Cookie Consent byPrivacyPolicies.comVotre traitement dans ce cas - Eugenol

Votre traitement dans ce cas

Pierre logo clykpp - Eugenol
Denteo33

15/09/2019 à 22h39

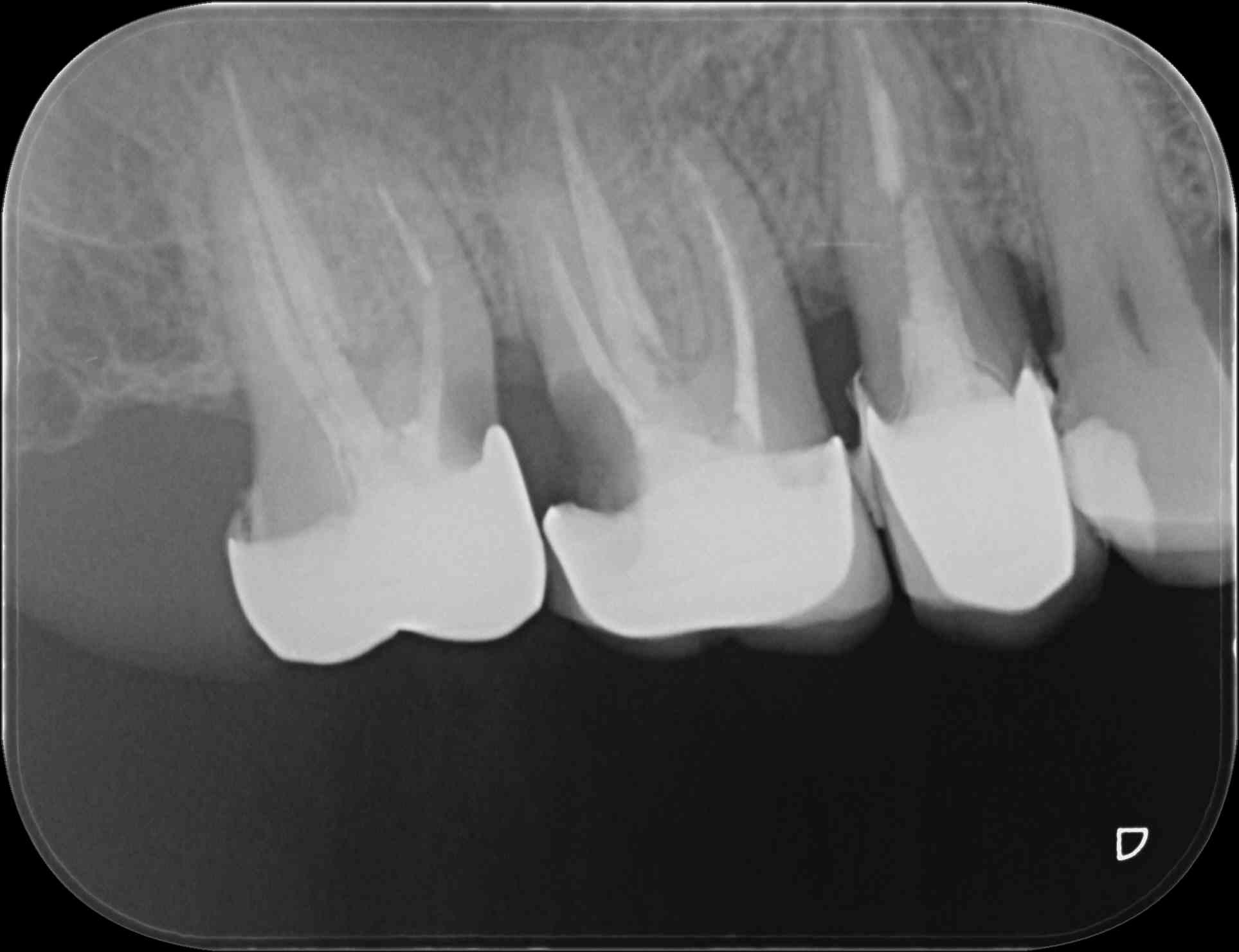
Patient 50 ans, parodontite chronique, venu consulter pour sa 15 mobile.

Que préconiseriez vous?

Il m'est adressé et je ne l'ai pas encore vu (donc pas de pano, ni d'autres renseignements..)

P.S : J'ai mon idée mais c'est pour voir si je suis vraiment trop peu conservateur...

Ie00pfvxhml1swjx0rfy - Eugenol

579482 10150853902839038 1346467120 n lry9nx - Eugenol
paulcast

15/09/2019 à 22h57

Je pense comme toi ;)


Vw campersurfvan bmnk1q - Eugenol
enlaye

15/09/2019 à 23h09

quand tu dis que tu ne l as pas vu , c est un élément tres important pour le diag final . c est plus important que la pano .

sinon je commencerais par la 16 , enlever la couronne de 16 , nettoyer , et faire un prov 17 16 15 solidarisé .
il n y a qu en enlevant les couronnes que tu pourras faire un bon curetage rotatif cementaire voir radiculaire .


lachmar

16/09/2019 à 11h29



oups
c'est le genre de cas ou tu ne peux pas gagner à cause de l'hygiène
et qui se finit toujours en implant ou en stellite
ce qui m'ennuie les plus c'est la lime cassée en mésial de 17 et l'image apicale et l'épaississement desmodontal
pour ma part , comme je n'aime pas les emmerdes , je ne prends pas le cas
sauf s'il accpepte un stellite ; je ne propose même pas d'implants


6szjws718sv1jksw54v4mpj3a6cu - Eugenol
vulpi

16/09/2019 à 11h31

lachmar écrivait:
-------

> pour ma part , comme je n'aime pas les emmerdes , je ne prends pas le cas
> sauf s'il accpepte un stellite ; je ne propose même pas d'implants
+1... enfin après l'avoir vu en vrai:-)) on opère pas une radio;-)
implants et paro j'aime pas.


Nouveau image bitmap fz77zh - Eugenol
Sethef

16/09/2019 à 11h47

Ben, si les couronnes étaient correctement réalisées, l'hygiène serait simplifiée non?

Bon évidemment, on a juste une rétro, c'est un peu léger, mais je ne vois pas d'indication d'extraction ici.


Ylfwcw979cz1jnx9gfqeaxndiuzk - Eugenol
Algi

16/09/2019 à 11h51

Radiologiquement j'ai des doutes....
Ferais bien un cone beam la....

Nonobstant si c'est asymptomatique depuis des années....

Par ailleurs, dépose des coiffes, provisoires, enseignement du brossage et on voit ce que ça donne.

C'est compromis, faut le lui dire mais ça peut tenir quelques années.

--

https://open.spotify.com/user/8iz7teu84dfphmgspeh2979o8/playlist/59Tfpt7zoHfkI27430lfNg?si=MAiYEkb2S6mMV6qNX2aFwg


On a toujours le choix mais entre quoi et quoi?
Vas-y boulégue et l'avenir te le dira!


Ylfwcw979cz1jnx9gfqeaxndiuzk - Eugenol
Algi

16/09/2019 à 11h54

Au pire tu attends janvier et tu fais du rac0, parfait exemple.


--

https://open.spotify.com/user/8iz7teu84dfphmgspeh2979o8/playlist/59Tfpt7zoHfkI27430lfNg?si=MAiYEkb2S6mMV6qNX2aFwg


On a toujours le choix mais entre quoi et quoi?
Vas-y boulégue et l'avenir te le dira!


Ylfwcw979cz1jnx9gfqeaxndiuzk - Eugenol
Algi

16/09/2019 à 11h55

Et au fait.... Pourquoi on te l'adresse ?

Sans doute parceque nos solutions basiques sont pas celles retenues....
Du coup ce post sert à rien, non ?

--

https://open.spotify.com/user/8iz7teu84dfphmgspeh2979o8/playlist/59Tfpt7zoHfkI27430lfNg?si=MAiYEkb2S6mMV6qNX2aFwg


On a toujours le choix mais entre quoi et quoi?
Vas-y boulégue et l'avenir te le dira!


Vw campersurfvan bmnk1q - Eugenol
enlaye

16/09/2019 à 12h42

faut pas forcement etre pour l euthanasie pour un pb paro . avec un bon curetage rotatif , ça améliore .
regardes ce cas , je lui ai fait un bridge complet zircon haut et bas . la photo date de 2010 et les bridges sont tjs là !
PS : et je suis loin d être un endontiste hors pair :-)

Evv fmx4zt - Eugenol

zolimome

16/09/2019 à 14h54

sethef a bien raison

et je me trouverais extrêmement prétentieuse de prétendre enseigner le brossage à une personne de 50 ans....quant au cone beam pour ça je crois qu'on dépasse la limite d'indication et qu'on risque un sérieux accrochage.

pour la lime...je ne vois pas les complications qu'on lui prête, ce genre de réflexe malveillant dans le commentaire incite au dénigrement, voire plus et ne solutionne rien .

la parodontite a peut être ( on n'a qu'une petite rétro ) seulement cette étiologie iatrogène, la dépose des coiffes montrera l'énormité du bourrage.

nettoie ,recoiffe.


Ylfwcw979cz1jnx9gfqeaxndiuzk - Eugenol
Algi

16/09/2019 à 21h55

Zolimome désolé mais j'ai enseigne le brossage à des personnes de bien plus que 50 ans et peux te promettre que ca à été payant bien des fois.


--

https://open.spotify.com/user/8iz7teu84dfphmgspeh2979o8/playlist/59Tfpt7zoHfkI27430lfNg?si=MAiYEkb2S6mMV6qNX2aFwg


On a toujours le choix mais entre quoi et quoi?
Vas-y boulégue et l'avenir te le dira!


moritooth

16/09/2019 à 22h05

La 15 mobile, elle aurait pas une petite pète de racine ?
Perso sans examen clinique, je suis incapable de faire un diagnostic et un plan de traitement.


Ylfwcw979cz1jnx9gfqeaxndiuzk - Eugenol
Algi

16/09/2019 à 22h34


Non mais tu comprends pas, le cone beam ça sert à rien....


--

https://open.spotify.com/user/8iz7teu84dfphmgspeh2979o8/playlist/59Tfpt7zoHfkI27430lfNg?si=MAiYEkb2S6mMV6qNX2aFwg


On a toujours le choix mais entre quoi et quoi?
Vas-y boulégue et l'avenir te le dira!


zolimome

17/09/2019 à 09h32

je t'ai vexé algi ?

perso je conseille, j'enseigne pas.
le cone beam sert à bien des choses, mais sa prescription est encadrée : dans ce cas, juste avec un radio alvéolaire et une ligne d'examen clinique à distance, tu vas te faire emplâtrer.


Ylfwcw979cz1jnx9gfqeaxndiuzk - Eugenol
Algi

17/09/2019 à 10h03

Conseille.... Enseigne... Explique....

Le principal est de donner l'info et de voir si le patient fait des efforts.... Et si ça vaut le coup de s'investir dans son cas.

Évidemment que sur une simple radio vue sur un forum mais si le patient se pointe et que j'ai un doute sur mes retroalveolaires ben oui je prescris un cône beam, ça sert à ça non ? En savoir plus en cas de doute....


--

https://open.spotify.com/user/8iz7teu84dfphmgspeh2979o8/playlist/59Tfpt7zoHfkI27430lfNg?si=MAiYEkb2S6mMV6qNX2aFwg


On a toujours le choix mais entre quoi et quoi?
Vas-y boulégue et l'avenir te le dira!


RARARA

17/09/2019 à 10h17

yo frère bien ou bien?
j'ai un problème avec mes dents. jsuis venu voir en lousdé un dentiste pour montrer des plaques noirs. Il m'a dit quil pouvait rien faire. Le problème c'est que jfume trop de teuchi . les oinjs me colorent grave les dents. et ça frère avec mes dents noirs jpeu pas pécho de meufs. Qu'est ce que jpeu faire pour effacer les plaques noirs qui sont chanmé pas belles?


zolimome

17/09/2019 à 10h28

Algi écrivait:

j'ai un doute sur mes retroalveolaires ben oui je prescris un cône
> beam, ça sert à ça non ? En savoir plus en cas de doute....

et....jamais de refus de la part de ton correspondant ? dans le genre irradiation abusive , ou demande disproportionnée , etc...





Avatar transparent iqadnc - Eugenol
adhoc

17/09/2019 à 10h35

Trop bien écrit, rarara!!! Tu nous dis quand on sort le champ's pour ton 100 eme compte? :-)))
Ba oui, du verlan structuré, pas de fautes de grammaire.
"les oinjs me colorent grave les dents."
Accord respecté, nombre de mots correct, ponctuation présente.

N'oublie pas que ce qui te trahit, juju, c'est ta tres bonne orthographe!!!!! Pas de bol!


edje ouaïse

17/09/2019 à 10h40

Elle n'est pas un peu fracturée cette racine ? J'ai l'impression de voir un trait de fracture

Ie00pfvxhml1swjx0rfy kru051 - Eugenol

zolimome

17/09/2019 à 10h43

une poussée d'hormones adhoc ?


Vw campersurfvan bmnk1q - Eugenol
enlaye

17/09/2019 à 10h49

edje ouaïse écrivait:
-----------
" J'ai l'impression de voir un trait de fracture "
et moi j ai l impression de voir une carie sur 16 (et même 17) , et du coup , on commence par quoi ?
un dental scan ? :-))))


zolimome

17/09/2019 à 10h51

enlay parole d'or


Avatar transparent iqadnc - Eugenol
adhoc

17/09/2019 à 10h54

>une poussée d'hormones adhoc ?<

??????????????????


zolimome

17/09/2019 à 11h02

adhoc écrivait:
-----
> >une poussée d'hormones adhoc ?<
>
> ??????????????????

bah oui, outre que le texte du pollueur est sans grand intérêt, qu'il a très peu de rapport avec le sujet ( au demeurant intéressant) , qu'il ne contient qu'une forme d'humour très limité et qu'il est posé là comme une mouche dans le lait, ton empressement a déclarer une admiration sans borne a quelque chose d'un peu décalé...comme excessif, et pourtant signifiant.


en résumé tu gaves à défendre systématiquement cet ahuri.


RépondreCiter
12