Cookie Consent byPrivacyPolicies.comLe flux analogique. - Eugenol

Le flux analogique.

Icon poker h4nm2d - Eugenol
jeff

12/08/2019 à 10h55

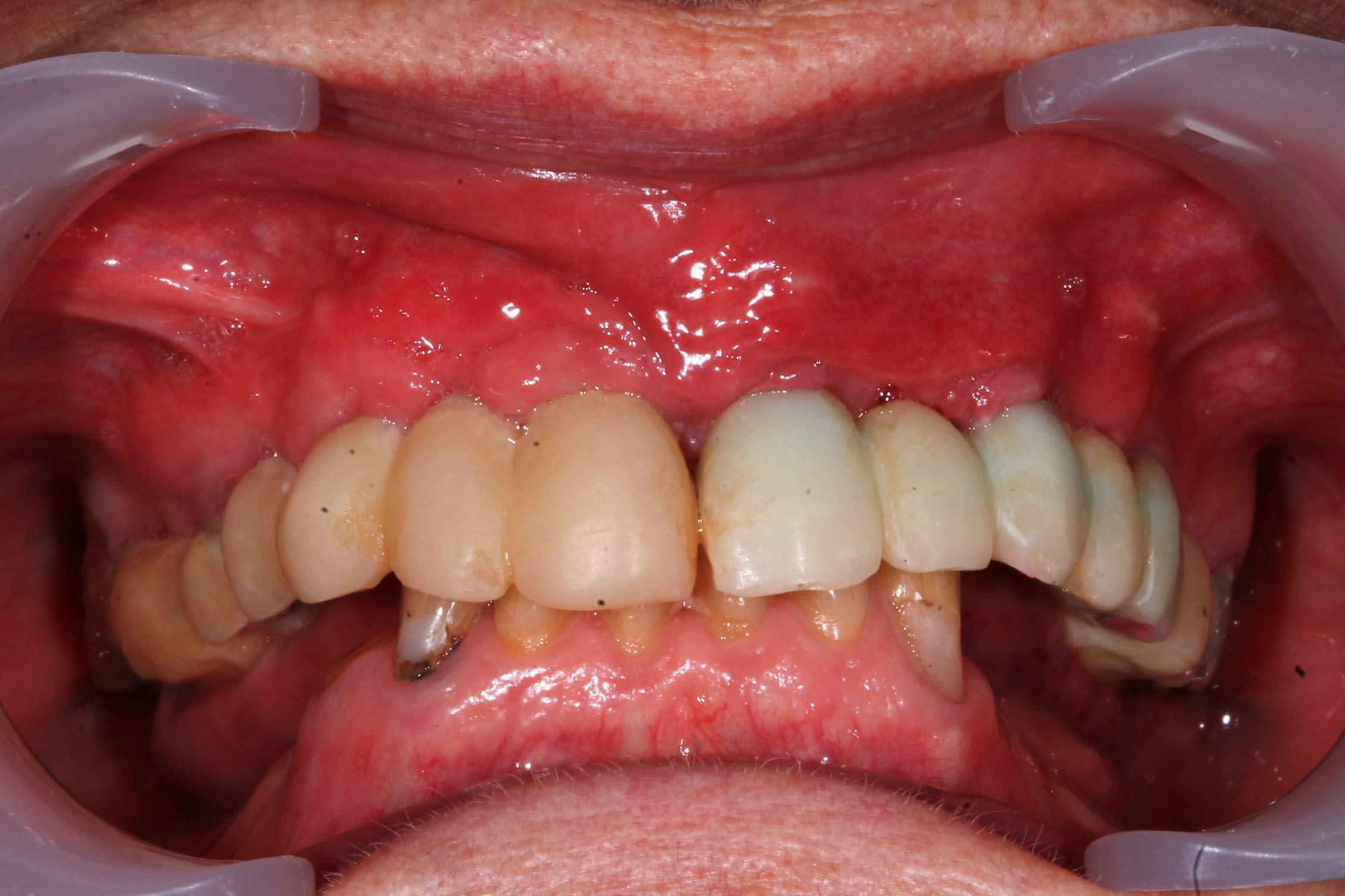
Un cas qui remonte à deux ans déjà ...
Aujourd’hui, je ferais le même cas en flux numérique, wax up et impression de bridge .
Mais il y a deux ans , c’etait a l’ancienne :)
La patiente a un provisoire résine à droite , un bridge sur implant à gauche.
Je dois faire une IMCI .
Chir un jeudi , jour de repos, car je ne sais pas du tout combien de temps je vais passer.
La chirurgie finit, mon assistante me laisse avec la patiente. Je mets environ deux heures pour faire le bridge provisoire et le poser en bouche .

Wvynzdg68ll2gqqv5prg - Eugenol
Whioactnbzntotqhynbh - Eugenol
Bjkjgqif4li6uyjgbnpr - Eugenol
Osxxiafmgxs5vo7cp65t - Eugenol
Oxycnejsfqwlogii16nm - Eugenol
Truhuviyslahnurytinv - Eugenol
Knfpypqkf84wgv3r4inr - Eugenol

Icon poker h4nm2d - Eugenol
jeff

12/08/2019 à 10h57

Suite

96989612 b91b 4ab9 90b3 b514edb6172d ftzcnz - Eugenol
489a0905 3ec7 41f8 8b0d a8ab1ff00237 u8wipg - Eugenol
1e119d56 1eff 4943 93b3 472748489d3d hhcbri - Eugenol
Df8236cf a5cd 4f49 96fb 44178f889f9b q03gn1 - Eugenol
5c418ff7 9e6d 476d adaa bb8d2209f605 qhn7xk - Eugenol

Icon poker h4nm2d - Eugenol
jeff

12/08/2019 à 10h58

Et fin

75b4d3ee ec6d 4d0e a2d7 4890b5fc098d ildqxo - Eugenol
1ecb4c99 0f7f 42af 9240 aea681617b11 oujadg - Eugenol
Dafbaf97 9610 40aa b958 9bad34f4e78e bs6n08 - Eugenol
0a06e71b 9f9e 4ebd 95b1 eb34e8ed797c ag0eks - Eugenol
Cdae2bb5 3c3e 40ac 8db9 8bf19dda760a ilv0bj - Eugenol

Jeunedentiste91

12/08/2019 à 12h18

Joli !!! Qu’est ce qui est prévu pour la mandibule ? :)


Icon poker h4nm2d - Eugenol
jeff

12/08/2019 à 15h57


En bas , la petite mamie ( 75 ans ) voulait aussi refaire les antérieures et supprimer le stellite , mais les fonds manquent.


Jeunedentiste91

12/08/2019 à 17h45

Oui parce que là l’occlusion est bien verrouillée elle a une sacrée supra .. il y a de l’usure elle doit bien bruxer!


3f3boxni50k58rq7e9ce9ddqrxgk - Eugenol
dentiste57

13/08/2019 à 13h54

c'était quoi comme type de greffe en vestibulaire ?


Icon poker h4nm2d - Eugenol
jeff

14/08/2019 à 20h13

dentiste57 écrivait:
----------
> c'était quoi comme type de greffe en vestibulaire ?

il faut que j'aille au cab pour retrouver le dossier. je pense avoir mis une membrane, mais je ne sais plus avec quoi.
pas de bondapatite il y a 2 ans.
Je sais que en occlusal, j'ai espacé la plaque avec une sonde pour faire style " piquet de tante".

comme dans la video de Maximini , à 18 mn.



Icon poker h4nm2d - Eugenol
jeff

16/08/2019 à 10h58

je suis au cab pour des papiers .
retour dans le dossier.
ROG smartbone+ membrane hyprosorb.
Sinon, voici la suite:
en fait , elle a 85 ans :)
et mon bridge à gauche ne lui plaisait pas du tout. en fait, il n'a jamais été très esthétique au niveau de la 21.

Elle trouve mon provisoire a droite super et veux la même chose a gauche.
j'ai refait gratos sur multi-unit, avec un conjonctif. Les bridges def ont été posé il y a un an, mais je n'ai pas fait de photo. ( ni de cone beam pour la 14 )

J'ai merdé dans la commande des fibres fiberforce.
Bleu , c'est pas terrible pour faire un provisoire :)

De f wbzyeq - Eugenol
Img 9859 2 bcvg1c - Eugenol
Img 9860 2 vpmfp7 - Eugenol
Img 9861 2 p4xgs2 - Eugenol
Img 9900 2 trtdq0 - Eugenol