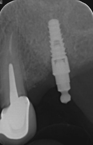
J'ai une patiente qui vient avec comme désiderata la suppression d'une petite PAP secteur 2 qui est maintenue par un attachement boule sur implant.
Elle ne connait pas la marque de cet implant, posé il y a 8 ans, qui est parfois douloureux à cause d'une petite mucosite et d'une legère perte osseuse.

Je lui ai proposé la réalisation d'un bridge sur implant 24-26 avec dépose de cet implant.
En effet, ni la position ni l'angulation ne me convienne.
Cela vous parait il convenable ?
Je suis un peu réticent a déposer cet implant qui n'est pas en si mauvais état, mais prothétiquement ca ne le fera pas trop.
Merci de votre avis

Kxe11voexattvfgqyxgd - Eugenol
Nrbzfqjzwribg4fzirrf - Eugenol

Drassancouët

09/08/2019 à 15h12

Question subsidiaire, le secteur 3 est egressé, il vaut mieux tailler dans la masse desc ouronnes ou augmenter la DV par des collages antérieurs ?


Pierre logo clykpp - Eugenol
Denteo33

09/08/2019 à 16h44

Je déposerais l’implant (Euroteknika Natura?) sans hésiter avec comblement puis poserais 3 implants pour 4 dents

Je referais les couronnes en bas si nécessaire


Photo pluton1b h9n4ea - Eugenol
pluton

09/08/2019 à 17h26

C'est bien un naturall euroteknika en tout cas